1/106
Looks like no tags are added yet.
Name | Mastery | Learn | Test | Matching | Spaced | Call with Kai |
|---|
No analytics yet
Send a link to your students to track their progress
Alimentary Canal

Mucosa

Muscularis mucosae

Muscularis mucosae

Submucosa

Submucosa
E

Muscularis externa

Muscularis externa
D

Inner circular smooth muscle
1

Outer longitudinal smooth muscle
2

Serosa
A

Oral cavity

Upper lip

Lower lip

Hard palate

Soft palate

Uvula

Tongue

Gingiva

Teeth

Incisor

Canine

Premolar

Molar

Crown

Neck

Root
Tooth Region

Apical foramen

Cement

Dentin

Enamel

Pulp cavity

Pulp

Root canal

Parotids salivary gland

Sublingual salivary gland

Submandibular salivary gland

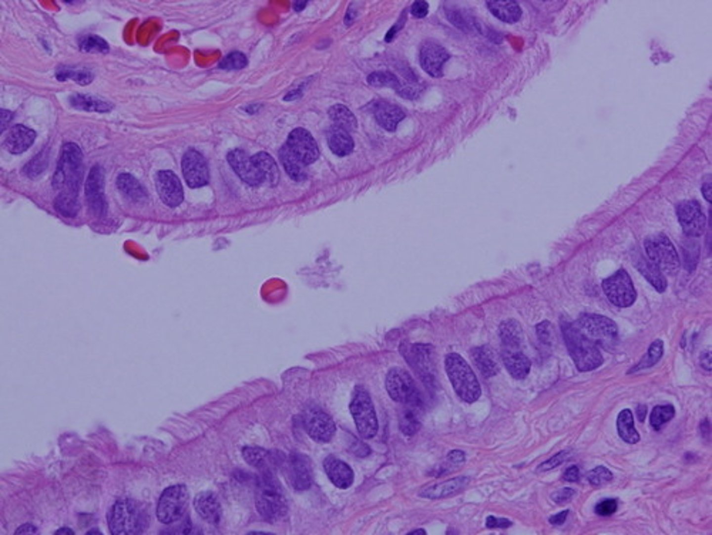
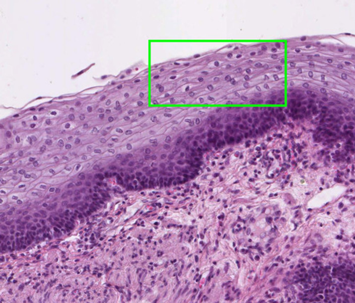
Esophagus

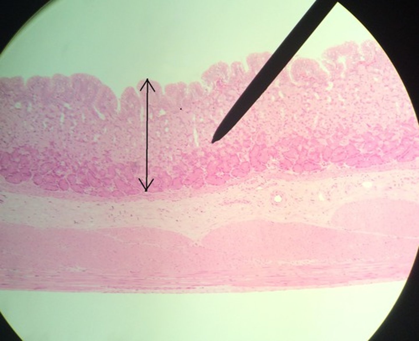
Gastroesophageal junction

Simple columnar epithelium

Stratified squamous epithelium

Stomach

Cardial
Location of stomach

Fundic

Body stomach
D

Pyloric sphincter

Pylorus

Longitudinal smooth muscle

Circular smooth muscle

Oblique smooth muscle

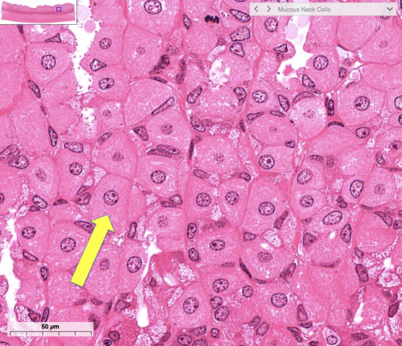
Gastric rugae

Gastric pit

Gastric gland

Parietal cell
B

Parietal cell

Chief cell
D

Chief cell

Enteroendocrine cell

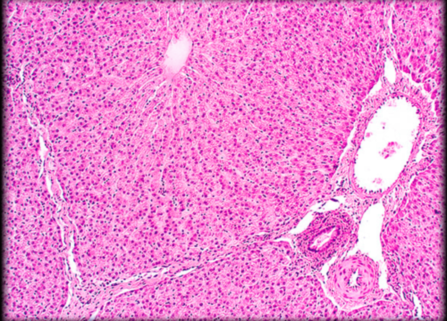
Liver

Liver

Falciform ligament

Ligamentum teres
4

Common hepatic duct

Bile duct

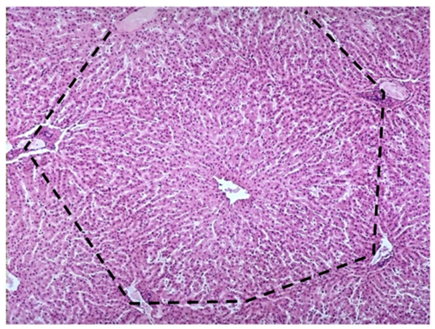
Lobule

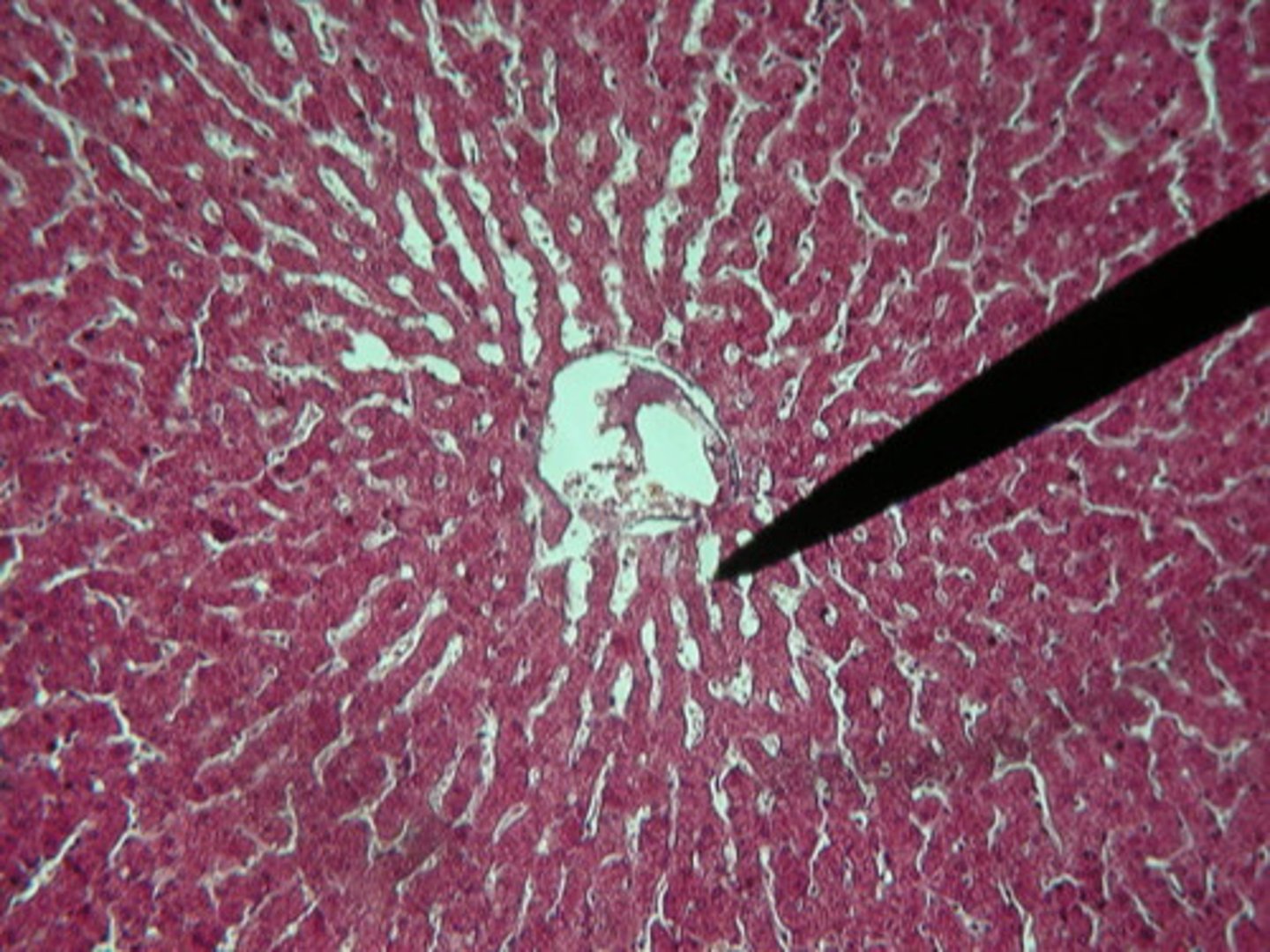
Central vein

Hepatic sinusoid

Hepatocyte

Stellate macrophage

Hepatic portal circulation

Hepatic portal vein

Hepatic vein

Splenic vein

Superior mesenteric vein

Inferior mesenteric vein

Gallbladder

Cystic duct

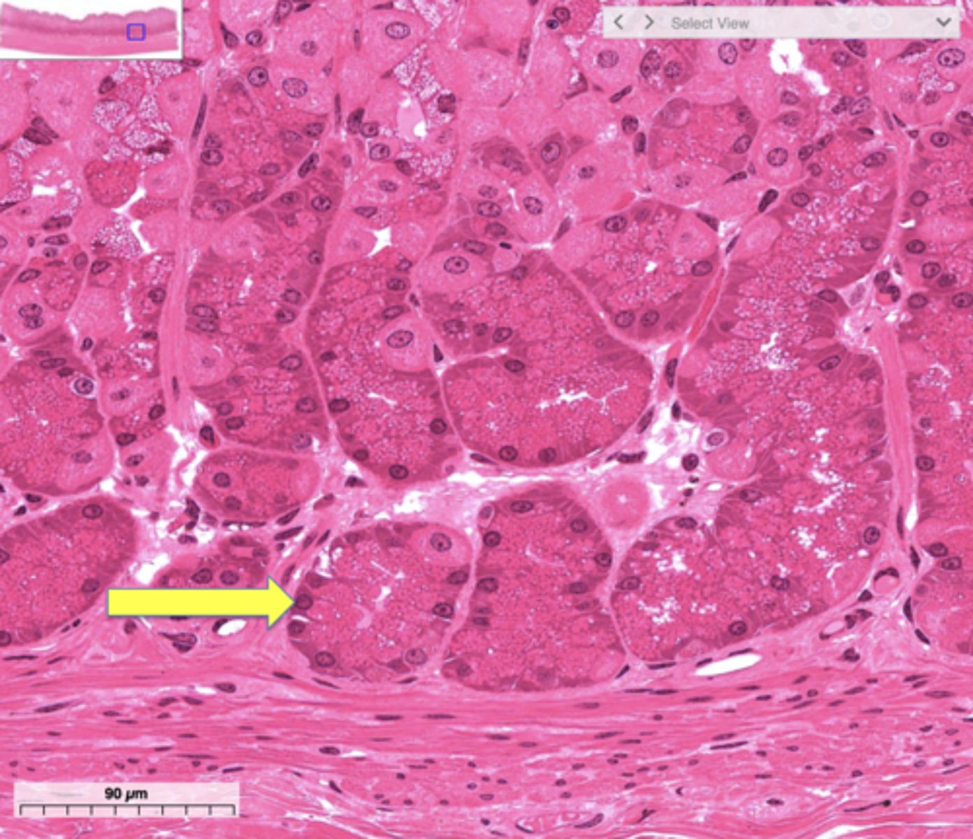
Pancreas

Pancreatic duct

Accessory pancreatic duct

Pancreatic acinar cell

Small intestine
Duodenum, Jejunum, Ileum
Duodenum
A

Jejunum
B

Ileum
C

Ileocecal valve

Villus

Intestinal crypt
6

Lacteal
2

Absorptive cell

Goblet cell

Large intestine
Transverse colon, Descending colon, Ascending colon, Cecum, Sigmoid colon, Rectum, Appendix, Anal canal
Haustrum

Tenia coli

Appendix

Cecum

Ascending colon

Right colic flexure

Transverse colon

Left colic flexure
