1/307
Looks like no tags are added yet.
Name | Mastery | Learn | Test | Matching | Spaced |
|---|
No study sessions yet.
disparities among oncology care providers

cancer type, number new cases, number of deaths

male and female cancer death rates

geographic variations in cancer incidence

survival definitions
-used in treatment trials

mortality rate
-used in screening trials

etiology

cancer is usually a
-genetic disorder

environmental carcinogens cause
-somatic mutations

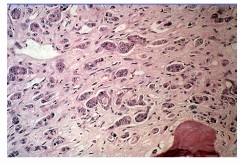
cancer pathology


carcinoma v. sarcoma

TNM staging

prognostic v. predictive factors

clinical manifestations

imaging techniques

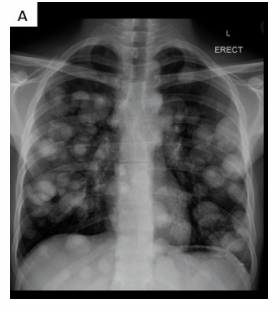
metastatic spread

common sites of metastasis

bone metastases pneumonic


-brain metastases

-lung metastasis


-liver metastases

-bone metastases- lytic

-spinal cord compression

-bone marrow metastasis
paraneoplastic/remote effects

cancer death
-multifactorial
-metabolic: multiorgan failure, electrolyte imbalance
-respiratory therapy
-thromboembolism
-brain metastases causing mass effect
-malnourishment
-infection
treatment philosophy

interdisciplinary treatment

treatment strategies

principles of adjuvant treatment

multidisciplinary curative treatment

programmed cell death 1 (PD-1)/programmed cell death ligand (PD-L1) pathway

immunotherapy side effects

chemotherapy

chemotherapy categorizations


different types of cytotoxic/”traditional” chemotherapy

cyclophosphamide

Ifosfamide

Cisplatin

Carboplatin

Oxaliplatin

Taxanes (paclitaxel/docetaxel)

Vincristine

5-Fluorouracil (5FU)/Capecitabine

Methotrexate

Gemcitabine

Doxorubicin

Etoposide

Bleomycin

HER-2 pathway

Trastuzumab

Trastuzumab mechanism of action

Trastuzumab v. Pertuzumab

Pertuzumab

Cetuximab pathway

Cetuximab

Bevacizumab

antibody drug conjugate (ADC)

Trastuzumab-DM1

Ado-trastuzumab emtansine (T-DM1)

Fam-trastuzumab Deruxtecan mechanism of action

Fam-trastuzumab Deruxtecan (T-Dxd)

Sacituzimab govitecan

PD-1/PDL-1 pathway

Pembrolizumab/Nivolumab

Ipilimumab

somatic mutation frequency associated with sensitivity to immune checkpoint blockade

endocrine therapy for hormone receptor positive breast cancer

Tamoxifen

Aromatase inhibitors post-menopausal

androgens and prostate cancer

hormonal therapy

hormonal therapy- medical orchiectomy

GnRH agonists (goserelin, leuprolide)

Bicalutamide

Abiraterone mechanism of action

Abiraterone

Enzalutamide mechanism of action

Enzulatamide

cell cycle

CDK 4/6 inhibitors (Ribociclib, Palbociclib, Abemaciclib)

epidermal growth factor

EGFR

Erlotinib, Gefitinib, Afatinib, Osimertinib

EMLA4-ALK fusion gene in lung cancer

Alectinib

BRAF V600E mutation

Debrafinib/Vemurafinib

Tremetinib/Cobimetinib

KIT receptor tyrosine kinase

KIT tyrosine kinase

Imatinib

poly ADP-ribose polymerase (PARP) inhibitors

Olaparib (and other PARPi)

Sunitib

Pazopanib

Sipuleucel-T therapy

Sipuleucel-T

Radium 223

supportive therapy- bone modifying agents
