1/22
Looks like no tags are added yet.
Name | Mastery | Learn | Test | Matching | Spaced | Call with Kai |
|---|
No analytics yet
Send a link to your students to track their progress
Primary Survey
You are an OMFS resident rotating on the Trauma Surgery Service when he arrives. What is the first stage of evaluation when he arrives in theEmergency Department?
Triage
This step is completed prior to arrival the emergency department. This is part of the preparatory stage:
Primary Survey
This includes evaluation of the ABCs:
Secondary Survey
This is the more detailed examination completed after the ABCs are secured and while the team is evaluating for injuries that could be life-threatening:
Tertiary Survey
This examination occurs within the first 24 hours and is a detailed, head-to-toe examination designed to ensure no injuries are missed:
Intubate the patient
25-year-old male patient is brought into your local Emergency Department after a motorcycle collision. In the interim, you notice that he stopped talking.You re-assess him and notice that he no longer opens his eyes, even when you pinch him. He is now also not speaking or making noises when you try to awaken him. And while he was moving when he first arrived, he now is not at all.
Aside from continually re-evaluating his ABCs, what isour next step?
- CT scan to evaluate his injuries
- Intubate the patient
- Perform CPR
- Remove the patient's clothing to allow visualization of other injuries
3
The same 25-year-old male patient has stopped talking. You re-assess him and notice that he no longer opens his eyes, even when you pinch him.He is now also not speaking or making noises when you try to awaken him. And while he was moving when he first arrived, he now is not at all. What is his GCS score?
- 0
- 3
- 5
- 15
racoon eyes, battle sign
What are these two signs of trauma:

skull base fracture
Racoon eyes & battle sign are indicative of:
Kissle
Where do nosebleeds originate:
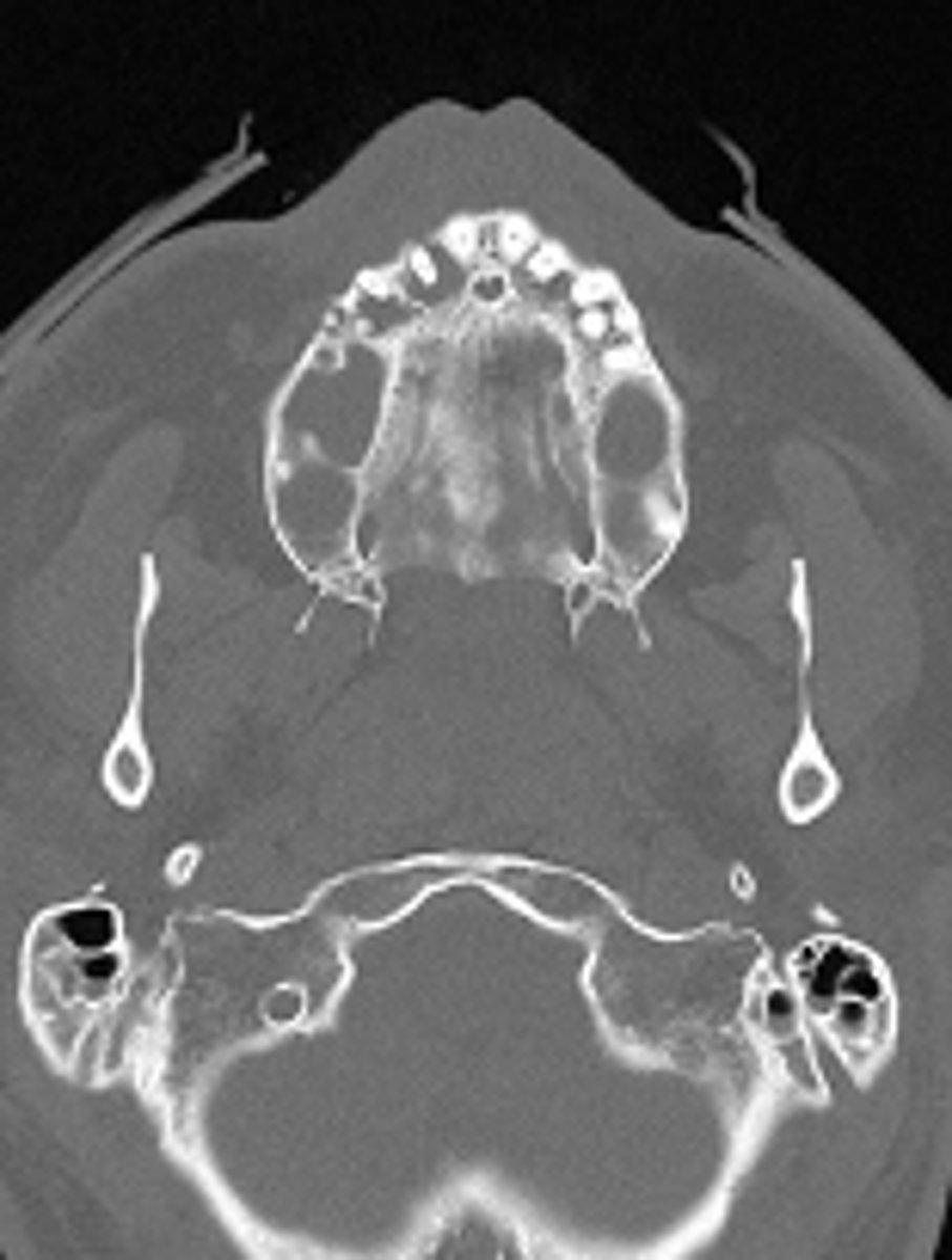
axial plane
ID the CT view:

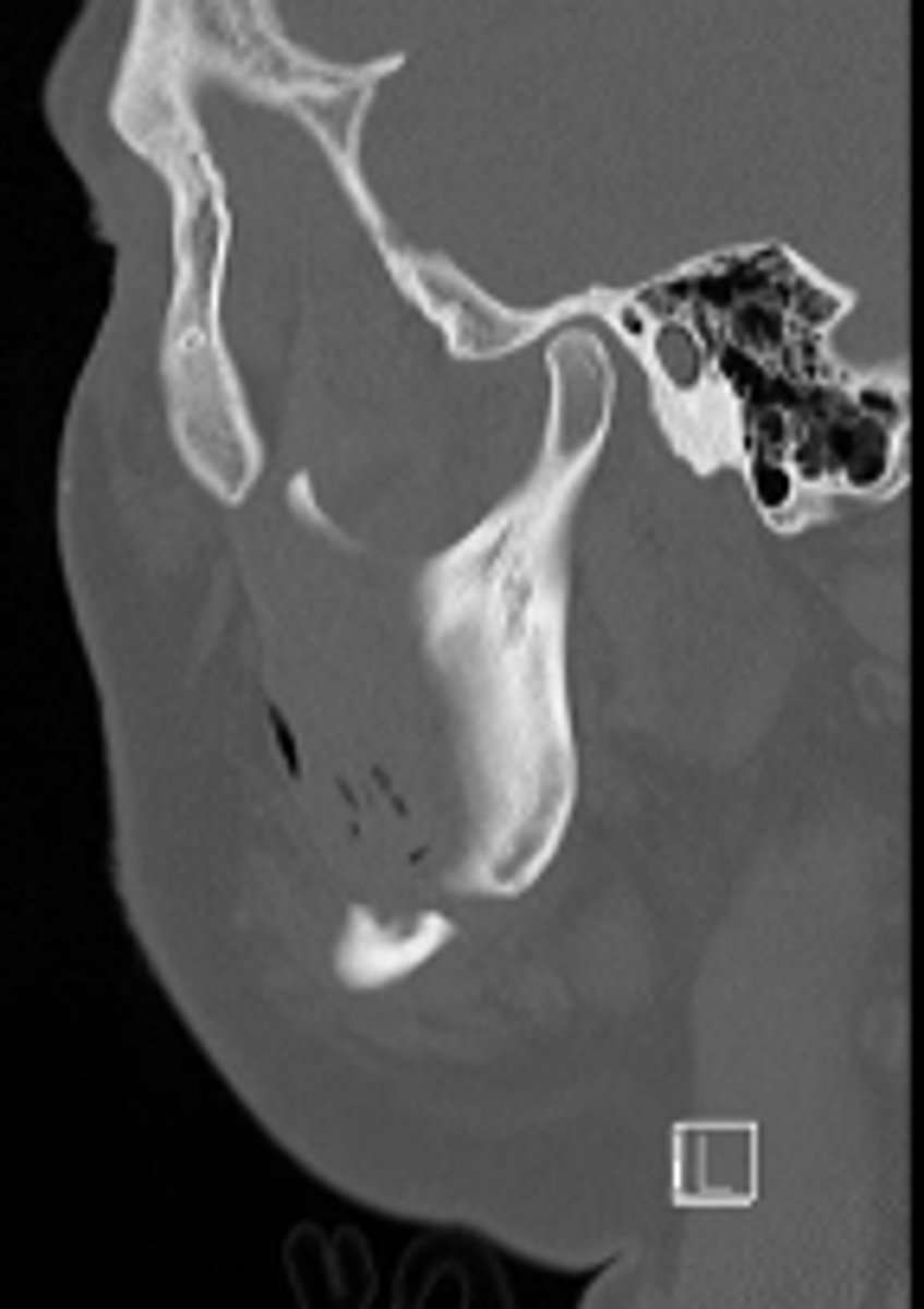
sagittal plane
ID the CT view:

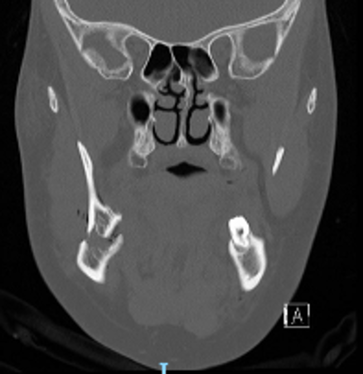
coronal plane
ID the CT view:

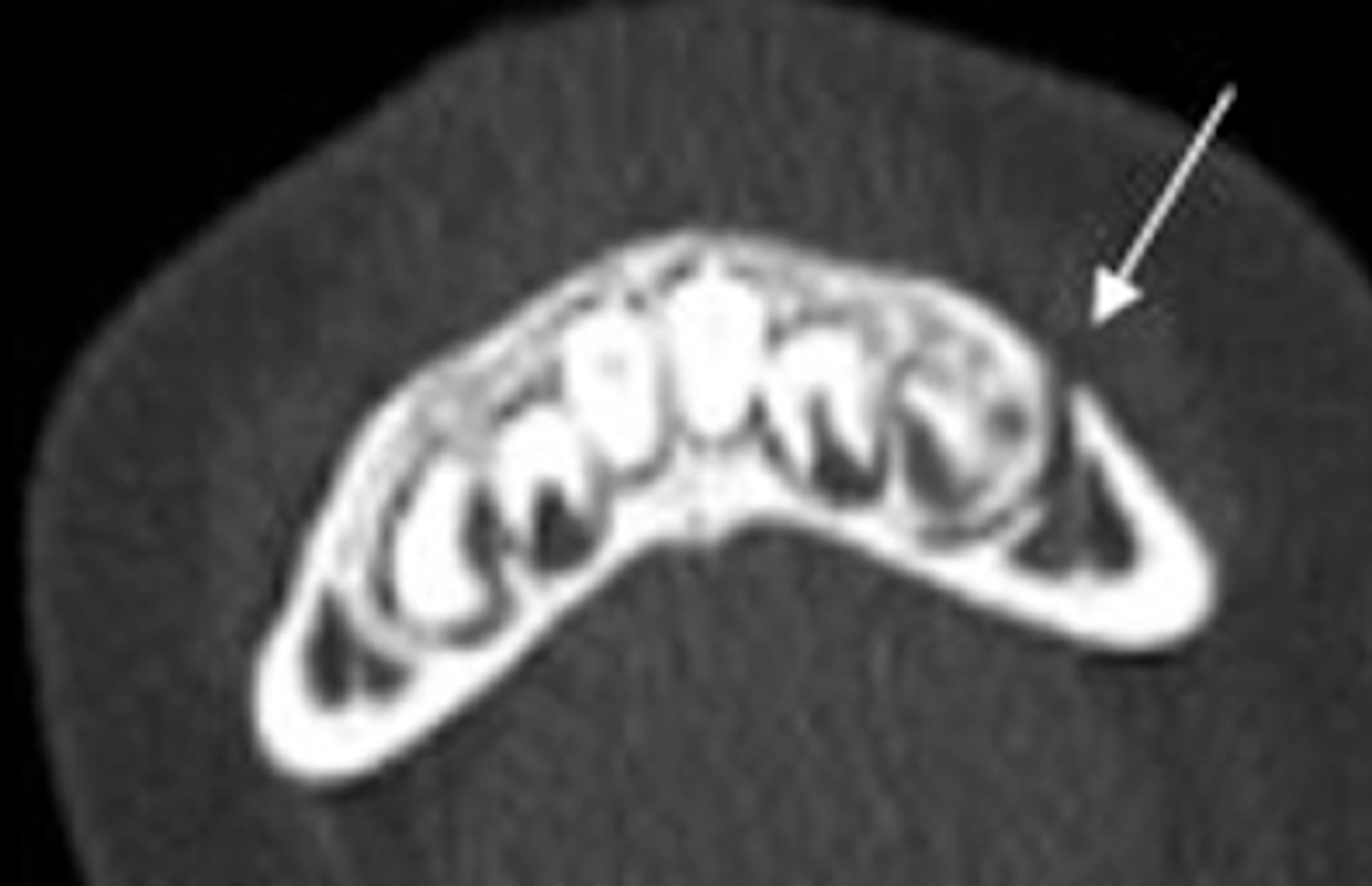
Greenstick
A 4 year old female patient fell off her scooter and struck her face. She was wearing a helmet and had no loss of consciousness but reported pain in her left lower jaw. She went to her local Children's Hospital where a CT was taken showing this injury. What type of fracture is this?
- Simple
- Comminuted
- Greenstick
- Complex

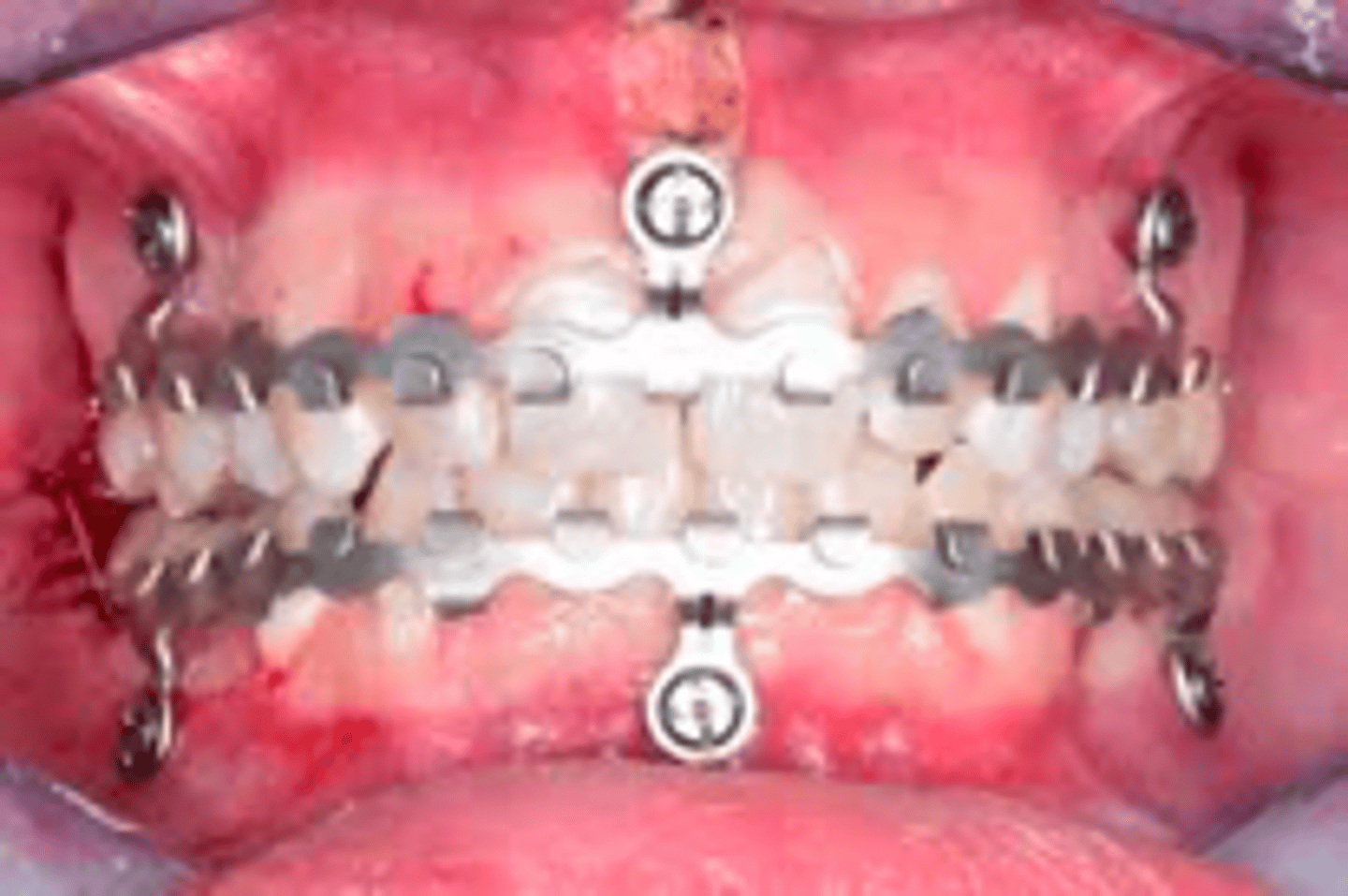
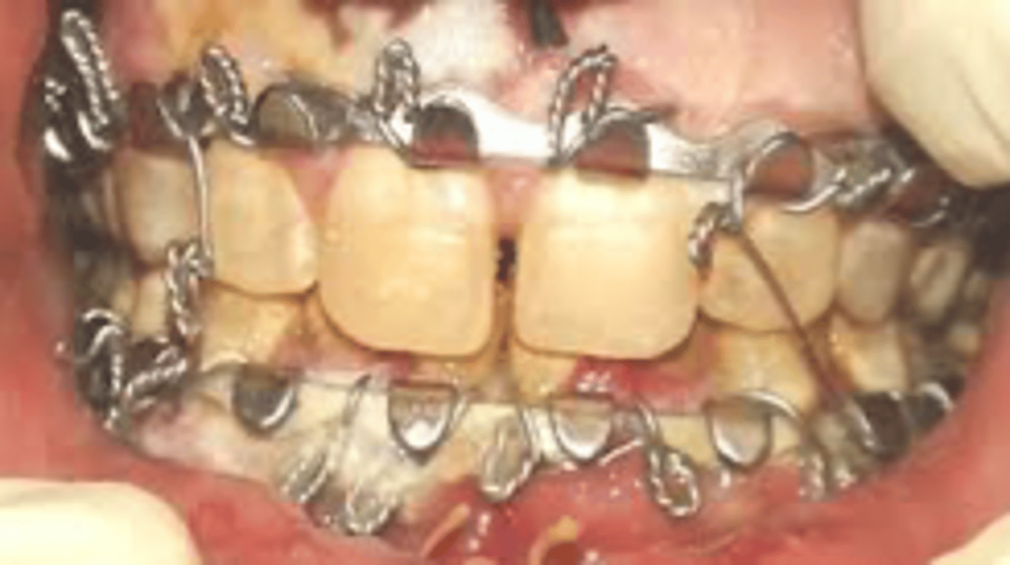
Hybrid Arch bars
ID the MMF device:

IMF screws
ID the MMF device:

Erich Arch bars
ID the MMF device:

B. Ivy Loops
ID the MMF device:

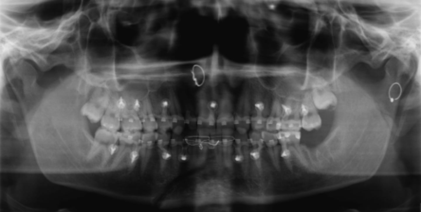
Subcondylar
PANOREX showing this fracture pattern. Where is this fracture located?
- Angle
- Subcondylar
- Body
- Coronoid
- Ramus

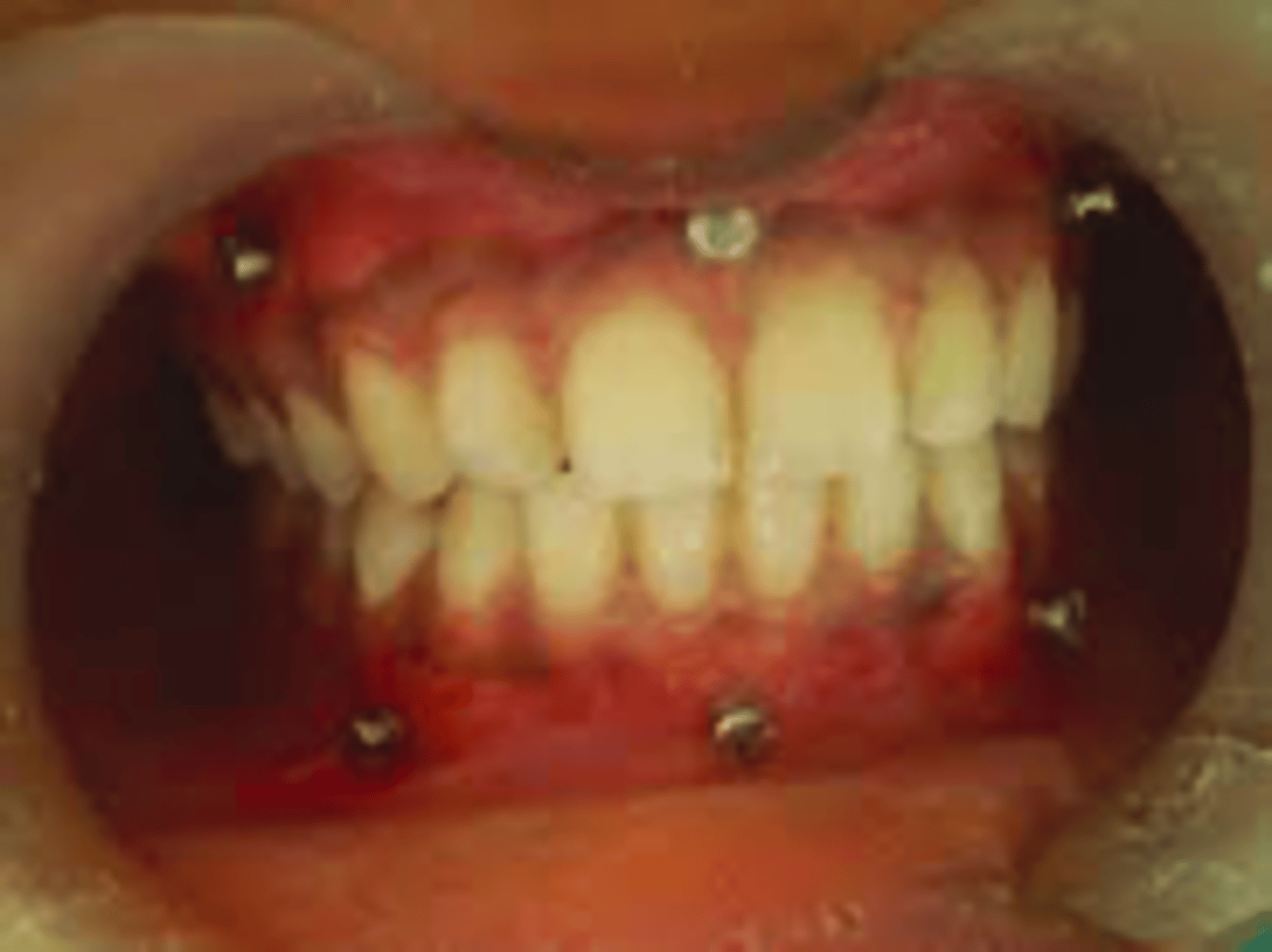
Gunning Splints
Pt was found to have bilateral mandibular body fractures. Due to her medical comorbidities, the decision was made to proceed with intermaxillary fixation. What device was used to achieve this?
- Ivy loops
- Open Reduction Internal Fixation
- Gunning Splints
- Lucia Jig

Secondary Intention
Due to concerns for scarring, the joint decision was made to treat her with intermaxillary fixation. The symphyseal region would be expected to heal by:
- Primary Intention
- Secondary Intention
- Callus formation without bone formation
- No healing is expected

LeFort I
A 35 year old male farmer was struck in the face by one of his horses. He immediately noticed a change in his occlusion and significant bleeding from his nose. Which type of fracture does this represent?
- LeFort I
- LeFort II
- LeFort III
- LeFort IV

Keen
A 26-year-old female patient was kicked in the face during an altercation at her friend's bachelorette party in Nashville. She notices that she is having difficulty opening her mouth and feels "stuck." She also notices a divot in the side of her face. She wants this fixed but doesn't want to see a visible scar. What approach would you use?
- Keen
- Bicoronal
- Zygomatic
- Risdon
- Gilles