1/41
Looks like no tags are added yet.
Name | Mastery | Learn | Test | Matching | Spaced | Call with Kai |
|---|
No analytics yet
Send a link to your students to track their progress
Dimensional changes
1. Growth of the nasomaxillary complex
2. Mandibular growth
3. Timing of growth in width, length and height
ROTATION OF JAWS DURING GROWTH
1. Implant studies of jaw rotation
2. Interaction between jaw rotation and tooth eruption
MATURATIONAL AND AGING CHANGES
1. Changes in Facial Soft Tissues
2. Changes in Teeth and Supporting Structures
3. Changes in Alignment and Occlusion
4. Facial Growth in Adults
GROWTH OF THE NASOMAXILLARY COMPLEX
1. Passive displacement by growth of the cranial base
2. Active growth of the maxillary structures and the nose
3. Surface remodeling

GROWTH OF THE NASOMAXILLARY COMPLEX- 1
Passive displacement by growth of the cranial base
1. Important growth mechanism during the primary dentition years
2. Less important as growth at the synchondroses of the cranial base slows markedly with the completion of neural growth at age +7.
3. Between ages 7-15, about one third of the total forward movement of the maxilla can be accounted for on basis displacement.

GROWTH OF THE NASOMAXILLARY COMPLEX- 2
Active growth
1. Between ages 7-15, about two thirds of the total forward movement of the maxilla can be accounted for on active growth of the maxillary sutures in response to stimuli from the enveloping soft tissues.

GROWTH OF THE NASOMAXILLARY COMPLEX- 3
Surface remodeling
1. Surface changes can add or subtract from growth at the sutures.
2. Maxilla grows downward and forward
1. Bone is added in the tuberosity area posteriorly, and at the posterior and superior sutures.
2. The anterior surfaces of the bone resorb at the same time.
Surface remodeling
3. Distance that the body of the maxilla is moved downward and forward is +25% greater than the forward movement of the anterior surface of the maxilla.

GROWTH OF THE NASOMAXILLARY COMPLEX- 4
Nasal structures
1. Undergo the same passive displacement.
2. Nose grows more rapidly than the rest of the face.
1. Increase in size of the cartilaginous nasal septum.
1. Proliferation of the lateral cartilages alters the shape of the nose


Mandibular growth
Growth continues at a relatively steady rate BEFORE puberty
1. Ramus height increases 1-2mm/year
2. Body length increases 2-3mm/year
Accentuation of the prominence of the chin
1. Addition of small amounts of bone
2. Resorption of the area above the chin
3. Forward translation of the chin as part of the overall growth pattern of the mandible


Mandibular growth- 2
Changes in the glenoid fossa
Great variability also due to growth changes in the glenoid fossa
1. Attachment point (glenoid fossa in temporal bone) moves usually straight down
2. No anteroposterior displacement of the mandible, although occasiolly it moves posteriorly à reducing the forward projection of the chin

TIMING OF GROWTH IN WIDTH, LENGTH AND HEIGHT
1. Definite sequence in which growth is completed in the different planes of space: width → length → height.
2. Growth in WIDTH
1. Includes dental arches.
2. Completed before the adolescent growth spurt.
3. Affected minimally by adolescent growth changes.
4. Intercanine width is more likely to DECREASE after age 12
5. As the jaws grow in length posteriorly, they also grow wider

TIMING OF GROWTH IN WIDTH, LENGTH AND HEIGHT-2
Growth in length and height
1. Continues through puberty
2. Growth in vertical height of the face continues longer than growth in length, with the late vertical growth happening primarily in the mandible.
3. Increases in facial height and concomitant eruption of teeth continue throughout life, but the decline to the adult level often does not occur until the early 20’s in boys, somewhat earlier in girls.
Rotation of jaws during growth
IMPLANT STUDIES OF JAW ROTATIONS
1. Bjork, 1960’s
2. Extent to which the Mx and the Mn rotate during growth
1. Internal rotation: occurs in the core of each jaw
- Masked by surface changes and alterations in the rate of tooth eruption.
2. External rotation: produced by surface changes
3. Overall change in the orientation of each jaw results from a combination of internal and external rotation


ROTATION OF JAWS DURING GROWTH-Mandible-2
MANDIBLE
1. Core = bone that surrounds the inferior alveolar nerve
2. Rest of the mandible = functional processes
1. Alveolar process
2. Muscular processes
3. Condylar process
Implants placed in areas of stable bone away from the functional processes à core of the Mn rotates during growth, tending to decrease the Mn plane angle

ROTATION OF JAWS DURING GROWTH-Mandible-2
MANDIBLE
4. Bjork and Skieller distinguished two contributions to internal rotation (total rotation)
1. Matrix rotation, or rotation around the condyle
2. Intramatrix rotation, or rotation centered within the body of the mandible

Rotation of jaws during growth-Mandible-3
MANDIBLE
4. The rotation of either jaw is considered
1. FORWARD: posterior growth > anterior (negative sign)
2. BACKWARD: anterior growth > posterior (positive sign)
5. Variation between individuals 10-15º in internal rotation
1. Strongly related to pattern of vertical facial development.
2. Average individual with normal vertical facial proportions
1. 15º internal rotation from age 4 to adult life.
2. 25% rotation at the condyle,
3. 75% rotation within the body of the mandible.

Rotation of jaws during growth-Mandible-4
Mandible
During the time that the core of the Mn rotates forward +15º à Mn plane angle decreases only 2-4º due to SURFACE CHANGES that tend to compensate
Areas of change
1. Posterior part of the lower border of the mandible = area of resorption
2. Anterior aspect of the lower border is unchanged/slight apposition

ROTATION OF JAWS DURING GROWTH-Maxilla
1. Functional processes
1. Alveolar process
2. No areas of muscle attachment analogous to those of the mandible
3. Function of respiration: Parts of the bone surrounding the air passages
2. Core of the maxilla
1. Small and variable degree of rotation (forward/backward)
3. Matrix rotation is not possible for the maxilla

ROTATION OF JAWS DURING GROWTH-Maxilla-2
4. External rotation
1. Varying degrees of remodeling of the palate.
2. Similar variations in the amount of eruption of the incisors and molars occur.
5. For most patients à external rotation is opposite in direction and equal in magnitude to the internal rotation à rotations cancel à net change in jaw orientation = zero.
6. Variations from the average patterns are common
ROTATION OF JAWS DURING GROWTH-Maxilla and mandible
Rotational patterns of growth are quite different for individuals with short/long face types
SHORT FACE
1. Excessive forward rotation of the mandible
1. Increase in the normal internal rotation
2. Decrease in external compensation
2. Nearly horizontal palatal plane angle
3. Low Mn plane angle
4. Large gonial angle
5. Deep bite and crowded incisors

ROTATION OF JAWS DURING GROWTH-Maxilla and mandible-2
Rotational patterns of growth are quite different for individuals with
short/long face types
LONG FACE
1. Palatal plane rotates down posteriorly → negative inclination.
2. Mandible shows an opposite, backward rotation.
1. Lack of the normal internal rotation (even backward internal
rotation)
2. Rotation is primarily centered around the condyle
3. á Mn plane angle
4. Associated with anterior open bite and Mn deficiency
5. Also occurs in patients with abnormalities or pathologic
changes affecting the TMJ.

ROTATION OF JAWS DURING GROWTH-Maxilla and mandible-3
- Total change is determined by the INTERACTION between internal and external changes.
- Backward rotation of the mandible also occurs in patients with abnormalities/ pathologic changes affecting the TMJ.
- Growth at the condyle is restricted.
- Intramatrix rotation is centered in the body of the mandible.
- Jaw orientation changes in both the backward-rotating types are similar à develop the same types of malocclusions.
INTERACTION BETWEEN JAW ROTATION AND TOOTH ERUPTION
1. Growth of the mandible away from the maxilla creates a space into which the teeth erupt.
2. The rotational pattern of jaw growth influences the magnitude of tooth eruption.
- Can even influence the DIRECTION of eruption and the A-P position of incisors.

INTERACTION BETWEEN JAW ROTATION AND TOOTH ERUPTION-2
ERUPTION PATH OF MAXILLARY TEETH is normally down and slightly forward.
- Normal growth: Mx rotates forward à tip the incisors forward
- Mx frequently rotates backward → Directs the anterior teeth more posteriorly → upright incisors and decrease their prominence.
4. Movement of teeth relative to the cranial base
- Translocation: Teeth moved along with the jaw in which they are embedded (50%)
- True eruption: Movement of the tooth within its jaw (50%)

INTERACTION BETWEEN JAWROTATION AND TOOTH ERUPTION-3
ERUPTION PATH OF MANDIBULAR TEETH is upward and slightly forward.
- Normal internal rotation carries the jaw upward in front
- Uprights incisors

INTERACTION BETWEEN JAW ROTATION AND TOOTH ERUPTION-4
ERUPTION PATH OF MANDIBULAR TEETH
- Molars tend to migrate mesially > incisors → decrease arch length.
- Forward internal rotation >maxilla → decrease arch length Mn > Mx
- Changes in the A-P position of the incisors are a major influence on arch length changes!!!

INTERACTION BETWEEN JAW ROTATION AND TOOTH ERUPTION-5
Vertical and anteroposterior positions of the incisors are affected
1. SHORT FACE:
1. Excessive rotation à incisors are carried into an overlapping position à tendency for deep bite malocclusions.
2. Uprighting of incisors produces tendency toward crowding.
LONG FACE:
1. increase Anterior face height à open bite; unless incisors erupt for an extreme distance.
2. Rotation of the jaws carries the incisors forward à dental protrusion

MATURATIONAL AND AGING CHANGES
Changes in facial soft tissues are much larger in magnitude than changes in the hard tissues.
Most significant changes:
1. Lips and the other soft tissues of the face sag downwards.
2. Decrease in exposure of the upper incisors
3. Increase in exposure of the lower incisors
4. Lips become progressively thinner with less vermilion display.
MATURATIONAL AND AGING CHANGES- CHANGES IN TEETH AND SUPPORTING STRUCTURES
1. Pulp chamber gradually becomes smaller with increasing age by continuous apposition of additional dentin.
2. Relative apical movement of the gingival attachment to the tooth.
1. Results more from vertical growth of the jaws and the accompanying eruption of the teeth.
2. In the absence of inflammation, mechanical abrasion or pathologic changes, the gingival attachment should remain at the same level almost indefinitely.
3. “Passive eruption” does not happen as long as the gingival tissues are entirely healthy.
MATURATIONAL AND AGING CHANGES- CHANGES IN ALIGNMENT AND OCCLUSION
1. Individuals in primitive societies experienced wear on the teeth:
1. Interproximally
2. Occlusal surfaces
2. Alveolar bone bends during heavy mastication à allowing teeth to
move relative to each other.
MATURATIONAL AND AGING CHANGES- CHANGES IN ALIGNMENT AND OCCLUSION 2
Coarse diet:
• Movement of teeth à interproximal and occlusal wear à reduction in arch circumference of >10mm.
• Spaces do not open up between posterior teeth, but molars migrate mesially keeping the contacts tight.

MATURATIONAL AND AGING CHANGES- CHANGES IN ALIGNMENT AND OCCLUSION 3
Modern population:
• Strong tendency for crowding of the mandibular incisor teeth to develop in the late teens and early twenties.
• Theories:
1. Lack of “normal attrition” in the modern diet.
2. Pressure from the third molars.
3. Late mandibular growth


MATURATIONAL AND AGING CHANGES- LACK OF “NORMAL ATTRITION” IN THE MODERN DIET
1. Primitive populations tend to have a much smaller prevalence of malocclusions.
2. Shortening of arch length and mesial migration of permanent molars à NATURAL PHENOMENON à Crowding

MATURATIONAL AND AGING CHANGES- LACK OF “NORMAL ATTRITION” IN THE MODERN DIET 2
Crowding does not happen if the amount of tooth structure was reduced during the final stages of growth.
4. Begg compared Australian aborigines’ malocclusions to modern
populations’ → teeth became crowded when attrition did not occur with soft diets.
Australian aborigines who change to a modern diet → occlusal and interporximal wear → late crowding rarely develops.
6. Other population groups: → Show crowding even after premolar extraction.
7. Begg theory, does not explain late crowding.
MATURATIONAL AND AGING CHANGES- PRESSURE FROM THIRD MOLARS
1. Late crowding develops at about the time the 3M should erupt.
2. Most individuals show hopeless impaction of 3M.
3. Difficult to detect such a force
1. Late crowding of lower incisors can, and often does, develop in individuals with congenitally missing 3M.
2. Evidence that incisor crowding may be lessened by early removal of 2M.
3. Pressure of the 3M clearly is not the total explanation either.


MATURATIONAL AND AGING CHANGES- LATE MANDIBULAR GROWTH
1. Mandible undergoes more growth in the late teens than the maxilla.
2. Can late mandibular growth cause late mandibular incisor crowding?
3. The position of the dentition relative to the jaws is influenced by their pattern of growth.
4. Mandible grows forward relative to the maxilla in the late teens
5. Patients with tight anterior occlusion before mandibular growth
6. Contact relationship of the lower and the upper incisors must change if the mandible grows forward.
1. Mandible is displaced distally à distortion of the TMJ and displacement of the articular disc.
2. Upper incisors flare forward, opening space between these teeth.
3. Lower incisors displace distally and become crowded.


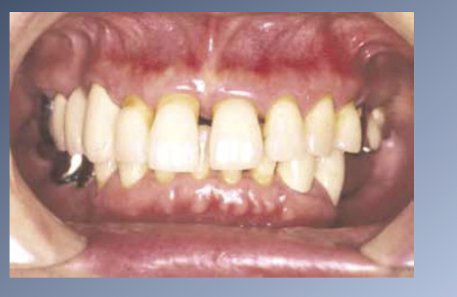
MATURATIONAL AND AGING CHANGES- LATE MANDIBULAR GROWTH-2
Posterior displacement of a “trapped mandible”
1. May relate to myofascial pain
and dysfuntion.
2. Quite rare
Flaring and spacing of the maxillary incisors
1. Least common of all three.
Distal displacement of the lower incisors
1. Crowding of the lower incisors
2. Decrease in the intercanine distance
3. Not necessary for incisors to be in occlusal contact for crowding to happen.
4. Can happen also in patients with backward rotation of the mandible → dentition is carried forward → light yet lasting pressure by the lower lip → repositioning the protruding incisors somewhat lingually → reduction of arch length.


MATURATIONAL AND AGING CHANGES-



FACIAL GROWTH IN ADULTS
RESULTS:
1. Increase in essentially all of the facial dimensions.
2. Size and shape of the craniofacial complex altered with time.
3. Vertical changes > anteroposterior changes > width changes.
4. Continuation of the pattern seen during maturation.
5. Small growth / year, large cumulative effect.
6. Rotation of both jaws continues into adult life, coordinated with vertical changes and eruption of teeth.

FACIAL GROWTH IN ADULTS 2

Summary
