1/97
Looks like no tags are added yet.
Name | Mastery | Learn | Test | Matching | Spaced | Call with Kai |
|---|
No analytics yet
Send a link to your students to track their progress

Organ?
Structure outlined in red?
Blue cell? (most common cell)
Green cell? (Typically found in sinus and stained blue/dark)
Organ: Liver
Red: Central vein
Blue: Hepatocyte
Green: Kupffer cell

What organ is this?
What are the names of the light structures?
What is the name of the darker cells around?
Pancreas
Islet of langerhans
Acinar cell

Organ?
Structure?
Surrounding structures?
Organ: Pancreas
Islet of langerhans (snakes around structure.. also notice white spice around it. do not count on it being lighter)
Surrounding structures: pancreatic acini (very small lumens and very glandular) (IN THIS QUIZ IT IS ACINAR CELL)

Organ?
What is the name of the glands in mucosa layer?
Possibly transition from this organ to another may indicate what structure?
Stomach (cheerio or knuckles top appearance)
Glands: Gastric gland
Structure: Esophageal-cardiac junction

Organ?
What is the name of the glands in mucosa layer?
Possibly transition from this organ to another may indicate what structure?
Stomach (gastric pits are more pronounced here)
Glands: Gastric gland
Structure: Esophageal-cardiac junction

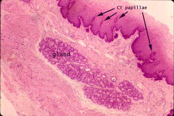
Orange structure (organ)?
Structure found in submucosa?
esophagus
structure in submucosa: esophageal gland

Organ?
Structure found in submucosa?
esophagus
structure in submucosa: esophageal gland

Large structure?
Circumvallate papillae

Large structure?
Foliate papillae

Large structure?
Filiform papillae

Large structure?
Circumvallate papillae

Large structure?
Foliate papillae

Large structure?
Foliate papillae

Large structure?
Filiform papillae

Large structure?
Filiform papillae

Large structure?
Circumvallate papillae

Large structure?
Filiform papillae

Large structure?
Fungiform papillae

Organ?
Tongue

Organ?
Tongue

Organ?
Tongue

Organ?
Tongue

Organ?
Tongue

Organ?
Tooth

Organ?
Tooth

Organ?
Tooth

Organ?
Tooth

Organ?
Tooth

Organ?
Lip

Organ?
Lip

Organ?
Lip

Organ?
Lip

Structure?
Bile duct

Structure?
Bile duct

Structure?
Bile duct

What are the main tunics?
Layers/tunics:
Orange?
Turquoise?
Yellow?
Black?
Purple? (parts?)
3 PARTS
Mucosa:
Orange: Epithelium (you don’t have to know this but it’s useful for having a reference)
Turquoise: Lamina propria
Yellow: Muscularis mucosae
Black: Submucosa
Purple: Muscularis externa, inner circular layer and outer longitudinal layer)
What is the outermost layer of these digestive system organs? How does it vary?
Serosa/Adventitia (IT MATTERS WHICH ONE)
Serosa is used for all organs within the abdominal cavity. For example stomach, small intestine, large intestine, etc.

See image
See image

Organ?
Region?
Large round purple structure?
Organ: Small intestine
Region: Ileum
Structure: Peyer’s patch

Organ?
Region?
Large round purple structure?
Finger-like structures pointed by red arrows?
Cells at base of crypts?
Organ: Small intestine
Region: Ileum
Large round purple structure: Peyer’s patch
Fingers: Villi
Cells: Paneth cell

Finger-like structure?
Commonly found where?
Inner region represented by blue?
Clear cup looking cells that are on the outside border?
Structure: Villi
ONLY found in small intestine
Inner space is lamina propria that epithelium border is attached to
Clear cup cells: Goblet cells (this is an image of small intestine)


Organ?
Label?
Cells at base of crpts?
Organ: Small intestine
Label: see image
Cells: Paneth cell


Organ?
Orange?
Green?
Purple?
Red?
Organ: Large intestine
Orange: Mucosa (lamina propria is not visible)
Green: Muscularis mucosae (of mucosa)
Purple: Submucosa
Red: Muscularis externa (inner circular and outer longitudinal)

Organ?
Label?
Structure between muscular layers?
Organ: Large intestine
Label: see image
Structure between: Myenteric (Auerbach’s) plexus


Organ?
Structure represented by green arrow?
Cells at base of green arrow structure?
Structure between muscular layers?
Organ: Small intestine
Structure: Intestinal gland (Crypt of Lieberkuhn)
Cells: Paneth cell
Structure between: Myenteric (Auerbach’s) plexus

Organ?
Region?
Organ: Large intestine
Region: Colon

Organ?
Region?
Organ: Large intestine
Region: Colon

Organ?
What is the name of the glands in mucosa layer?
Possibly transition from this organ to another may indicate what structure?
Organ: Stomach
Glands: Gastric gland
Structure: Esophageal-cardiac junction

Organ?
Glands?
Organ: Stomach (Really zoomed in photo of only mucosa)
Glands: Gastric gland

Organ?
Region?
Structures circled?
Structure between muscular layers?
Cells at base of crypts?
Organ: Small intestine
Region: Duodenum (has duodenal glands)
Circled structures: Duodenal (Brunner’s) glands
Structure between: Myenteric (Auerbach’s) plexus
Cells: Paneth cells

Organ?
Region?
Organ: Small intestine
Region: Duodenum

Organ?
Region?
Structure being pointed to by red arrows?
Organ: Small intestine
Region: Duodenum
Structure: Duodenal (Brunner’s) glands

Organ?
Structure between muscular layers?
Organ: Large intestine
Structure between: Myenteric (Auerbach’s) plexus

Organ?
Organ: Large intestine

Organ?
Region?
Organ: Small intestine
Region: Jejunum (notice no patches or glands)

Organ?
Region?
Organ: Small intestine
Region: Jejunum (notice no patches or glands)

Organ?
Region?
Organ: Small intestine
Region: Jejunum (notice no patches or glands)

Organ?
Region?
Blue structure?
Organ: Large intestine
Region: colon (yk it is colon because this is large intestine AND there are intestinal glands.)
Blue: Intestinal gland (can be in the small or large intestine)

Organ?
Structure between muscular layers?
Organ: Large intestine
Structure between: Myenteric (Auerbach’s) plexus

Organ?
Bump looking structure on outside? Found where?
Organ: Large intestine
Bump structure: Taenia coli, found in the colon (region)

Organ?
Bump looking structure on outside? Found where?
Organ: Large intestine
Bump structure: Taenia coli, found in the colon (region)

Organ?
Bump looking structure on outside? Found where?
Organ: Large intestine
Bump structure: Taenia coli, found in the colon (region)

Organ?
Structure in submucosa?
Organ: Esophagus
structure in submucosa: esophageal gland

Organ?
Structure in submucosa?
Organ: Esophagus
structure in submucosa: esophageal gland

Organ?
Structure in submucosa?
Organ: Esophagus
structure in submucosa: esophageal gland

Organ?
Salivary gland

Organ?
Salivary gland

Organ?
Salivary gland

Organ?
Salivary gland

Organ?
Salivary gland

Organ?
Salivary gland

Structure (pointer)
Salivary gland

Purple structures?
Salivary gland

Strongly eosinophilic staining cells near base of crpts?
Organ? which region most often?
Paneth cells
Organ: small intestine, usually ileum

Organ?
Pink Cells?
Organ: Stomach
Pink cells: Parietal cell

Organ?
Pink cells?
Dark purple cells below pink ones?
Organ: Stomach
Pink oval cells: Parietal cell
Dark purple cells: Chief cell

Organ?
Pink cells?
Dark purple cells below pink ones? (difficult to see here)
Organ: Stomach
Pink oval cells: Parietal cell
Dark purple cells: Chief cell

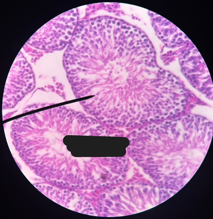
Organ?
Testes

Organ?
Outer layer?
Organ: Testes
Outer layer: Capsule

Organ?
Outer layer?
Organ: Testes
Outer layer: Capsule

Organ?
Outer layer?
Organ: Testes
Outer layer: Capsule

Organ?
Testes

Organ?
Testes

Organ?
Blue?
Purple?
Orange?
Organ: Penis
Blue: Corpora cavernosa
Purple: Corpora spongiosum
Orange: Spongy (Penile) Urethra

Organ?
Blue?
Dark green?
Light green in blue?
Organ: Penis
Blue: Corpus spongiosum
Dark green: Corpora cavernosa
Light green: Spongy (Penile) Urethra

Organ?
Structure that is important?
Organ: Prostate gland
Structure: Corpora amylacea

Organ?
Structure that is important?
Organ: Prostate gland
Structure: Corpora amylacea

Organ?
Structure on pointer?
Organ: Prostate gland
Structure: Corpora amylacea

Organ?
Structure that is important?
Organ: Prostate gland
Structure: Corpora amylacea

Organ?
Structure that is important?
Organ: Prostate gland
Structure: Corpora amylacea

Organ?
Structure that is important?
Organ: Prostate gland
Structure: Corpora amylacea

Organ?
Structure that is important?
Organ: Prostate gland
Structure: Corpora amylacea

Organ?
Outermost layer surrounding organ? (yellow arrows)
Structure at blue arrow?
Red area (region)?
Purple area (region)?
Organ: Kidney
Outermost wrapping layer: Capsule (often detached)
Blue arrow: Renal corpuscle
Red (region): Cortex
Purple (region): Medulla

Organ?
Outermost layer surrounding organ? (yellow arrow)
Red area (region)?
Dark blue area (region)?
Structure at orange arrow?
Structure at baby blue arrow?
Organ: Kidney
Outermost wrapping layer: Capsule
Red area (region): Cortex
Dark blue area (region): Medulla
Orange: Renal papilla
Baby blue: Minor calyx

Organ?
Outermost layer surrounding organ?
Entire circular structures at green arrows?
Generally speaking red arrow structures are?
Generally speaking orange arrow structures are?
Organ: Kidney
Outermost wrapping layer: Capsule
Green arrow: Renal corpuscle (entire structure)
Red: Proximal convoluted tubule (nuclei spaced out and often have weirdly shaped lumens with fuzziness due to microvilli and folds for maximum absorption, and little to no cell borders)
Orange: Distal convoluted tubule (more circular lumen, more tightly packed nuclei, lighter in color, more clear/defined cell borders)

Structure?
Proximal convoluted tubule (nuclei spaced out and often have weirdly shaped lumens with fuzziness due to microvilli and folds for maximum absorption, and little to no cell borders)

Longitudinal structure in the bottom center?
Collecting duct (cuboidal cells, defined borders, pale staining, lumen cleaner than a PCT but less than a DCT)

Structure that has hand in lumen?
Loop of Henle (mixture of cuboidal and squamous shape, very thin, dark nuceli, elongated)