1/119
Looks like no tags are added yet.
Name | Mastery | Learn | Test | Matching | Spaced | Call with Kai |
|---|
No analytics yet
Send a link to your students to track their progress
As transducer frequency increases:
a. lateral resolution will improve, but axial resolution will be degraded
b. lateral resolution will be degraded, but axial resolution will improve
c. axial and lateral resolution will improve
d. axial and lateral resolution will be degraded
axial and lateral resolution will improve

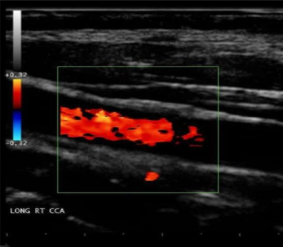
Which of the following statements best describes the reason why there is an absence of color flow in the vessel on the image?
a. The ultrasound beam is parallel to the motion of the blood so non flow is detected
b. the color Doppler gain is set too low to detect the slower flow at the curve in the vessel
c. there is an occlusion present. flow is demonstrated proximal to the lesion with collateral flow filling the distal portion of the vessel
d. the ultrasound beam is perpendicular to the motion of blood so no flow is detected
the ultrasound beam is perpendicular to the motion of blood so no flow is detected
Which of the following is not a measurement of sound characteristics, but a calculation performed by the ultrasound system?
a. blood flow velocity
b. time of flight
c. frequency shift
d. echo amplitude
blood flow velocity

Which of the following machine settings will improve the attached image?
a. activate electronic focusing
b. activate electronic steering
c. decrease sample volume size
d. decrease color persistence
activate electronic steering
An advantage of virtual beam forming over traditional pulse-echo instrumentation is:
a. no receive focusing is needed
b. the risk of bioeffects is reduced by 50% or greater
c. no transmit focusing is needed
d. one transducer can be used for all exam types
no transmit focusing is needed
Which of the following parameters will change when the Sonographer decreases the imaging depth?
a. improved elevational resolution
b. decreased PRF
c. decreased frame rate
d. increased PRF
increased PRF
Which of the following will improve contrast resolution?
a. coded excitation
b. decreasing frequency
c. receive focusing
d. using a stand off pad
coded excitation
If there is a focal disruption in perfluorocarbon contrast display in the area of interest at the level of the focal zone, what should be done to improve the image?
a. switch to saline contrast
b. increase the output power
c. activate harmonic imaging
d. move the focal zone to a more anterior location
move the focal zone to a more anterior location
Which system component converts the scan line data into image format for display?
a. scan converter
b. image processor
c. signal processor
d. beam former
image processor

What artifact is demonstrated on the US image posterior to the gallbladder?
a. comet-tail artifact
b. clean posterior shadowing
c. dirty posterior shadowing
d. posterior enhancement
clean posterior shadowing
What wave parameter is defined as the wavelength times the number of cycles in the pulse?
a. pulse duration
b. pulse repetition frequency
c. spatial pulse length
d. period
spatial pulse length
What is the term used for unwanted Doppler display patterns typically caused by structure motion or breathing?
a. blooming
b. clutter
c. twinkle
d. mirror imaging
clutter
Which of the following statements is true regarding the Sonographer assisting the radiologist with a biopsy procedure?
a. the sonographer’s hands must be covered by sterile gloves when removing the biopsy device from the tray to hand to the physician to start the procedure.
b. the sonographer’s hands must be sterile when opening needles and biopsy device packaging.
c. the sonographer is responsible for creating the point of entry on the patient for the biopsy device.
d. the sonographer should wear sterile gloves when disposing of the needles and devices used for the biopsy.
the sonographer’s hands must be covered by sterile gloves when removing the biopsy device from the tray to hand to the physician to start the procedure.
Preferred levels of axial and lateral resolution will demonstrate:
a. high numerical values
b. widely different numerical values
c. the same numerical value
d. low numerical values
low numerical values
The vertical axis on the m-mode represents the _______.
a. time
b. frequency shift
c. depth of the reflector
d. motion of the structure
depth of the reflector
Which of the following will lead to more color displayed in real time in the abdominal aorta?
a. increase persistence
b. decrease color threshold
c. increase sample size
d. decrease color gain
increase persistence
Which of the following will allow for the display of the most shades of gray on the image?
a. large pixel size with 24 bits /pixel
b. small pixel size with 8 bits / pixel
c. large pixel size with 8 bits /pixel
d. small pixel size with 16 bits / pixel
large pixel size with 24 bits / pixel
Always transport the patient’s IV bag ______ and the urinary catheter bag ______.
a. above the level of the heart, on the patient’s lap
b. above the level of the heart, above the level of the bladder
c. above the level of the heart, below the level of the bladder
d. below the level of the heart, below the level of the bladder
above the level of the heart, below the level of the bladder
The tissue phantom is scanned from the top. There are 6 pins separated by different millimeter intervals from each other from the top to bottom in the phantom. If you measure the minimum visible distance between the pins, what are you testing on your ultrasound system?
a. axial resolution
b. contrast resolution
c. slice thickness resolution
d. lateral resolution
axial resolution
Which of the following correctly describes the positive predictive value (PPV) of a testing technique?
a. the ability of a test to detect disease when it IS present
b. if the test result is positive, PPV is the probability that the patient actually bas the disease
c. if the test is negative PPV is the probability that the patient does not have disease
d. the ability of a test to rule out disease when it IS NOT present
if the test result is positive, PPV is the probability that the patient actually has the disease
When evaluating a focal stenosis of an artery, where should you place the cursor to obtain the highest velocity related to the stenosis?
a. immediately distal to the focal point of the stenosis
b. 2cm distal to the stenosis
c. immediately proximal to the focal point of the stenosis
d. at the narrowest point in the vessel or immediately distal to the focal point of the stenosis
at the narrowest point in the vessel or immediately distal to the focal point of the stenosis
Which of the following correctly describes a normal Doppler waveform of an artery from the lower extremity?
a. there will be a low resistance, monophonic waveform with a small amount of flow reversal in diastole
b. the triphasic waveform will have two components of normal retrograde flow during the cardiac cycle
c. the triphasic waveform will have two components of antegrade flow during the cardiac cycle
d. the triphasic waveform never demonstrates a retrograde flow component during the cardiac cycle
the triphasic waveform will have two components of antegrade flow during the cardiac cycle
The linear transducer you are using has 7-5MHz printed on the side of the housing? What probe characteristics is this?
a. bandwidth
b. dynamic range
c. duty factor
d. system sensitivity
bandwidth
Which of the following system adjustments can be used to help demonstrate the presence of posterior shadowing seen with gallstones?
a. decrease compression setting
b. decrease dynamic range
c. decrease transducer frequency
d. decrease the monitor contrast
decrease dynamic range
To increase the amplitude of the ultrasound pulse produced by the transducer:
a. the number of the piezoelectric elements must increase
b. the voltage amplitude from the pulser must decrease
c. the size of the piezoelectric element must increase
d. the voltage amplitude from the pulser must increase
the voltage amplitude from the pulser must increase
Snell’s law describes what acoustic principle?
a. reflection
b. pressure gradients and flow
c. diffraction
d. refraction
refraction
Which of the following Doppler instrument controls may be used to eliminate low frequency, high amplitude signals?
a. sample volume length
b. Doppler gain
c. wall filter
d. image depth
wall filler
When using a 3-6 MHz transducer, which frequency will offer the best penetration?
a. 3 MHz
b. 4 MHz
c. 5 MHz
d. 6 MHz
3 MHz
Which of the following instruments controls does the sonographer use to adjust the amplitude of a reflected of sound wave?
a. rejection
b. swept gain
c. transmit gain
d. receiver gain
receiver gain
Decreasing the pulse repetition period leads to:
a. improved spatial resolution
b. an increase in the maximum depth that can be imaged
c. a decrease in the maximum depth that can be imaged
d. improve elevational resolution
a decrease in the maximum depth that can be imaged
Which of the following will require the highest levels of time gain compensation?
a. 10 MHz near field
b. 5 MHz near field
c. 10 MHz far field
d. 5 MHz far field
10 MHz far field
Some US systems allow you to adjust the beam thickness or slice thickness. Decreasing the slice thickness will primarily improve _______ resolution.
a. contrast
b. lateral
c. elevational
d. axial
elevational

According to the attached color map, what color will the blood be demonstrated that is moving away from the probe at 30cm/s and is highly turbulent?
a. blue
b. yellow
c. green
d. red
green
Virtual beam forming significantly improves all types of of resolution compared to pulse echo imaging, except:
a. temporal resolution
b. lateral resolution
c. axial resolution
d. contrast resolution
axial resolution
Which of the following correctly describes a variance color map?
a. variance color maps are only used in cardiac imaging
b. the variance map replaces the blue color used in the velocity map and normal flow is displayed as a bright green color
c. variance and velocity maps are easily differentiated when evaluating normal and abnormal flow velocities
d. flow that demonstrates a Reynolds number greater than 2000 on color Doppler will most likely be displayed as a green color with the variance map
flow that demonstrates a Reynolds number greater than 2000 on color Doppler will most likely be displayed as a green color with the variance map

Which image demonstrates refractive shadowing?Use your mouse to position the cursor over the image and click to set your answer.
a. top left
b. top right
c. bottom left
d. bottom right
bottom right

The diagram represents a tissue phantom. The area listed as #6 is used to evaluate which of the following system parameters?
a. dead zone only
b. depth penetration only
c. depth penetration and ability to detect a cystic structure
d. depth penetration and the ability to detect a solid structure
depth penetration and the ability to detect a sold structure
Which type of transducer has the smallest field of view in the near field?
a. linear
b. sector
c. curilinear
d. vector
sector
Which of the following is true regarding annular arrays and linear arrays?
a. annular arrays can be electronically steered, linear arrays must be mechanically steered
b. annular arrays have multiple elements, linear arrays have a single element
c. annular arrays and linear arrays can be electronically steered
d. annular arrays must be mechanically steered, linear arrays use electronic steering
annular arrays must be mechanically steered, linear arrays use electronic steering
Which of the following statements best describes laminar flow?
a. blood flow in arteries with a diameter greater than 2cm
b. blood flow moves in layers with the highest velocity layer in the center of the vessel
c. blood flow layers that all move at the same velocity
d. small changes in vessels radius will cause significant changes in the resistance to flow
blood flow moves in layers with the highest velocity layer in the center of the vessel
Which of the following describes the preferred placement of the focal zone on standard imaging?
a. just below the area of interest on the image
b. approximately 1cm from the bottom of the image sector
c. just above the area of interest on the image
d. approximately 3cm from the face of the transducer
just below the area of interest on the image
Which of the following artifacts can NOT be corrected by increasing the wall filter setting?
a. cross talk artifact
b. aliasing artifact
c. beam width artifact
d. clutter artifact
aliasing
If the output power setting is at 100% and this indicates 0dB, decreasing the power by:
a. 6dB will increase the power output by a factor of 2
b. 6dB will increase the power output by a factor of 4
c. 3dB will decrease the power output to 25% of the original power
d. 6dB will decrease the power output to 25% of the original power
6dB will decrease the power output to 25% of the original power
What type of transducer array has the fewest number of elements?
a. curvilinear sequential array
b. mechanical transducer
c. linear phased array
d. annular array
annular array
No flow detected while performing a Color Doppler evaluation of a normal patent view. What will improve the color display?
a. increase the PRF
b. increasing angle of insonation
c. increase the color packet size
d. increase the sample size
increase the color packet size
Which statement regarding high frequency transducers is correct?
a. higher frequency transducers provide improved image resolution because the sound travels faster through the tissues to provide a more accurate display
b. higher frequency transducers always have low signals to noise ratio
c. a multi-Hz transducer operates at multiple frequencies and offers a broad bandwidth
d. harmonic imaging should never be used on transducers over 12MHz
a multi-Hz operates at multiple frequencies and offers a broad bandwidth
Which of the following describes the best way to identify an unconscious patient?
a. ask the patient to give you their medical record number
b. ask the patient to give you their birthdate
c. verify that the name on the chart matches the name on the order
d. check the hospital wristband on the patient’s arm
check the hospital wristband on the patient’s arm
Resistive index is a ratio utilized to quantify which of the following?
a. phasicitiy of flow
b. resistance to flow
c. flow velocity
d. turbulence of flow
Increased dampening improves axial resolution, but decreases ______.
a. dynamic range
b. impedance
c. lateral resolution
d. sensitivity
sensitivity
When you change the PRF, this adjusts:
a. # cycles emitted per second
b. # cycles per pulse
c. # pulses emitted per second
d. none of the above
# pulses emitted per second
The term _____ refers to when all layers of blood flow are moving at relatively the same speed.
a. plug flow
b. Reynolds flow
c. laminar flow
d. Eddy currents
plug flow
Which of the following is true regarding the Curie point of a piezoelectric element?
a. a quartz transducer crystal is heated above the Curie point to initiate the PE effect of the crystal
b. if the active PE crystal is heated to this temperature, the intensity of the beam produced will increase
c. if the active PE is heated to this temperature, the frequency of the crystal will increase
d. if the active PE is heated to this temperature, the element will lose its piezoelectric properties
if the active PE is heated to this temperature, the element will lost its piezoelectric properties
The unit for the period of a diagnostic ultrasound wave is:
a. microsecond
b. millimeter
c. millisecond
d. second
microsecond
Lateral resolution is best at what location in the beam?
a. periphery
b. far zone
c. near zone
d. focal point
focal point
What beam formation technique is used to produce the sector field of view in a phased array transducer?
a. electronic steering
b. mechanical steering
c. electronic focusing
d. mechanical focusing
electronic steering
What is the contrast resolution for a system with a 4 bit memory and 32 dB dynamic range?
a. 20 dB/shade
b. 8 dB/shade
c. 2 dB/shade
d. 0.8 dB/shade
2 dB/shade
Which of the following describes a purpose for applying acoustic gel to the face of the transducer?
a. to reduce the difference in impedance between the matching layer and the skin
b. to increase the amount of reflection that occurs within the first 2cm of tissue
c. to reduce the beam intensity just before the sound beam enters the patient
d. to increase the amount of refraction that occurs within the first 2cm of tissue
to reduce the difference in impedance between the matching layer and the skin
Which of the following acronyms refers to the standard image file storage format used in medical facilities in the United States?
a. AVI
b. DICOM
c. MPEG
d. JPEG
DICOM
What effect will increased hematocrit levels have on an arterial duplex exam?
a. increased color flow display
b. hematocrit levels do not affect a Doppler evaluation
c. decreased blood viscosity
d. decreased blood flow velocities
decreased blood flow velocities
Which of the following is/are responsible for a significant drop in pressure and damped pulsatility of arterial flow to allow for consistent oxygen and nutrient exchange?
a. capillaries
b. arterioles
c. right atrium
d. venules
arterioles
Which of the following techniques uses the highest intensity beam?
a. PW Doppler
b. M-mode
c. B-mode
d. Power Doppler
PW Doppler
Which of the following system functions allows the linear transducer to offer a trapezoidal field of view?
a. apodization
b. mechanical focusing
c. electronic focusing
d. electronic steering
electronic steering
An area of high pressure and particle density on a pressure wave is referred to as a ______.
a. refraction
b. destructive interference
c. rarefaction
d. compression
compression
In B-mode imaging, the x-axis indicates ______ and the z-axis indicates _______.
a. reflector brightness, time
b. reflector depth, time
c. reflector brightness, reflector depth
d. reflector depth, reflector brightness
reflector depth, reflector brightness
If an ultrasound beam passes from soft tissue through a large fatty mass and then back into soft tissue, what will be displayed on the image?
a. echoes from tissues anterior to the mass will be displaced closer to the top of the image
b. echoes from tissues anterior to the mass will be displaced deeper on the image
c. echoes from tissues posterior to the mass will be displaced deeper on the image
d. echoes from tissues posterior to the mass will be displaced closer to the top of the image
echoes form tissues posterior to the mass will be displaced deeper on the image
If the Doppler cursor angle is underestimated, the velocity of the flow will be _______.
a. dependent solely on the strength of the frequency shift
b. overestimated
c. be unaffected
d. underestimated
underestimated
Which type of resolution improves the most with a short pulse duration ?
a. elevational
b. contrast
c. lateral
d. axial
axial
A _____ MHz transducer will have the thinnest element.
a. 3
b. 5
c. 7
d. 12
12
For color flow Doppler, flow that is perpendicular to the US beam will be represented by the color:
a. black
b. red
c. unable to determine without flow direction information
d. blue
black
If you suspect the US system is placing the same structure at different locations on the image depending on the window used to obtain the image, what should be evaluated on the system?
a. dead zone
b. beam intensity profile
c. registration accuracy
d. uniformity
registration accuracy
Which of the following characteristics of an LCD monitor determines the spatial resolution of the 2D image?
a. number of pixels
b. number of voxels
c. speed of the digital to analog converter
d. size of the patient
number of pixels
Harmonics frequencies are generated:
a. as the sound wave travels through the medium
b. as the reflected wave hits new tissue boundaries on the return path
c. from the edges of each piezoelectric element
d. from constructive and destructive interference
as the sound wave travels through the medium
Applying transducer compression will:
a. increase sound penetration
b. improve the evaluation of internal vascularity of a mass
c. reduce posterior shadowing seen with a malignant mass
d. improve the evaluation of peripheral vascularity of a mass
increase sound penetration
A wave that oscillates at 40 cycles per second has a frequency of ______.
a. 4 MHz
b. 4 kHz
c. 40 kHz
d. 40 Hz
40 Hz
Which of the following fetal structures carries the greatest risk of thermal injury from ultrasound exposure?
a. cardiac muscle tissue
b. free floating portions of the umbilical cord
c. tissue surrounding the fluid filled cavities in the brain and spinal column
d. tissue adjacent to the femur
tissue adjacent to the femur
Dynamic focusing refers to:
a. a combination of electronic and mechanical focusing
b. the type of focusing used in a mechanical array
c. using the time of flight of pulses to improve resolution
d. a combination of frequency compounding and receive focusing
using the time of flight of pulses to improve resolution
When scanning the thyroid, you change from 5MHz probe to a 10MHz probe. Which of the following statements is true?
a. the spatial resolution will improve with the 10MHz transducer
b. the 2D imaging depth settings are much more limited in the 5MHz transducer
c. there will be decreased attenuation with increased penetration with the 10MHz probe
d. the reflected waves will be more quickly received and processed by the 10MHz probe
the spatial resolution will improve with the 10MHz transducer
Which of the following describes the table placement for performing an ultrasound exam?
a. table height should allow the sonographer’s arm to be slightly adducted with the wrist fully flexed toward the side being examined
b. the table should be placed in the trendelenburg position to assist in moving blood flow into the cerebral vessels
c. table height should allow the sonographer’s arm to be slightly abducted with the wrist fully extended
d. the table should be placed in the reverse trendelenburg position to assist in moving blood flow into the cerebral vessels
table height should allow the sonographer’s arm to be slightly abducted with the wrist fully extended
Which of the following console controls will have NO effect on the dynamic range?
a. output power
b. suppression
c. compression
d. rejection
output power

Where does the first caliper go when measuring the acceleration time on PW Doppler? Use your mouse to position the cursor over the correct part of the 3rd waveform and click to set your answer.
blue/green
________ resolution is the ability to resolve two closely spaced structures which lie perpendicular to the sound beam.
a. lateral
b. contrast
c. temporal
d. axial
lateral
Which of the following transducers would have the best axial resolution?
a. 4mm element diameter
b. 4mm element thickness
c. 2mm element diameter
d. 2mm element thickness
2mm element thickness

What is the best way to adjust the console controls to eliminate the Doppler artifact?
a. increase the PW Doppler scale
b. turn down the Doppler gain
c. increase the sweep speed
d. raise the baseline
raise the baseline
Which system component improves lateral resolution?
a. pulser
b. matching layer
c. thickness PE element
d. backing material
pulser

Which image demonstrates posterior enhancement? Use your mouse to position the cursor over the image and click to set your answer.
a. top left
b. top right
c. bottom left
d. bottom right
top right
Range resolution is a primarily advantage of:
a. CW Doppler over PW Doppler
b. curved arrays over linear arrays
c. PW Doppler over CW Doppler
d. harmonic imaging over 3D imaging
PW Doppler over CW Doppler
Which of the following would cause artifactual debris within a simple cyst?
a. activation of spatial compounding
b. increased rejection settings
c. short distance from the transducer
d. reduced gain settings
short distance from the transducer
Which of the following describes a primarily difference between virtual beam forming and traditional pulse echo imaging?
a. virtual beam forming allows for cordless transducers
b. virtual beam forming does not use transmit focusing like pulse echo imaging
c. virtual beam forming requires only one PE element, which allows for a very lightweight transducer
d. virtual beam forming requires only one transducer for all types of ultrasound exams
virtual beam forming does not use transmit focusing like pulse echo imaging
If a rental artery Doppler exam demonstrates normal flow and normal flow is identified on angiography evaluation, the US results are described as:
a. true positive
b. false positive
c. false negative
d. true negative
true negative
Which of the following adjustments will improve temporal resolution on color Doppler?
a. steer the sample box
b. decrease sample size
c. increase the wall filter
d. increase color gain
decrease sample size

What acoustic artifacts is noted on the Doppler tracing?
a. misregistration
b. clutter
c. range ambiguity
d. electrical interference
electrical interference
Which of the following is a correct statement describing the guidelines for wearing a mask?
a. wash your hands, put on gloves, hold the mask over your mouth by touching the front of the mask, tie the upper strings over your ears toward the top of your head and the bottom strings behind your neck
b. wash your hands, put on gloves, tie the upper strings over your ears toward the top of your head and the bottom strings behind your neck
c. wash your hands, hold the mask over your mouth by touching the front of the mask, tie the upper strings over your ears toward the top of your head and bottom strings behind your head
d. wash your hands, tie the upper strings over your ears toward the top of your head and the bottom strings behind your neck
wash your hands, tie the upper strings over your ears toward the top of your head and the bottom strings behind your neck
What shape is the image display from a sequential linear transducer?
a. wedge shaped with curved top
b. rectangle
c. flat top triangle
d. trapezoidal
rectangle
If the stenosis/blockage reduces the vessel lumen to ½ of the normal vessel area, the velocity of flow at the stenosis must _______ to maintain the flow rate.
a. double
b. increase by 200%
c. decrease by 50%
d. quadruple
double
While scanning an obese patient, you apply color Doppler to the aorta. When you adjust the placement of the box, there is a delay between your adjustment and the box moving on the image. How can you correct this?
a. activate write magnification over the area of interest
b. activate read magnification over the area of interest
c. increase the sample size
d. switch to a higher frequency probe
activate write magnification over the area of interest
When the US beam is absorbed by the medium, energy is lost is the form of _____.
a. friction
b. heat
c. radiation
d. viscosity
heat
When you change the angle on the Doppler cursor, the _____ also changes.
a. the volume of flow interrogated
b. flow velocity displayed
c. speed of sound in tissue
d. amplitude of the reflected signal
flow velocity displayed
Which of the following will improve the signal to noise ratio of the image?
a. reducing rejection
b. use of ultrasound contrast
c. decreasing output power
d. increasing overall gain
use of ultrasound contrast
What system control can reduce the appearance of clutter on a color Doppler angle?
a. decreasing color scale
b. decreasing color priority
c. increasing persistence
d. increasing color threshold
decreasing color priority
Lobe artifacts:
a. always appear beside the actual structure on the image
b. always appear deeper on the image than the actual structure
c. only occur with sector arrays
d. only occur with linear arrays
always appear beside the actual structure on the image