1/31
Looks like no tags are added yet.
Name | Mastery | Learn | Test | Matching | Spaced | Call with Kai |
|---|
No analytics yet
Send a link to your students to track their progress
what are the 3 ways that a cell can react to injury?
1. death
2. reversing the injury
3. adaptation
sublethal injuries (damage, but not death) can lead to what adaptations?
1. hypertrophy
2. hyperplasia
3. atrophy
4. metaplasia

what is hypertrophy?
increased size of cells due to increased # of organelles (not bc of swelling or more cells). its functional capacity increases
what can cause hypertrophy?
1. specific hormonal stimulation (ex- during pregnancy, estrogen causes hypertrophy of the uterus)
2. higher functional requirements (ex- hypertrophy of the cardiac muscle due to chronic hemodynamic overload, bc of hypertension)
3. compensatory for loss of part of the organ or one of an even numbered organ (ex- one kidney fails so the other must work harder, leading to its hypertrophy)

what happens once the limit of hypertrophy is passed?
degenerative changes will occur, and we will see clinical signs
is hypertrophy pathological or physiological?
it can be either
physiological example- hypertrophy of mammary glands during pregnancy
pathological example- renal failure, so the other kidney gets larger
what is hyperplasia?
the increase in size of an organ due to an increase in the number of cells
can all cells undergo hyperplasia?
no, permanent cells (neurons, cardiac cells) cannot
what cells have the highest ability to perform hyperplasia?
continuously cycling cells- cells that continuously undergo mitosis under physiological conditions (skin cells, GI epithelium)
is hyperplasia physiological or pathological?
it can be either
example of physiological- the liver after partial hepatectomy
example of pathological- canine cystic endometrial hyperplasia due to increased progesterone
what are the different instances in which organs will undergo hyperplasia?
hormonal (ex- proliferation of the mammary gland epithelium during puberty and pregnancy)
compensatory- common if we need to remove part of an organ (ex- the liver after a partial hepatectomy)
excessive hormonal stimulation (ex- canine benign prostate hyperplasia)

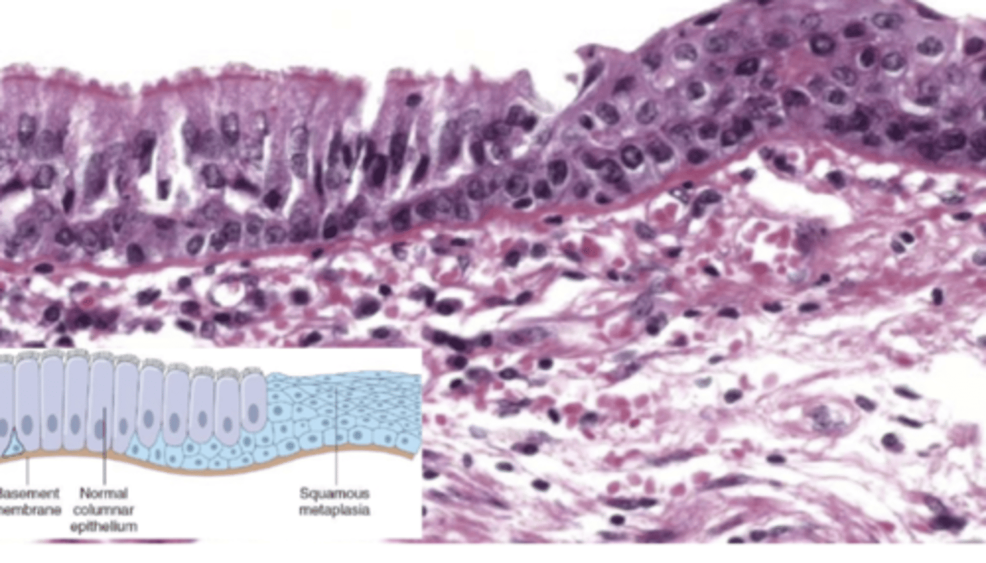
what is the most common type of metaplasia?
the transformation of columnar epithelium into squamous epithelium (bc squamous epithelium is more resistant to injury)
in smokers, chronic irritation of the respiratory columnar ciliated epithelium causes its transformation into squamous epithelium, which is more resistant to injury. however, we lose the cilia, so mucous builds up. what is this type of adaptation called?
metaplasia

what is atrophy?
the decrease in size and # of cells
what are some reasons that atrophy might occur?
decreased workload or disuse (ex- muscle fibers atrophy if the limb is not in use)
denervation (ex- muscle fibers atrophy rapidly is their motor neuron is injured)
deficient nutritive supply (ex- severe malnutrition causes the use of skeletal muscle for a source of energy after fat has been used)
loss of endocrine stimulation (ex- atrophy of thyroid gland if the pituitary gland supplies it with less thyrotropin)
decreased blood supply (ex- the liver atrophies if there is less blood flow through the portal vein)
selinity (age)
pressure- due to something occupying its space and compressing the tissue, causing a compromised blood supply (ex- a tumor, abscess, or cyst)
serous atrophy, due to malnutrition

if a dog breaks his leg and its gets put in a cast for a month, after we remove the cast, his leg is much weaker because his muscles have gotten smaller. what is this adaptation called?
atrophy
if an organ has a lack blood flow, what will be its adaptation?
atrophy
if an tissue needs to become more protected due to constant irritation, what adaptation will it perform?
metaplasia into squamous epithelium
if an endocrine gland stops receiving stimulation, what will be its adaptation?
atrophy
if a patient's cardiac valves are defective, what will the heart do to adapt?
hypertrophy of the cardiac muscle so that it can pump harder and/or hypertrophy of the valve

what is compensatory hypertrophy?
hypertrophy that occurs in order to compensate the failure of part of the organ (or if one of a paired organ fails)

can the CNS undergo hyperplasia?
NO
can the heart undergo hyperplasia?
NO
goiter is an example of what type of adaptation?
hyperplasia

ruminal papillae hyperkeratosis is an example of what type of adaptation?
hyperplasia

benign nodules on organs due to age are an example of what type of adaptation?
hyperplasia

can atrophied tissues still function?
yes, but less
does the mechanism of atrophy differ in different situations?
no, there are identical changes in all cases
what is the gross (macroscopic) appearance of an atrophied tissue?
decreased volume and weight
irregular surface
what is the microscopic appearance of an atrophied tissue?
smaller cells
less organelles
increased vacuoles and lipofuscin
what is serous atrophy?
the atrophy of fat, most commonly because of malnutrition. it can also be caused by malabsorption, chronic infection, parasites, and neoplasias. the fat is replaced by a clear, yellowish, jelly material

what does serous atrophy look like?
grossly:
less fat, replaced by a clear, yellowish, jelly material
microscopically:
smaller adipocytes
