1/37
Looks like no tags are added yet.
Name | Mastery | Learn | Test | Matching | Spaced | Call with Kai |
|---|
No study sessions yet.
True or False?
Brightness and density are interchangeable terms
False
1 multiple choice option
The term ___________ ___________ describes the concept of contrast as it is displayed on a soft-copy monitor for digital images.
Dynamic Range
Describes digital post-processing that produces changes in brightness.
Window level
1 multiple choice option
Accurately describes the digital processing that produces changes in the range of brightness.
Window width
1 multiple choice option
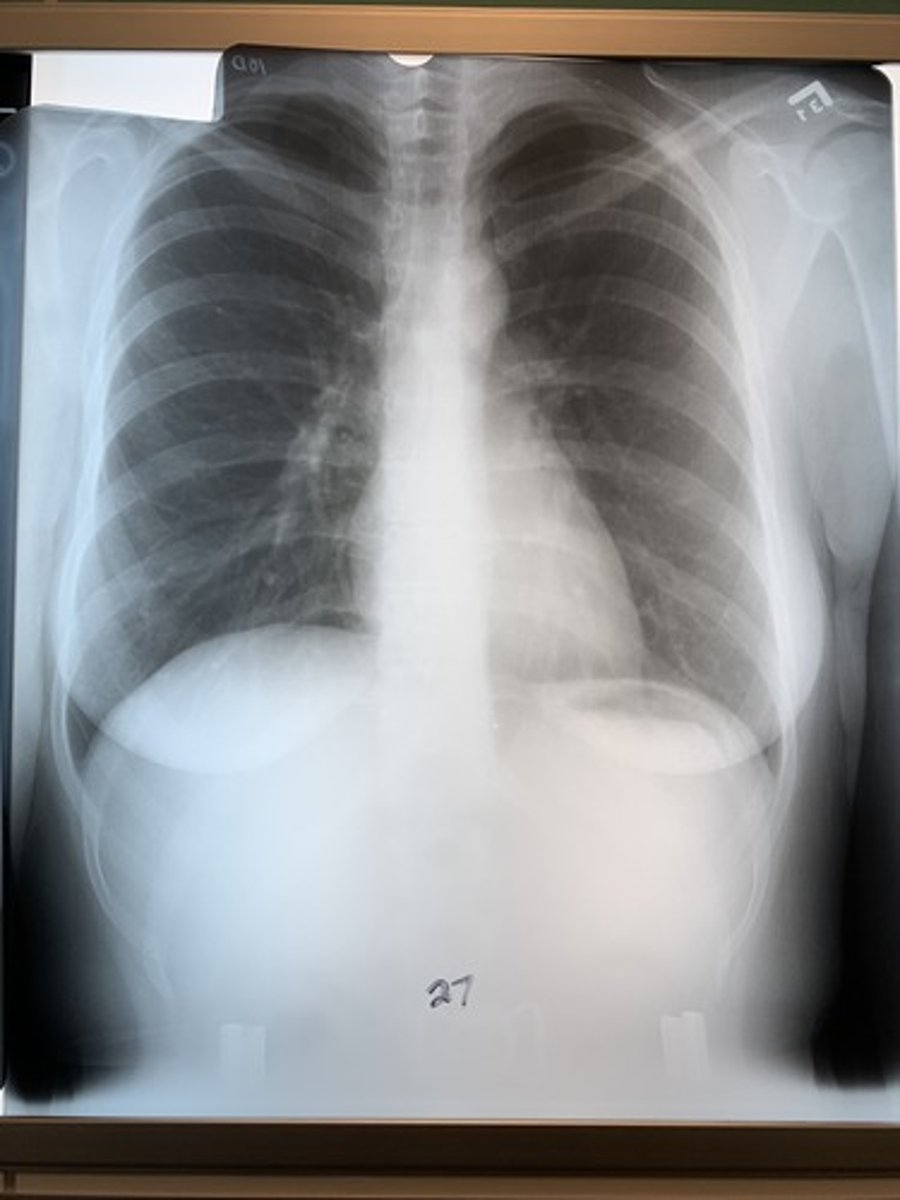
Regarding radiograph 27, is it penetrated?
Penetrated
1 multiple choice option

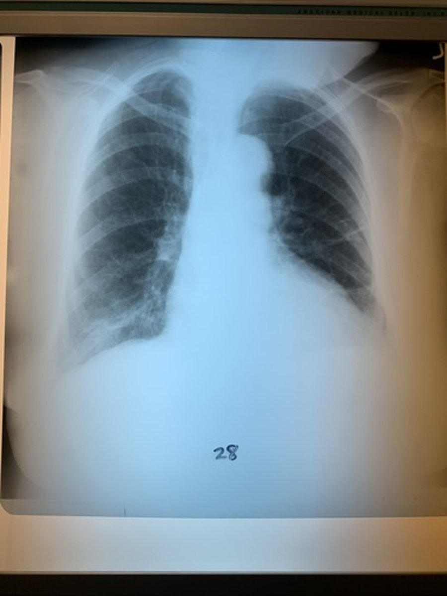
Regarding radiograph 28, is it penetrated?
Not penetrated
1 multiple choice option

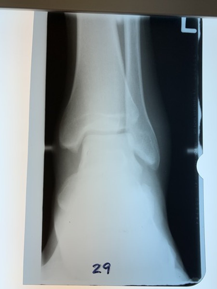
Is radiograph 29 acceptable, underexposed (inadequate mAs), or under-penetrated (inadequate kVp)?
Underexposed
2 multiple choice options

Is radiograph 30 acceptable, underexposed (inadequate mAs), or under-penetrated (inadequate kVp)?
acceptable
2 multiple choice options

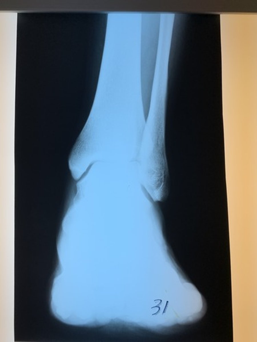
Is radiograph 31 acceptable, underexposed (inadequate mAs), or under-penetrated (inadequate kVp)?
underpenetrated
2 multiple choice options

High spatial resolution represents a high-frequency signal that is capable of imaging?
Smaller objects
1 multiple choice option
When differences between adjacent densities are minimal, with more discernable shades of gray.
Low/Long contrast
When the differences between adjacent densities are great, with fewer discernable shades of gray.
High/Short contrast
The 4 factors that directly affect x-ray quantity are:
Distance, kVp, mAs, Filtration
Which influencing factors affect density/IR exposure:
1. mAs
2. kVp
3. Radiolucent contrast media
4. Film/screen combination
5. Anode heel affect
6. Focal spot size
7. Filtration
8. Grid ratio
9. Beam restriction/collimation
2, 3, 4, 5, 7, 8, 9
3 multiple choice options
Occurs when the tube or the image receptor (IR) is improperly aligned and with changes in the tube angle.
Elongation
1 multiple choice option
With digital imaging systems, the primary determinant of the scale of contrast is the post-processing ______________ and ________________ sequence that sets the range of information that will be supplied to the monitor, where it will be displayed in the range of brightness.
histogram, look-up table
3 multiple choice options
___________ distortion is the misrepresentation by unequal magnification of the actual shape and can be described as either ___________ or ____________.
Shape, Foreshortened, Elongation
2 multiple choice options
Which terms are used to describe high contrast?
1. Low kVp
2. Large (wide) dynamic
3. High kVp
4. Increased contrast
5. Many shades of gray
1, 4
3 multiple choice options
X-ray quantity is a measure of the number of x-ray photons in the useful beam. It is also called: ___________ , ______________ or ________________ .
Output, intensity, exposure
SID alters the intensity of the beam reaching the IR, according to the inverse square law. To maintain IR exposure, mAs must be changed to compensate for changes in SID. What formula is used for this purpose?
Exposure maintenance
1 multiple choice option
True or False
An air-gap technique, which increases OID has an effect on contrast by increasing it.
True
1 multiple choice option
If the SID is 40” and the OID is 2”, what is the magnification factor?
1.05
A radiograph of the pelvis is produced using 25 mAs @ 70 kVp. What kVp would be needed to double the exposure?
80.5 (15% rule)
Distortion is a misrepresentation of the __________ or ____________ of the structures being examined.
Size, shape
Digital imaging recorded detail (which is primarily determined by matrix size, pixel size & grayscale bit depth) is more commonly called?
Spatial resolution
The major factor affecting the recorded detail of a digital imaging system (indirect or direct) is the size of the ____________ ______________.
Detector element
Recorded detail is also referred to as:
Spatial resolution, definition sharpness, definition
Subject contrast is the range of differences in the intensity of the x-ray beam after it has been attenuated by the subject. It is dependent on what 3 things?
Part thickness, kVp, Type/amount
The 3 factors that control recorded detail are:
Geometry (focal spot, distance and OID & SID), IR, Motion
Penumbra (unsharpness) can be calculated by using which formula?
P = Focal Spot Size x OID
SOD
3 multiple choice options
This term refers to a lack of sufficient incoming data (x-ray photons) for processing resulting in a blotchy or mottled image.
Quantum noise
3 multiple choice options
The ______________ is a major controller of image resolution because it controls penumbra.
Focal spot size
3 multiple choice options
Which factors affect distortion?
1. SID
2. OID
3. Patient thickness
4. CR alignment
5. CR angle
6. FSS
7. Motion
1, 2, 3, 4, 5
3 multiple choice options
Magnification is the only possible size distortion in radiography. Name the 2 factors that affect size distortion.
OID, SID
An image that demonstrates slight or minimal differences between densities but has a maximal total number of densities.
Decreased contrast
1 multiple choice option
Which of the factors decrease recorded detail?
1. Motion
2. Increasing focal spot size
3. Decreasing OID
4. Decreasing patient thickness
5. Increasing SID
1, 2
3 multiple choice options
Occurs only when the part is improperly aligned.
Foreshortening
2 multiple choice options
Which of the terms are used to describe high contrast?
1. Long scale of contrast
2. Few shades of gray
3. Large (wide) dynamic
4. Increased contrast
5. Many shades of gray
6. Decreased contrast
7. Short (narrow) dynamic
8. High kVp
9. Short scale of contrast
10. Low kVp
2, 4, 7, 9, 10
3 multiple choice options