1/23
Looks like no tags are added yet.
Name | Mastery | Learn | Test | Matching | Spaced | Call with Kai |
|---|
No analytics yet
Send a link to your students to track their progress
Transverse fracture - Definition
The fracture occurs at an exact 90° horizontal angle
Transverse fracture - Cause
Caused by a bending force that causes the bone to snap (like snapping a carrot)
Oblique fracture - Definition
The fracture occurs sloped up or down at an angle or curves
Oblique fracture - Cause
Trapping of one bone while the other twists over it
Ex. Foot caught in a rock and the leg twists
Spiral fracture - Definition
The fracture spirals around the bone
Spiral fracture - Cause
Caused by a twisting force
Comminuted fracture - Definition
The fracture breaks into multiple pieces
Comminuted fracture - Cause
Caused through a crushing force
Avulsion fracture - Definition
A ligament or tendon pulls away from its attachment on the bone, and a fragment of bone breaks off with it
Avulsion fracture - Cause
A muscle contraction or stretch that is stronger than the force that holds the tendon or ligament to the bone
Impacted/compression fracture - Definition
The fracture occurs in the middle of a bone when it is driven into itself and buckles
Impacted/compression fracture - Cause
Compression of the bone from end to end
Fissure/hairline fracture - Definition
An incomplete bone fracture
Multiple small lines are often visible, but do not pass through the entire bone
Fissure/hairline fracture - Cause
Any force that could cause any of the other types of fractures, but is not great enough to completely break the bone
Greenstick fracture - Definition
The bone bends rather than breaks (similar to that of a green tree branch)
Greenstick fracture - Cause
Occurs most often in children in bones that have not completely ossified and still contain cartilage
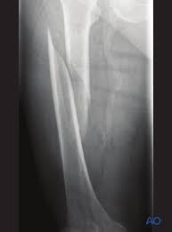
Transverse fracture

Oblique fracture

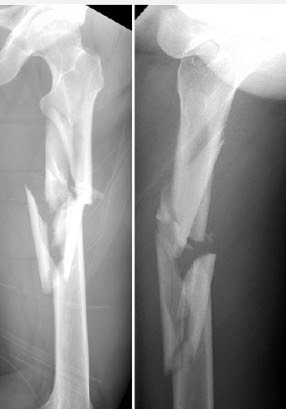
Spiral fracture

Comminuted fracture

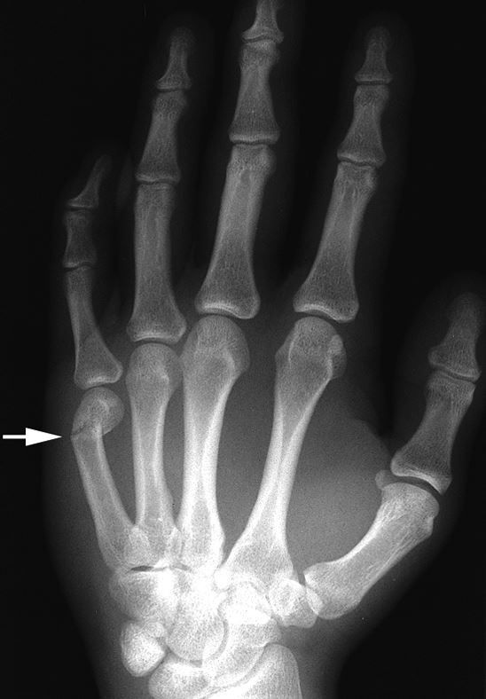
Avulsion fracture

Impacted/compression fracture

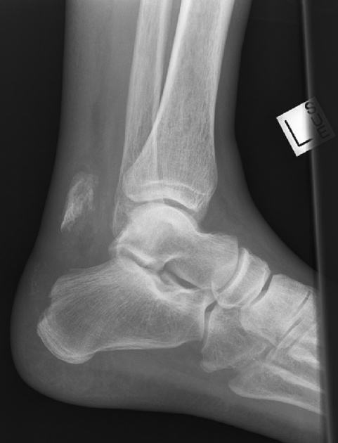
Fissure/hairline fracture

Greenstick fracture
