1/17
Looks like no tags are added yet.
Name | Mastery | Learn | Test | Matching | Spaced | Call with Kai |
|---|
No analytics yet
Send a link to your students to track their progress

Una mujer de 24 años, G2, P1001, se somete a una ecografía de control en la semana 17 de gestación y muestra polihidramnios. Da a luz un niño a término sin alteraciones en la exploración. Desde su nacimiento ha vomitado con frecuencia tras las tomas. La figura corresponde a los hallazgos de la radiografía con contraste realizada al lactante. Las pruebas de laboratorio revelan cifras de sodio de 130 mmol/l; de potasio de 3,4 mmol/l; de cloruro de 85 mmol/l; de CO2 de 32 mmol/l; de glucosa de 65 mg/dl, y de amilasa de 15 UI/l. ¿Cuál es el diagnóstico más probable?
A. Pancreatitis aguda
B. Páncreas anular
C. Pancreatitis crónica
D. Adenoma de células de los islotes
E. Adenocarcinoma de páncreas
F. Estenosis pilórica
B. Pancreas anular. Cuando las yemas ventral y dorsal del páncreas embrionario no rotan ni se fusionan de forma adecuada, el duodeno puede quedar rodeado por tejido pancreático, lo que se traduce en su obstrucción, cuadro que se llama páncreas anular. Según el grado de obstrucción, este puede manifestarse desde el nacimiento, durante la infancia o en la edad adulta. La presencia de polihidramnios sugiere una obstrucción digestiva alta intrauterina. La radiografía muestra una región de estenosis duodenal provocada por el páncreas circundante. La ecografía podría identificar el signo de la doble burbuja con distensión gástrica y del bulbo duodenal con presencia de aire proximal a la región de obstrucción duodenal. La pancreatitis aguda y crónica se debería asociar a dolor abdominal y a un aumento de la concentración de amilasa sérica; en general no produce una obstrucción mecánica del intestino, aunque la inflamación podría provocar íleo paralítico. Las neoplasias son lesiones focales que pueden obstruir la vía biliar y el conducto pancreático, pero en general no obstruyen el duodeno. La estenosis pilórica se encuentra en neonatos y lactantes pequeños, pero en general a las 2-3 semanas del parto y produce vómitos en proyectil y una masa epigástrica palpable.
Un chico de 16 años sufre una herida por arma de fuego en el abdomen durante un tiroteo. En la laparotomía exploradora, la cirujana encuentra una perforación de yeyuno. Procede a extirparla y palpa una masa en la submucosa del yeyuno. Al corte se observa que la lesión es una masa bien delimitada, sólida y parduzca de 1,5 cm de diámetro. Se envía para su estudio intraoperatorio. ¿Qué es más probable que encuentre la patóloga en el estudio histológico?
A. Adenocarcinoma
B. Médula suprarrenal
C. Mucosa gástrica
D. Linfoma no hodgkiniano
E. Ácinos pancreáticos
E. Acinos pancreaticos Este hallazgo incidental es compatible con un páncreas ectópico, que puede encontrarse en el intestino hasta en el 2% de los individuos. Puede asociarse a divertículo de Meckel, aunque en este paciente no se encontró ningún divertículo, el cual debería estar localizado en el íleon distal como resto del conducto vitelino. El adenocarcinoma es poco probable en un niño adolescente, y el adenocarcinoma primario de intestino delgado es poco frecuente. Pueden encontrarse restos de corteza suprarrenal en la pelvis, pero en general no en los intestinos. La mucosa gástrica ectópica también se asocia, sobre todo, a un divertículo de Meckel. Los linfomas no hodgkinianos intestinales producen masas más grandes y, en general, afectan a ancianos.
Se realiza una TC abdominal a una mujer de 33 años para la estadificación del linfoma de Hodgkin de los ganglios cervicales que sufre. En la TC se identifica un quiste solitario de 4 cm en la cabeza del páncreas. Se realiza una punción-aspiración con aguja fina y se obtiene líquido seroso claro, que, microscópicamente, contiene células cúbicas bajas sin atipias. ¿Qué es más probable que sea este quiste?
A. Adenocarcinoma
B. Un componente de la poliquistosis renal autosómica dominante
C. Malformación congénita
D. Cistoadenoma seroso
E. Seudoquiste
C. Malformación congenita Se trata de un incidentaloma, o hallazgo sin más importancia clínica que la necesidad de reconocerlo para no hacer nada. La realización de más pruebas diagnósticas aportará más datos sin importancia para la salud del paciente. Siga la norma de los pescadores: pesque y suelte la presa. La poliquistosis se caracteriza por múltiples quistes, que también son benignos, pero muestran tendencia a sangrar o infectarse. Si no existen características proliferativas adicionales, posiblemente no se trate de una neoplasia. Un seudoquiste es una complicación de una pancreatitis y se reviste de tejido de granulación.
Se realiza un estudio clínico sobre pacientes con un abdomen agudo. Se identifica a pacientes con aumento de la concentración de la lipasa sérica. ¿Cuál de los siguientes valores analíticos es más probable que prediga mal pronóstico cuando su concentración sea baja?
A. Albúmina
B. Bilirrubina
C. Calcio
D. Fibrinógeno
E. Haptoglobina
C. Calcio La pancreatitis aguda se caracteriza por la liberación de enzimas, lo que produce áreas de necrosis grasa que son parecidas al yeso, con precipitación de calcio y con la consiguiente disminución de la calcemia. Cuanto más grave sea la inflamación, menor será la calcemia. La hipoalbuminemia más probablemente se desarrolle como una complicación de la pancreatitis crónica con malabsorción. Puede producirse una hiperbilirrubinemia en casos de pancreatitis inducida por cálculos, aunque la concentración de bilirrubina no orienta sobre la gravedad de la pancreatitis. El fibrinógeno es un reactante de fase aguda cuya concentración aumenta con la inflamación, pero no se correlaciona bien con su localización o extensión. La haptoglobina sérica disminuye con la hemólisis.
Un hombre de 35 años refiere brotes de dolor abdominal sordo de 1 año de evolución. Durante los 5 años siguientes desarrolla también esteatorrea y leve intolerancia a la glucosa. No presenta ictericia. La TC abdominal revela calcificación moteada en el tercio medio del abdomen, sobre todo cerca del duodeno. Una de sus hermanas presenta un cuadro clínico parecido, aunque los dos padres no. ¿La pérdida de inhibición de cuál de los siguientes factores es más probable que cause la enfermedad en estos pacientes?
A. Amilasa
B. Complemento
C. Lipasa
D. Factor de crecimiento transformante β (TGF-β)
E. Tripsina
E. Tripsina Esta forma de pancreatitis hereditaria autosómica recesiva se debe a una activación anómala de la tripsina, que genera una cascada de episodios que culmina en una pancreatitis aguda. El gen del inhibidor de la proteasa de serina Kazal de tipo 1 (SPINK1) codifica un inhibidor de la tripsina secretora pancreática. La activación de la tripsina también condiciona la activación del factor de Hageman, la calicreína y el complemento, que inducen las alteraciones vasculares en la pancreatitis. Las mutaciones de SPINK1 y PRSS1 se asocian a un aumento muy importante del riesgo de cáncer de páncreas. En la pancreatitis se liberan amilasa y lipasa como consecuencia de la activación de la tripsina. El TGF-β interviene en la fibrogenia de la pancreatitis crónica.

Un hombre de 52 años lleva 2 días con dolor abdominal intenso. La exploración física revela rigidez en tabla de los músculos abdominales, lo que dificulta la exploración. No muestra distensión abdominal. La figura se corresponde con el aspecto macroscópico representativo de este proceso patológico. ¿Cuál de los siguientes mecanismos es más probable que produzca este aspecto?
A. Mutación del gen CFTR
B. Infección por el virus de Coxsackie B
C. Desregulación de la inactivación del tripsinógeno
D. Hipertrigliceridemia marcada
E. Vasculitis con isquemia aguda
F. Traumatismo abdominal cerrado enérgico
C. Desregulación de la inactivación del tripsinógeno La figura muestra una pancreatitis hemorrágica aguda con focos de necrosis grasa con un aspecto blanquecino parecido al yeso. Una causa fundamental de la pancreatitis aguda es la activación inadecuada de las enzimas digestivas en los ácinos y la consiguiente autodigestión del páncreas. Estas enzimas existen como proenzimas en los ácinos y son activadas por la tripsina. Esta deriva del tripsinógeno, y cualquier alteración que impide una inactivación regulada del tripsinógeno puede condicionar una activación excesiva mediada por la tripsina de otras enzimas digestivas, como la lipasa, la amilasa y la elastasa. La evidencia de este mecanismo deriva de la observación de que la infrecuente pancreatitis hereditaria, producida por mutaciones en la línea germinal que afectan a un lugar de la molécula del tripsinógeno catiónico esencial para la degradación de la tripsina por la propia tripsina, se caracteriza porque el tripsinógeno y la tripsina se vuelven resistentes a la inactivación y la tripsina activada de forma anómala activa a su vez a otras proenzimas digestivas, con la consiguiente aparición de la pancreatitis. La obstrucción del conducto pancreático por cálculos es el episodio que con más frecuencia precipita la activación del tripsinógeno. La mutación del gen CFTR puede producir una pancreatitis crónica, incluso en ausencia de fibrosis quística. Las infecciones víricas, la hipertrigliceridemia, la vasculitis y los traumatismos son causas menos frecuentes de pancreatitis.
Un niño de 11 años ha presentado brotes múltiples de dolor abdominal intenso durante los últimos 6 años, sin otros problemas médicos. Su padre y su abuelo presentan un proceso parecido. En la exploración realizada durante el último episodio no se identificaron ruidos intestinales y el paciente presentaba dolor abdominal difuso intenso con rigidez de la pared abdominal. La radiografía revela asas intestinales dilatadas con niveles hidroaéreos. Las pruebas de laboratorio muestran una concentración de amilasa sérica de 3.320 U/l. ¿Cuál de los siguientes genes es más probable que esté afectado por una mutación hereditaria en este paciente?
A. CFTR
B. KRAS
C. PRSS1
D. SMAD4
E. SPINK1
C. PRSS1 Este chico tiene evidencias de pancreatitis de repetición, caracterizada por dolor abdominal intenso, íleo paralítico e hiperamilasemia. La aparición de pancreatitis en un niño sugiere una base genética, y los antecedentes familiares de afectación de un padre y un abuelo son sugestivos de transmisión autosómica dominante. El gen PRSS1 codifica el tripsinógeno catiónico, cuya mutación determina la resistencia de la tripsina a la inactivación. El gen SPINK1 codifica un inhibidor de la tripsina, y su mutación puede ocasionar pancreatitis, pero la herencia es autosómica recesiva. La mutación del gen CFTR puede producir fibrosis quística, pero a los 11 años ya deberían existir problemas pulmonares y los brotes de pancreatitis no suelen ser tan graves. KRAS (un oncogén) y SMAD4 (un gen supresor de tumor) están implicados en el desarrollo de adenocarcinomas de páncreas.
Una mujer de 38 años con antecedentes de enfermedad vesicular de larga evolución desarrolla de forma súbita un intenso dolor abdominal medio. En la exploración física presenta marcada hipersensibilidad abdominal, sobre todo en la parte superior del abdomen, con reducción de los sonidos intestinales. La radiografía abdominal simple no revela aire libre, pero se identifica un marcado edema de tejidos blandos. La TC abdominal muestra una reducción de la atenuación con densidad líquida que afecta al páncreas. Se le administran líquidos intravenosos y se le coloca una sonda nasogástrica, tras lo cual se recupera de forma gradual. ¿La determinación en suero de cuál de las siguientes sustancias es más útil para establecer el diagnóstico de su enfermedad?
A. Alanina aminotransferasa
B. Amoníaco
C. Bicarbonato
D. Bilirrubina
E. Glucosa
F. Amilasa
F. Amilasa Las características clínicas y la enfermedad previa de la vesícula biliar son sugestivas de pancreatitis aguda. Este diagnóstico se confirma por el aspecto del páncreas en los estudios radiológicos. La amilasa sérica y la lipasa en suero y orina aumentan con rapidez tras un ataque de pancreatitis aguda. Estas enzimas son liberadas por los ácinos pancreáticos necróticos. Pueden producirse alteraciones de las pruebas de función hepática en los pacientes con una pancreatitis secundaria a cálculos, pero no permiten confirmar la afectación del páncreas. Una concentración de ALT elevada es más característica de lesión celular hepática. La hiperamoniemia es una característica de la insuficiencia hepática. Aunque las células acinares pancreáticas pueden producir bicarbonato, sus concentraciones no se correlacionan bien con la pancreatitis. La bilirrubina puede estar elevada cuando se expulsa un cálculo por la vía biliar, pero no confirma la existencia de enfermedad pancreática. En la pancreatitis aguda, los islotes de Langerhans siguen funcionando, pero es típico que no sean hiperactivos.
Un hombre de 63 años que había sufrido insuficiencia cardíaca congestiva progresiva con arritmias durante el último año de vida falleció por una neumonía. En la autopsia, el páncreas parece pequeño y con fibrosis densa. Su estudio histológico revela extensa atrofia acinar con inflamación crónica residual, fibrosis y tapones de proteínas densos en unos conductos pancreáticos pequeños y obstruidos. Algunos de los tapones de proteínas muestran calcificaciones. Los islotes de Langerhans son normales. El corazón pesa 500 g y las cuatro cámaras están dilatadas. ¿Cuál de los siguientes trastornos es más probable que explique estos hallazgos?
A. Deficiencia de αl-antitripsina
B. Traumatismo abdominal cerrado
C. Colelitiasis
D. Alcoholismo crónico
E. Fibrosis quística
F. Hipercolesterolemia
D. Alcoholismo crónico Este paciente presenta pancreatitis crónica. El alcohol induce la activación intracelular de las proenzimas, lo que condiciona una lesión de las células acinares. Aunque se desconoce el mecanismo exacto para el desarrollo de pancreatitis con el alcoholismo, en muchos casos se observa producción de una secreción pancreática rica en proteínas con formación de tapones densos y obstrucción ductal. Esta última predispone a la lesión acinar, y las lesiones persistentes o repetidas conducen a pancreatitis crónica. Los pacientes con antecedentes de alcoholismo crónico pueden sufrir brotes de pancreatitis crónica que no se detectan y solo sufrir una pancreatitis aguda superpuesta con repercusión clínica. El alcohol, los fármacos, los traumatismos y los virus pueden ejercer un efecto lesivo directo sobre las células acinares exocrinas pancreáticas. En el alcoholismo crónico también se produce una miocardiopatía dilatada, como ocurre en este caso. La deficiencia de α1-antitripsina puede ocasionar una hepatopatía con hepatitis crónica, cirrosis o ambos. Los traumatismos abdominales cerrados pueden producir hemorragia, en ocasiones asociada a componentes de pancreatitis aguda. La fibrosis quística reduce la excreción de bicarbonato y estimula la formación de tapones de proteínas en los conductos, pero suele cursar como una pancreatitis crónica subclínica, con malabsorción de grasas y vitaminas liposolubles y, en función de la mutación de CFTR, en estos pacientes pueden faltar otros rasgos de la fibrosis quística. La hipercolesterolemia (normalmente de al menos 1.000 mg/dl o más) puede ocasionar pancreatitis aguda, igual que la colelitiasis.
Un hombre de 39 años ha sufrido numerosos brotes de neumonía por Pseudomonas aeruginosa y Burkholderia cepacia durante los últimos 35 años. Actualmente presenta una diarrea de volumen de escaso a moderado. En la exploración física destaca una reducción del murmullo vesicular con matidez a la percusión de ambos pulmones. La prueba de sangre oculta en heces con guayacol es negativa. Las pruebas de laboratorio revelan la mutación ΔF508. En heces se detectan 7,5 g/día de grasa. ¿Cuál de los siguientes hallazgos patológicos es más probable que se encuentre en el páncreas de este paciente?
A. Inflamación aguda
B. Atrofia acinar
C. Adenocarcinoma
D. Amiloidosis
E. Seudoquiste
B. Atrofia acinar La fibrosis quística es un proceso autosómico recesivo que se debe a una alteración del gen regulador de la conductancia transmembrana de la fibrosis quística (CFTR). La mutación más frecuente es ΔF508. Se producen unas secreciones anómalamente viscosas que afectan al páncreas y determinan una obstrucción de los conductos, con aparición de una pancreatitis crónicos con atrofia acinar. Finalmente, se pierde la función exocrina. La pancreatitis aguda y crónica florida con clínica y la complicación de la inflamación denominada seudoquiste no se producen típicamente en este contexto. La fibrosis quística no es un factor de riesgo para el desarrollo de adenoma o carcinoma de páncreas. Puede producirse un depósito de material amiloide en los islotes de Langerhans de los diabéticos de tipo 2, pero el depósito generalizado de amiloide en el páncreas es poco frecuente.
Una mujer de 36 años con antecedentes de infecciones pulmonares desde la infancia refiere dolor abdominal crónico desde hace 4 años y una pérdida de 6 kg de peso. En la exploración física su IMC es de 18. Se identifica edema con fóvea en la parte distal de la extremidad inferior. Las pruebas de laboratorio indican cifras de albúmina sérica de 3 g/dl, de proteínas totales de 5,2 g/dl y de glucosa de 155 mg/dl. La TC abdominal revela calcificaciones en la parte superior del abdomen, posteriores al estómago. No se identifican masas. ¿Cuál de los siguientes genes es más probable que tenga una mutación?
A. CFTR
B. KRAS
C. PRSS1
D. SPINK1
E. VHL
A. CFTR La paciente tiene una pancreatitis crónica. Este cuadro se podría atribuir al alcoholismo, pero la causa verdadera puede no estar clara y muchos casos de pancreatitis se han llamado idiopáticos. Las pruebas genéticas pueden mostrar una mutación del gen CFTR. Existen cientos de mutaciones de este tipo y no todas se asocian a neumopatía, pero pueden producir otras manifestaciones clínicas, como pancreatitis. En los adenocarcinomas existen mutaciones de KRAS. Las mutaciones de PRSS1 y SPINK1 se asocian a pancreatitis hereditaria y también aumentan el riesgo de carcinoma de páncreas, pero ninguno se asocia a neumopatía. Las mutaciones de VHL pueden encontrarse en el cistoadenoma seroso.
Una mujer de 65 años refiere dolor abdominal alto desde hace 1 mes. A la palpación, el dolor se localiza en la región epigástrica. La TC abdominal muestra una masa bien delimitada de 8 cm en la cola del páncreas con muchas áreas pequeñas llenas de líquido. Durante la laparotomía se extirpa una masa y el estudio histológico muestra células cúbicas bajas ricas en glucógeno que rodean unos espacios llenos de líquido claro. La lesión no recidiva. ¿Cuál es el diagnóstico más probable?
A. Adenocarcinoma
B. Poliquistosis renal autosómica dominante
C. Pancreatitis crónica
D. Fibrosis quística
E. Seudoquiste
F. Cistoadenoma seroso
F. Cistoadenoma seroso La mayor parte de los quistes pancreáticos no son neoplásicos, como sucede en los seudoquistes y en los quistes aislados que se asocian a poliquistosis renal autosómica dominante (PQRAD). Es poco probable que la PQRAD afecte al páncreas en ausencia de cambios poliquísticos en unos riñones aumentados de tamaño. Esta mujer tiene una masa solitaria con características de un cistoadenoma seroso benigno. Los adenocarcinomas son neoplasias más invasivas que raras veces se curan mediante cirugía porque suelen ser grandes e infiltrantes cuando se diagnostican. Se trata, en general, de masas sólidas, aunque pueden mostrar áreas de necrosis. La pancreatitis crónica produce fibrosis. La fibrosis quística puede ocasionar una pancreatitis crónica. El páncreas suele ser pequeño y fibrótico en la pancreatitis crónica. El seudoquiste se forma, en general, en pacientes con una extensa destrucción del páncreas con inflamación aguda, típicamente en la pancreatitis aguda, o con inflamación aguda superpuesta sobre inflamación crónica, como sucede en el alcoholismo crónico.
Una mujer de 46 años presenta dolor abdominal intenso desde hace 2 días. En la exploración física se identifica dolor epigástrico intenso con reducción de los ruidos abdominales. Las pruebas de laboratorio indican una elevación de la concentración de lipasa sérica. Se realiza tratamiento de mantenimiento y el cuadro agudo cede en 7 días. ¿Cuál de las siguientes complicaciones es más probable que presente esta paciente?
A. Ulceración gástrica
B. Hemoperitoneo
C. Coma hiperosmolar
D. Cetoacidosis
E. Formación de seudoquistes
F.. Infarto del intestino delgado
E. Formación de seudoquiste Durante la pancreatitis aguda, la extensión de la necrosis puede ser tan grave que el área de licuefacción se rodee de tejido de granulación con formación de una masa quística. Sin embargo, como el quiste no tiene ningún revestimiento epitelial, se debería hablar mejor de seudoquiste. Aunque el páncreas es inferior y posterior al estómago, es típico que la inflamación no se extienda a dicho órgano. Si bien la pancreatitis aguda puede ser hemorrágica, la hemorragia se limita al cuerpo del páncreas y al tejido fibroadiposo circundante. Los islotes de Langerhans suelen conservar su función a pesar de la intensa inflamación parenquimatosa. La falta de insulina no es una característica de la pancreatitis. Es poco probable que la inflamación comprometa la irrigación de los órganos abdominales y ocasione un infarto.

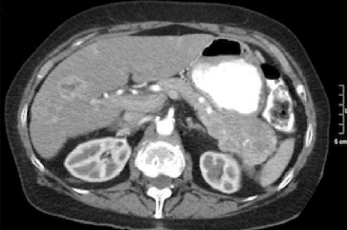
Una mujer de 58 años tiene dolor abdominal durante el último año. A la palpación se observa hipersensibilidad en el tercio medio epigástrico. Las pruebas de laboratorio muestran una concentración de lipasa sérica normal. La figura corresponde a su TC abdominal. Se extirpa la lesión y el estudio histológico revela células con atipia citológica y arquitectural pero que no infiltran el parénquima pancreático adyacente. ¿Cuál es el diagnóstico más probable?
A. Adenocarcinoma
B. Poliquistosis renal autosómica dominante
C. Neoplasia mucinosa quística
D. Fibrosis quística
E. Tumor de células de los islotes no funcionante
F. Seudoquiste
C. Neoplasia mucinosa quística La TC muestra una masa quística multilocular delimitada. Los tumores mucinosos pancreáticos pueden ser completamente benignos, intermedios (borderline) o malignos. La presencia de atipia citológica y arquitectural (displasia de bajo grado) es indicativa de que la lesión no es totalmente benigna, pero cuando no existen rasgos claramente malignos, como infiltración o metástasis, la lesión se debe incluir dentro de la categoría borderline. Esta terminología «indefinida» resulta frustrante para los profesionales sanitarios y los pacientes, pero con frecuencia no existen respuestas sencillas a la hora de abordar estas neoplasias. Sin embargo, con el tiempo puede aparecer un adenocarcinoma sobre una neoplasia mucinosa quística. Los adenocarcinomas de páncreas son neoplasias sólidas más invasivas, de mal pronóstico en general. Los quistes de la PQRAD son benignos y aparecen dispersos por todo el páncreas sin condicionar un efecto de masa; la TC de este caso no muestra quistes renales. La fibrosis quística puede producir una pancreatitis crónica, pero no una neoplasia pancreática. Los tumores de las células de los islotes son masas sólidas, en general, bastante pequeñas cuando son benignas y en ocasiones se asocian a producción hormonal. Un seudoquiste es una estructura inflamatoria originada sobre una pancreatitis con necrosis extensa y no se trata de una neoplasia.

Una mujer de 79 años pertenece a una secta religiosa que sigue el lema «Evita todo lo que suene a diversión» y al seguirlo ha evitado muchos factores de riesgo de enfermedad y ha estado sana. Durante los últimos 7 meses ha presentado un vago dolor abdominal y ayer presentó dolor torácico agudo con disnea. La TC torácica y abdominal muestra una embolia pulmonar. La figura corresponde a la TC abdominal. Las pruebas de laboratorio revelan un incremento de CEA y de CA19-9. ¿Cuál de los siguientes genes es más probable que esté mutado para el desarrollo de esta masa?
A. APC
B. BRCA2
C. CFTR
D. KRAS
E. PRSS1
F. SPINK1
D. KRAS La mortalidad es inexorable. La prevalencia de cáncer esporádico (sin factores de riesgo hereditario identificables) aumenta con la edad. La figura muestra una masa irregular que ocupa la mayor parte del cuerpo y la cola del páncreas, además de metástasis hepáticas. Esta paciente presenta un adenocarcinoma de páncreas con síndrome de Trousseau (situación de hipercoagulabilidad paraneoplásica), con aparición de una tromboembolia pulmonar. Los marcadores tumorales CEA y CA19-9 suelen estar aumentados, pero resultan insensibles para establecer un diagnóstico precoz del cáncer de páncreas. Las mutaciones de KRAS se encuentran en más del 90% de los adenocarcinomas de páncreas. Las mutaciones del gen APC aparecen en las formas hereditarias y esporádicas de adenocarcinoma de colon. Las mutaciones de BRCA2 están descritas en algunos cánceres pancreáticos, pero en general existen antecedentes familiares de cáncer de ovario y mama. Las mutaciones de CFTR se asocian a fibrosis quística, que no es un riesgo de cáncer de páncreas. Las mutaciones de PRSS1 determinan riesgo de adenocarcinoma de páncreas, pero el paciente debería tener antecedentes de pancreatitis crónica de aparición en edades tempranas de la vida. Las mutaciones de SPINK1 se asocian también a pancreatitis hereditaria y a un riesgo significativo de cáncer de páncreas.
Una mujer de 73 años ha observado una pérdida de 10 kg de peso en los últimos 3 meses. Presenta una ictericia progresiva y refiere un dolor epigástrico vago constante, con náuseas y episodios de diarrea y flatulencia. En la exploración física se encuentra afebril. Hay una ligera hipersensibilidad a la palpación de la parte superior del abdomen, pero los ruidos intestinales se conservan. No se encuentra sangre oculta en heces. En las pruebas de laboratorio destacan una concentración de bilirrubina sérica total de 11,6 mg/dl y de bilirrubina directa de 10,5 mg/dl. ¿Cuál de los siguientes trastornos pancreáticos es más probable que se encuentre en este paciente?
A. Adenocarcinoma
B. Pancreatitis crónica
C. Fibrosis quística
D. Adenoma de células de los islotes
E. Seudoquiste
A. Adenocarcinoma La pérdida de peso y el dolor son sugestivos de una neoplasia maligna. La ictericia (hiperbilirrubinemia conjugada) aparece por la obstrucción biliar ocasionada por una masa en la cabeza del páncreas. Este carcinoma puede también cursar como una «ictericia indolora», pero es más probable que infiltre los nervios que rodean al páncreas y produzca dolor. El adenoma de las células de los islotes no es tan frecuente como el carcinoma de páncreas. Un adenoma localizado cerca de la ampolla podría tener un efecto parecido a un carcinoma, aunque es poco probable que este tipo de lesiones condicione pérdida de peso. La pancreatitis crónica no suele obstruir la vía biliar. En la fibrosis quística se produce una atrofia progresiva de los ácinos pancreáticos sin efecto de masa. La mayor parte de los seudoquistes asociados a pancreatitis se localizan en la región del cuerpo del páncreas o en su cola, pero no en su cabeza, y no se trata de neoplasias.
Un hombre de 68 años refiere un dolor abdominal sordo pero constante que se asocia a náuseas y vómitos desde hace 8 meses. En la exploración física destaca hipersensibilidad a la palpación de la parte superior del abdomen. La TC abdominal revela una masa delimitada de 2 cm en el cuerpo del páncreas. Se realiza una pancreatectomía y el estudio histológico de la masa muestra células epiteliales cilíndricas altas mucinosas, que revisten unas excrecencias papilares dentro del conducto pancreático principal. Se observa mínima atipia y no se identifican fenómenos de infiltración. ¿Cuál es la evolución más probable de este paciente en el futuro?
A. Neoplasias digestivas adicionales
B. Remisión completa
C. Desarrollo de tumores malignos extraabdominales
D. Recidivas locales
E. Formación de seudoquistes
B. Remisión completa Este paciente presenta una neoplasia mucinosa papilar intraductal (NMPI) del páncreas. Si se descubren de forma temprana y cuando son lesiones pequeñas, pueden no ser infiltrantes y curarse mediante cirugía sin recidiva. Con el tiempo pueden progresar y mostrar displasia más grave, con aparición de un adenocarcinoma. No es probable que sea parte de un síndrome con aparición de otras neoplasias. Si se reseca el páncreas, no hay opciones de que se forme un seudoquiste.
Un hombre de 80 años presenta ictericia progresiva con dolor abdominal desde hace 2 semanas. Ha perdido 4 kg de peso en los últimos 5 meses. En la exploración física destaca hipersensibilidad con vesícula palpable en el cuadrante superior derecho. La TC abdominal revela dilatación de la vesícula y del colédoco, además de una masa de 3 cm en la cabeza del páncreas. ¿Cuál de las siguientes lesiones es más probable que sea precursora de esta masa?
A. Carcinoma neuroendocrino de colon
B. Adenocarcinoma de duodeno
C. Tumor neuroendocrino
D. Neoplasia intraepitelial pancreática
E. Cistoadenoma seroso
D. Neoplasia intraepitelial pancreática Este paciente tiene más probabilidades de presentar un adenocarcinoma de páncreas. El diagnóstico de una neoplasia intraepitelial pancreática (NIPan) en este estadio es casi imposible. La presencia de una vesícula biliar dilatada y palpable se denomina signo de Courvoisier y se debe a una obstrucción de la vía biliar por una neoplasia. A pesar de este signo, el cáncer ha tenido tiempo para infiltrar y es poco probable curarlo, por lo que el pronóstico del adenocarcinoma de páncreas es malo. A pesar de todo, existen algunos quimioterápicos y tratamientos con fármacos biológicos monoclonales que podrían retrasar la evolución del tumor y prolongar la supervivencia. Es poco probable que esta masa solitaria sea una metástasis. Los carcinomas primarios de intestino delgado son infrecuentes. Los tumores neuroendocrinos que pueden originarse en los islotes de Langerhans suelen ser benignos cuando son pequeños y no evolucionan a adenocarcinoma. Los cistoadenomas serosos pancreáticos son casi todos benignos y posiblemente sean quísticos.