1/81
Looks like no tags are added yet.
Name | Mastery | Learn | Test | Matching | Spaced | Call with Kai |
|---|
No analytics yet
Send a link to your students to track their progress
What are 4 potential causes of non-glaucomatous ON cupping?
ischemia = e.g. ischemic optic neuropathy
compression = e.g. a tumor pushing on the chiasm
inflam = e.g. demyelinating disease
trauma = e.g. traumatic optic neuropathy after getting hit in the eye

Is cupping of the ONH glaucoma if the ONH rim is pale?
no = rim pallor is most likely neuro disease

Is cupping of the ONH glaucoma if the ONH rim is gone/thin?
yes = rim thinning is glaucoma

Is cupping of the ONH glaucoma if the ONH rim is sharpened?
yes = BV bayonetting is glaucomatous

What are some causes of a pale ONH?
ONH hypoplasia
myopia
aphakia
optic atrophy
infants

What 3 findings will we always see in true optic atrophy?
pale nerve head
reduced VA
APD
dyschromatopsia
VF defect
RNFL dropout
electrodiagnostic dropout

What is the cause of this pale ONH?
hypoplastic ONH = part of sclera is filling optic canal around the ONH

Through NS CATs, a pale ONH may look ___________.
reddish

Through dim illumination or an undilated pupil, a pale ONH may look __________, which is why it's important to assess the ONH on bright illumination.
pink

What is ascending optic atrophy?
AKA secondary optic atrophy = lesion in the ganglion cells or ONH or due to RP = BLURRY disc margins, artery attenuation or absence, sheathed BV

What are some causes of ascending optic atrophy?
papillitis
chronic papilledema
periarteritis
CRAO
AAION
POAG

What cause of ascending optic atrophy is shown here?
AAION

What cause of ascending optic atrophy is shown here?
RP

What cause of ascending optic atrophy is shown here?
chronic atrophic papilledema

What is descending optic atrophy?
AKA primary optic atrophy = lesion in the LGN to the ONH = SHARP disc margins, normal BV

What are some causes of descending optic atrophy?
retrobulbar optic neuritis
toxic neuropathy
trauma
neoplasms in the orbit, canal, cranium (compression)

What cause of descending optic atrophy is seen here?
neoplasm in cranium (craniopharyngioma) causing compression

What cause of descending optic atrophy is seen here?
intracranial injury to ON

What is the challenge with diffuse ONH pallor?
difficult to ascertain cause = could be due to CRAO, canalicular meningioma, hypotensive events, etc.

What typically causes temporal segmental ONH pallor?
toxic disease = alcohol, malnutrition
hereditary degeneration = Leber's optic atrophy, autosomal dominant optic atrophy, etc.
acute demyelinating disease
compressive disease

What retinal and VF area is associated with temporal segmental ONH pallor?
papillomacular bundle is involved = cecocentral VF defect from blindspot to fixation

What typically causes inferior wedge-shaped segmental ONH pallor?
glaucoma

What typically causes superior wedge-shaped segmental ONH pallor?
ischemic optic neuropathy

What typically causes "bow tie" segmental ONH pallor?
optic tract lesions = carry ipsilateral temporal fibers and contralateral nasal fibers
optic chiasm lesions = bilateral bow tie

Ex) if you lesion the left optic tract, which retinal fibers are affected?
fibers from temporal retina entering OS ONH
fibers from nasal retina entering OD ONH
papillomacular bundles of the OD ONH

Ex) if you lesion the left optic tract, which ONH areas are affected?
bow tie pallor in OD ONH
temporal pallor in OS ONH

What typically causes altitudinal segmental ONH pallor?
NAAION or AAION = ischemic event like a local infarction of the post ciliary arteries

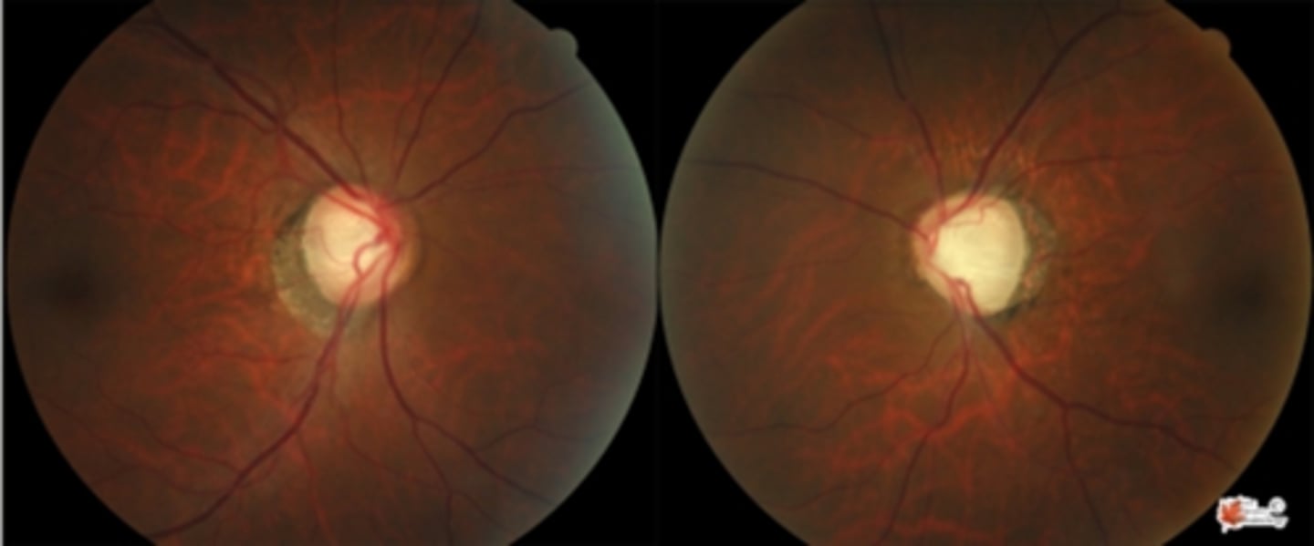
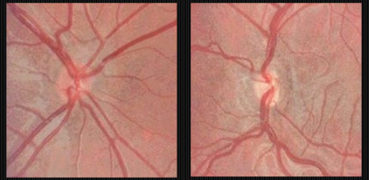
What is the Hoyt-Spencer sign?
acquired optociliary shunt BV on a pale ONH with slow progression vision loss

What are some possible causes of acquired optociliary shunt BV?
sphenoid wing meningiomas
ON gliomas
ON arachnoid cysts
chronic OAG
ON drusen
CRAO
chronic papilledema
DM

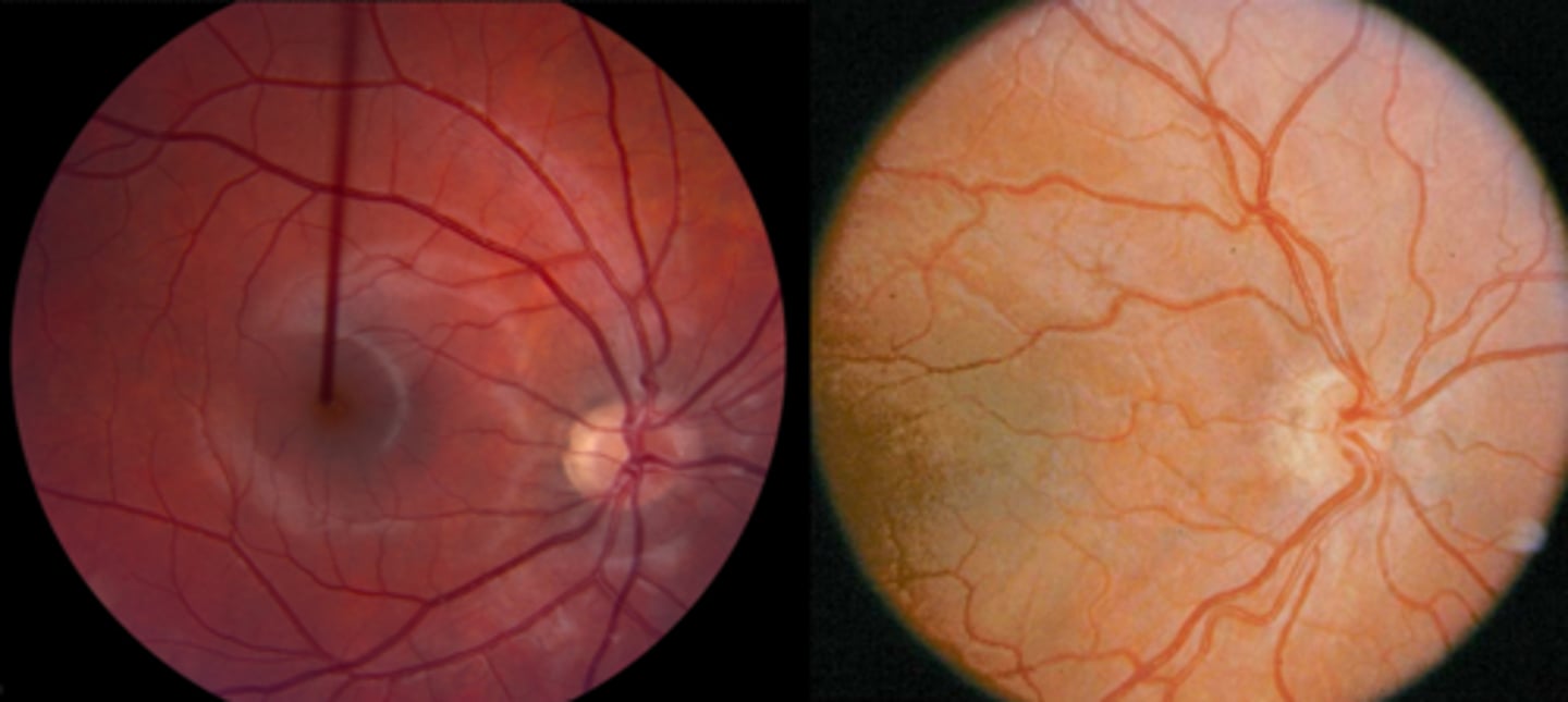
What finding shown here is a cause of pseudo disc edema?
glial veil

What finding shown here is a cause of pseudo disc edema?
myelinated nerve fibers

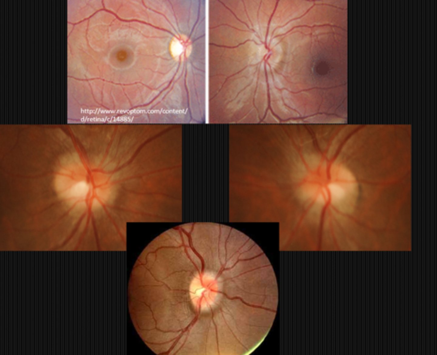
What finding shown here is a cause of pseudo disc edema?
CWS near the ONH

What finding shown here is a cause of pseudo disc edema?
flame-shaped hemorrhages near the ONH with CWS

What finding shown here is a cause of pseudo disc edema?
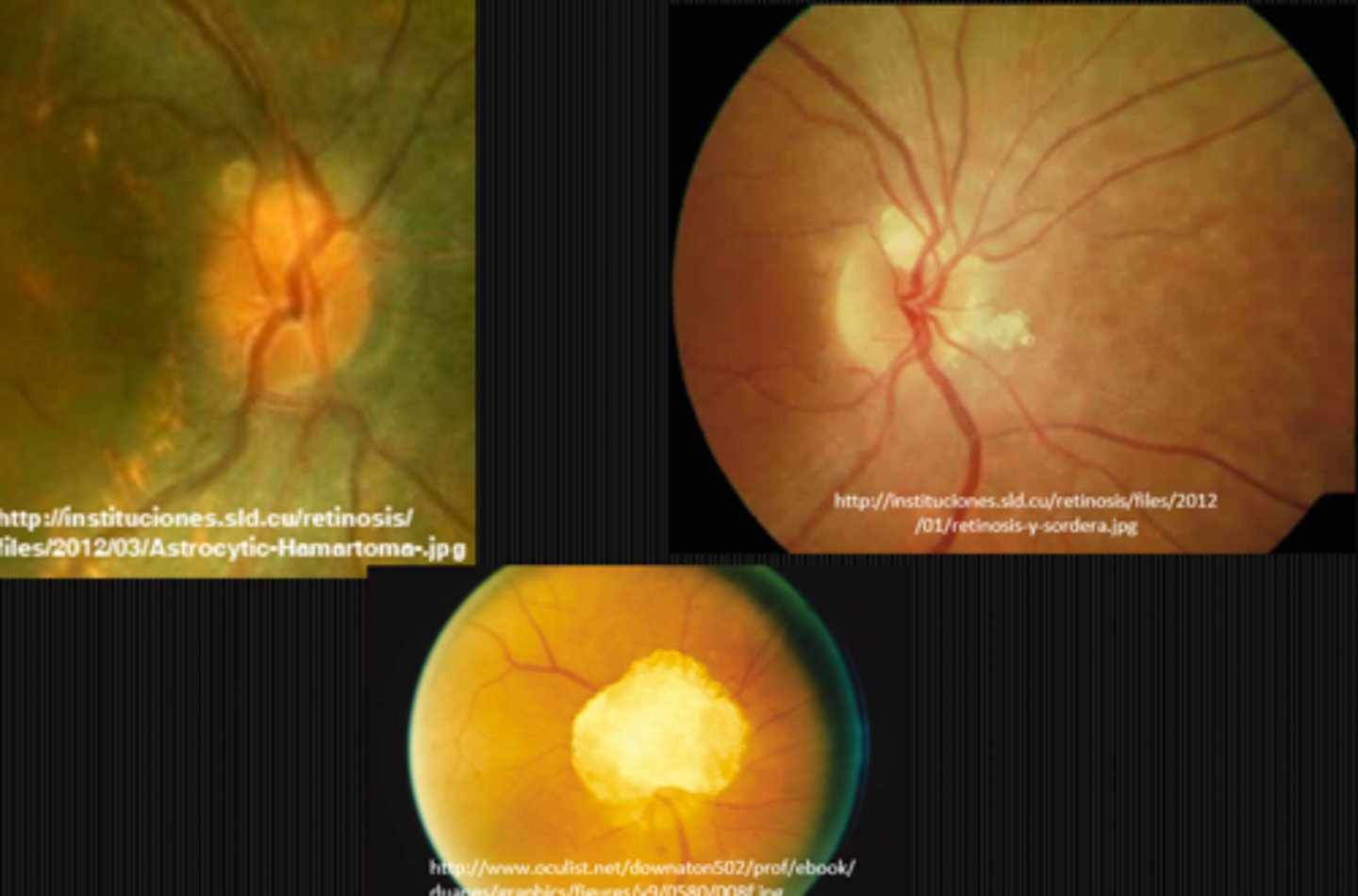
drusen of the ONH

What finding shown here is a cause of pseudo disc edema?
giant hamartoma of the ONH

What finding shown here is a cause of pseudo disc edema?
hypoplastic ONH – vessels seem out of proportion to the size of the ONH

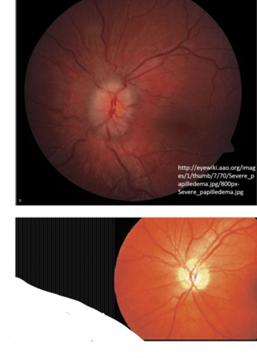
What finding shown here is a cause of true disc edema?
papilledema due to IIH
NOTE: papilledema is just 1 cause of disc edema

What finding shown here is a cause of true disc edema?
papillitis with disc edema and good vision

What finding shown here is a cause of true disc edema?
idiopathic scarring of ONH

What finding shown here is a cause of true disc edema?
BRVO = venous stasis retinopathy with edema, hemes

What finding shown here is a cause of true disc edema?
grade 4 HTN retinopathy causing disc edema

What finding shown here is a cause of true disc edema?
AAION causing disc edema, flame hemes

What is a giant hamartoma of the ONH?
mineralized hamartoma, closely related to ON astrocytic hamartoma, often found in tuberous sclerosis pt's

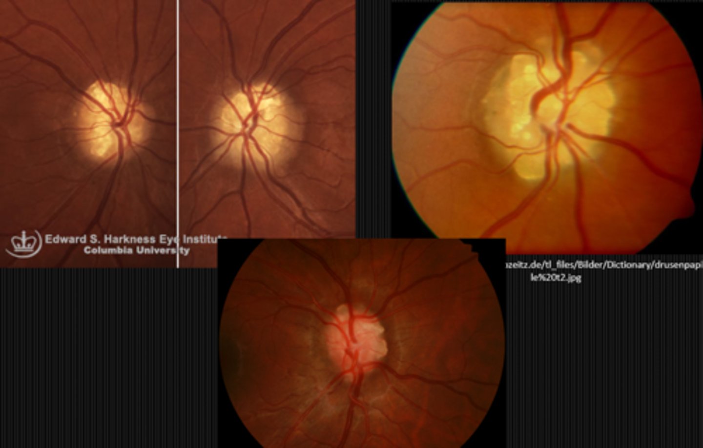
What are disc drusen?
hyaline, acellular, calcium phosphate byproducts of disc astrocytes (may or may not be calcified)

How can we differentiate papilledema from drusen based on the cup?
papilledema = present
drusen = absent

How can we differentiate papilledema from drusen based on the disc margins?
papilledema = blurred sup and inf
drusen = symmetric, scalloped blur

How can we differentiate papilledema from drusen based on the colour?
papilledema = hyperemic
drusen = normal

How can we differentiate papilledema from drusen based on the NRR?
papilledema = elevated rim that extends into RNFL
drusen = central elevation, bumpy

How can we differentiate papilledema from drusen based on the RNFL?
papilledema = edema sup and inf, muddy peripapillary reflex
drusen = focal atrophy, normal linear light reflexes

How can we differentiate papilledema from drusen based on the BV?
papilledema = optociliary shunts develop, venous dilation, absent SVP
drusen = central origin, trifurcation and other anomalous patterns, present SVP

Why MIGHT there no SVP in disc edema?
elevated ICP > 200mmH2O
NOTE: pt may not have had an SVP to begin with, so this isn't always the best rule of thumb!

How can we better visualize disc drusen on fundoscopy?
retroilluminate the ONH by putting the beam right beside it
red-free filter

True or False: drusen of the ONH are the most common congenital/inherited optic neuropathy.
true

How do disc drusen appear on FAF?
hyperAF drusen within the hypoAF nerve head

How can we differentiate papilledema from drusen with OCT?
papilledema = rounded, regular elevation +/- lazy V sign
drusen = irregular elevation

How do disc drusen appear on B scan?
hyper-reflective if calcified

How do disc drusen appear on a CT scan?
hyper-reflective if calcified

How can drusen progress anatomically over time?
buried drusen may migrate to the surface of the ONH

How can drusen progress functionally over time?
VF defects may develop, including an enlarged blindspot and arcuate defect

True or False: drusen and papilledema will not coexist at the same time in a pt.
false
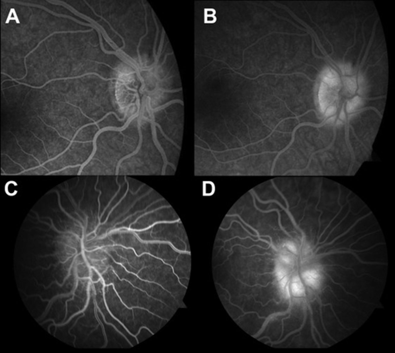
How do surface drusen appear on early IVFA?
blockage

How do surface drusen appear on late IVFA?
nodular staining

How do buried drusen appear on early IVFA?
no staining or nodular staining

How do buried drusen appear on late IVFA?
late peripapillary staining (noduler, circumferential)

How does disc edema appear on IVFA?
early and late diffuse leakage

How does co-existent drusen and edema appear on IVFA?
early = edema leaks, drusen stain
late = edema leaks, drusen stain

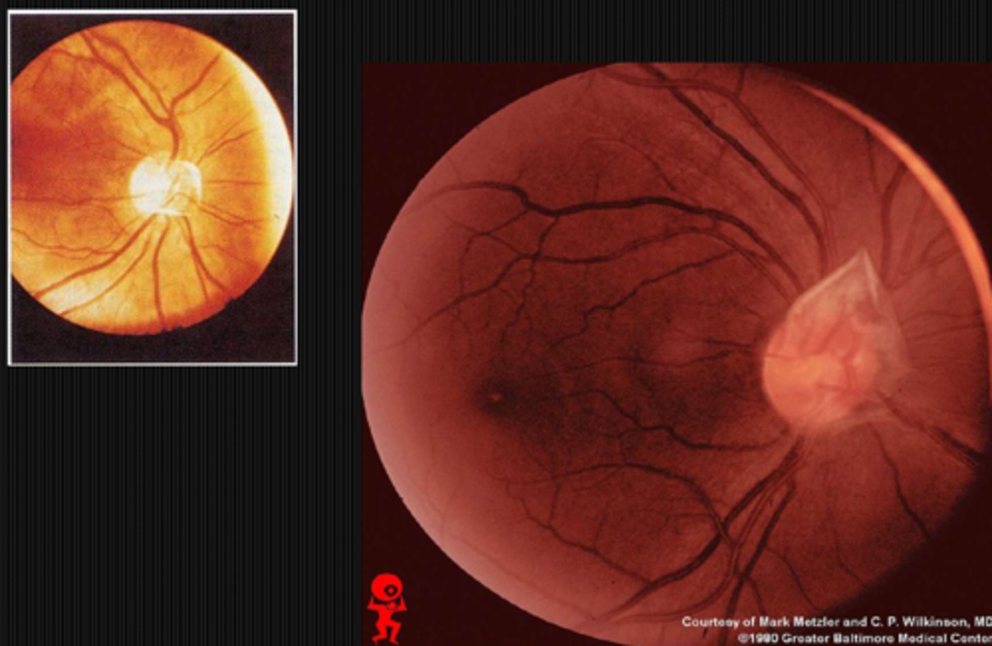
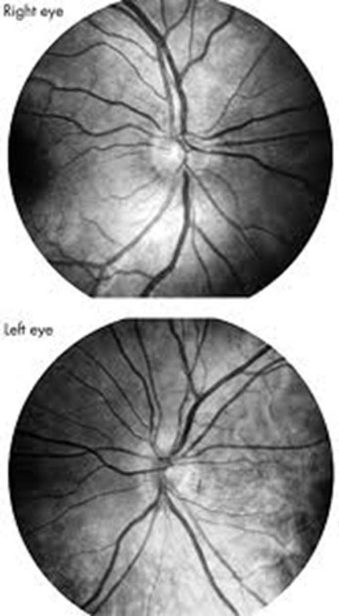
What are 2 features of the disc margin that suggests it may be a hypoplastic ONH?
double ring sign = outer yellow sclera, inner pigmented ring around ONH
margins may be blurred due to too many crowded axons
NOTE: these findings are not that common

Double ring sign may result in you _______________________ the nerve size.
overestimating

A hypoplastic disc actually has a subnormal number of _________, but it has a normal number of ____________________________________________.
subnormal axons
normal mesodermal glial elements

What feature of the NRR and RNFL suggests it may be a hypoplastic ONH?
RNFL is often thin/absent due to either axon atrophy or RGCs failing to develop

What feature of the disc colour suggests it may be a hypoplastic ONH?
pale colour bc the sclera is showing through
red colour bc the small disc is in high contrast to the surround

What feature of the disc BV suggests it may be a hypoplastic ONH?
tortuous, large in comparison to the nerve itself

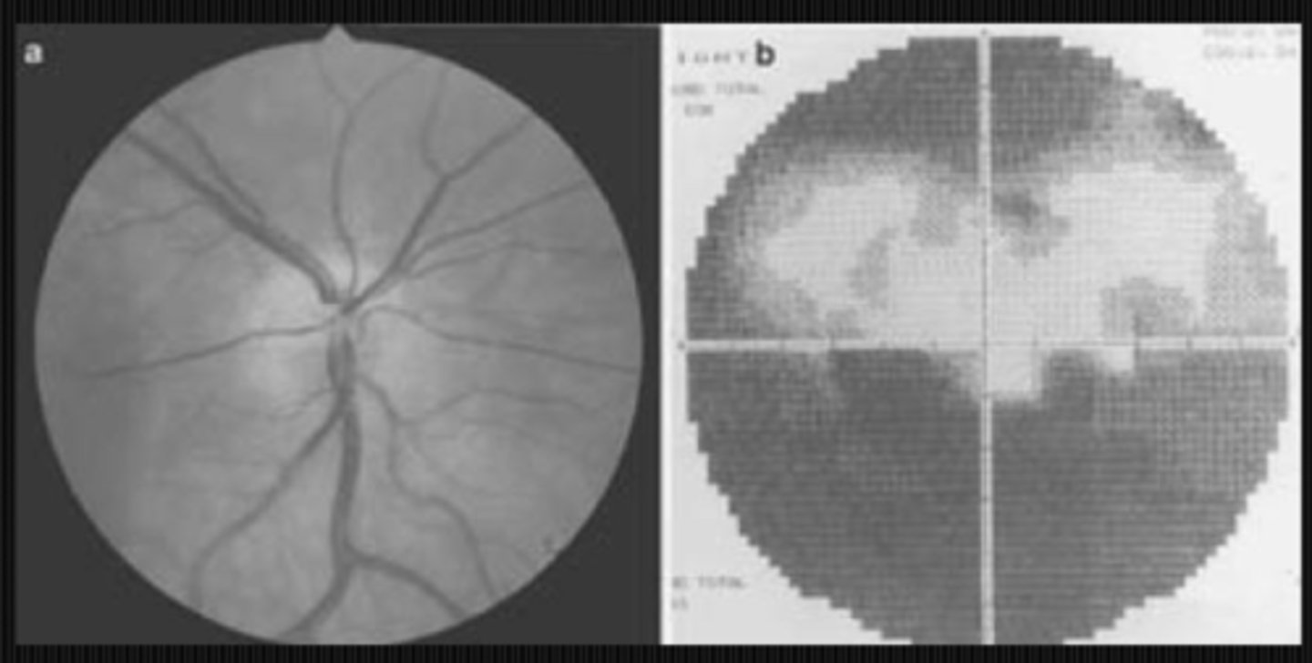
Can VF defects result from hypoplastic ONH?
yes

What is the most common VF defect we see in hypoplastic ONH?
most often as bitemporal hemianopsias but can be other defects anywhere in the VF, including binasal or ST defects

True or False: hypoplastic discs may cause a VF defect that does NOT respect the vertical midline.
true

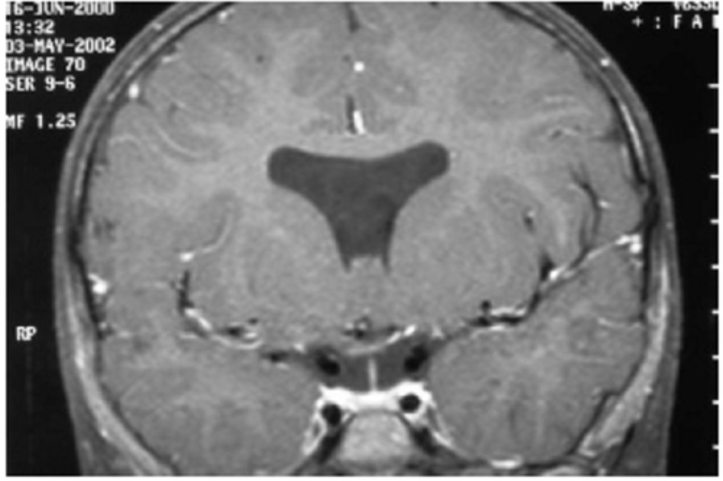
What are some associations seen in pt's with bilateral hypoplasia of their ONH and poor VA?
developmental abnormalities like GH deficiency, hypothyroidism
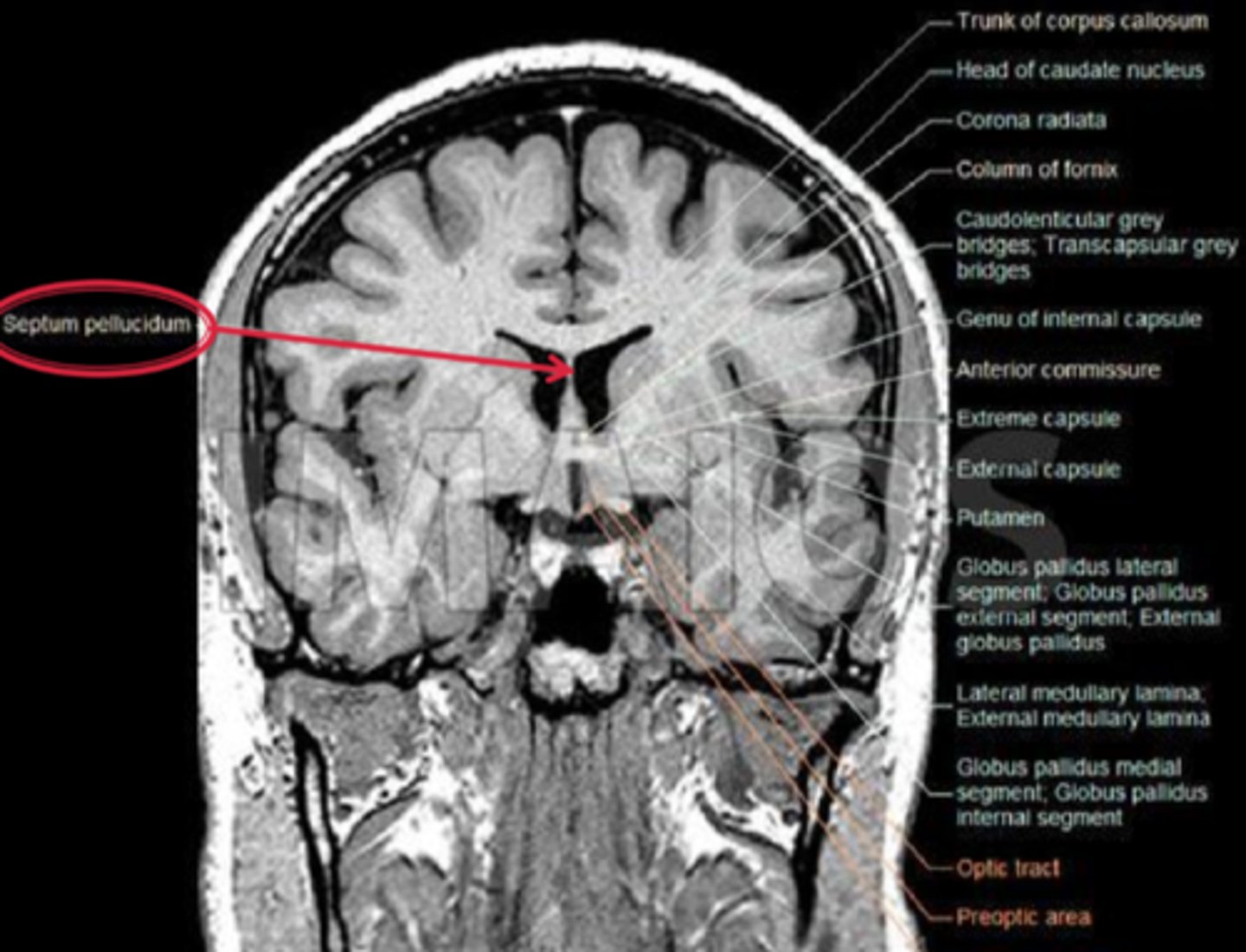
forebrain anomalies such as lacking a septum pelucidum between the 2 lateral ventricle halves

How should we manage pt's with bilateral hypoplasia of their ONH and poor VA?
refer to pediatrician to assess:
GH levels
thyroid function
endocrine function
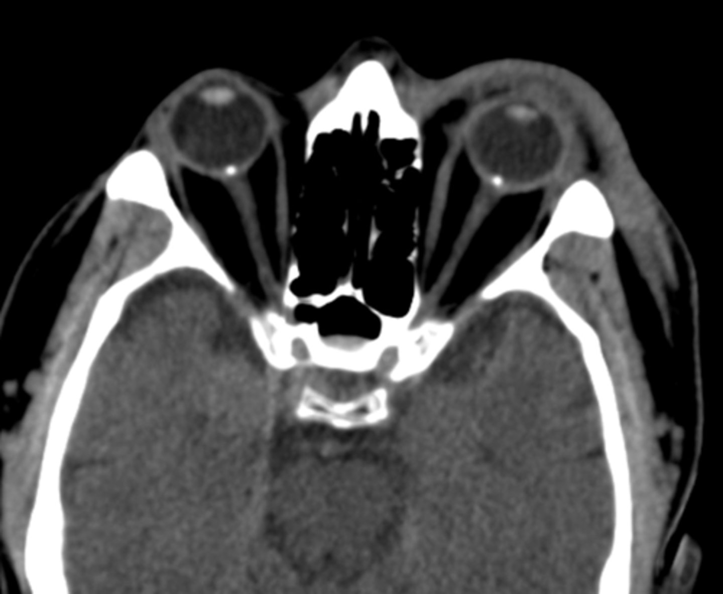
CT/MRI to look for basal encephalocoele = abnormal communication of bone that allows brain tissue to herniate into orbit, nasal pharynx, etc

How do we manage pt's with bilateral hypoplasia of their ONH and good VA?
no management necessary other than routine following with an OD/OMD and pediatrician to monitor for endocrine issues

How do we manage pt's with unilateral hypoplasia of their ONH and good OR poor VA?
no management necessary other than routine following with an OD/OMD and pediatrician to monitor for endocrine/neuro issues

What is De Morsier's syndrome?
septo-optic dysplasia with...
bilateral ONH dyplasia
absence of septum pellucidum
agenesis of corpus callosum
dysplasia of 3rd ventricle
hypopitutitarism

What are 4 other congenital nerve disorders than may be associated with forebrain anomalies?
ON aplasia/dysplasia
ONH pit
sup segmental hypoplasia
ONH coloboma

What is Kallman's syndrome?
hypoplastic ONH
anosmia
forebrain anomalies
gonadotropin deficiency = delayed puberty, amenorrhea
