1/147
Looks like no tags are added yet.
Name | Mastery | Learn | Test | Matching | Spaced | Call with Kai |
|---|
No analytics yet
Send a link to your students to track their progress
Ganglions nerveux
amas de corps cellulaires de neurones + neurites + cellules gliales
À quoi sert SNP
Sentir le monde d’extérieur (5 sens)
Nerfs
faisceau de neurites + cellules gliales (cellules de Schwann, formant une gaine ou pas)
Contenu du ganglion nerveux
• des neurones ou cellules ganglionnaires, provenant des crêtes neurales, avec un gros corps cellulaires et des neurites entremêlés
• des cellules gliales (cellule de soutien), provenant des crêtes neurales avec un noyau dense et presque pas de cytoplasme
- cellules capsulaires (contre les corps cellulaires)
- cellules de Schwann (contre les neurites)
• des capillaires sanguins
• des fibres de collagène de type I enchevêtrées entre les neurites
L’enveloppe du ganglion
Entouré par une capsule fibreuse, TCNS dense irrégulier

Analyse la photo
MO, paraffine, TMB
Ganglions nerveux avec des collagènes de type 1 qui encombre les nerfs
Gros corps cellulaire (entouré en rouge)
TCNS dense irrégulier

Plexus nerveux
Les ganglions peuvent être reliés par un réseau de petits nerfs
ex.: le plexus d’Auerbach, entre les deux couches de muscle de la musculeuse du tube digestif


Analyse la photo
MO, paraffine, TMB
Glanglions nerveux avec des cellules ganglionnaires (gros noyaux) + neurites
Cellules gliales (cellules de Swchann et cellule gliale capsulaire
Capsule fibreux (TCNs dense irrégulier)


Analyse la photo
MO, paraffine, mallorg (Voir les prolongement des neurites)
Cellule ganglionnaires + cellule gilale capsullaire et cellule de Swchann


Analyse la photo
MO, paraffine, TMB
Ganglionnaire nerveux (cellule ganglionnaire + cellule gliale capsulaire et cellule de Swchann)
Ganglions nerveux entouré de TCNS dense irrgulier et de muscle lisse (plexus nerveux d’Auherback)


Analyse la photo
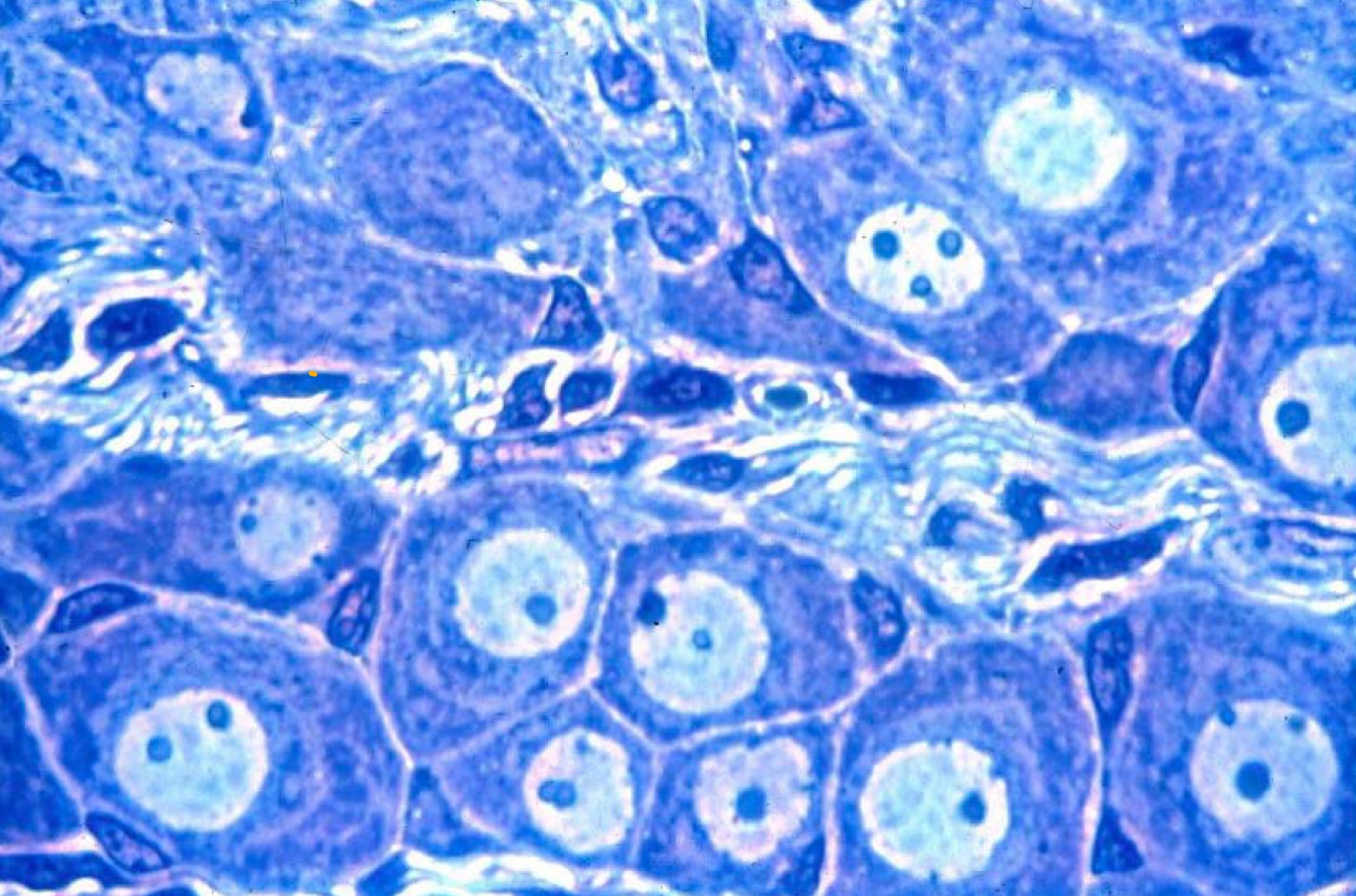
MO, résine, bleu de toluidine
Ganglions nerveux + neurites + cellules gliales (capsulaire et schwann) => blocs de Nissl (saccule de RER dans le corps cellulaire du neurone)

Les types de ganglions nerveux
Ganglions rachidiens/spinaux
Ganglions autonomique
Localisation du ganglions nerveux
Entre nerfs rachidiens et cornes dorsales de la moelle épinière (SNC)

Caratéristique du ganglion nerveux rachidien
Neurones sensitifs unipolaires avec un prolongement unique d’où se détachent le dendrite et l’axone
➔ SN involontaire

Caractéristique du ganglions autosomique
- Ganglions viscéraux (musculeuse) = plexus nerveux d’Auherback, chaînes ganglionnaires prévertébrales
- Neurones multipolaires avec un axone et plusieurs neurites
- Fonctions végétatives (respiration, circulation, digestion, sécrétion…)
➔ SN autonome


Analyse la photo
MO, paraffine, TMB
Ganglions nerveux + nerfs
Tissus musculaire
→ plexus nerveux d’Auherback
TCNS dense irrégulier
ERU pavimenteux

Nerfs
Regroupement de neurites, traversant un tissu, issus de neurones dont les corps cellulaires sont localisés dans des ganglions nerveux ou le SNC
Caractéristique du nerfs
• Structure parallèle qui contiennent des complexes axo-schwannien càd des axones ou des dendrites entourés par des cellules de Schwann !
• Transmission d’un signal (message nerveux) de nature électrique (potentiel d’action)
• On distingue trois enveloppes (avec collagène de type I) dans le nerf
- Endonèvre
- Périnèvre
- Epinèvre
• Le nerf est vascularisé
Endonèvre du nerfs
- autour des complexes axo-schwanniens dans le faisceau nerveux
- TCNS lâche : fibres de collagène de type I, fibroblastes, cellules sanguines de défenses (macrophages résidents et mastocytes)
Périnèvre du nerf
- autour du faisceau
- cellules périneurales (en forme de fer à cheval), associées en lame concentriques et entourées de glycocalyx
- fibres de collagène de type I
Epinèvre du nerf
- Relie les différents faisceaux du nerf
- TCNS dense irrégulier + tissu adipeux
Complexes axo-schwanien
• Association de neurites (axones ou dendrites) et d’une cellule gliale de Schwann
• Organisés en faisceaux
• Les corps cellulaires des neurites sont localisés dans les ganglions ou dans le SNC
Morphologie du complexe axo Schwannien
- en MO : petite cellule avec noyau dense et peu de cytoplasme
- en ME : nombreuses mitochondries, RER et glycocalyx (= glycoprotéine, PAS+) autour de la cellule
• La cellule de Schwann forme des invaginations où se logent les neurites
• Si myélinisation, la cellule de Schwann ne formera la gaine de myéline, l’ISOLANT pour la propagation de l’influx nerveux ou potentiel d’action, qu’autour d’un seul neurite


Analyse la photo
ME
Cellule de Schwann et neurites amyélinisés
Membrane plasmique et glycocalyx
Collagène endonèvre


Analyse la photo
ME
Gaine de myéline autour du neurite
Membrane plasmique et glycocalyx
Noyau de cellule de Schwann
Collagène de type 1

Fonction du cellule de Schwann
formation de la gaine de myéline. La myéline est une substance constituée principalement de lipides dont les couches alternent avec des couches de protides. (= superposition de bicouche lipidique)


Les étapes de la formation de la gaine de myéline
1) Fusion des feuillet externe de la membrane plasmique (C).
2) La menbrane plasmique va s’enrouler autour du neurite.
3) Fusion des feuillets internes et élimination du cytoplasme (E)


Fonction de myéline
la myéline sert à isoler et à protéger les fibres nerveuses, (comme le fait le plastique autour des fils électriques.)
La conduction est saltatoire; le potentiel d’action est régénéré à chaque nœud de Ranvier
Caractéristique de la gaine de myéline
- enroulement de la membrane plasmique
- phospholipides (extraits sur coupes paraffine) et protéines (éosinophiles sur
coupes paraffine )
- dense aux électrons en ME; alternance de lignes épaisses, périodiques, et de
lignes minces, intrapériodiques :
Lignes périodiques = fusion des feuillets internes de la membrane plasmique, entre lesquelles peuvent persister des restes de cytoplasme ou incisures de Schmidt- Lanterman*
Lignes intrapériodiques = fusion des feuillets externes de la membrane plasmique
- Interrompue entre deux cellules de Schwann, c’est le nœud de Ranvier (C).
Noeud de Ranvier
Interrompue entre 2 cellules de Schwann
Incisure de Schmidt Lanterman
Reste cytoplasmique lors du fusion des feuillets interne de la geine de myéline

Analyse la photo
MO, paraffine, TMB
Enveloppe du nerf (périnèvre, endonèvre + TCNS lâche et epinèvre + TCNSDI + TCS adipeux)
muscle strié squelettique


Analyse la photo
ME
Périnèvre
Endonèvre
Neurite entouré par la aine de myéline
Cellule de Schwann
Fibroblaste (synthèse collagène de type 1 et endonèvre)


Analyse la photo
MO, paraffine, bleu de toluidine
Incisure de Schmidt Lantermans
Neurites + gaine de myéline
Noyau de cellule Schwann
Périnèvre et Endonèvre


Analyse la photo
Enveloppe du nerf
Épinèvre, périnèvre et endonèvre


Analyse la photo
HES
Ganglion à gauche et nerf à droite
Muscle strié squelettique

Aspect du nerfs sous MO? (Dessin)

Aspect du ganglion nerveux sous MO? (Dessin)

Aspect du gaine de myéiline sous MO? (Dessin)

Terminaison nerveuse
extrémité d’un neurite dans un organe périphérique (sensitive et motrice/effectrice)
→ influx véhiculés par dendrites (dans nerfs)
→ corps cellulaire de neurone dans ganglions nerveux ou SN central
Sensitive
début d’une dendrite (influx centripète, vers le corps cellulaire)
Effectrice/motrice
fin d’un axone (influx centrifuge, du corps cellulaire)
Type de terminaison nerveuse sensitive
A) Libres ou nues
(dendrites amyélinisés; non visible en MO)
B) Encapsulées sans support
(dendrites amyélinisés + capsule de cellules endoneurales/périneurales; visible en MO)
C) Encapsulées avec support
(dendrites amyélinisés + capsule de cellules périneurales; visible en MO)
(- Structures neuro-épithéliales)
Terminaisons nerveuses sensitives libres ou nues
• Extrémité d’une dendrite amyélinisée, ramifiée
• Nombreuses dans les tissus où la sensibilité est particulièrement développée : l'épithélium de la cornée, la bouche, l'épiderme
• Perception de stimuli mécaniques, thermiques, algésiques
Terminaisons nerveuses sensitives encapsulées sans support
Extrémité d’une dendrite amyélinisée, séparée du tissu environnant par une capsule constituée de cellules endoneurales (CD34) et/ou périneurales (glut1).
A) Corpuscule de Meissner
B) Corpuscule de Vater-Paccini

Sensibilité du corpuscule de Meissner
pression légère, tact

Localisation du corpuscule de Meissner
Pulpe digitale, plante des pieds
Lèvres, mamelons, organes génitaux externes…
➔ Dans le derme, entre les crêtes épidermiques
Forme et organisation du corpuscule de Meissner
piriforme (pear-shaped)
- dendrite amyélinisée pelotonnée sur elle-même
- Schwann-related cells autour de la dendrite
- fibres de collagène de type I
- capillaires
- capsule de cellules endoneurales


Analyse la photo
MO, paraffine, TMB
Terminaison nerveuse sensitive non enveloppé
dendrite amyélinisée pelotonnée sur elle-même
ERU pavimenteux
ERP pavimenteux épidermique


Analyse la photo
MO, paraffine, TMB
Terminaisons nerveuses sensitives encapsulées sans support Corpuscule de Vater-Paccini (lame concentrique péicentrale)
Glande exocrine tubuleuse pelotonné sudoripare (canal excréteur)


Analyse la photo
MO, paraffine, H&E
Corpuscule Vater Paccini
TCS adipeux
ERU pavimenteux
Cellule de Schwann + dendrite + périnèvre


Analyse la photo
IHC marque les cellules de schwann amyélisé
Terminaison nerveuse sensitive encapsulé sans support Corpuscule de Meissner


Sensibilité du Corpuscule de Vater Paccini
pression profonde, tension, vibrations

Localisation du corpuscule de Vater Paccini
Derme profond et hypoderme
Ligaments, Mésentères
Cœur, pancréas…

Forme et organisation du corpuscule de Vater Paccini
Forme d’ampoule
- Dendrite amyélinisée, avec une extrémité bifide
- Schwann-like cells autour du dendrite
Capsule épaisse :
- lames concentriques de cellules périneurales (bulbe d’onion = amplificateur des stimuli)
- fibres de collagène de type I , substance fondamentale
- capillaires
Organisation du corpuscule de Meissner et de Vater Paccini

Aspect du terminaison nerveuse sensitive encapsulé sans support, corpuscule de Meissner en dessin?

Aspect du terminaison nerveuse sensitive encapsulé sans support, corpuscule de Vater Paccini en dessin?

Terminaison nerveuses sensitives encapsulées avec support
• terminaison nerveuse sensitive (= dendrite)
• encapsulée (= capsule de cellules périneurales qui s’arriment au sarcolemme)
• avec support (= cellules musculaires striées squelettiques spécialisées ou fibres fusorielles)
Elle et associées avec la plaque motrice/effectrice => fuseau neuro-musculaire

Fibres fusorielle du fuseau neuro-musculaire
• cellules musculaires striées squelettiques modifiées et très longues (en cm)
• myofibrilles périphériques & noyaux centraux :
- regroupés dans un sac ou une poche = FN-M à poche/sac nucléaire
- regroupés en chaine au centre de la fibre = FN-M à chaine nucléaire

Tissus nerveux motrice
Axones des motoneurones alpha et plaques motrices au niveau des cellules musculaires de tout le muscle et aux extrémités des fibres fusorielles
Axones des motoneurones gamma et plaques motrices spécifiques du fuseau, aux extrémités des fibres fusorielles

Tissus nerveux sensitives
Fibres Ia: réceptrices primaires = dendrites s’enroulant autour des poches nucléaires ou de la partie centrale des fibres fusorielles à chaîne nucléaire
Fibres II: réceptrices secondaires = dendrites s’enroulant sur les extrémités des fibres fusorielles

Fibre fusorielle
Muscle strié squelettique modifié
Fuseau neuro-musculaire
• un propriorécepteur impliqué dans le contrôle des mouvements et du tonus
• contrôle, par réflexe médullaire myotatique, la longueur des muscles soumis à un étirement constant en station debout
• Les dendrites sont sensibles à l’étirement des muscles
• L’information sur l’étirement est transmise aux motoneurones alpha dont les axones
provoquent la contraction du muscle dans son entièreté

Analyse la photo
MO, paraffine, TMB
Tissus musculaire strié squelettique modifié autour du muscle lisse, le tissus nerveux motrice et sensitive organisé chaîne et en sac


Analyse la photo
MO, paraffine, TMB
Tissus musculaire strié squelettique modifié avec le tissus nerveux motrice et sensitive organisé chaîne et en sac

La terminaison nerveuse motrice/effectrice obsevable?
Non elle n’est pas visible, terminaison nue/libres au niveau des glandes et du muscle lisse + plaque motrice au niveau du muscle strié squelettique ne sont pas visible en MO
Rôle du terminaison nerveuse motrice/effectrice
Régulent la sécrétion des glandes et provoquent/modulent la contraction musculaire
Plaque motrice
une jonction entre une terminaison nerveuse motrice (axone des motoneurones alpha provenant de la corne ventrale de la moelle épinière) et une cellule musculaire striée squelettique (ou fibre fusorielle)
= UNE SYNAPSE CHIMIQUE
Terminaison nerveuse motrice
- Perte de la gaine de myéline et de l’endonèvre autour de l’axone
- Contact entre périnèvre et sarcolemme
- Ramifications de l’axone en de nombreuses terminaisons en contact intime avec la cellule musculaire
- Nombreuses vésicules contenant l’acétylcholine dans les terminaisons axoniques (+ mitochondries)
Appareil subneural de la cellule musculaire
perte de l’endomysium
Replis du sarcolemme (Augmente la surface du récepteur
Mitochondries et noyaux de la cellule musculaire, regroupés sous le sarcolemme
Fonctionnement du plaque motrice (interaction intime)
Sous l’effet d’un potentiel d’action atteignant la terminaison nerveuse motrice, il y a libération de l’acétylcholine qui se fixe sur les récepteurs membranaires de la cellule musculaire striée squelettique
Cela induit la dépolarisation du sarcolemme, par entrée de sodium, ce qui génère un potentiel d’action propagé vers le centre de la cellule musculaire par les tubules T (invaginations)
La libération du calcium hors des citernes du reticulum sarcoplasmique induit la contraction musculaire
La fin de la réponse musculaire résulte de la dégradation de l’acétylcholine par l’acétylcholinestérase localisée sur le sarcolemme


Analyse la photo
Plaque motrice (terminaison nerveux avec les cellule musculaire)
→ reçoit tous les signalisation en même temps

Protection de l’encéphale
Boîte cranienne
Protection du moelle épinière
Canal vertébral
Organisation du SNC
Organisé en substance blanche et substance grise, disposé autour du canal épendymaire, provonant du neurocoele
Le SNC est enveloppé de?
Méninge
Composition du substance grise
Corps cellulaires des neurones et neurites
Cellules gliales : Rares oligodendrocytes et astrocytes protoplasmiques
Vascularisation très développée
Localisation du substance grise dans le moelle épinière
Localisation centrale
Localisation du substance grise dans le cervelet
Localisation corticale (périphérique) et dans des noyaux gris profonds (cervelet)
Localisation du substance grise dans le cerveau
Localisation corticale (périphérique) et dans des noyaux gris profonds (Cerveau)
Composition du substance blanche
Neurites : Axones myélinisés et dendrites amyélinisées (lipides → aspect blanchâtre)
Cellules gliales : Nombreux oligodendrocytes et astrocytes fibreux
Vascularisation peu développée
Localisation du substance blanche dans le moelle épinière
Localisation périphérique
Localisation du substance blanche dans le cervelet
Localisation centrale (cervelet)
Localisation du substance blanche dans le cerveau
Localisation centrela (cerveau)

Analyse la photo
MO, paraffine, H&E
Substance grise et substance blanhce (périphérique)
→ moelle épinière?


Analyse la photo
MO, paraffine, H&E
Substance grise et substance blanche (centre)
→ cervelet/cerveau

Différent entre neurones dans le SNC et SNP
Plusieurs types de neurones dans le SNC et 1 seule dans le SNP (cellule ganglionnaire)
Origine des neurones du SNC
Neurectoblaste du tube neural, leur taille et forme sont variables selon leur localisation et leur fonction
Type de prolongement des neurones
neurones unipolaires
Neurones bipolaires
Neurones multipolaire
Dendrites des neurones dans le SNC
Courtes, très ramifiées et AMYELINISEES
Motoneurone alpha
Contient 1 gros corps cellulaire, 1 dendrite

Neurone de Purkinje
Un corps cellulaire et une arbre de dendrite

Neurone granulaire (cervelet)
Un petit corps cellulaire et axone très long, parfois divisé en plusieurs partie pour envoyé plus dans signaux dans différent endroits)

Les cellules gliales du SNC
astrocytes
Oligodendrocytes
Cellules épendymaires
Cellule de la microglie

Origine des astrocytes
Neurectoblaste du tube neural
Caractéristique des astrocytes
Cellules étoilées avec de nombreux et longs prolongements cytoplasmiques
Cytoplasme des astrocytes
Nombreux microfilament intermédiaires gliaux argyrophiles
2 types de prolongement cytoplasmique du des astrocytes
courts, épais, peu ramifiés
Fins, longs, très ramifiés
Astrocytes protoplasmiques
Astrocytes dans les substance grise
Elles sont courts, épais et peu ramifiés (cellule en branche)
