1/13
Looks like no tags are added yet.
Name | Mastery | Learn | Test | Matching | Spaced | Call with Kai |
|---|
No analytics yet
Send a link to your students to track their progress
What is it?
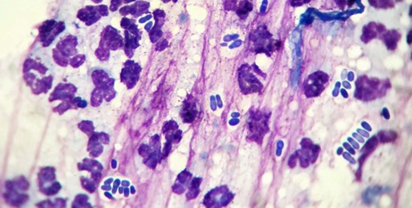
Cocci

What is it?
Baccilus/Rods

What is it?
Yeast

What is it? Larger dark staining objects
Neutrophils

What is it?
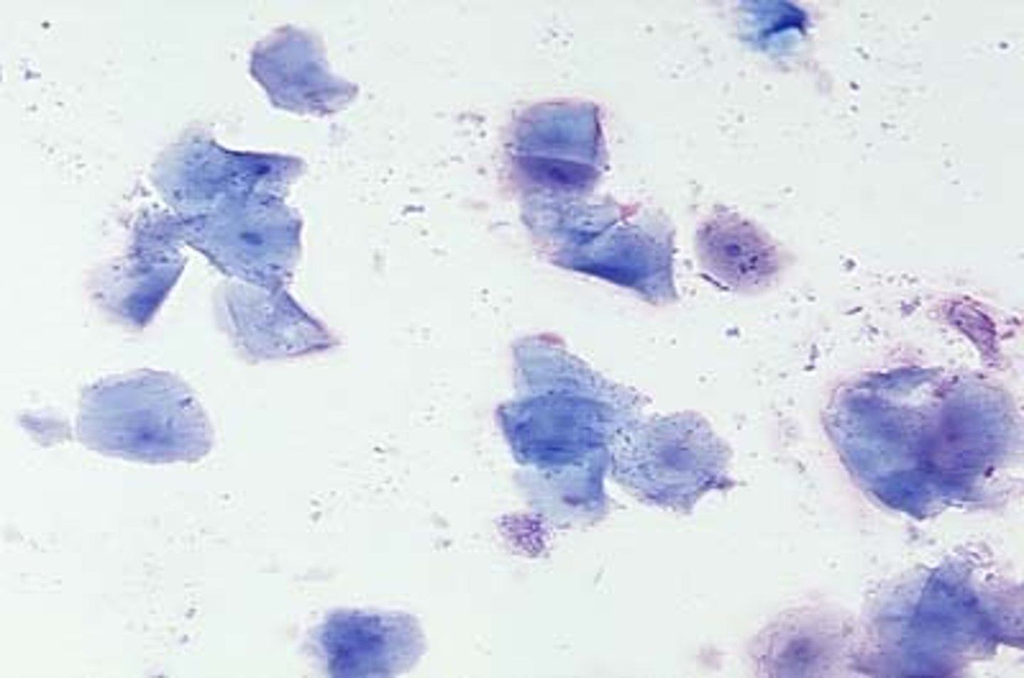
Cornified squamous epithelial cells

What is it?
Parabasal epithelial cells

What is it?
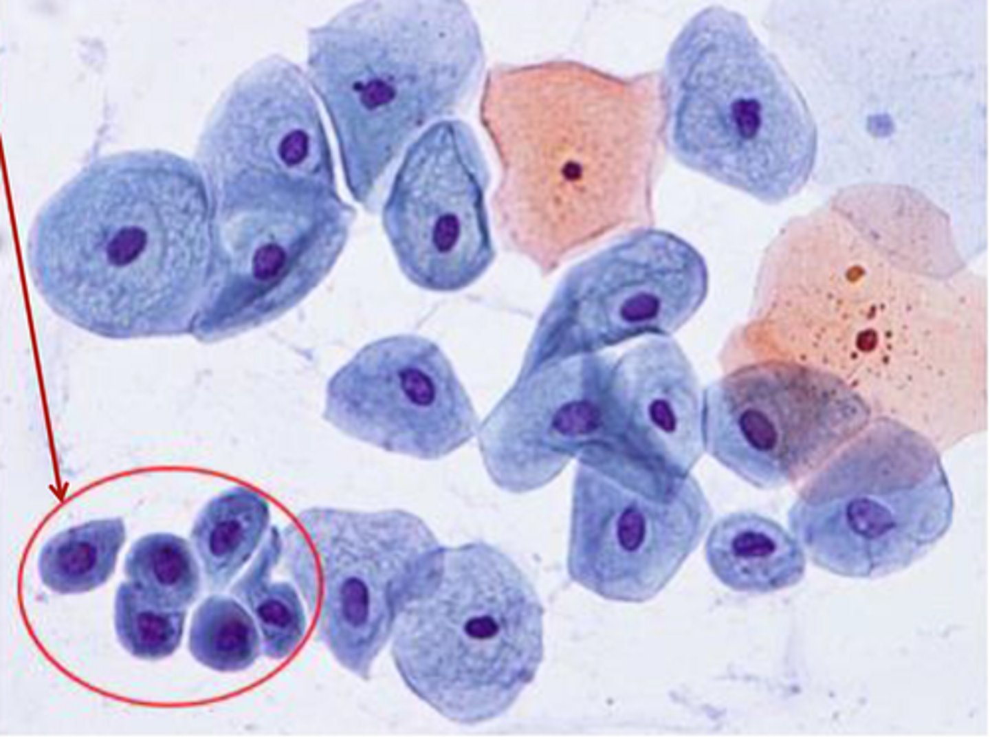
Small intermediate epithelial cells

What is it?
Large intermediate epithelial cell

What is it?
Superficial epithelial cells with pyknotic nucleus

What is it?
Lymphocytes

What is it?
Mott cell

What is it?
Mesothelial cells

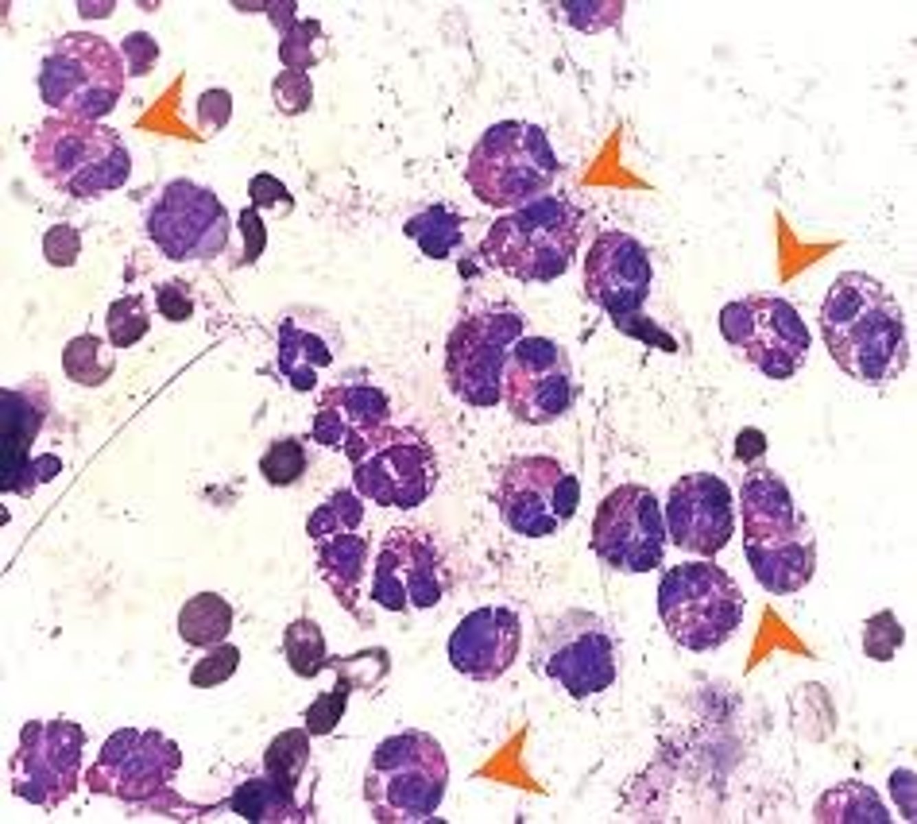
What is it? At red arrows
Eosinophils

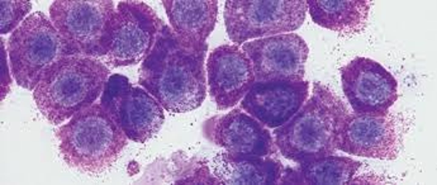
What is it? Sample collected from a mass
Mast cells
