1/22
Looks like no tags are added yet.
Name | Mastery | Learn | Test | Matching | Spaced | Call with Kai |
|---|
No analytics yet
Send a link to your students to track their progress
Loose areolar CT
Type is Mature
Function: Strength, elasticity, support
Location: Walls of hollow organs, basement membrane

Cardiac Muscle
Function: pump blood throughout body
Feature: Intercallated discs

Reticular CT
Function: binds smooth muscle tissue cells
Location: Stroma of liver, spleen, lymph nodes

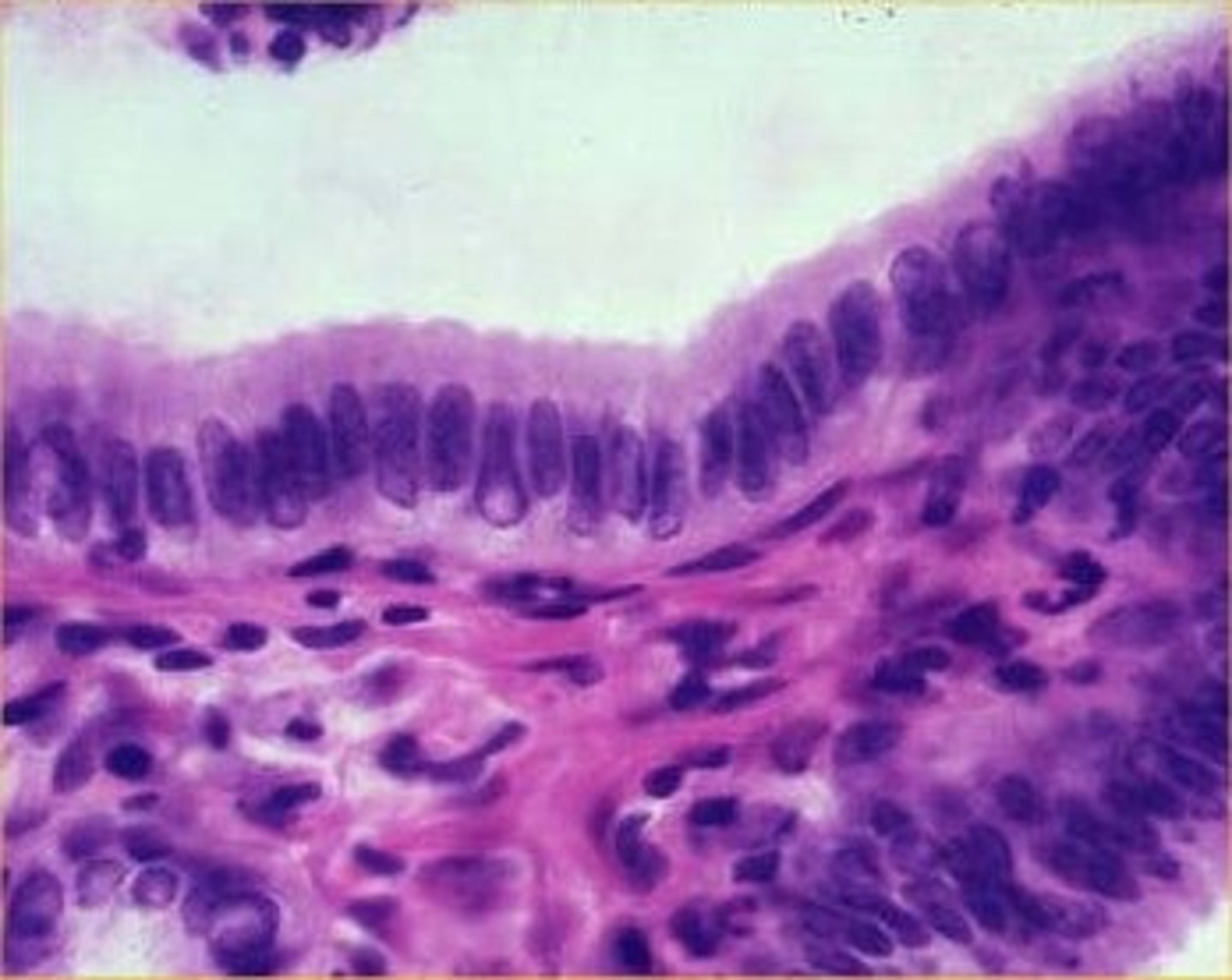
Simple Columnar
Location: Lines gastrointestinal tract
Function: Secretion and absorption
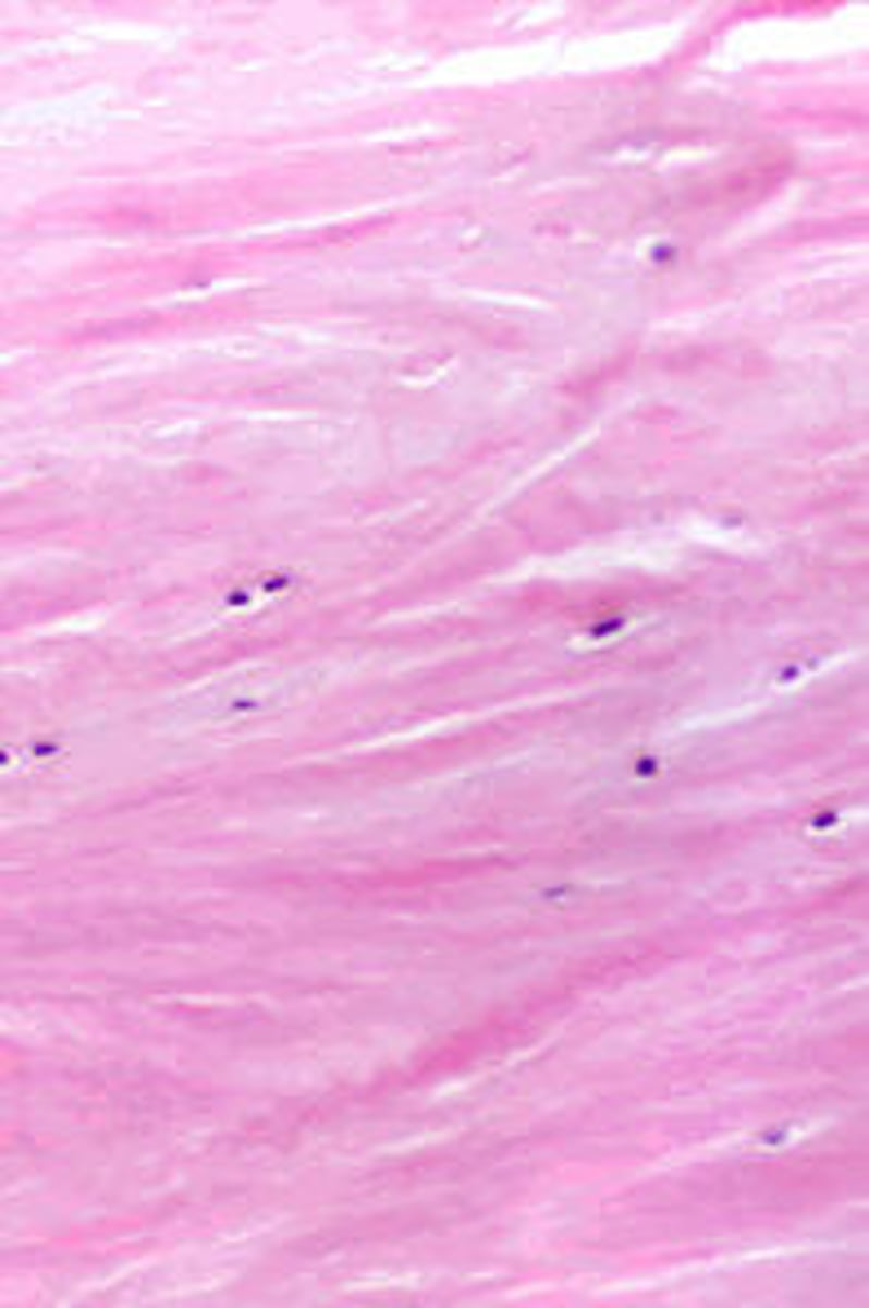
the connective tissue to this slide is dense irregular:

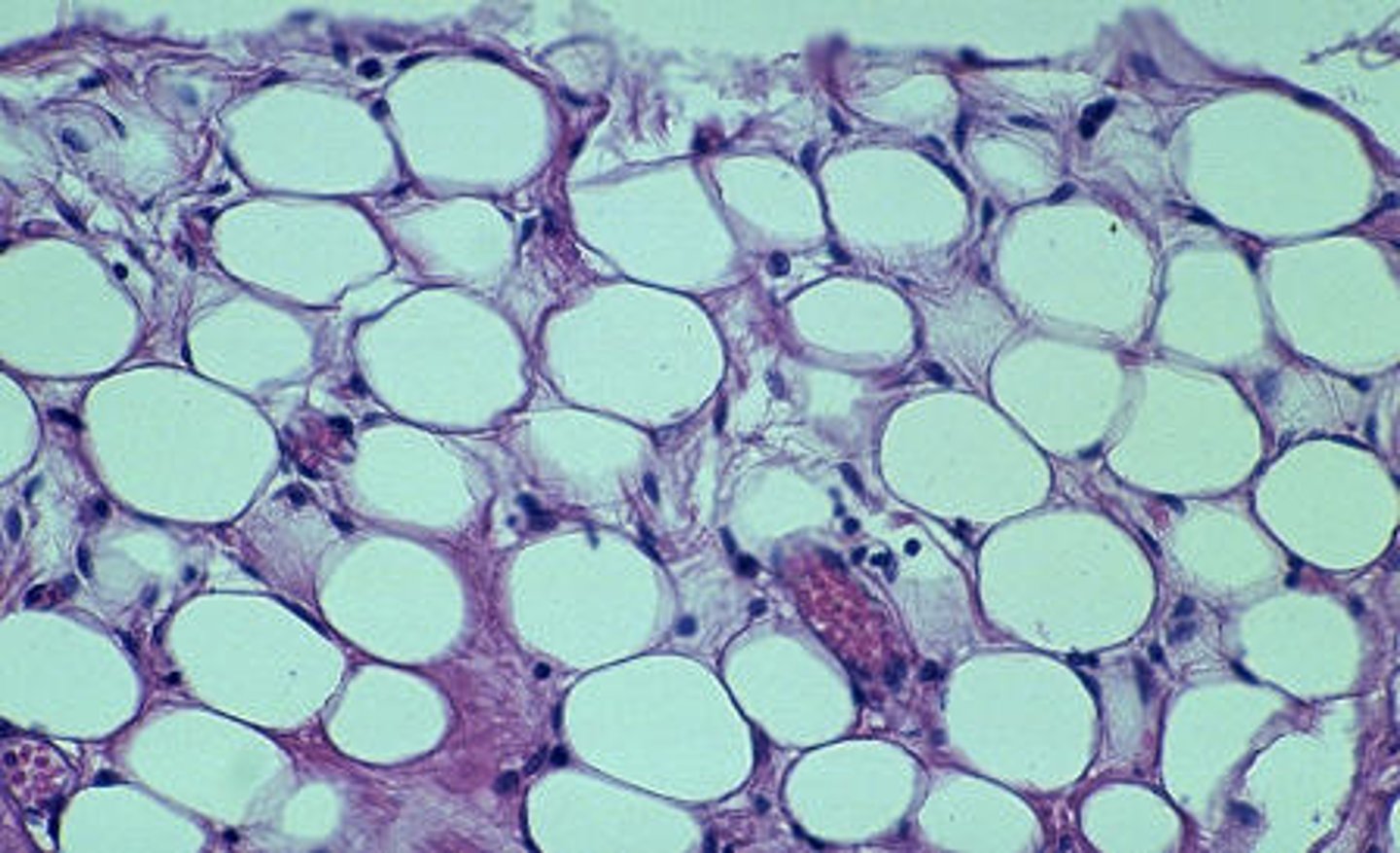
Adipose CT
Location: Subcutaneous layer deep to skin
Function: Reduces heat loss through skin

Simple squamous
Location: Lymphatic vessel linings
Function: diffusion of oxygen into blood vessels
the muscle tissue is smooth muscle tissue
The hole in center is called a lumen

Transitional Epithelium
Location: Lines urinary bladder
Function: distention and stretching

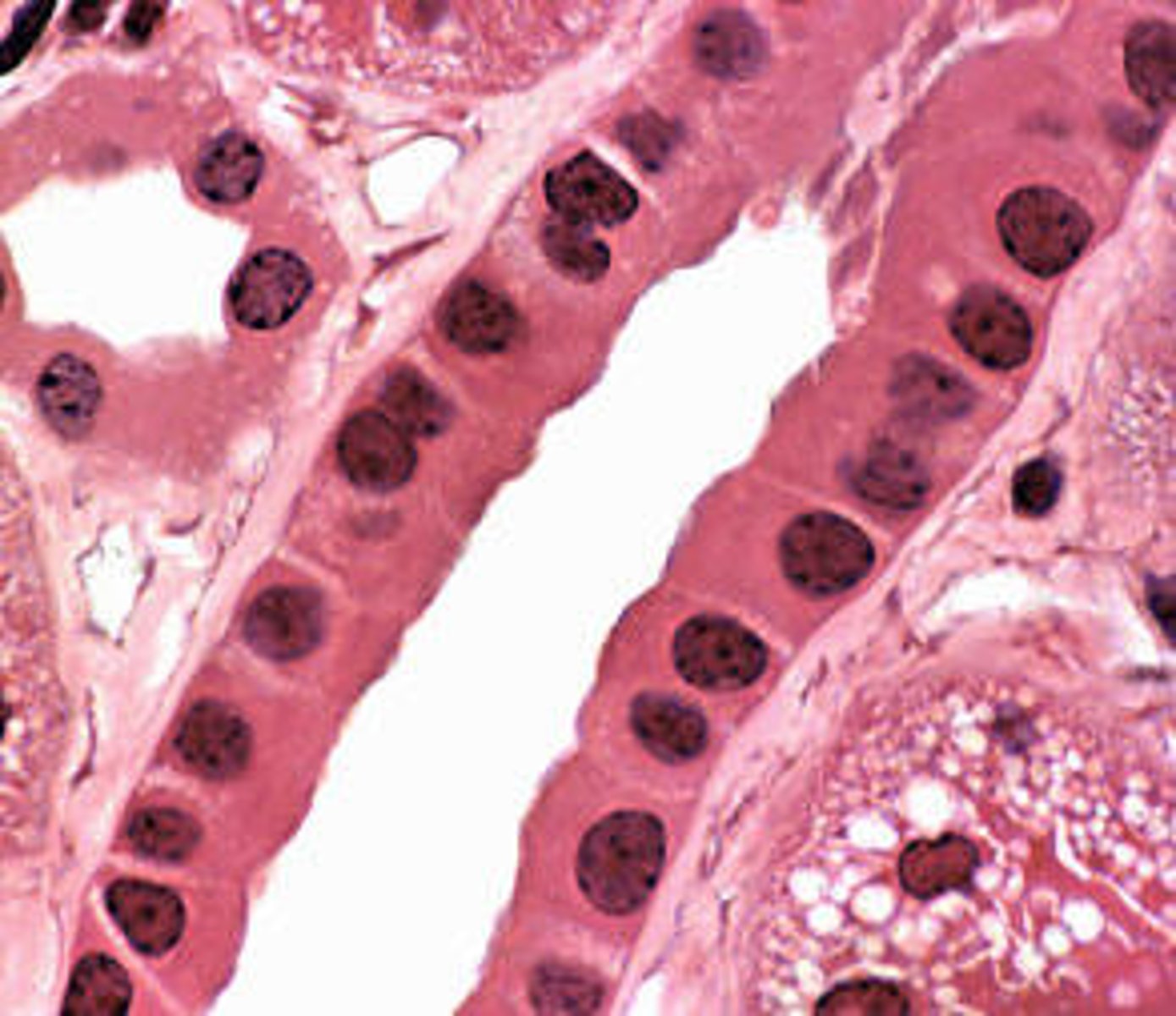
Simple cuboidal
Location: Surface of the ovary
Function: Secretion and absorption

Dense regular CT
Location: muscle to bone attachment

Hyaline (cells in well= cartiilage)
Feature: Cell in Well (chondrocytes)
Location: At the ends of long bones
Function: Support

Elastic cartilage
Feature: Cell in well (chondrocytes)
Location: On top of larynx
Function: Provides strength and elasticity

Bone tissue
Location: bones of the body
Function: Support

Simple squamous
Location: Lymphatic vessel linings
Function: diffusion of oxygen into blood vessels

Elastic CT
Location: Lungs
Function: Stretching

Dense Irregular
Location: joint capsules
Function: pulling

Fibro cartilage
Location: cartilage pads of knee
Function: Support

Simple squamous
Location: Lymphatic vessel linings
Function: diffusion of oxygen into blood vessels

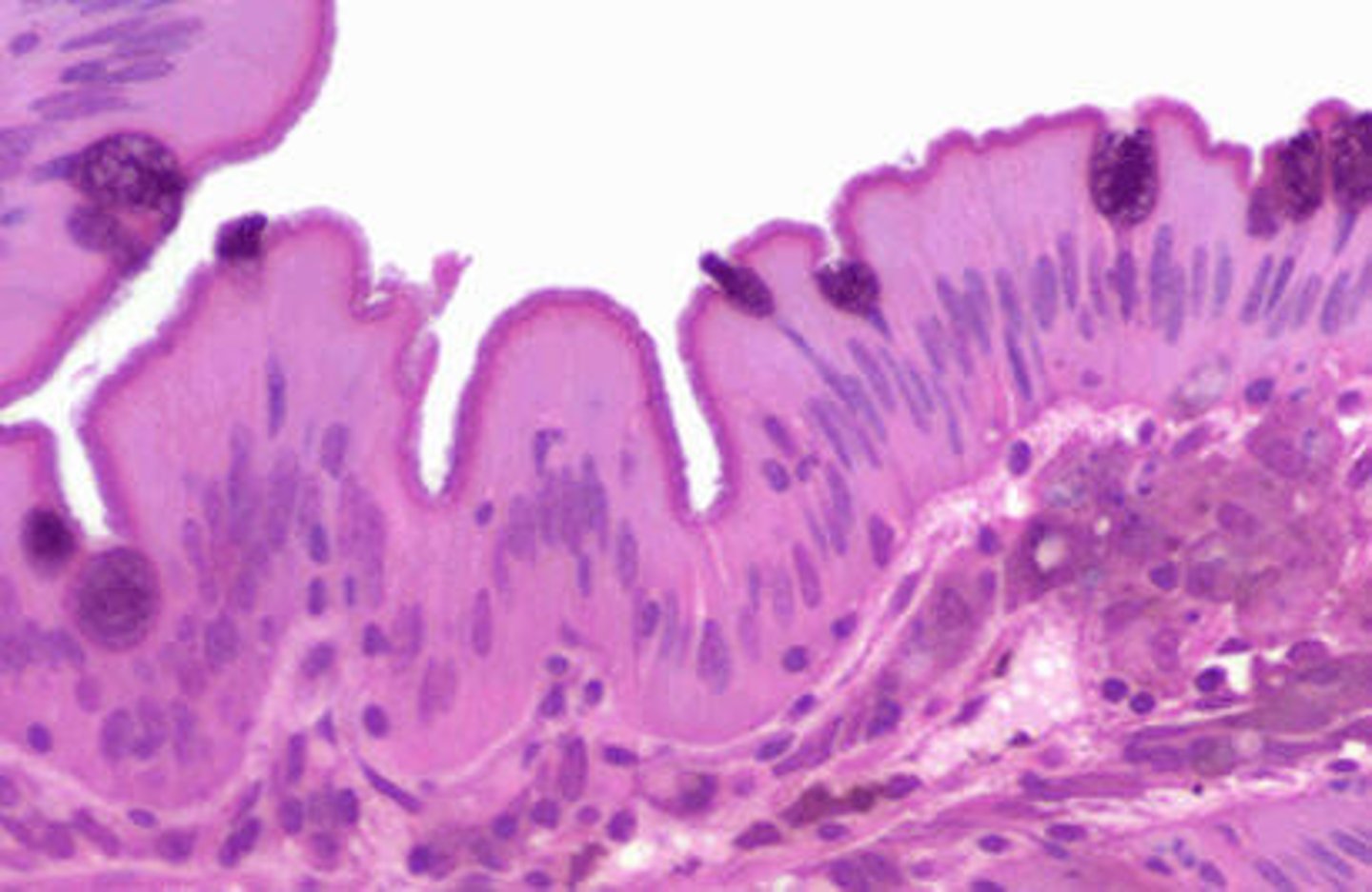
Simple columnar
Feature: Goblet cells
Location: Lines gastrointestinal tract
Function: Secretion and absorption

Stratified (2 layers) columnar
Location: Urethra
Function: Secretion and protection

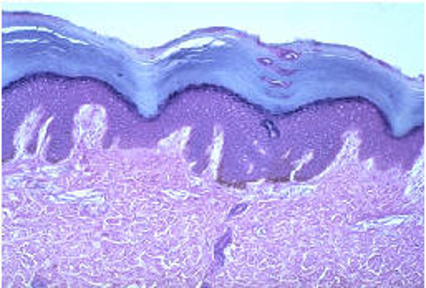
Stratified Squamous
Location: vagina
Function: Protection against abrasion

Nerve tissue
Location: Brain
Function: conducts nerve impulses to other neurons

Simple Columnar
Location: Lines gastrointestinal tract
Function: Secretion and absorption

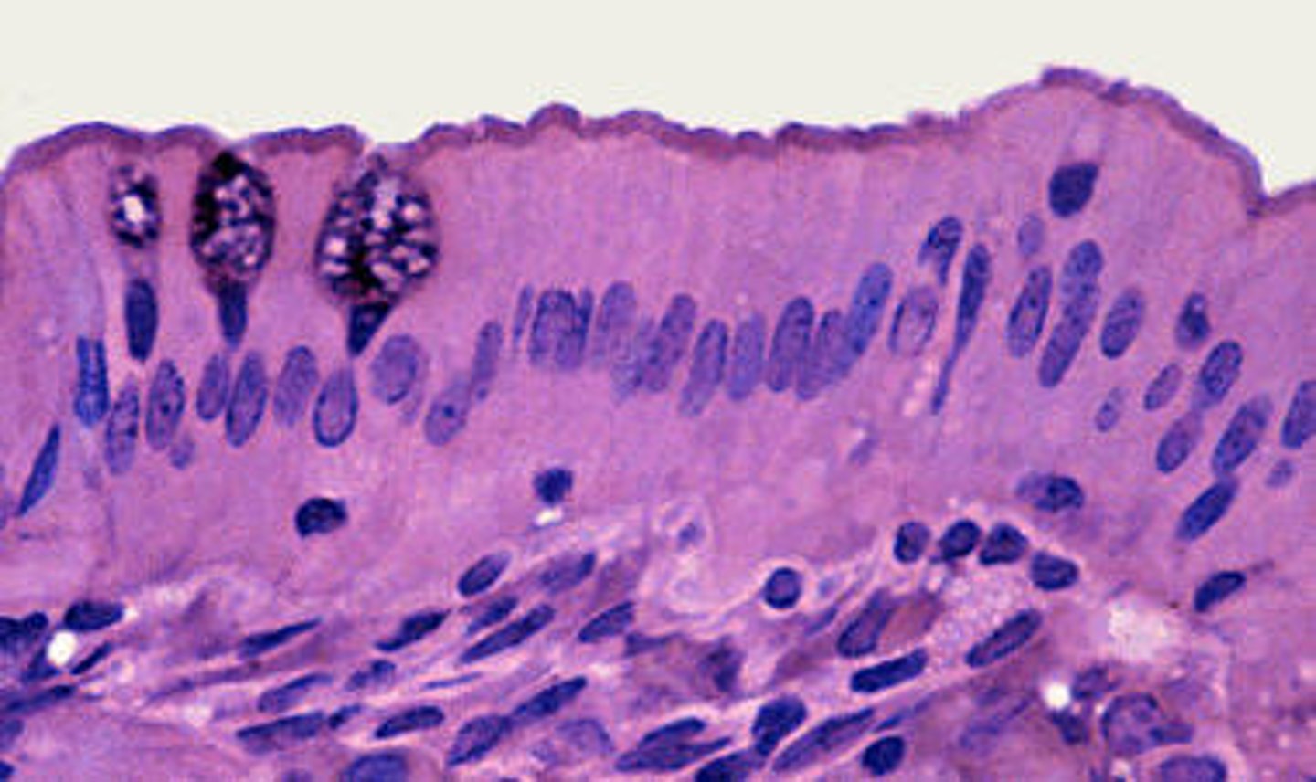
Psuedostratified ciliated columnar
Location: airway of upper respiratory tract
Function: mucous secretion
