Lab 4, pt. 2: Differential Stains II

0.0(0)
studied byStudied by 0 people
call kaiCall Kai
learnLearn
examPractice Test
spaced repetitionSpaced Repetition
heart puzzleMatch
flashcardsFlashcards
GameKnowt Play
Card Sorting

1/19

flashcard set

Earn XP

Description and Tags

Gram Staining, Endospore Staining, Acid Fast Staining

Last updated 12:31 AM on 3/21/23
Name
Mastery
Learn
Test
Matching
Spaced
Call with Kai

No analytics yet

Send a link to your students to track their progress

20 Terms

1
New cards
What is the point of differential stains?
To identify a specific property of certain cells in a complex sample
2
New cards
What is gram staining?
differential staining technique that provides an easy differentiation of bacteria into one of two groups
3
New cards
Name some characteristics in **gram-positive cell walls**
* **Thick** peptidoglycan
* 90% peptidoglycan
* teichoic acids
* 1 layer
* not many polysaccharides
4
New cards
Name some characteristics in **gram-negative cell walls**
* **Thin** peptidoglycan
* 5-10% peptidoglycan
* No teichoic acids
* 3 layers
* Outer membrane has lipids, polysaccharides
5
New cards
What does ethanol do in the gram-staining procedure?
Removes stain from **Gram Negatives** but not **Gram Positives**
6
New cards
What are the 4 conditions to be followed for a Gram staining procedure?
* young cultures (18-24hrs old)
* thin smear
* fresh reagents (of proper strength)
* control cultures
7
New cards
Gram stained slides of…
Gram stained slides of…
Neisseria
8
New cards
Gram stained slides of…
Gram stained slides of…
Streptococcus
9
New cards
Gram stained slides of…
Gram stained slides of…
Pseudomona
10
New cards
What kind of staining is this?
What kind of staining is this?
Endospore staining
11
New cards
What is an **endospore**? What do they germinate into?
* Dormant and highly resistant cell which contains a copy of the cellular DNA
* Endospores germinate into **vegetative cells** when nutrients are around
12
New cards
What kind of stain is this?
What kind of stain is this?
* Acid-fast Stain
* Mycobacteria
13
New cards
Name some characteristics of the acid-fast bacterial cell wall
* Thick cell walls
* 60% lipids - little peptidoglycan
* Doesn’t stain well
14
New cards
What bacteria is used for acid-fast stains?
Mycobacterium
15
New cards
What kind of colonies are these?
What kind of colonies are these?
Mycobacterium tuberculosis colonies
16
New cards
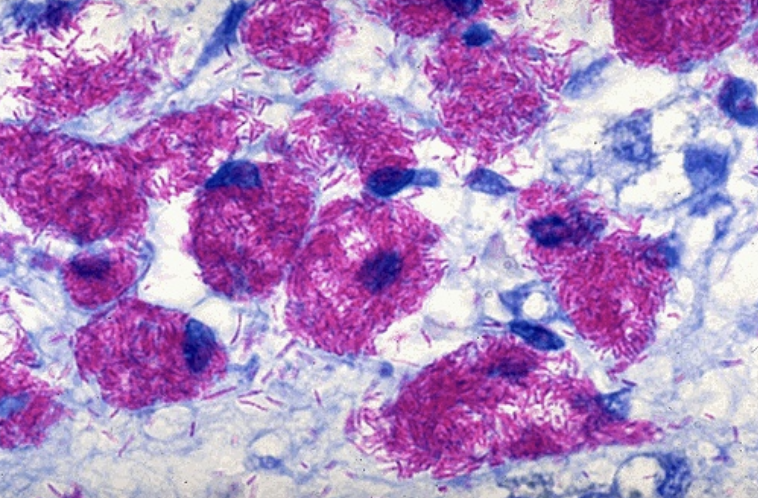
What example of acid-fast staining is this?
What example of acid-fast staining is this?
Mycobacterium tuberculosis
17
New cards
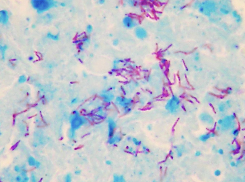
What example of acid-fast staining is this?
What example of acid-fast staining is this?
Mycobacterium leprae
18
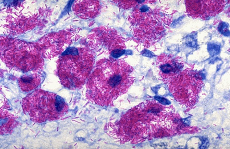
New cards
What example of acid-fast staining is this?
What example of acid-fast staining is this?
Mycobacterium marinum
19
New cards
What colors do spores stain?
Green
20
New cards
What color does vegetative cells stain?
Red/pink