1/102
MCGhill
Name | Mastery | Learn | Test | Matching | Spaced |
|---|
No study sessions yet.
Chromosomal Theory of inheritance, Carl Correns lived during
1900
Chromosomal Theory of inheritance, Carl Correns first suggests
Central role for Chromosomes
Chromosomal Theory of inheritance, Carl Correns Authored one of the scientific papers announcing
Rediscovery of mendel’s work
Chromosomal Theory of inheritance, Walter Sutton lived durring
1902
Chromosomal Theory of inheritance, Walter Sutton known for
Chromosomal theory of inheritance
Chromosomal Theory of inheritance, Walter Sutton Based on observation that
Similar chromosomes Paired with one another during meiosis
Inheritance of eye color in fruit flies, image

Inheritance of eye of color in fruit flies, T.H. Morgan lived
1910
worked with fruit flys
Discovered a mutant male fly with white eyes instead of red
crossed the mutant male with normal red eye female, all F1 progeny red eyed dominant trait
The eye color Gene resides on the X chromosome,
Morgan crossed
F1 females x F1 males
The eye color Gene resides on the X chromosome,
F2 generation contained
Red and white eyed flies
but all white eyed flies were male
The eye color Gene resides on the X chromosome,
Testcross of a F1 female with a white eyed showed
The viability of white eyed females
The eye color Gene resides on the X chromosome,
Morgan concluded that the eye color Gene resides on the
Females X Chromosomes
The eye color Gene resides on the X chromosome,
Traits determined by
sex chromosomes genes are sex linked
Sex chromosmomes,
Sex chromosomes are a pair of dissimilar
chromosomes that still pair during meiosis and mitosis
Sex chromosomes
Sex determination in Drosophila is based on the
Number of X chromosomes
2 X chromosomes = female
1X and 1 Y chromosomes = male
Chromosomal basis of X linkage, Figure

Sex Determination,
sex determination varies
Across Organisms
Sex determination,
Is based on presence of a
Y chromosomes in Humans
2 X= female
Having a Y chromosomes (XY) = male
Sex determination
in birds
ZZ = Male
WW = female
Sex determination,
In insects are
XX= female
OX= male
O is indicating of absent or missing chromosomes
Sex Determination in some organisms, Table

Sex Chromosomes in humans,
Humans have total 46 chromosomes
22 pairs are autosomes, non sex chromosomes
1 pair of sex chromosome highly condensed
Y chromosomes highly condensed, recessive alleles on male’s X have no active counterpart on Y
Default for humans is female, requires SRY gene on Y for Malesness
sex chromosomes in human, image

Sex linkage,
In organisms with XY SEX determination ( like Humans)
Few genes form Y chromosomes are expressed
Sex linkage,
Result is that recessive alleles on X chromosomes have no
Active partner on Y therefore a single recessive sex linked gene can produce recessive phenotype
Sex linkage,
Certain genetic disease affect males to a
Grater degree than females as a result
Sex linkage
X linked recessive alleles
Red green color blindness
Hemophilia
Dosage Compensation,
Ensures equal expression of genes form sex chromosomes even though
Number of chromosomes is different between sexes
Dosage Compensation,
In mammalian female cells
1 X chromosomes is randomly Inactivated is highly condensed into a Barr body
Dosage compensation,
Female Heterozygous for genes on the
X chromosomes are genetic Mosaics,
Example: Calico Cat
Calico cat, Image

Chromosome theory exceptions,
Mitochondria and Chloroplasts
Contain genes
Chromosomes theory exceptions,
Traits controlled by these genes do not follow the
Chromosomal theory of inheritance
Chromosome theory exceptions,
Genes form Mitochondria and chloroplasts are often passed to the offspring by
Only one parent often the mother called, Maternal inheritance
Chromosome theory exceptions,
In plants chloroplasts are also often inherited form the
Mother although this is species dependent
Genomic imprinting,
In genomic imprinting the phenotype exhibited by a mutant allele depends on
Which parent contributed the allele to the offspring
Genomic Imprinting,
Specific partial deletion of chromosomes 15 in humans results in
Angleman syndrome if form the mother
Prayer Wili syndrome if the chromosome is form the father
the mouse igf 2 gene
Insulin like growth factor 2 (igf)
Encodes a growth factor critical for preatal development and growth
only paternal allele is expressed, phenotype of herterozygotes depend on which parent contributed the mutant allele
Epigenetics,
Imprinting is an example of epigenetics, Epignetics inheritance
A Mitotically and or meiotically stable change in gene function that dose not involve a change in DNA sequance
Epigenetics,
Mechanisms
DNA, Methylation and Histone Modification
Non coding RNA’s
Nuclear Organization
Alterations to proteins involved in chromosome a structure
Genetic Mapping,
Early genetics realized that they could obtain information about the
distance between genes on a chromosome
Genetic Mapping,
Distance estimates based on patterns of
Genetic recombination (crossing over) between genes
Genetic mapping, if crossover occurs, parental alleles are
Recombinded producing recombinant gametes
Crossing over exchanges alleles, Diagram

Recombination is the basis for genetic maps,
Alfred Sturtevant
Undergraduate in T.H. Morgan lab
Put morgans observation that recombinant progeny reflect relevant location of genes in quantitative terms
As physical distance on a chromosome increase so dose the probability of recombination (cross over) Occuring between the gene loci
Construction maps,
The distance between genes is proportional to the
Frequency of Recombination events
Recombination Frequency equation
Recombination frequency= recombinat progency/ total progeny
construction maps,
1% recombination =
1 map unit (m.u.)
Construction Maps
1 map unit=
1 centimorgan (cM)
Construction Maps
Preformane testcross with
Doubly heterozygous individuals, count progeny
two point cross to map genes, Diagram

Multiple crossover
If homologues undergo two crossover
Between loci, then the parental combination is restored
Multiple crossovers
leads to an underestimate of the
True genetic distance
odd number of cross over events (1,3, ect.) produce recombination gametes
No cross over or even numbers of cross overs (0,2,4, ect) produce parental gametes
Multiple crossover
Relationship between true distance on a
Chromosome and the recombination frequency is not linear
Relationship between true distance and recombination frequency, Graph

Three point testcross
Uses
Three loci instead of two to construct maps
Three point testcross
Middle gene allows tracking of
Recombination events on either side
Three points testcross
In any three point cross the
class of offspring with two crossovers is the least frequent class
Three point test cross
In practice geneticists use three point crosses to determine the
Order of genes then use data form the closest two point crosses to determine distances
three point cross to order genes, diagram

Some human traits exhibit domain/ recessive inheritance
Some human traits are controlled by
A single gene
some of these exhibit dominant and recessive inheritance
Some human traits exhibit domain/ recessive inheritance
pedigree analysis is used to
Track inheritance patterns in families
Some human traits exhibit domain/ recessive inheritance
Dominant pedigree example
Juvinile glaucoma
Some human traits exhibit domain/ recessive inheritance
Recessive pedigree example
Albinism
Dominant pedigree for hereditary juvenile glaucoma
Disease causes degeneration of optic nerve leading to blindness
Dominant trait appears in every generation
Dominant pedigree for hereditary juvenile glaucoma

Recessive Pedigree for albinism
Condition in which the pigment melanin is not produced
From of albinism due to a nonfunctional allele of the enzyme tyrosinase
males and females affected equally
most affected individuals have unaffected parents
Recessive Pedigree for albinism

Sex linked human genetic disorders,
some genetic disorders affect
Males more than females
this is sex linked
Sex linked human genetic disorders,
Hemophilia is a disease that affects a
Single proteins in a cascade involved in formation of blood clots
Sex linked human genetic disorders,
form the hemophilia is cuased by an
X linked recessive alleles,
Heterozygous females are asymptomatic carriers
Human genetic disorders causes,
a single amino acid change in a
Single protein can result in clinical syndrome
Human genetic disorders causes,
Example: Sickle cells anemia
First human disease shown to be result of mutation in a protein
Cuased by a defect in the oxygen carrier molecule hemoglobin
Leads to impaired oxygen delivery to tissue
Sickle cell anemia, image

Sickle cell aniemia,
Homozygotes for sickle cell allele
Exhibit intermettent illness and reduced life span
Sickle cell anemia
Heterozygotes appear
Normal
Do have hemoglobin with reduced ability
Sickle cell anemia
Sickle cell allele is particularly prevalent in
People of African descent
Proportion of heterozygotes higher than expected
Confers resistance to blood borne parasite that causes malaria, explains higher proportion of allele
Some important genetic disorders, Table

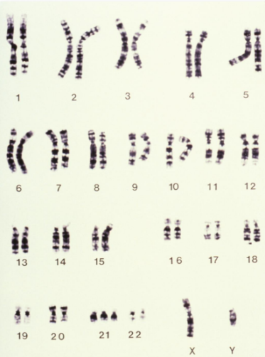
Nondisjunction changes chromosome Number
Nondisjunction is the failure for
Homologuse or sister chromatids to separate properly during meiosis
Nondisjunction changes chromosome number,
Aneuploidy
Gain or loss of chromosomes the result of nondisjunction
Monosomy or Trisomy, in all but a few cases do not survive
Aneuploidy
Monosomy
Loss
Aneuploidy
Trisomy
Gain
Nondisjunction of autosomes
Human embryos Trisomic for five of the
Smallest autosomes can survive birth
Autosomes: 13, 15, 18, 21, and 22
13, 15, 18- sever defects, die within a few months
21 and 22- can survive to adulthood
down syndrome- Trisomy 21, my be full third 21st chromosome, a translocation of part of chromosomes 21, mothers age influences risk
Trisomy of chromosome 21

Correlation between maternal age and incidence of down syndrome,
Graph

Nondisjunction of Sex Chromosomes
Do not generally experiacnce severy development abnormalities
Individuals have somewhat abnormal features but often reach maturity and in some cases may be fertile
XXX- triple females
XXY- males ( Klinefelter syndrome)
XO- females (Turner Syndrome)
OY- Non viable zygotes
XYY-males ( Jacob syndrome)
Nondisjunction and sex chromosomes, Diagram

Some genetic defects can be detected early in pregnacy
Genetic counseling can help identify parents
Carrying disease alleles and asses genetic state of early embryos
Pedigree analysis used to determine the probability of genetic disorders in the offspring
Aminocentesis collect fetal cells form the aminotic fluid for examination
Chorinic villi sampling (CVS) collects cells form the placenta for examination
Amniocentesis

Chorionic Villus Sampling

Human Genome Maps
Cannot use techniques from model systems
For example inducing and tracking mutations, to create human genome maps
Human Genome Maps
Can use data derived form
Historical Pedigrees
Human Genome Maps
Difficult analysis
Number of markers was not denes enough for mapping up to 1980s
Disease cuasing ( that is tracible) alleles are rare
Human Genome Maps
Situation changed with the
development of anonymous Markers
Detected using molecular techniques
No detectable phenotype
Molecular markers
Alternative to mutant/disease alleles some
Molecular marks are identifiable via modern genetic techniques and do not alter phenotype
Short tandem repeats (STR) are short repeats of 2-4 bases that can differ in repeat number between individuals
Single neucleotide polymorphism (SNPs) affect a single base of a gene locus
More than 600 million SNPs identified in human genome
Used in forensic analysis to ID suspects or for paternity testing
The Human X Chromosomes Gene Map
Diagram

Genetic maps and genetic disorders
Human genetic maps can be constructed using common genetic markers
Data form related individuals is used instead of data form controlled crosses as in model organisms
Analysis requires complex statistical analysis and large amounts of data
Genetic maps and genetic disorders
Tracking the segregation of possible causal alleles with a disorder
phenotype across multiple families can localize the disorder alleles on the genome
Example: cystic fibrosis (Recessive allele), Hunting tone disease (Dominant allele)
Phenotype to genotype association studies
Many common disease are quantitative traits, affected by
Many genes that require different techniques to discover underlying genes
Phenotype to Genotype association studies
Genome wide association study (GWAS) looks for SNPs associated with a
disease Phenotype as likely regions of genome where candidate genes are located
Requires large amounts of population level data and is computationally intensive