Chapter 12 Synovial Fluid

0.0(0)
studied byStudied by 0 people
full-widthCall with Kai
GameKnowt Play
learnLearn
examPractice Test
spaced repetitionSpaced Repetition
heart puzzleMatch
flashcardsFlashcards
Card Sorting

1/55

encourage image

There's no tags or description

Looks like no tags are added yet.

Study Analytics
Name
Mastery
Learn
Test
Matching
Spaced

No study sessions yet.

56 Terms

1
New cards

where is synovial fluid formed

Synovial fluid is produced as an ultrafiltrate of blood plasma

2
New cards

what is synovial fluid primarily composed of

hyaluronan, lubricin, proteinase, collagenases, and prostaglandins

3
New cards

what are the functions of synovial fluid

Moistens and lubricates joints

Reduces friction between bones during joint movement

Provides nutrients to articular cartilage

Lessons shock of joint compression

4
New cards

what are the lab findings for Group I Noninflammatory joint disorders

  • clear yellow fluid

  • good viscosity

  • WBCs <1000 uL

  • neutrophils <30%

  • similar to blood glucose

ex) ganglion cysts

5
New cards

what are the lab findings for Group II inflammatory joint disorders of immunologic origin

  • cloudy, yellow fluid

  • poor viscosity

  • WBCs 2000-75,000 uL

  • neutrophils >50%

  • decreased glucose level

  • possible antibodies present

ex) lupus

6
New cards

what are the lab findings for Group II inflammatory joint disorders of crystal-induced origin

  • cloudy or milky fluid

  • low viscosity

  • WBCs up to 100,000 uL

  • neutrophils < 70%

  • decreased glucose level

  • crystals present

7
New cards

what are the lab findings for Group III inflammatory joint disorders of septic origin

  • cloudy yellow-green fluid

  • variable viscosity

  • WBCs 50,000-100,000 uL HIGHEST WBC

  • neutrophils >75%

  • decreased glucose level

  • positive culture & gram stain

8
New cards

what are the lab findings for Group IV inflammatory joint disorders of hemorrhagic origin

  • cloudy red fluid

  • low viscosity 

  • WBCs equal to blood

  • neutrophils equal to blood

  • normal glucose level

9
New cards

neutrophils in synovial fluid indicate____?

bacterial sepsis, crystal-induced inflammation

10
New cards

lymphocytes in synovial fluid indicate____?

nonseptic inflammation

11
New cards

macrophages in synovial fluid indicate____?

normal fluid or viral infection

12
New cards

synovial lining cells in synovial fluid indicate____?

normal fluid or disruption from arthrocentesis

13
New cards

LE cells in synovial fluid indicate____?

lupus erythematosus

14
New cards

Reiter cells in synovial fluid indicate____?

reactive arthritis (infection in another part of the body)

15
New cards

RA cell (ragocyte) in synovial fluid indicate____?

rheumatoid arthritis immunologic inflammation

16
New cards

cartilage cells in synovial fluid indicate____?

osteoarthritis

17
New cards

rice bodies in synovial fluid indicate____?

tuberculosis

septic and rheumatoid arthritis

18
New cards

fat droplets in synovial fluid indicate____?

traumatic injury or chronic inflammation

19
New cards

hemosiderin in synovial fluid indicate____?

pigmented villonodular synovitis

20
New cards

what are the most common crystals found in synovial fluid

monosodium uric acid (MSU) and calcium pyrophosphate dihydrate (CPPD)

21
New cards

MSU crystals in synovial fluid indicate____?

gout

22
New cards

CPPD crystals  in synovial fluid indicate____?

pseudo gout

23
New cards

how many tubes are used for synovial fluid specimens

three tubes

  1. red stopper tube

  2. green or lavender stopper tube

  3. green or yellow stopper tube

24
New cards

what is the red stopper tube for synovial fluid used for

1st 4-5mL of synovial fluid

  • no coagulants or preservatives added

  • observed for clotting

  • chemical/immunologic analysis

  • must be centrifuged

25
New cards

what is the green stopper tube for synovial fluid used for

2nd 4-5 mL of synovial fluid OR 3rd 4-5mL

  • sodium heparin

  • cell count, differential count, crystal identification

26
New cards

what is the lavender stopper tube for synovial fluid used for

2nd 4-5mL of synovial fluid

  • EDTA 

  • cell count, differential count, crystal identification

27
New cards

what is the yellow stopper tube for synovial fluid used for

3rd 4-5 mL of synovial fluid

  • sodium polyanethol sulfonate

  • microbiological studies

28
New cards

should powdered or liquid anticoagulants be used

liquid; powdered can interfere with crystal anaylsis

29
New cards

what does normal synovial fluid viscosity (String test) look like

jelly-like; should form 4-6 cm long strings from pipette during string test

30
New cards

what does abnormal synovial fluid viscosity (String test) look like

low viscosity; indicates inflammation

31
New cards

what does a normal Rope’s test look like

after addition of acetic acid, a solid or soft ropey mucin clot forms

32
New cards

what does an abnormal Rope’s test look like

after addition of acetic acid, friable (breakable) clot forms OR no clot at all

33
New cards

what does normal synovial fluid look like

colorless and clear, maybe a yellow tinge

34
New cards

what does red, brown, or xanthochromic synovial fluid indicate

hemorrhage into joint

35
New cards

what does yellow/clear synovial fluid indicate

noninflammatory effusion

36
New cards

what does yellow cloudy synovial fluid indicate

inflammation

37
New cards

what does white cloudy synovial fluid indicate

crystals

38
New cards

what do rice bodies in synovial fluid indicate

rheumatoid arthritis or synovium enriched with fibrin

39
New cards

what do free-floating black-colored inclusions that appear similar to ground pepper in synovial fluid indicate

Ochronotic shards

  • debris from joint prosthesis

40
New cards

describe what a LE (lupus eryhematosus) cell looks like in synovial fluid

neutrophils that have engulfed a nucleus of a lymphocyte

41
New cards

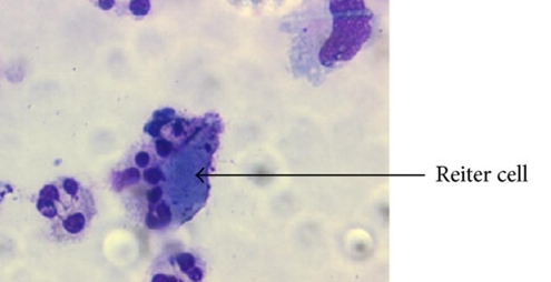
describe what a Reiter cell looks like in synovial fluid

macrophage containing ingested nuclei of a neutrophil

42
New cards

describe what a RA cell looks like in synovial fluid

isn't a single distinct cell type, but rather refers to neutrophils, which are the predominant inflammatory cells found in rheumatoid arthritis (RA) synovial fluid

43
New cards

what crystal is this and name characteristics/what it signifies

Monosodium urate (MSU)

  • needle shaped

  • negative birefringence

  • appear yellow when oriented parallel to the compensator's slow axis

  • gout

44
New cards

what crystal is this and name characteristics/what it signifies

Calcium pyrophosphate dehydrate crystals (CPPD)

  • rhomboid, square, rods

  • positive birefringence 

  • appear blue when parallel to the slow axis

  • pseudogout

45
New cards

what crystal is this and name characteristics/what it signifies

cholesterol crystals

  • notched, rhomboid plates

  • negative birefringence

  • chronic inflammation from patients with osteoarthritis or rheumatoid arthritis

46
New cards

what crystal is this and name characteristics/what it signifies

corticosteroid crystals

  • flat, variable-shaped plates

  • positive and negative birefringence

  • present after intra-articular injections

47
New cards

what crystal is this and name characteristics/what it signifies

calcium oxalate crystals

  • envelope shaped

  • negative birefringence

  • seen in patients on renal dialysis

48
New cards

what crystal is this and name characteristics/what it signifies

apatite crystals

  • small particles (require electron microscopy)

  • no birefringence 

  • osteoarthritis or calcified cartilage degeneration

49
New cards

if synovial glucose is < 10 mg/dL than serum glucose levels, this is considered ____ and indicates _____.

normal

50
New cards

if synovial glucose is 10-20 mg/dL less than serum glucose levels, this is considered ____ and indicates _____.

abnormal; osteoarthritis, pigmented villonodular synovitis, trauma

51
New cards

if synovial glucose is 0-40 mg/dL less than serum glucose levels, this is considered ____ and indicates _____.

abnormal; inflammatory disorders

52
New cards

if synovial glucose is 20-100 mg/dL less than serum glucose levels, this is considered ____ and indicates _____.

abnormal; infections and crystal-induced

53
New cards

elevated lactate levels above 9 mmol/L (81 mg/dL) indicate _____?

bacterial arthritis

  • GPC or GNB

54
New cards

List four genera of bacteria found most frequently in synovial fluid.

Staphylococcus

Streptococcus

Haemophilus

N. gonorrhoeae

55
New cards

list 4 microorganisms in synovial fluid that require PCR testing for detection

  • Borrelia burgdorferi (tick bite)

  • Mycobacterium tuberculosis

  • Chlamydia trachomatis

  • N. gonorrhoeae

56
New cards

Describe the relationship of serological serum testing to joint disorders

serological testing plays an important role in the diagnosis of joint disorders.

Most of these tests are performed on serum, synovial fluid is a confirmatory measure

Explore top flashcards

spanish
Updated 997d ago
flashcards Flashcards (32)
ap psych terms
Updated 894d ago
flashcards Flashcards (527)
Muscle anatomy
Updated 671d ago
flashcards Flashcards (26)
Enfoques - C1
Updated 748d ago
flashcards Flashcards (64)
Madrid Quiz 2
Updated 129d ago
flashcards Flashcards (112)
spanish
Updated 997d ago
flashcards Flashcards (32)
ap psych terms
Updated 894d ago
flashcards Flashcards (527)
Muscle anatomy
Updated 671d ago
flashcards Flashcards (26)
Enfoques - C1
Updated 748d ago
flashcards Flashcards (64)
Madrid Quiz 2
Updated 129d ago
flashcards Flashcards (112)