1/3
Looks like no tags are added yet.
Name | Mastery | Learn | Test | Matching | Spaced | Call with Kai |
|---|
No analytics yet
Send a link to your students to track their progress

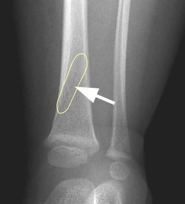
What kind of condition is Occult Fractures? causes what?
what happens on the tibia?
what is it aka?
benign condition causing acute limp
hairline fracture of the tibia
Toddler’s fracture
where are occult fractures also common in? (3)
wrist, foot, and ankle
what is the hx for occult fractures? (3)
what do radiographs show initially?
NO hx of significant trauma, fever, or signs of infection
radiographs initially may be normal
treatment for occult fractures:
what do you do for comfort? monitor for what?
what is present in 10-14 days?
cast or splint for comfort with monitoring for signs of infection
- in 10-14 days, radiographic evidence of callus formation is present