1/83
Looks like no tags are added yet.
Name | Mastery | Learn | Test | Matching | Spaced | Call with Kai |
|---|
No analytics yet
Send a link to your students to track their progress
CHARACTERISTICS OF LIFE
Cellular organization.
Reproduction.
Metabolism.
Homeostasis.
Heredity.
Response to stimuli.
Growth and development.
Adaptation through evolution.
REQUIREMENTS FOR NATURAL SELECTION
Variation - individuals in a population vary
Inheritance - Parents pass on traits to offspring genetically
Selection - some variants reproduce more than others
Time - Accumulate over generations
3 DOMAINS OF LIFE
Archaea
Bacteria
Eukarya

RELATIONSHIP BETWEEN BUILDING BLOCKS AND HIGHER ORDER STRUCTURES IN CELLS
Building Blocks (low order)
- Amino Acids
- Nucleotides
- Lipids
- Simple Carbs
Macromolecules
- Proteins
- DNA
- RNA
- Complex Carbs
- Lipids
Supramolecular Assemblies
- Membranes
- Ribosomes
- Chromatin
Organelles (high order)
- Nucleus
- Mitochondria
- Golgi Apparatus
- Endoplasmic Reticulum
MAJOR TYPES OF MACROMOLECULES
Carbohydrates
Lipids
Nucleic Acids
Proteins
ROLES OF CARBOHYDRATES
Recognition
Energy
Structure
ROLES OF PROTEINS
Structural
Regulatory
Contractile
Transport
Storage
Protective
Catalytic
Toxic
ROLES OF NUCLEIC ACID
DNA
RNA
ROLES OF LIPIDS
Structural
Regulatory
Energy
IMPORTANCE OF ORGANELLES
Provide special conditions for specific processes.
Keep incompatible processes apart.
Allow specific substances to be concentrated
Form concentration gradients.
Package substances for transport or export.
SUB-CELLULAR COMPONENTS
Endoplasmic Reticulum
Lysosomes
Mitochondria
Nucleus
STRUCTURE OF PLASMA MEMBRANE AND ITS FUNCTION TO CELL SIZE
Semi-permeable barrier
Controls movement of substances in and out of cell
Limits max size of a cell
SIMPLE DIFFUSION (PASSIVE TRANSPORT)
passes directly through the membrane and don't require energy
membrane restricts movement of water soluble/charged molecules.
FACILITATED DIFFUSION
process of diffusion in which hydrophilic molecules pass across the membrane through cell membrane channels
ACTIVE TRANSPORT
Energy-requiring process that moves material across a cell membrane against a concentration gradient
CO-TRANSPORT
Indirect active transport
One substance pumped across membrane
ROLES OF MEMBRANE PROTEINS
Signal Transduction
Cell Recognition
Intercellular Joining
Linking Cytoskeleton and ECM
ENDOMEMBRANE SYSTEM
A membrane interconnected by direct physical contact or transfer by vesicles
ENDOMEMBRANE SYSTEM INCLUDES:
Nuclear envelope
Endoplasmic reticulum
Golgi apparatus
Vesicles
Lysosomes
Vacuoles
Plasma membrane.
FUNCTIONS OF ENDOMEMBRANE SYSTEM
regulates protein traffic and performs metabolic functions in the cell
BULK TRANSPORT PROCESSES
Endocytosis
- Phagocytosis
- Pinocytosis
- Receptor Mediated
Endocytosis
Exocytosis
EXOCYTOSIS
Transports materials out of cell or delivers it to cell surface
CONSTITUTIVE EXOCYTOSIS
Releases ECM proteins
REGULATED EXOCYTOSIS
Releases hormones and neurotransmitters
ENDOCYTOSIS
the cell takes in molecules and particulate matter by forming new vesicles from the plasma membrane
PHAGOCYTOSIS
A type of endocytosis in which a cell engulfs large particles or whole cells
CELL EATING

PINOCYTOSIS
A type of endocytosis in which the cell ingests extracellular fluid and its dissolved solutes.
CELL DRINKING
RECEPTOR-MEDIATED ENDOCYTOSIS
The uptake of bulk quantities of specific substances based on a cell's receptor proteins
ROLE OF LYSOSOMES
Digest and recycle unwanted cellular materials
MAJOR COMPONENT OF CYTOSKELETON
Microtubules
Microfilaments
Intermediate Filaments
HOW MICROTUBULES, MICROFILAMENTS AND INTERMEDIATE FILAMENTS REGULATE CELL SHAPE
Microtubules - resist
Microfilaments - resist tension
Intermediate Filaments - forms relatively permanent cell structure
ALL MAINTAIN CELL SHAPE
IMPORTANCE OF TIGHT JUNCTIONS
Hold neighbouring cells tightly together
Prevent movement of fluid
Form a continuous seal
IMPORTANCE OF DESMOSOMES
Anchoring junction
Provides attachment between sheets of muscle
IMPORTANCE OF GAP JUNCTIONS
A point of cytoplasmic contact between two cells
Allows rapid cell to cell communication
ORIGIN OF EXTRA CELLULAR MATRIX (ECM)
Composed of materials secreted by cells
Most ECM are glycoproteins
STRUCTURE OF PRIMARY PLANT CELL WALL
Most abundant macromolecule on earth
Glucose Polymer
Highly Ordered
Ribbon like structures
FUNCTION OF PRIMARY PLANT CELL WALL
Influences cell morphology
Provides structural support
Prevents excessive water uptake
HOW PRIMARY PLANT CELL WALL IS SYNTHESISED
1. Cellulose microfibrils at plasma membrane
2. Polysaccharides in golgi apparatus transferred to vesicle walls
3. Vesicles fuse to plasma membrane
STRUCTURE OF VACUOLE
An organelle surrounded by single membrane
Highly selective, controlling much of what enters and leaves vacuole
Water moves in vacuole by osmosis
ROLE OF VACUOLE IN MAINTAINING CELL SHAPE
High Concentration of solutes in vacuole which results in water uptake by osmosis.
cell wall limits water uptake and prevents cell bursting
STRUCTURE OF SECONDARY PLANT CELL WALL
Made of many layers
Microfibrils in each layer
FUNCTION OF SECONDARY PLANT CELL WALL
Lignin
- confers strength, regidity of secondary cell wall
Structural Support
PLASMODESMATA
Intercellular connections that enable cell to cell communications
FUNCTION OF PLASMODESMATA
prevents organelle movements and allows free exchange of small molecules
MAJOR ENERGY REQUIREMENTS OF PLANT AND ANIMAL CELLS
Cells need energy for:
Mechanical work
Make new materials
Transport
Maintaining order
BASIC STRUCTURE OF MITOCHONDRION
1-10 micrometres long
Contains mitochondrial DNA and Ribosomes
Has 2 membranes - inner and outer
FUNCTION OF MITOCHONDRION
Site for cellular respiration
CELLULAR COMPARTMENTS IN ENERGY CONVERSION
1. Glycolysis
2. Pyruvate Oxidation and Citric Acid Cycle
3. Oxidative Phosphorylation
- The electron transport chain
- Chemiosmosis
MECHANISM OF ATP SYNTHESIS
The proton gradient across inner membrane powers ATP synthesis
ROLE OF ATM POWERING CELLULAR ACTIVITY
The cell continuously use and regenerates ATP
STRUCTURE OF CHLOROPLAST
Three Membranes
- Inner
- Outer
- Thykaloid
Three Compartments
- Intermembrane Space
- Stroma
- Thylakoid Space
FUNCTION OF CHLOROPLAST
Contains chlorophyll which absorbs light energy for photosynthesis
HOW CELLS CAPTURE LIGHT ENERGY
Light Reactions
- Capture light energy and convert it to chemical energy
TWO STAGES OF PHOTOSYNTHESIS
1. Light reactions
2. Calvin cycle
MAIN INPUTS AND OUTPUTS OF PHOTOSYNTHESIS
Inputs - Light, Water, Carbon
Outputs - Glucose, Oxygen
PROCESS OF ENERGY SUPLLY IN ANIMAL AND PLANT CELLS
Glucose:
- Breakdown glucose to generate energy
ATP:
- generated in both respiration and photosynthesis
- requires proton gradient across membrane in chloroplast and mitochondrion
ORIGIN OF MITOCHONDRIA AND CHLOROPLASTS
Both contain DNA and Ribosomes
Both have inner and outer membrane
STRUCTURE OF NUCLEUS
Composed of two membranes surrounded by nuclear envelope
FUNCTION OF NUCLEUS
Control center of the cell
ROLE OF NUCLEAR PORE COMPLEX IN NUCLEO-CYTOPLASMIC EXCHANGE
Controls movement of molecules into and out of nucleus
STRUCTURE WITHIN NUCLEUS
Inner surface of nuclear envelope lined by nuclear lamina
composed of intermediate filaments
helps organise the packing of DNA within nucleus
DNA ORGANISATION WITHIN NUCLEUS
DNA tightly packed and interacrs with protein called histones
FUNCTIONAL DIFFERENCES BETWEEN EUCHROMATIN AND HETEROCHROMATIN
Euchromatin
- less dense
- contains genes being used by
cell
Heterochromatin
- more dense
- contains genes not being
used by cell
COMPONENTS OF DNA
made up of nucleotides: 5-carbon sugar called deoxyribose, phosphate group, and a nitrogenous base
WATSON-CRICK MODEL OF DNA
DNA has double stranded helical structure
Sugar Phosphate backbone is on outside
Bases on inside
Stabilised by hydrogen bonds
2 polynucleotide strands oriented in opposite directions
GEOMETRY OF DNA MOLECULE
Double Helix Structure
ROLE OF BASE PAIRING MODEL
Adenine [A] = Thymine [T]
Cytosine [C] = Guanine [G]
SEMICONSERVATIVE DNA REPLICATION
each daughter DNA molecule is composed of one original strand and one new strand
MECHANISM OF DNA REPLICATION
To develop technologies
To understand molecular cause of genetic conditions
To create therapeutic proteins
To develop better understanding of relationship between genotype and phenotype
FUNCTION OF MOLECULES REQUIRED IN DNA REPLICATION
Primase = makes RNA primer
DNA Polymerase ||| = synthesises new DNA strand by adding nucleotides complimentary to parental template strand
DNA Polymerase | = Removes RNA primers and fills gap with DNA nucleotides
DNA Ligase = Joins newly synthesised okazaki fragments together
PROTEINS REQUIRED FOR DNA REPLICATION
Primase
DNA Polymerase |||
Helicase
Topoisomerase
Single stranded DNA binding proteins
DNA Polymerase |
DNA Ligase
LEADING AND LAGGING STRAND
Leading Strand = continuously synthesised in 5' - 3' direction
Lagging Strand = discontinously synthesised in 5' - 3' direction as Okazaki fragments

ERRORS IN DNA REPLICATION ARE CORRECTED
1. During Replication (using EXOnuclease)
2. After Replication (using ENDnuclease)
IN VITRO DNA REPLICATION
DNA replication in test tube by Polymerase Chain Reaction
FUNCTIONS OF PCR COMPONENTS
DNA Template
Primers
DNA Polymerase
dNTPs
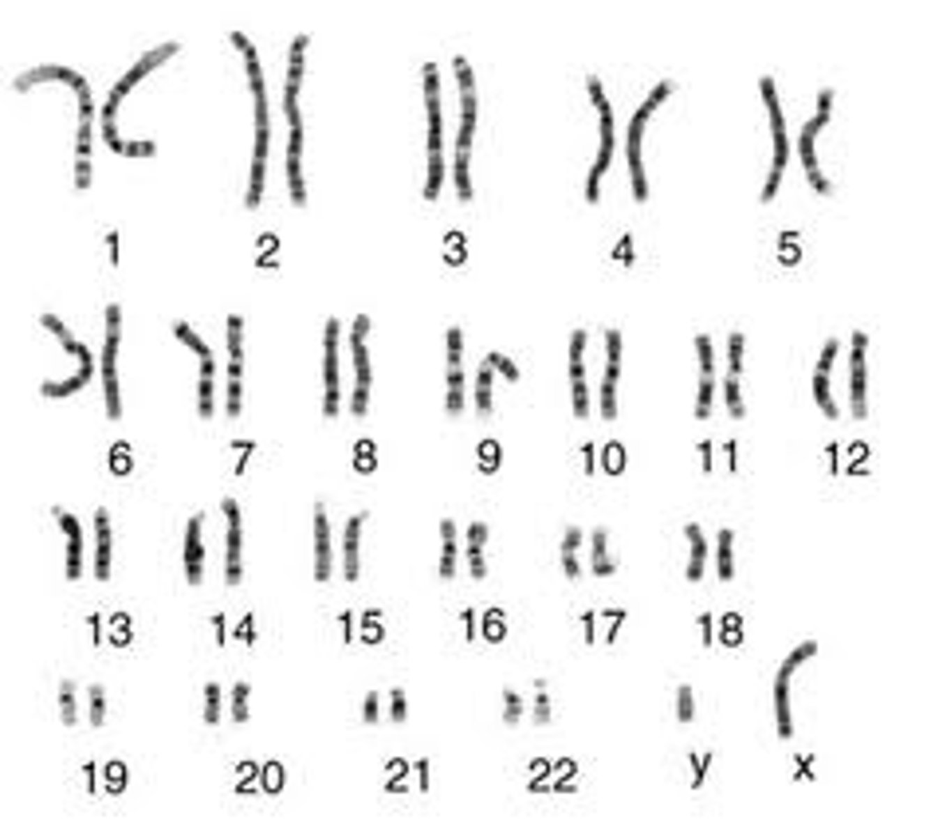
KARYOTYPE
A display of the chromosome pairs of a cell arranged by size and shape.

PROCESS OF MITOSIS
1. Prophase
2. Prometaphase
3. Metaphase
4. Anaphase
5. Telophase

FUNCTION OF MITOSIS
Produces new cells for growth and repair
2n - 2n
CELL CYCLE
the life cycle of a cell
G1
S1
G2
Mitotic Phase
Cytokinesis

SEXUAL LIFE CYCLE
the production of haploid gametes by meiosis, followed by the union of two gametes in sexual reproduction

STRUCTURES OF MEIOSIS
Interphase (Diploid unreplicated chromosomes)
Meiosis | (Haploid replicated chromosomes)
- Prophase |
- Metaphase |
- Anaphase |
- Telophase |
Meiosis || (Haploid unreplicated chromosomes)
- Prophase ||
- Metaphase ||
- Anaphase ||
- Telophase ||

MITOSIS VS. MEIOSIS
Mitosis:
- Chromosomes align independently
- No chiasmata
- Centromeres on metaphase plate
- Chromatids disjoing
- 2n -> 2n
Meiosis:
- Homologous chromosomes cross over
- Chiasmata
- Chiasmata on metaphase plate
- Chromosomes disjoin
- 2n -> n

SEXUAL REPRODUCTION PRODUCES GENETIC DIVERSITY THROUGH:
Independent assortment of chromosomes
Crossing over
Random fertilisation of gametes
DIVERSITY IMPORTANCE IN EVOLUTION
Variable environments (climate)
Changing environments (seasons)
Sib-Sib competition