1/84
Practice identifying parasites that we've viewed in BIO225's lab at MWCC.
Name | Mastery | Learn | Test | Matching | Spaced | Call with Kai |
|---|
No analytics yet
Send a link to your students to track their progress

Ancylostoma caninum
Stage: Rhabditiform larva


Isospora
Stage: Oocysts


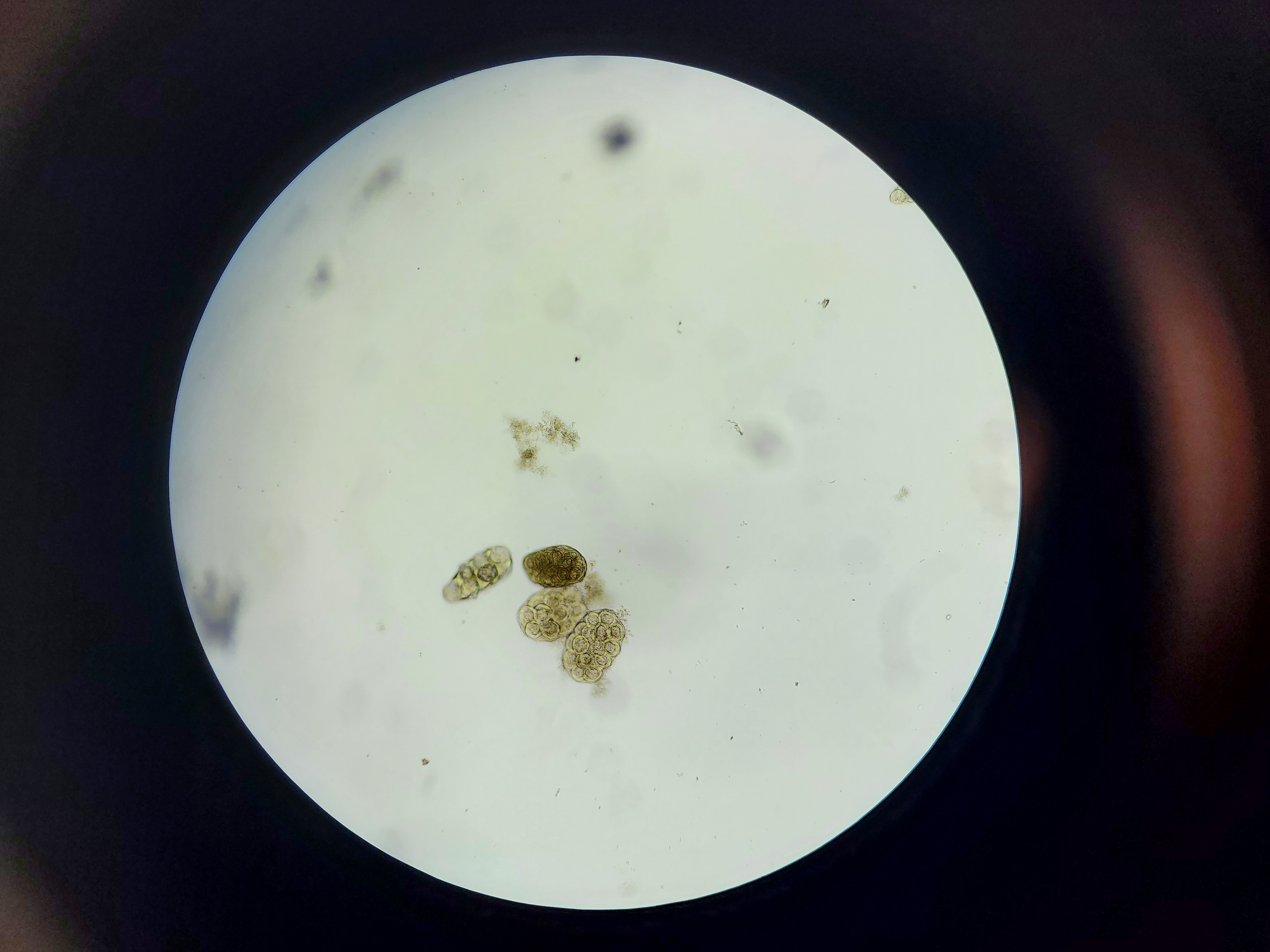
Acanthocephala
Stage: Eggs
Sample type: Fecal


Taenia pisiformis
Part shown: Gravid proglottid


Toxoplasma gondii


Taenia saginata (tapeworm)
Parts shown: Proglottids in different stages


Dipylidium caninum
Stage: Eggs


Strongyloides stercoralis


Trichinella spiralis
Sample type: Muscle


Trichuris


Dipylidium


Taenia


Dirofilaria


Ascaris


Ancylostoma


Babesia canis
Sample type: Blood


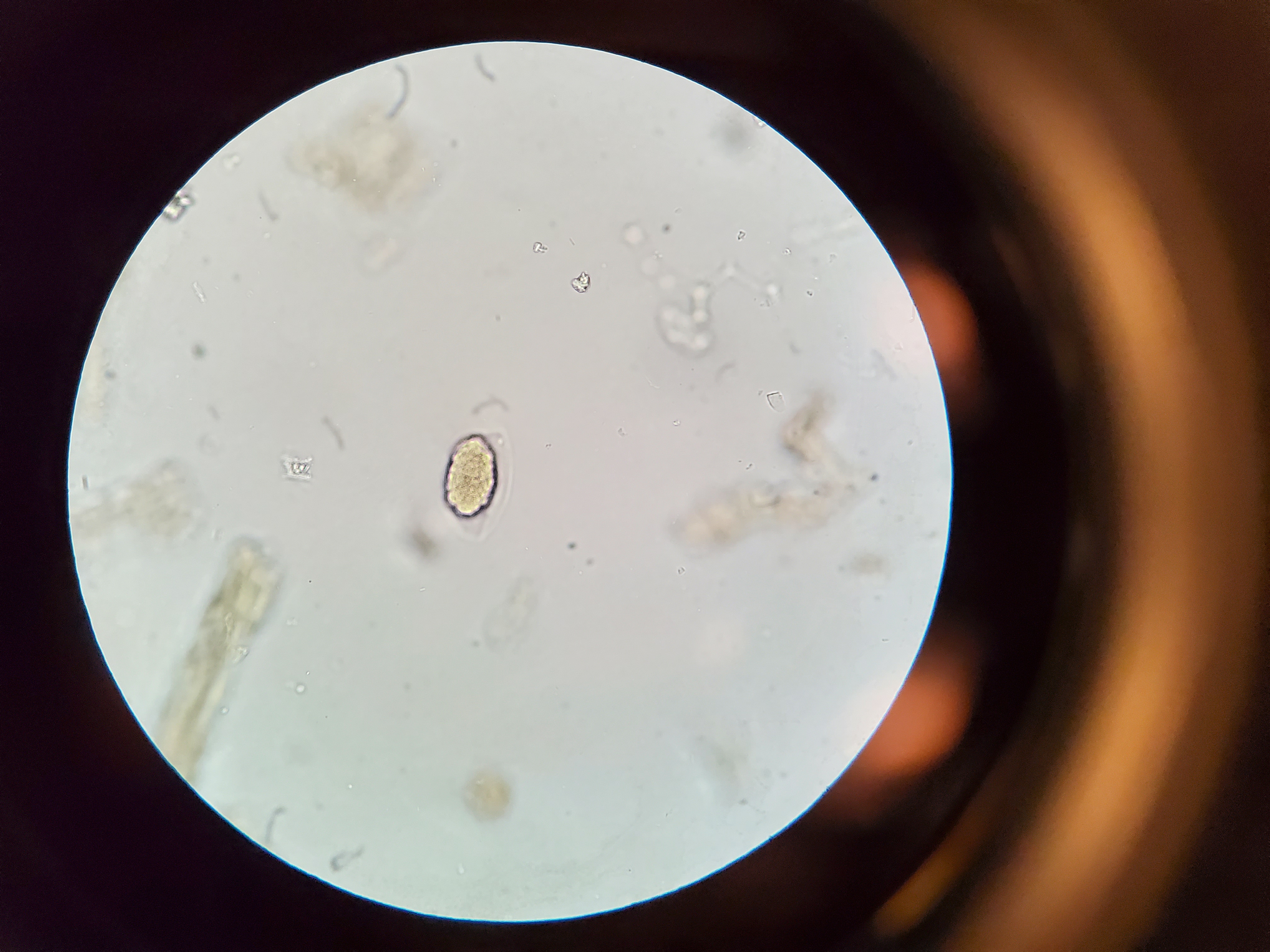
Fasciola hepatica
Stage: Ova


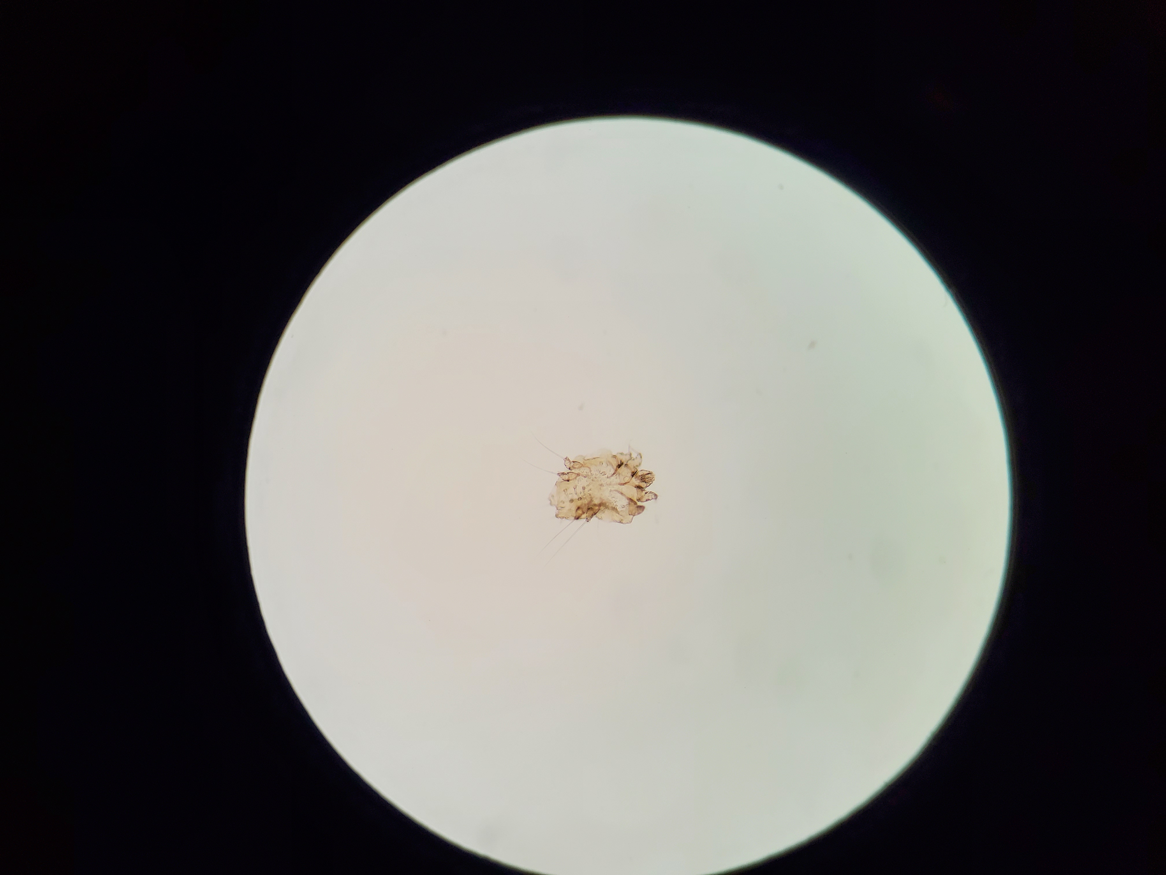
Sarcoptes scabiei
Sample type: Skin


Sarcocystis
Sample type: Muscle


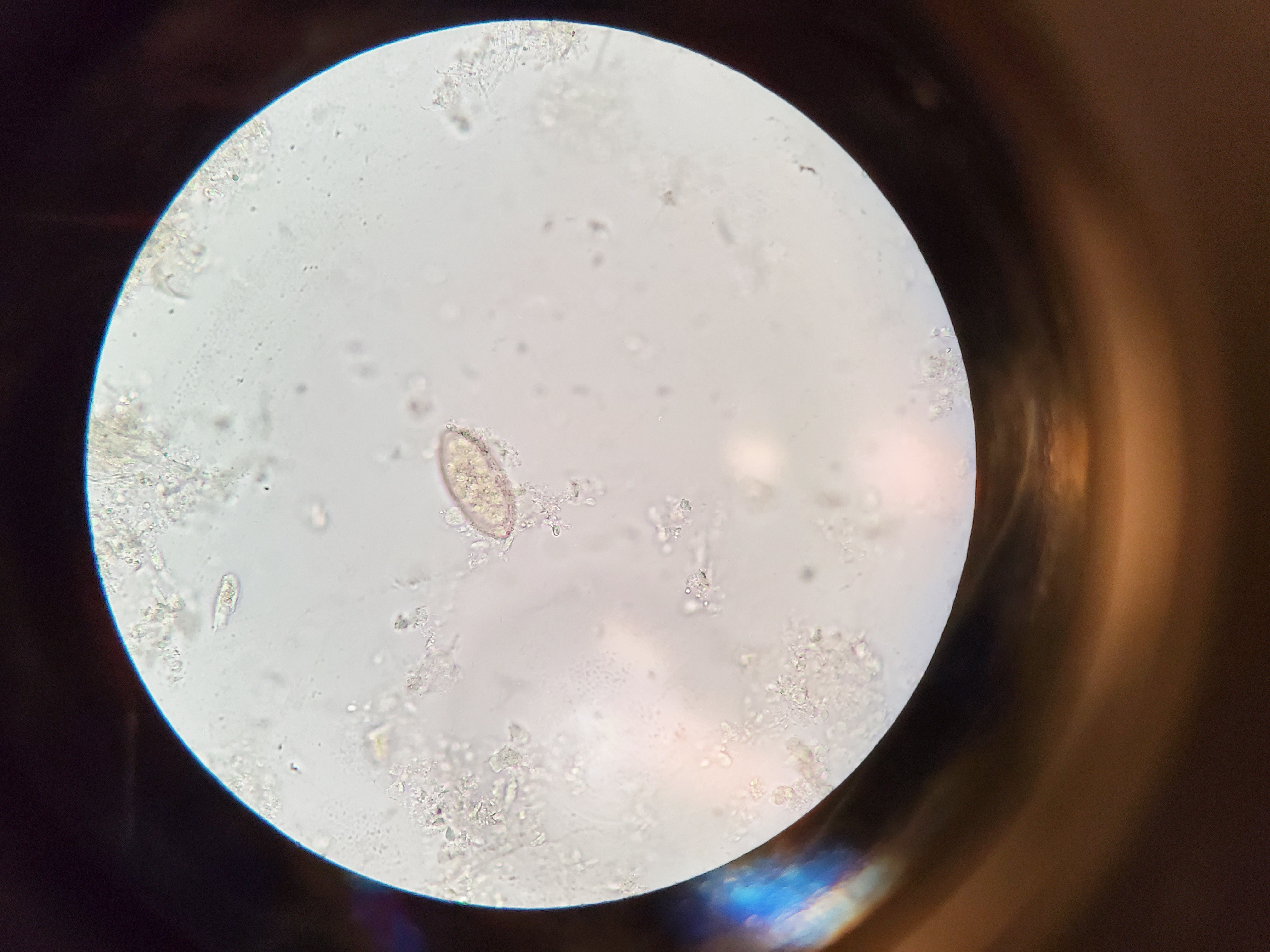
Trichuris trichiura
Stage: Eggs


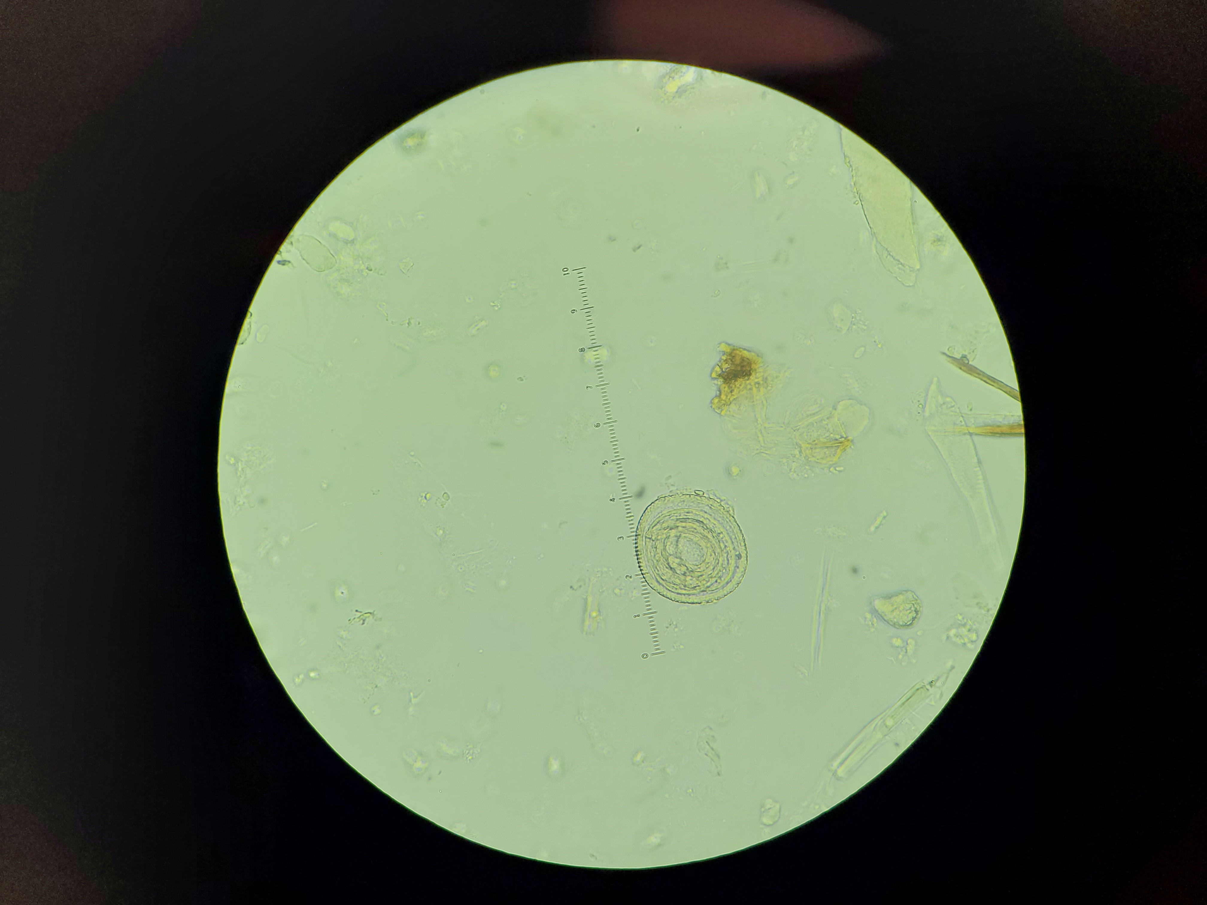
Moniezia expansa
Stage: Eggs


Toxocara canis
Stage: Eggs


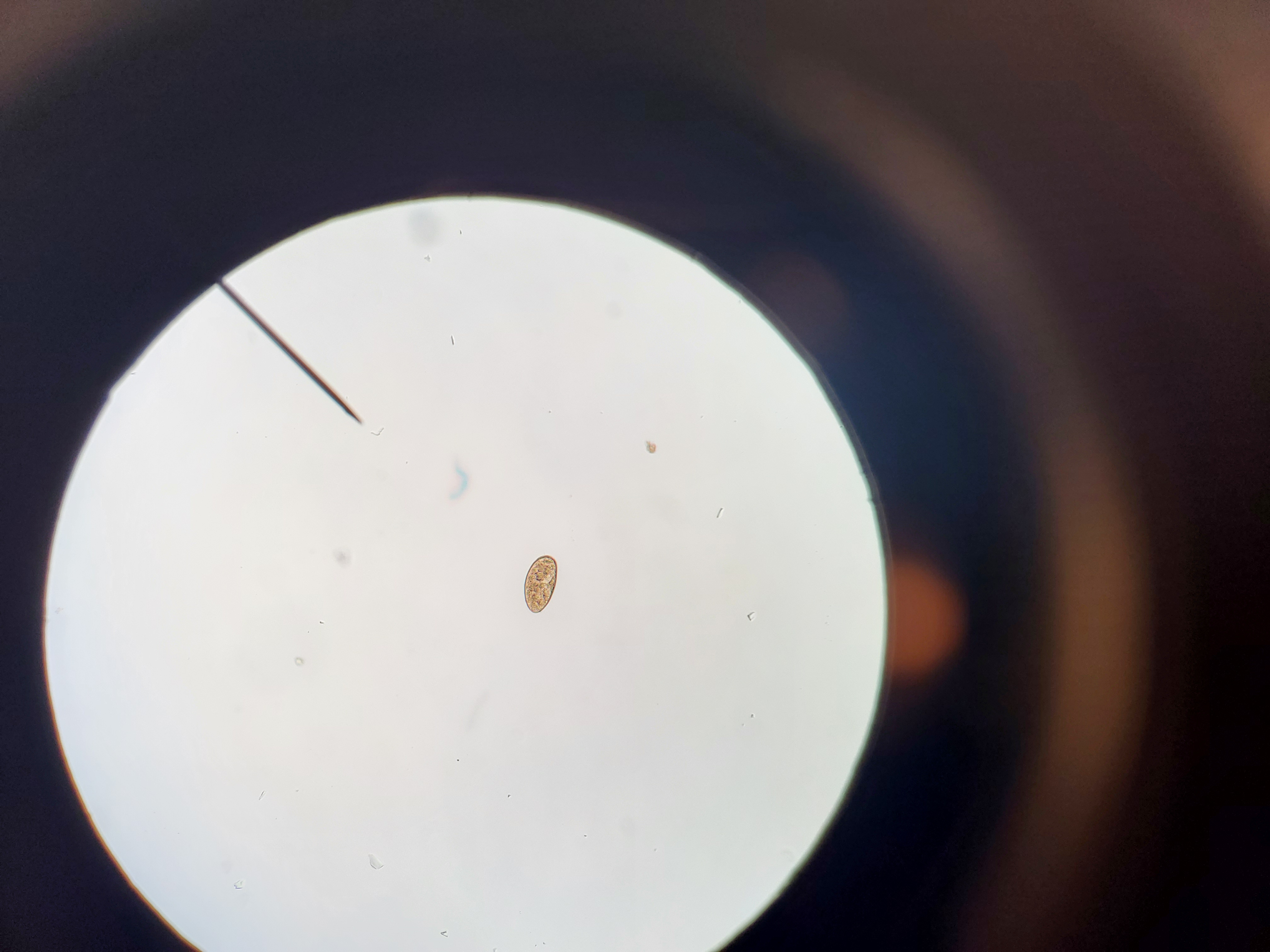
Fasciola hepatica
Stage: Egg


Schistoma mansoni
Stage: Egg
Sample type: Fecal


Schistoma mansoni
Stage: Adult
Sample type: Fecal


Clonorchis


Fasciola


Taenia


Dipylidium


Moniezia


Echinococcus granulosus


Stomoxys calcitrans (stable fly)


Ctenocephalides (Dog or cat flea)


Demodex


Amblyomma americanum (Lone star tick)


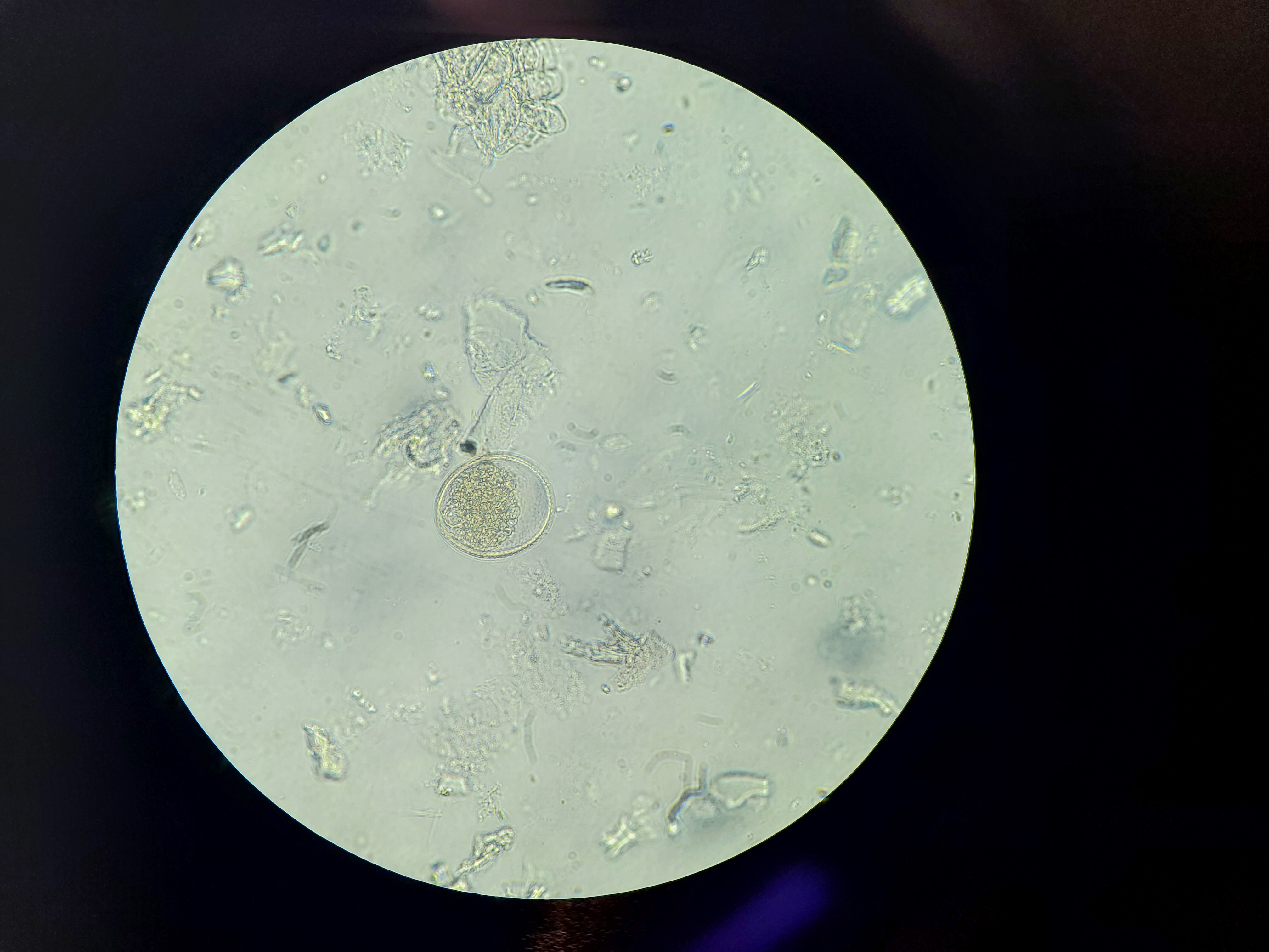
Giardia lamblia


Babesia canis
Sample type: Blood


Balantidium coli
Stage: Trophic stages


Entamoeba histolytica


Diphyllobothrium latum
Stage: Eggs


Hookworm (Ancylostoma)
Stage: Eggs


Acanthocephala
Stage: Eggs


Trichuris trichiura
Stage: Ova


Enterobius vermicularis
Stage: Eggs


Toxocara canis
Stage: Eggs


Capillaria hepatica


Haemonchus contortus
Stage: Ova


Trichinella spiralis
Stage: Larvea


Onchocerca volvulus


Toxocara canis
Stage: Eggs


Ascaris lumbricoides female


Ascaris lumbricoides male


Ascaris lumbricoides males


Heterakis spumosa


Trichuris trichiura
Stage: Eggs


Trichuris trichiura male


Ancylostoma duedenale female
Parts shown: Posterior end


Ancylostoma male
Parts shown: Anterior end


Hookworm (Ancylostoma)
Stage: Eggs


Ancylostoma caninum
Stage: Larva


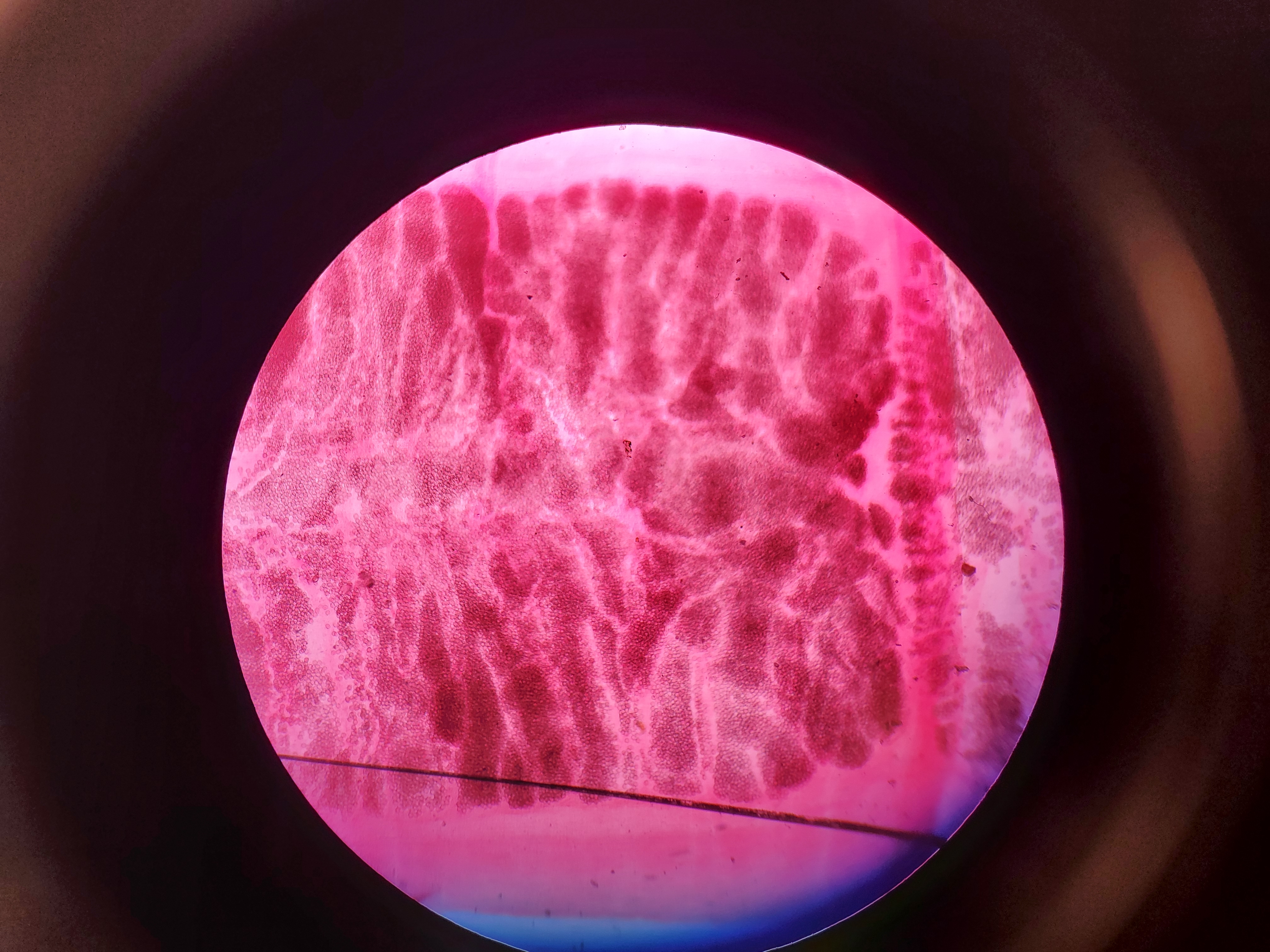
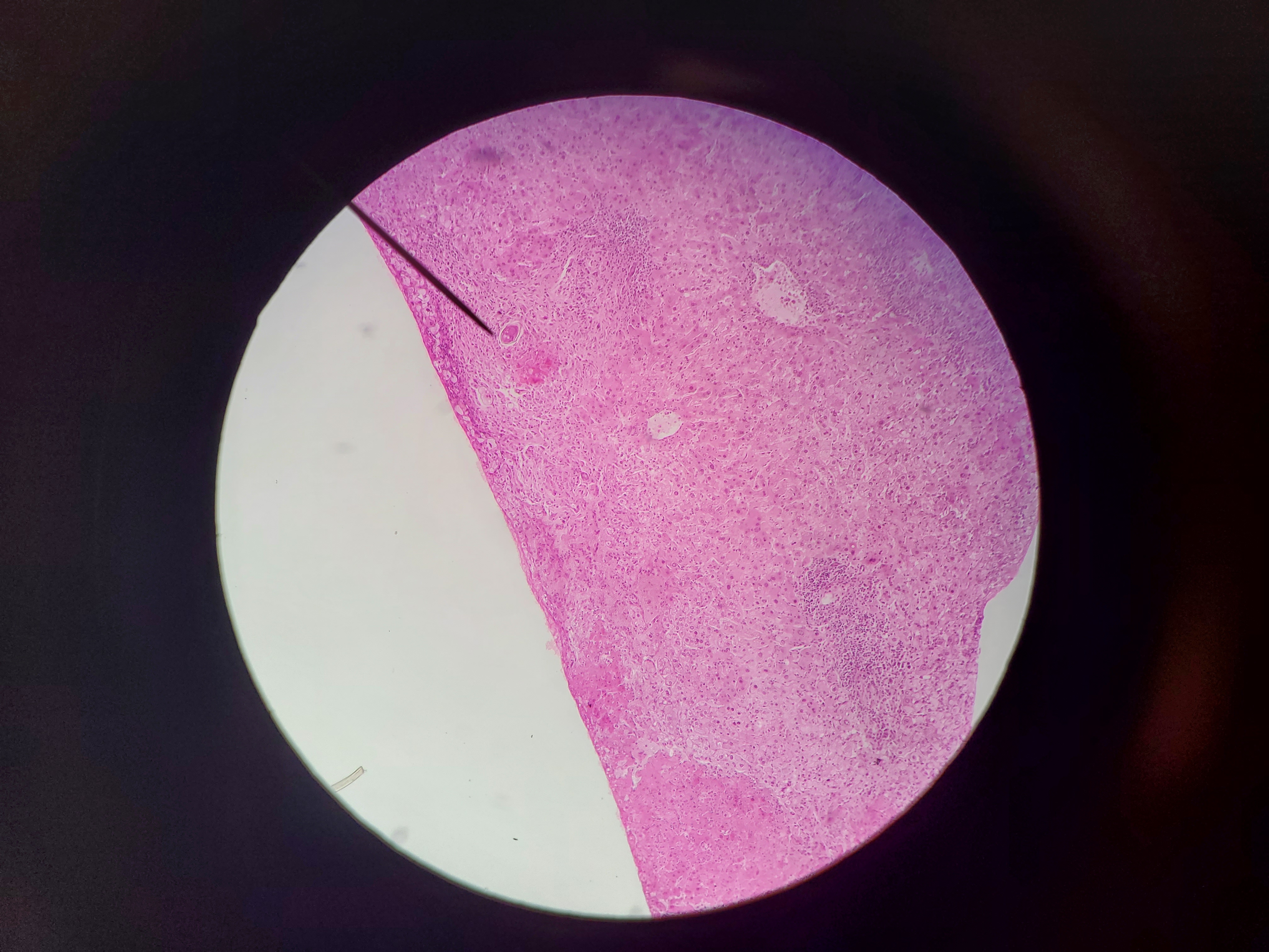
Strongylus (lung worm)
Sample type: Lung section


Strongyloides stercoralis


Enterobius vermicularis (Oxyuris) (Pinworm)


Enterobius vermicularis
Stage: Eggs


Dirofilaria immitis
Sample type: Blood


Hymenolepis nana
Parts shown: Proglottids


Hymenolepis sp.
Stage: Cysticeroid


Hymenolepis diminuta
Stage: Eggs


Taenia saginata
Stage: Eggs


Taenia saginata
Parts shown: Proglottids in different stages


Taenia solium
Stage: Egg


Taenia pisiformis
Stage: Eggs


Echinococcus granulosus


Echinococcus granulosus (dog tapeworm)
Parts shown: Scolices, hooklets
Sample type: Cyst


Dipylidium caninum
Stage: Eggs


Dipylidium caninum
Part shown: Scolex


Diphyllobothrium latum
Part shown: Gravid proglottid


Diphyllobothrium latum
Stage: Eggs


Fasciola hepatica
Stage: Metacercaria


Fasciola hepatica
Stage: Miracidia


Fasciola hepatica
Stage: Redia


Liver fluke (Fasciola hepatica)


Fasciola hepatica
Stage: Cercari


Fasciola Hepatica
Stage: Egg


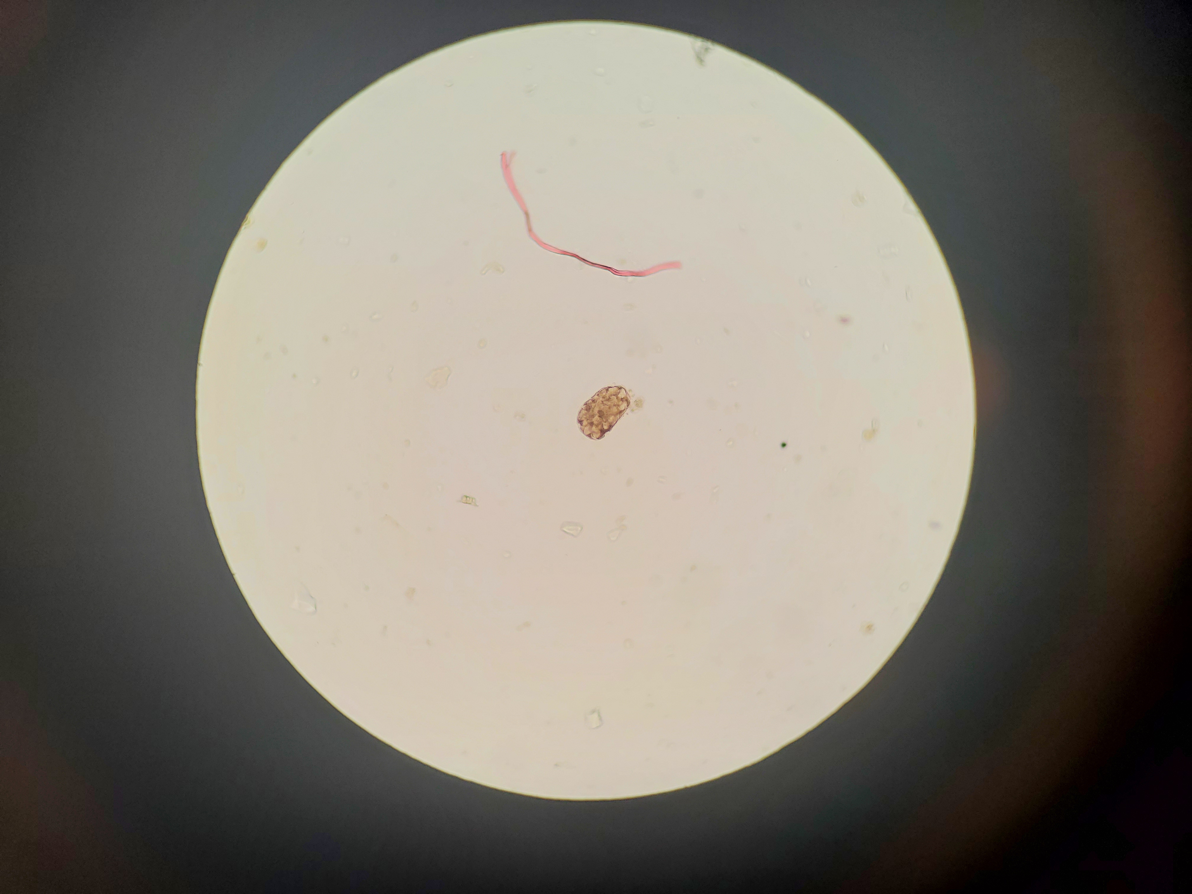
Schistoma Mansoni
Stage: Sporocysts
