OB: sexually transmitted infections

0.0(0)
studied byStudied by 1 person
0.0(0)
full-widthCall Kai
learnLearn
examPractice Test
spaced repetitionSpaced Repetition
heart puzzleMatch
flashcardsFlashcards
GameKnowt Play
Card Sorting

1/9

encourage image

There's no tags or description

Looks like no tags are added yet.

Study Analytics
Name
Mastery
Learn
Test
Matching
Spaced

No study sessions yet.

10 Terms

1
New cards
term image

vagina candidiasis

2
New cards
term image

trichomoniasis

3
New cards
term image

trichomoniasis cervix

4
New cards
term image

bacteria vaginosis

5
New cards
term image

clamydia

6
New cards
term image

male gonnorhea

7
New cards
term image

herpes

8
New cards
term image

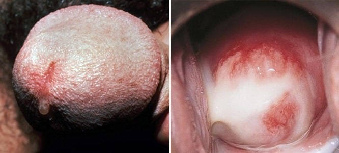
syphillis

9
New cards
term image

warts

10
New cards