Salivary Gland Neoplasm

0.0(0)
studied byStudied by 0 people
full-widthCall with Kai
GameKnowt Play
learnLearn
examPractice Test
spaced repetitionSpaced Repetition
heart puzzleMatch
flashcardsFlashcards
Card Sorting

1/57

encourage image

There's no tags or description

Looks like no tags are added yet.

Study Analytics
Name
Mastery
Learn
Test
Matching
Spaced

No study sessions yet.

58 Terms

1
New cards

What is the most common location for major salivary gland neoplasms?

Parotid gland (60-80%)

2
New cards

What is the most common location for minor salivary gland neoplasms?

Palate (50%)

3
New cards

What are some other locations of minor salivary gland neoplasms?

Tongue and retromolar pad area

4
New cards

Tumors in which locations are usually malignant?

Retromolar pad and sublingual gland

5
New cards

What is the most common salivary gland tumor overall (benign + malignant)?

Pleomorphic adenoma

6
New cards

What is the most common site for intraoral pleomorphic adenoma?

Palate

7
New cards

What is the most common malignant salivary gland tumor?

Mucoepidermoid carcinoma (MEC)

8
New cards

What is the most common malignant tumor in major salivary glands?

Mucoepidermoid carcinoma (MEC)

9
New cards

What is the most common malignant tumor in minor salivary glands?

Adenoid cystic carcinoma

10
New cards

Concerning locations for salivary neoplasm

knowt flashcard image
11
New cards
<p>What is another name for Pleomorphic Adenoma?</p>

What is another name for Pleomorphic Adenoma?

Benign mixed tumor

12
New cards
<p>In what age group might you see pleomorphic adenoma?</p>

In what age group might you see pleomorphic adenoma?

Middle age

13
New cards
<p>Where might you find pleomorphic adenoma?</p>

Where might you find pleomorphic adenoma?

  • Major gland: Superficial lobe of parotid gland

  • Minor gland: Palate is most common

14
New cards
<p>What are some clinical features of pleomorphic adenoma?</p>

What are some clinical features of pleomorphic adenoma?

  • Appears as a painless, slowly growing, firm mass

  • Lesion can grow to grotesque proportions if untreated

  • Tumor is encapsulated

15
New cards
<p>How would you treat pleomorphic adenoma?</p>

How would you treat pleomorphic adenoma?

Surgical excision- best prognosis of all tumors

**5% can have malignant transformation: carcinoma ex-pleomorphic adenoma

16
New cards
<p>What is this?</p>

What is this?

Pleomorphic adenoma in the palate

17
New cards
<p>What is another name for Warthin Tumor?</p>

What is another name for Warthin Tumor?

Papillary cystadenoma lymphomatosum

18
New cards
<p>What gland does Warthin Tumor affect the most?</p>

What gland does Warthin Tumor affect the most?

Exclusively in parotid gland (tail)

19
New cards
<p>What age group does Warthin Tumor affect?</p>

What age group does Warthin Tumor affect?

6th-7th decade (mean age: 55-60 years)

20
New cards
<p>What is the 2nd most common benign tumor of salivary gland?</p>

What is the 2nd most common benign tumor of salivary gland?

Warthin Tumor

21
New cards
<p>Warthin Tumor is strongly associated with what?</p>

Warthin Tumor is strongly associated with what?

Cigarette smoking; 8-fold greater risk in people who smoke

22
New cards
<p>What demographic does Warthin Tumor mostly affect?</p>

What demographic does Warthin Tumor mostly affect?

More often in males, though recent studies suggest more equal gender radio (increased # of women smokers?)

23
New cards

Warthin Tumor can be

Unilateral or bilateral

24
New cards

What is the treatment for Warthin Tumor?

Surgery

25
New cards
<p>What is another name for Canalicular Adenoma?</p>

What is another name for Canalicular Adenoma?

Monomorphic Adenoma

26
New cards
<p>Where might you find Canalicular Adenoma?</p>

Where might you find Canalicular Adenoma?

Almost exclusively in the minor salivary glands; striking predilection for the upper lip (75%) —> it is a slow growing, painless submucosal mass

27
New cards
<p>What age group does Canalicular Adenoma affect?</p>

What age group does Canalicular Adenoma affect?

> 60 years

28
New cards
<p>What is the treatment for Canalicular Adenoma?</p>

What is the treatment for Canalicular Adenoma?

Surgical excision

29
New cards
<p>Where might you find mucoepidermoid carcinoma?</p>

Where might you find mucoepidermoid carcinoma?

  • Major: Parotid gland

  • Minor: Palate or retromolar pad area

30
New cards
<p>What are some clinical features of mucoepidermoid carcinoma?</p>

What are some clinical features of mucoepidermoid carcinoma?

  • Appears as an asymptomatic swelling

  • Intraosseous tumors can develop in the jaws

31
New cards
<p>What is the treatment for mucoepidermoid carcinoma?</p>

What is the treatment for mucoepidermoid carcinoma?

Depends on the grade

  • Low-grade: wide surgical excision (95% survival)

  • High-grade: wide surgical excision + radiation (40% survival)

32
New cards
<p>What is this?</p>

What is this?

Mucoepidermoid Carcinoma

33
New cards
<p>This is only salivary gland tumor that can occur in the bone</p>

This is only salivary gland tumor that can occur in the bone

Mucoepidermoid Carcinoma (intraosseous- looks non-specific)

34
New cards
<p>What is the 2nd most common minor salivary gland malignancy?</p>

What is the 2nd most common minor salivary gland malignancy?

Polymorphous adenocarcinoma

35
New cards
<p>In which demographic would you see polymorphous adenocarcinoma?</p>

In which demographic would you see polymorphous adenocarcinoma?

  • 2:1 female predilection

  • 6th -8th decade (mean 56 years old), but wide age range

36
New cards
<p>Where might you find polymorphous adenocarcinoma?</p>

Where might you find polymorphous adenocarcinoma?

Almost exclusively in minor salivary glands

  • Posterior hard/soft palate (62%)

  • Buccal mucosa 15%

  • Upper lip 10%

37
New cards
<p>How would you treat polymorphous adenocarcinoma?</p>

How would you treat polymorphous adenocarcinoma?

Wide surgical excision

38
New cards
<p>What is the most common malignancy of the submandibular gland?</p>

What is the most common malignancy of the submandibular gland?

Adenoid cystic carcinoma

39
New cards
<p>Where might you find Adenoid cystic carcinoma?</p>

Where might you find Adenoid cystic carcinoma?

  • Can occur in any salivary gland but 40%-45% are in minor glands

  • 50% palate

40
New cards
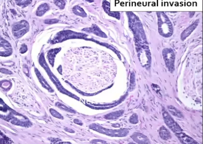
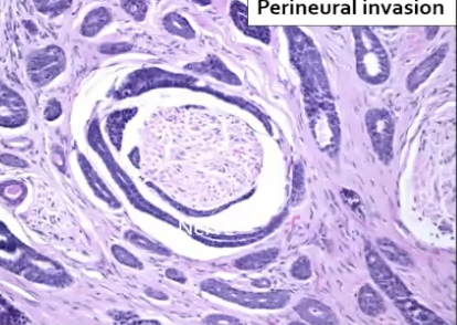
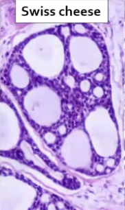
<p>What are some histological features of Adenoid cystic carcinoma?</p>

What are some histological features of Adenoid cystic carcinoma?

  • Swiss cheese

  • Perineural invasion

<ul><li><p>Swiss cheese</p></li><li><p>Perineural invasion</p></li></ul><p></p>
41
New cards
<p>What is a unique characteristic of Adenoid cystic carcinoma?</p>

What is a unique characteristic of Adenoid cystic carcinoma?

Causes severe pain because it wraps around the nerve (perineural invasion). Due to this, it can recur and prognosis is not great

42
New cards
<p>How would you treat Adenoid cystic carcinoma?</p>

How would you treat Adenoid cystic carcinoma?

Surgery and radiation

43
New cards
<p>What is this?</p>

What is this?

Adenoid cystic carcinoma with bone invasion

44
New cards

Which minor salivary gland location is most commonly affected by neoplasms?

Palate

45
New cards

Which of the following is most common site for salivary gland neoplasms?

Parotid gland

46
New cards

Which salivary gland tumor is the most common overall (benign + malignant)?

Pleomorphic adenoma

47
New cards

Which salivary gland tumor has a strong associated with cigarette smoking?

Warthin tumor

48
New cards

Which tumor is almost exclusively found in the upper lip of older adults?

Canalicular adenoma

49
New cards
<p>CBCT showed bone destruction. What is the diagnosis?</p>

CBCT showed bone destruction. What is the diagnosis?

Adenoid cystic carcinoma

50
New cards
<p>What is the diagnosis?</p>

What is the diagnosis?

Canalicular adenoma

51
New cards
<p>What is the diagnosis?</p>

What is the diagnosis?

Mucoepidermoid carcinoma

52
New cards
<p>What is the diagnosis?</p>

What is the diagnosis?

Mucocele

53
New cards
<p>What is the diagnosis?</p>

What is the diagnosis?

Nicotine stomatitis

54
New cards
<p>What is the diagnosis?</p>

What is the diagnosis?

Necrotizing sialometaplasia

55
New cards
<p>What is the diagnosis?</p>

What is the diagnosis?

Ranula

56
New cards
<p>What is the diagnosis?</p>

What is the diagnosis?

Sialolithiasis

57
New cards
<p>What is the diagnosis</p>

What is the diagnosis

Sjogren syndrome

58
New cards
<p>Slowly growing lesion. Been present for over 10 years. What is the diagnosis?</p>

Slowly growing lesion. Been present for over 10 years. What is the diagnosis?

Pleomorphic adenoma