1/34
Looks like no tags are added yet.
Name | Mastery | Learn | Test | Matching | Spaced | Call with Kai |
|---|
No analytics yet
Send a link to your students to track their progress
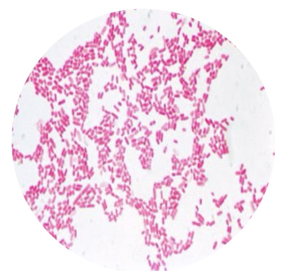
Bacillus subtilis (bacilli in chains)

Clostridium tetani (bacilli in chains)

Escherichia coli (bacilli in chains)

Klebsiella pneumoniae (bacilli in chains)

Neisseria gonorrhoeae (cocci in pairs)

Pseudomonas aeruginosa (bacilli in chains)

Salmonella typhi (bacilli in chains)

Shigella dysenteriae (bacilli in chains)

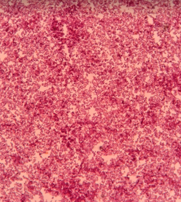
Staphylococcus aureus (cocci in clusters)

Streptococcus pneumoniae (cocci in pairs)

Streptococcus pyogenes (cocci in chains)

Vibrio cholerae (comma-shaped)

Neisseria gonorrhoeae (cocci in pairs)

Escherichia coli (bacilli in singles)

Salmonella typhi (bacilli in pairs)

Vibrio cholerae (comma-shaped)

Pseudomonas aeruginosa (bacilli in singles)

Staphylococcus aureus (cocci in clusters)

Bacillus subtilis (bacilli in chains)

Klebsiella pneumoniae (bacilli in chains)

Staphylococcus epidermidis (cocci in clusters)

Vibrio cholerae (comma-shaped)

Neisseria gonorrhoeae (cocci in pairs)

Escherichia coli (bacilli in chains)

Capsular staining

Pseudomonas aeruginosa (bacilli in chains)

Flagellar staining

Klebsiella pneumoniae (bacilli in chains)

Clostridium botulinum (bacilli in singles/chains) ?

Neisseria gonorrhoeae (cocci in pairs)

Bacillus subtilis (bacilli in chains)

Spore staining (Bacillus subtilis - endospore); bacilli in chains

Capsular staining

Escherichia coli (bacilli in chains)

Staphylococcus aureus (cocci in clusters)
