1/13
Looks like no tags are added yet.
Name | Mastery | Learn | Test | Matching | Spaced | Call with Kai |
|---|
No analytics yet
Send a link to your students to track their progress
CHANG
What is the acronym for the five main differentials for most masses, such as for a salivary gland enlargement?
Yes
Should you do an FNA and cytology before doing sedation and radiographs on a mass?
Staging
What part of the cancer diagnosis is done using lymph node FNA, or some other procedures? This also helps note the location and spread.
FNA
What is the first step for almost any kind of mass, especially possible tumors?
Mesenchymal
What cells on an FNA will have a round-ovoid nucleus, spindle-fusiform cytoplasm with a wispy tail, exfoliating cells and clumps, and are representative of sarcoma?

Epithelial
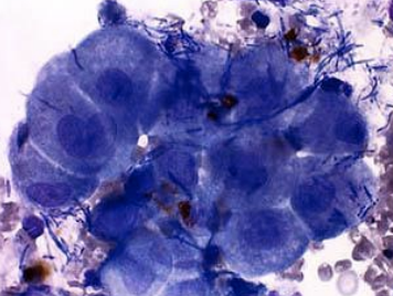
What cells on an FNA have a round nucleus, round-ovoid-angular cytoplasm with distinct borders, exfoliating cells in sheets and clumps, and can form ducts and acini? They are indicative of carcinoma and adenocarcinoma.

Round
What cells on an FNA have a round nucleus, round-scant-moderate cytoplasm, and exfoliative cells that are individual and discrete? They are indicative of plasma cell tumor, TVT, MCT, LSA, and histiocytoma.

Cytology
What procedure/technique looks for criteria of malignancy, such as pleomorphism, variable nucleus, anisokaryosis, coarse nuclear chromatin clumping, nuclear molding, multinucleation, and abnormal mitotic figures or increased numbers of mitotic figures?
Hematogenous
What is the main metastatic route for sarcoma/mesenchymal cells? They spread to the lungs.
Hematogenous, Lymphatic
What are the two main metastatic routes for carcinoma and melanoma, both epithelial cells? They spread to the lungs and lymph nodes.
Lymphatic
What is the main metastatic route for round cell neoplasias? They can spread to the lymph nodes.
Quality
Local therapy aims at improving the what of life?
Quantity
Systemic therapy aims at improving the what of life?
CHOP
The technique known as combination chemotherapy is also known as what acronym? This stands for the main drugs used: cyclophosphamide, hydroxyldaunorubicin/doxorubicin, oncovin/vincristine, and prednisone. This is used very effectively against canine lymphoma.