1/9
Name | Mastery | Learn | Test | Matching | Spaced |
|---|
No study sessions yet.

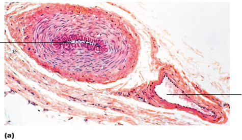
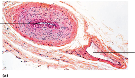
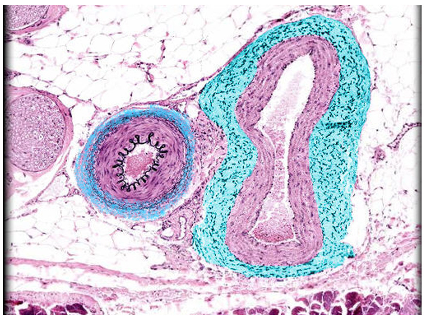
What vessel is on the left? (NOT IN ANATOMICAL)
Artery

What vessel is on the right? (NOT IN ANATOMICAL)
Vein

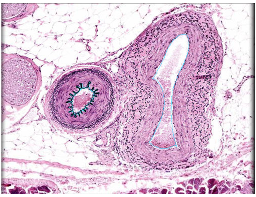
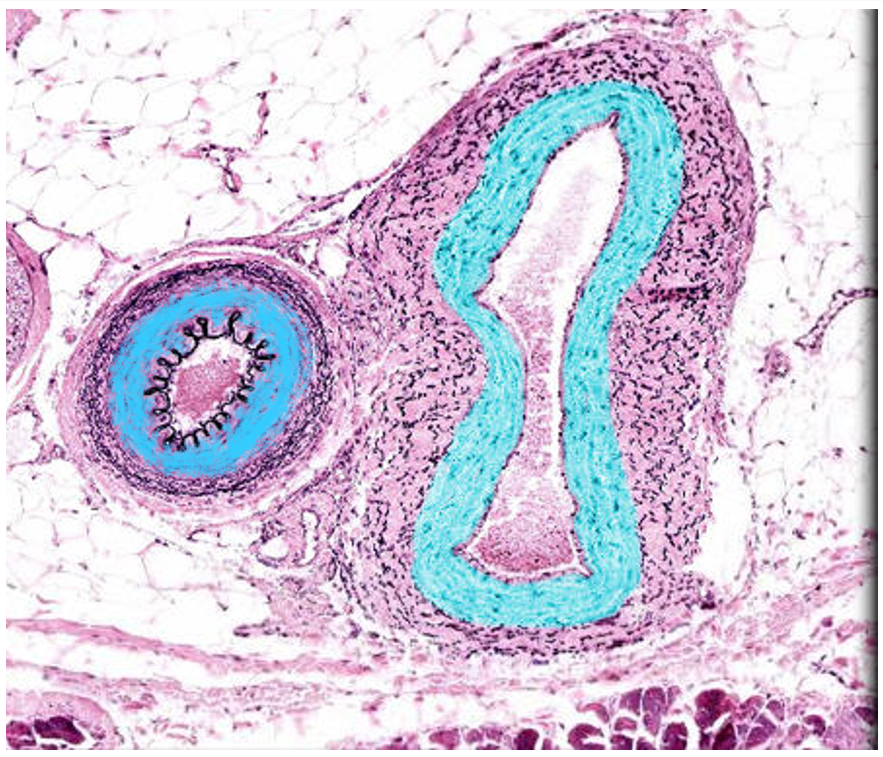
Tunica Intima

Tunica Media

Tunica Externa

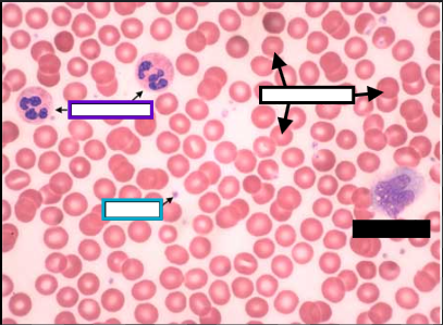
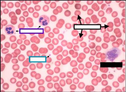
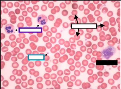
What is the black box arrow pointing at?
erythrocyte

What is the purple box arrow pointing at?
neutrophil

What is the blue box arrow pointing at?
platelet

What disease is shown on the slide?
sickle cell anemia

What disease is shown on the slide?
leukemia