1/147
Looks like no tags are added yet.
Name | Mastery | Learn | Test | Matching | Spaced | Call with Kai |
|---|
No analytics yet
Send a link to your students to track their progress
brachial plexus

cervical plexus

lumbar plexus

sacral plexus

C1 spinal nerve

median nerve

radial nerve

femoral nerve

sciatic nerve

ulnar nerve
1 and 3

brachial plexus
Nerve plexus formed by parts of C5 plus nerves C6,C7, C8 and T1.
8; 16
There are ____ pair(s) of cervical spinal nerves, which correspond to a total of ___.
12; 24
There are ____ pair(s) of thoracic spinal nerves, which correspond to a total of ___.
5; 10
There are ____ pair(s) of lumbar spinal nerves, which correspond to a total of ___.
5; 10
There are ____ pair(s) of sacral spinal nerves, which correspond to a total of ___.
1; 2
There are ____ pair(s) of coccygeal spinal nerves, which correspond to a total of ___.
31; 62
There are ____ pair(s) of spinal nerves, which correspond to a total of ___.
31 total segments and 5 named regions
Total number of segments of the spinal cord and total number of named regions of the spinal cord.
brachial
The ____ plexus innervates the upper limb.
lumbar
The ____ plexus innervates the upper thigh.
cervical
The ____ plexus innervates the neck and skin of the upper chest.
sacral
The ____ plexus innervates the perineum and lower limb.
diaphragm
The phrenic nerve controls what major muscle for breathing?
femoral nerve
controls the muscles of the anterior thigh and provides cutaneous innervation to the skin of the medial leg
pudendal nerve
innervates the external anal sphincter, external urethral sphincter and perineum. It provides cutaneous innervation to the medial scrotum and perineum.
radial nerve
provides motor innervation to the triceps brachii and the extrinsic extensors of the wrists and hands; it also provides cutaneous sensory innervation to most of the back of the hand
ulnar nerve
is associated with the following functions: • Innervation of the pinky and ring fingers, and the intrinsic muscles of the hand; provides cutaneous sensory innervation to the back of the little finger and adjacent half of the ring finger
sciatic nerve
controls the posterior thigh muscles, muscles of the leg and skin of the leg (except medial leg)
The sciatic and pudendal nerves are major nerves of the ____ plexus.
sacral
The femoral, genitofemoral, and obturator nerves are major nerves of the ____ plexus.
lumbar
The phrenic nerve is an important nerve of the ___ plexus.
cervical
The radial, ulnar, and median nerves are nerves of the ___ plexus.
brachial
The nerve contains axons of both sensory and motor neurons, e.g. all spinal nerves are mixed nerves.
What does it mean when you refer to a nerve as a mixed nerve?
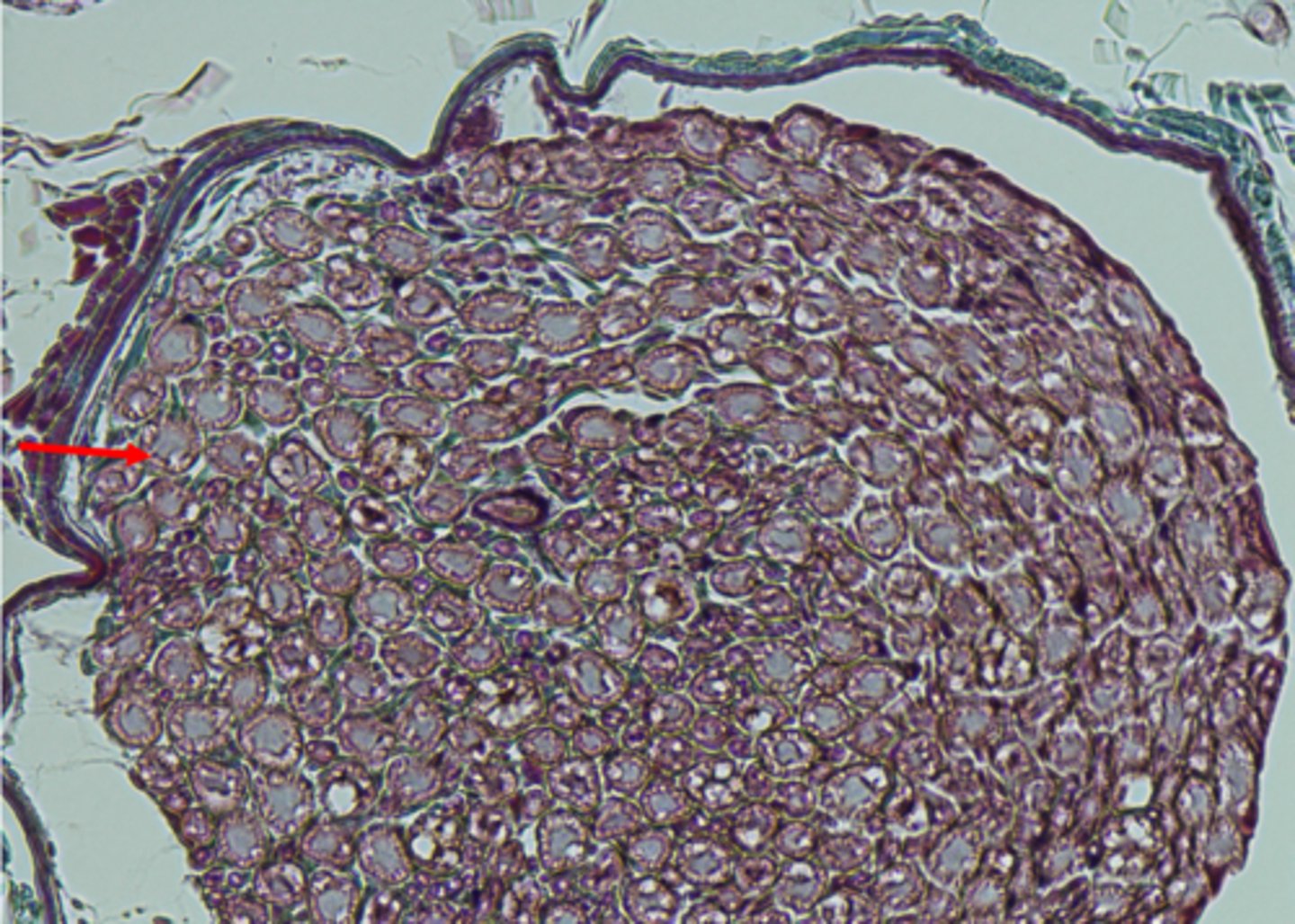
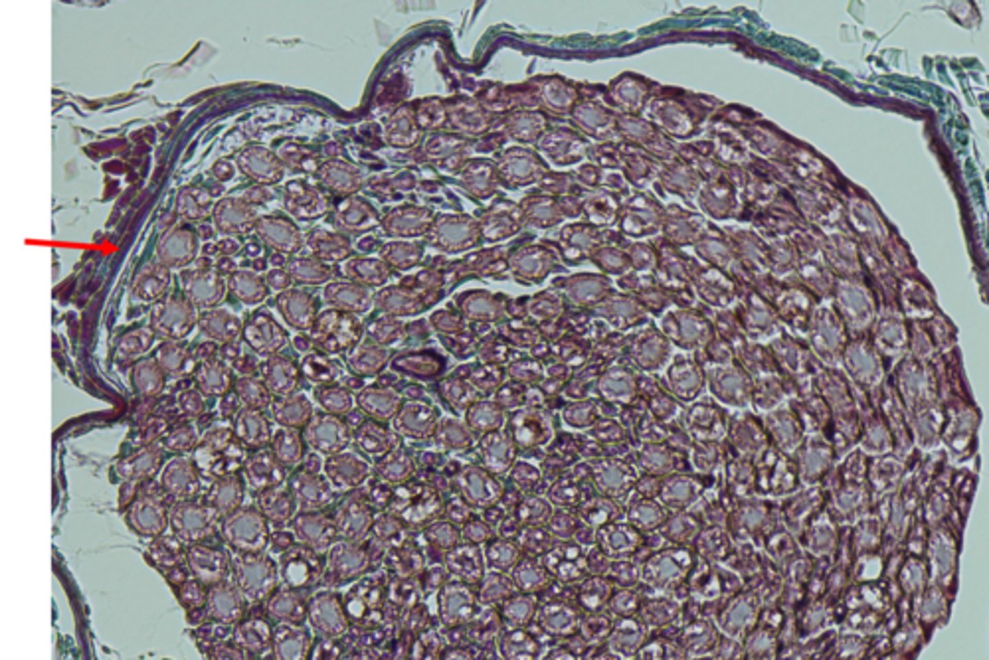
connective tissue wrapping around a nerve
What is the epineurium?
connective tissue wrapping around an axon
What is the endoneurium?
endoneurium
Identify.

nerve fascicle
Identify.

epineurium
2

perineurium
Identify.

connective tissue wrapping around a nerve fascicle
What is the perineurium?
interneuron; integration center
A is what component of a reflex arc?

motor neuron
B is what component of a reflex arc?

effector
C is what component of a reflex arc?

sensory neuron; afferent neuron
D is what component of a reflex arc?

sensory receptor; receptor
E is what component of a reflex arc?

somatic
What type of reflex is depicted based on the effector?

polysynaptic
What type of reflex is depicted based on the number of synapses?

genitofemoral nerve
has motor fibers that cause the cremaster muscle to contract, elevating the testis. It provides cutaneous innervation to the upper portion of the inner thigh, lateral scrotum, mons pubis, and labia majora.
Flexion of the thumb; opposition of the thumb; flexion of the pointer and middle fingers; flexion of the wrist; abduction of the wrist; pronation of the forearm
List some motor functions of the median nerve
wrist extension; extension of the elbow; extension of the thumb; extension of the fingers
list some motor functions of the radial nerve
knee extension; hip flexion; hip adduction
List some motor functions of the femoral nerve
knee flexion; medial rotation of the hip; extension of the hip; dorsiflexion; plantar flexion; inversion; eversion
List some motor functions of the sciatic nerve
median
The ____ nerve innervates the skin of the palmar side of the index finger, thumb, middle finger, and half the ring finger and innervates all the flexors of the forearm.
axon hillock
Identify A.

nucleus
Identify B

dendrite
Identify C

Nissl substance
Identify D

Schwann cell
A is the nucleus of a _____.

axon
Identify B

myelin
Identify C

mitochondria
Identify D

node of Ranvier
Identify

axolemma
Identify

neurilemma
Identify

endoneurium
Identify

Branchlike parts of a neuron that are specialized to receive information
Function of dendrites
enables vastly greater transmission speed of neural impulses as the impulse hops from one node to the next.
Function of myelin
neuroglial cells responsible for the formation of myelin in the peripheral nervous system
function of Schwann cells
The gaps in the myelin sheath of the axons of peripheral neurons allow action potentials to 'jump' from node to node, thus increasing the speed of conduction (saltatory conduction)
function of the nodes of Ranvier
extension of a neuron that carries nerve impulses away from the cell body.
function of the axon
epidural space
What is the area labelled A called?

subarachnoid space
What is the area labelled B called?

central canal
What is the area labelled C called?

dura mater
Identify A.

arachnoid mater
Identify B.

pia mater
Identify C.

posterior gray horn
Identify

lateral gray horn
Identify

anterior gray horn
Identify

posterior white column
Identify A

lateral white column
Identify B

anterior white column
Identify C

anterior median fissure
Identify B

posterior median sulcus
Identify A

A
Which lettered area does not contain CSF?

ventral root
Identify A

dorsal root ganglion
Identify B

dorsal root
Identify C

ventral
The axons of motor neurons are located in the ___ root.
dorsal
The axons of sensory neurons are located in the ____ root.
cell bodies of sensory neurons
What are located here?

posterior
Somatic and visceral sensory nuclei are located in the ____ gray horn.
anterior
Somatic motor nuclei are located in the ___ gray horn.
lateral
Visceral motor nuclei are located in the ___ gray horn.
Ascending
_______ tracts carry sensory information from the spinal cord to the brain.
Descending
_______ tracts carry motor information from the brain to the spinal cord.
white
Myelinated axons are found in the ____ matter of the CNS.
cauda equina
Identify.

posterior median sulcus
A

central canal
B
