1/66
Looks like no tags are added yet.
Name | Mastery | Learn | Test | Matching | Spaced | Call with Kai |
|---|
No analytics yet
Send a link to your students to track their progress
canine superficial pyoderma

methicillin-resistant stap. pseudointermedius

impedtigo “puppy pyoderma”

canine mucocutaneous pyoderma

pyoderma important bacteria

superficial spreading pyoderma/hot spot/pyotraumatic dermatitis in dogs

deep bacterial infections (deep pyoderma)

subcutanerous abscessation

bacterial granulomatous dermatitis

non-mycobacterial granulomas


septicemia

gram (-) or gram (+) bacteremia
streptococcal toxic shock-like syndrome (stretococcus canis)


exuberant granulation tissue (proud flesh)

wound contracture

hypertrophic scarring

aloe vera

preparation h

solcoseryl

honey

triple antibiotic

silver sulfadiazine

nitrofurazone

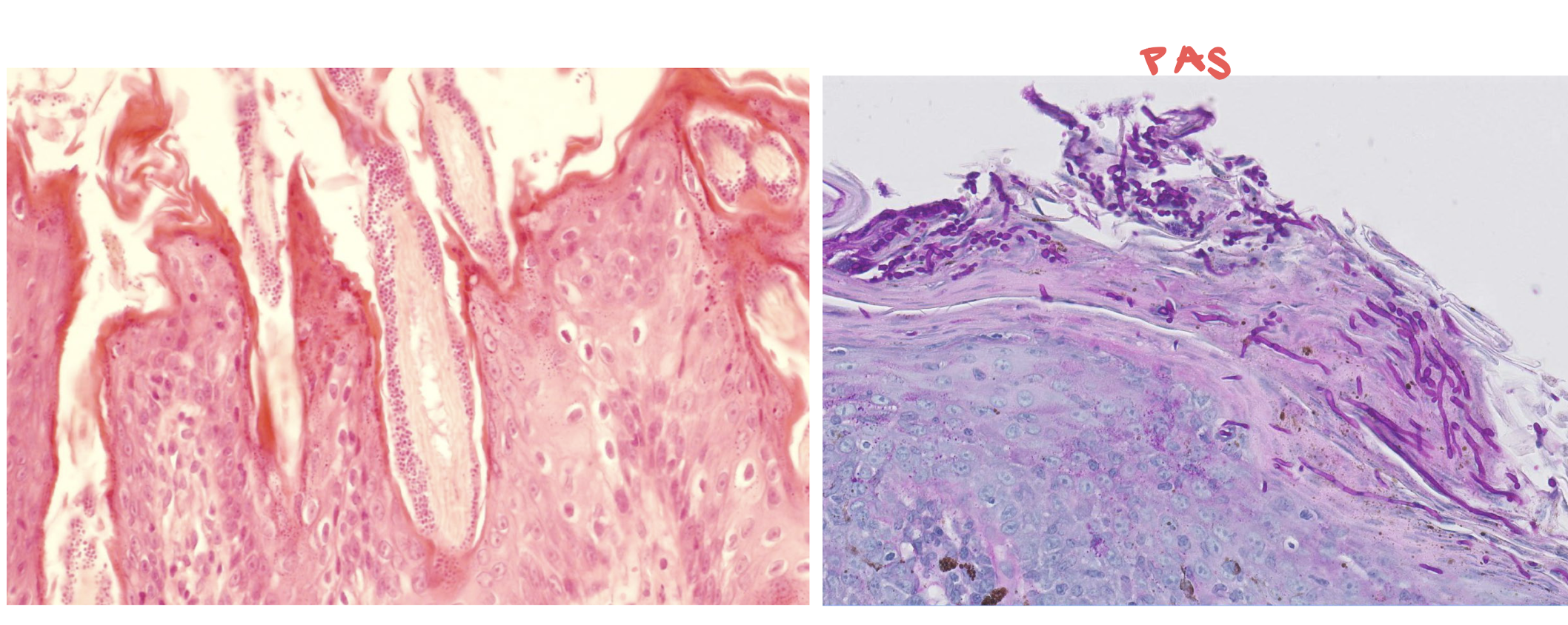
dermatophytosis (ringworm)

folliculitis!!

malassezia dermatitis


subcutaneous mycoses
traumatic implantation of fungi from the environment (opportunistic)
leads to nodular granulomatous to pyogranulomatous panniculitis and dermatitis
eumycotic mycetoma

bacterial or fungal
dermatophytic pseudomycetoma (deep dermatophytosis)

phaeohyphomycosis

zygomycosis

sporotrichosis

cryptococcus

ate chicken feces
pythiosis- pythium insidiosum

blastomycoses
skin lungs, bone marrow

protothecosis

algal infection
chlorellosis
algal infection

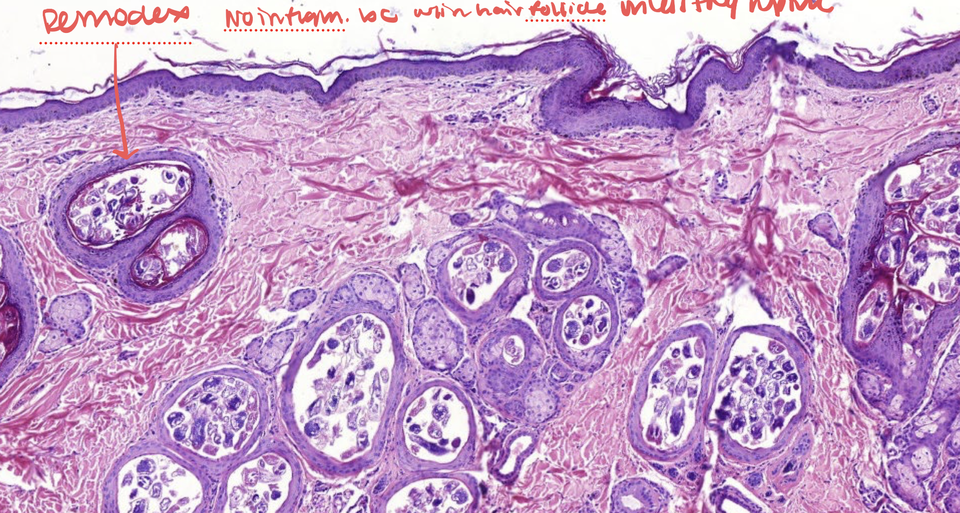
demodicosis

no inflammation bc they are within the hair follicles unless they rupture

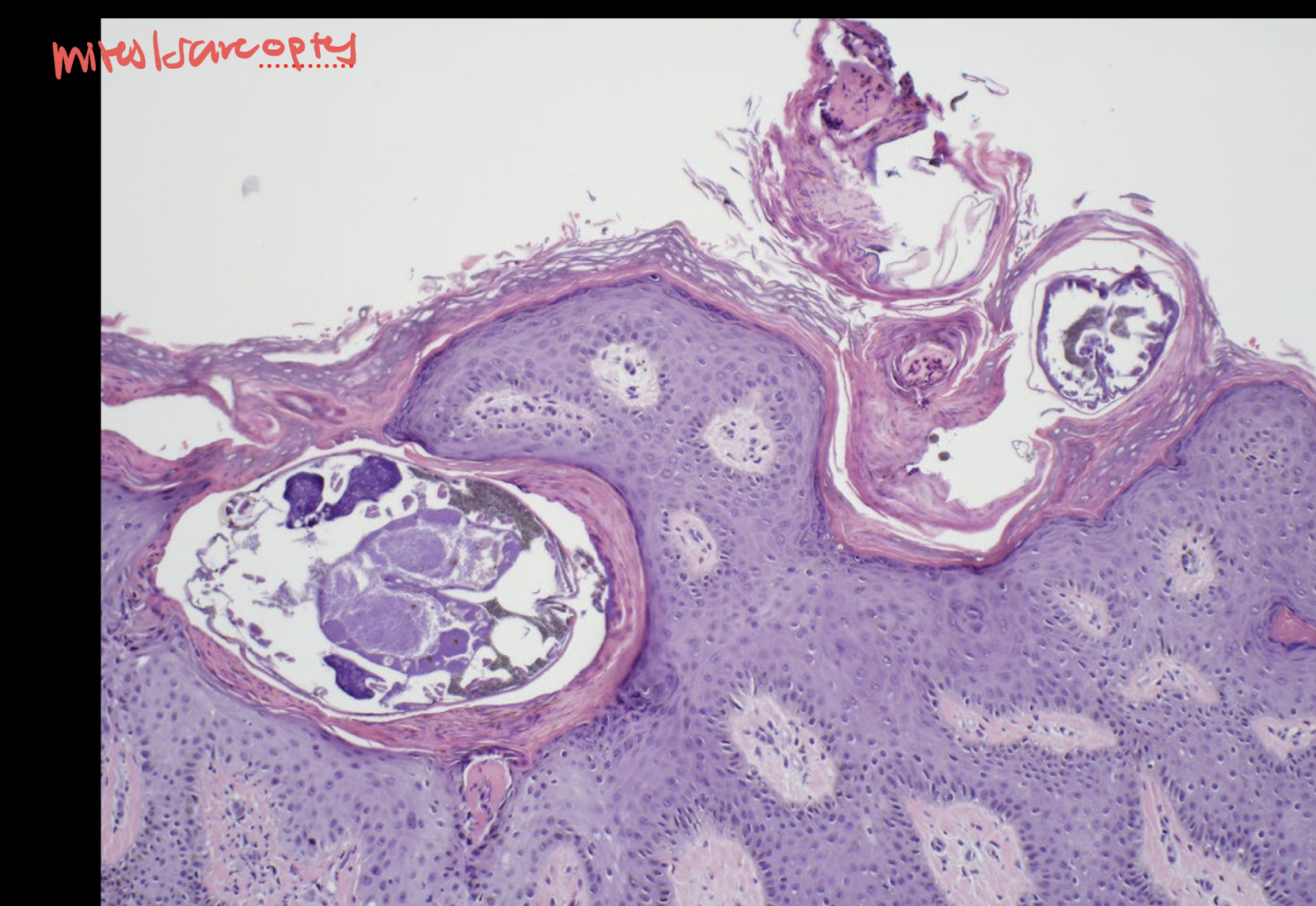
scabies


notoedric mites

otodectic mites

psoroptic mites

chorioptic mange

cheyletiellosis
walking dandruff

trombiculiasis

tick infestation derm lesions

lice infestation derm lesions

fleas infestation derm lesions

blood sucking flies (hematophagous)

myiasis-causing flies (tissue invading larvae)

nonbiting nuisance flies

onchocera spp

cattle horse dogs
habronema/draschia spp
horses, “summer sores”

strongyloides, ancylostoma, uncinaria (larval migration)


stephanofilaria spp
cattle buffalo

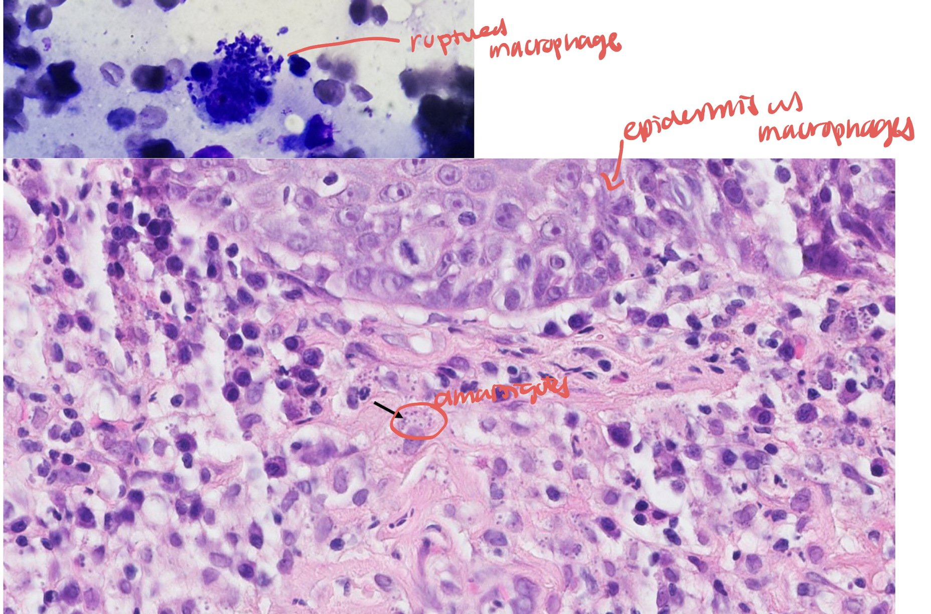
cutaneous leishmaniasis
protozoa


morbilliviruses
hyperkeratosis (pads and nose) epidermal hyerplasia during systemic infection
flaviviruses/pestiviruses (swine fever)
petechiae, hemorrhages vascular injury → dermal hemorrhage
poxviruses- sheeppox and goat pox

poxviruses- lumpy skin disease

poxvirus pathogenesis and histologic features


zoonotic
herpesviruses- dermatotropic and nondermatotrpic





papillomaviruses




immune mediated disease- ex: pemphigus foliaceus and discoid lupus



endocrine and metabolic skin diseases




congenital/ hereditary skin disease




nutritional/toxic skin disease



physical/environmental causes (trauma, pressure, thermal)


