1/21
Looks like no tags are added yet.
Name | Mastery | Learn | Test | Matching | Spaced | Call with Kai |
|---|
No analytics yet
Send a link to your students to track their progress
what is the most common cause of listeria
listeria monocytogenes
etiology of listeria monocytogenes
gram-positive, facultative anaerobic, non spore forming rod bacteria that is temperature and pH tolerant and hydrolases esculin
the hemolytic colonies formed on blood agar of listeria monocytogenes appear what color when illuminated
blue-green
when enzyme tested, listeria monocytogenes is positive for....
1. catalase
2. CAMP (w/ S. aureus)
listeria monocytogenes
what bacteria is this

listeria ivanovii is commonly associated with what c/s
abortions in sheep and cattle
listeria monocytogenes can sometimes be known to cause what in addition to neural form in sheep, cattle, and goats
ocular form
what are the different forms of listeria
1. neural: meningoencephalitis leading to circling
2. visceral: neonate septicemia
3. abortions: sporadic abortions
what cranial nerves are affects by the neural form of listeria monocytogenes
V, VII, VIII
the neural form of listeria monocytogenes is sometimes also referred to as
silage disease
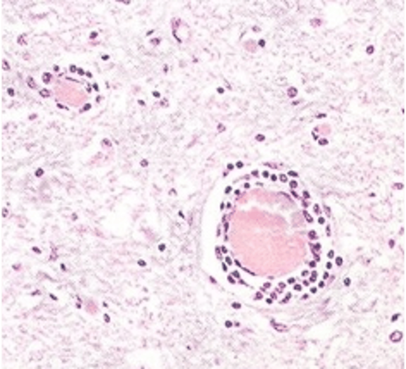
isteria monocytogenes

c/s of listeria monocytogenes neural form
1. ADR and neurological signs
2. microabscesses on perivascular and lymphocytic cuffing in brain stem
where do microabscesses occur in the visceral form of listeria
heart, liver, kidneys
how is listeria monocytogenes transmitted
1. fecal oral (environment and other animals GIT)
2. fecal oral (poor silage)
3. transplacental sometimes
how do listeria monocytogenes avoid being phagocytized (virulence factor)
listeriolysin (hemolysin)
what do listeria monocytogenes do after they avoid being phagocytized in order to infect surrounding cells (virulence factor)
polymerize actin into tails
how does listeria monocytogenes actually cause disease
penetrate M cells in Peyer's patches and spread via lymph and blood
what additional ways can CNS listeria monocytogenes occur
1. bacteriemia
2. invasion through dental pulp followed by trigeminal nerve infection
how do we Dx. listeria monocytogenes
1. C/s
2. Specimens specific to form of disease (CSF, uterine discharge, liver etc..)
3. histo of brain to see microabscesses
microabscesses of listeria monocytogenes
what does this histology slide reveal

what is the drug of choice for listeria monocytogenes
high doses of penicillin
what form of feed can discourage listeria monocytogenes growth
immature corn + grass w/ additives (more acidic pH)