1/47
Looks like no tags are added yet.
Name | Mastery | Learn | Test | Matching | Spaced | Call with Kai |
|---|
No analytics yet
Send a link to your students to track their progress
What syndrome is most commonly associated with cystic hygromas
Turner Syndrome
What is the space between the posterior bladder wall and the fundus of the uterus called?
Anterior Cul-De-Sac

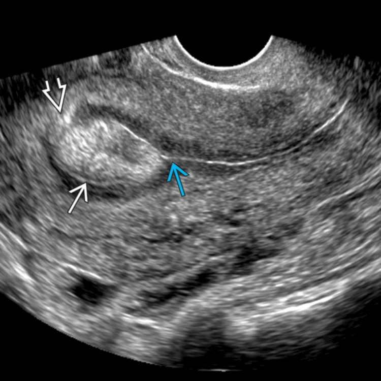
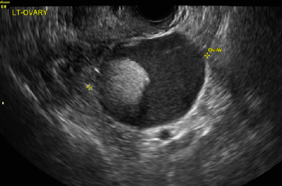
What pathology are we seeing in this image?
Polyp

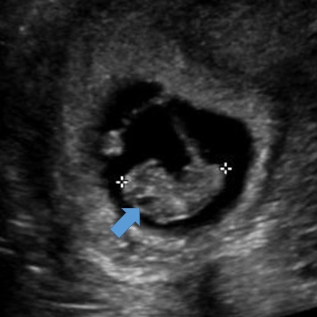
What position is this fetus in?
Cephalic

Where is the placenta located?
Fundal
What pelvic muscle is at the most inferior aspect of the bladder?
Levator Ani
What is the most accurate method for establishing EDD?
1st trimester US
A hemorrhage located between the gestational sac and the myometrium is called what?
SCH

What are we seeing in this image?
Rhombencephalon
CRL is the appropriate dating measurement until what gestational age?
13 weeks
Pain associated with menstruation is...
Dysmenorrhea
When there is partial absence of the cranium, what abnormality is it?
Acrania
What is the BPD measurement used to determine?
Gestational Age
What are the structures that are measured in the posterior fossa of the brain in an anatomy scan?
Cerebellar diameter, cisterna magna, nuchal fold

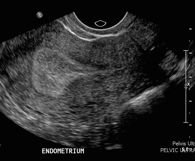
What endometrial phase do we see in this image?
Secretory
What is the space between the anterior bladder and the pubic symphysis called?
Space of Retzius

What measurement is taken in this view?
AC

Where is the placenta located?
Anterior
To image the fundus of the uterus, what direction would you angle the probe towards?
Closer to the bed
What does endometrial hyperplasia develop from?
Unopposed estrogen
An infection that involves both the fallopian tube and ovary is called...
TOA
What part of the fallopian tube does fertilization occur?
Ampulla

What ultrasound feature do we see with dermoids?
Tip of the iceberg
What 3 structures do we need to see to properly measure the BPD and HC?
Thalalmus, CSP, Falx
If baby is lying perpendicular to the maternal sagittal axis, what presentation is the baby in?
Transverse
What is the normal measurement for the lateral ventricles?
Less than or equal to 10 mm

How do you properly measure the cisterna magna size?
Vermis to occipital bone
If a cyst is located outside the ovary in the adnexa, what type of cyst is it?
Paraovarian cyst

Tiny grape like clusters within the endometrium is...
GTD
What lab value would be increased with GTD?
beta hCG
Which abdominal abnormality is to the right of the umbilical cord with free floating bowel?
Gastroschisis
Embryos with heart beats lower than _____ BPM have a poor prognosis.
90
Infalmmation of the serous membrane lining the abdominal cavity and covering the viscera is which of the following?
Peritonitis

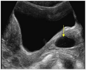
What pathology are we seeing in this image?
Gartner cyst

What pathology are we seeing in the cervix?
Cervical polyp
What portion of the cervical canal is lined with squamous epithelium
Ectocervix
A hyperplastic protrusion of the epithelium of the cervix is called?
Polyp
TA and TV images show a hypoechoic, well defined adnexal mass with normal ovaries seen bilaterally. Pt also experiences painful menstrual cycles and infertility. What pathology does this pt have?
Endometrioma
Endometriosis is easily detectable with ultrasound. T/F?
False
The fallopian tubes are best seen transvaginal. T/F?
True
How would a pelvic abscess appear on ultrasound?
Complex cul-de-sac mass that distorts pelvic anatomy

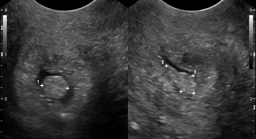
What pathology are we seeing in this image?
Nabothian cyst
Obstruction of the cervical canal is called?
Cervical stenosis
What is the most common cervical cancer?
Squamous cell carcinoma
A regular bleeding is called
Menorrhea
What fibroid location causes irregular uterine bleeding?
Submucosal
During pregnancy when does the corpus luteum regress by?
16-18 weeks
When there is simultaneous intrauterine and extrauterine pregnancy, what is it called?
Heterotopic