1/33
Looks like no tags are added yet.
Name | Mastery | Learn | Test | Matching | Spaced | Call with Kai |
|---|
No analytics yet
Send a link to your students to track their progress

Elastic Cartilage

Pseudostratified Ciliated Columnar Epithelium

This is a micrograph image of the top of a simple columnar epithelial cell. The finger-like projections at the surface are there to help increase the surface area of the cell so it can absorb more nutrients. What is the name of the finger-like projections?
Microvilli

Skeletal Muscle

Simple Cuboidal Epithelium

What surface of this cell will be attached to the basement membrane?
Basal Surface

Nervous Tissue

Where can this cell type be found in the human body?
Skin

Where can this tissue type be found in the human body?
Bone Marrow

Simple Columnar Epithelium

Reticular Tissue

Where can this tissue type be found in the human body?
Between the skin and skeletal muscle

Where can this tissue be found in the human body?
Connecting ribs to sternum
Fibroblasts produce the protein fibers and the ground substance that fills the empty spaces in connective tissue. T/F?
True

Fluid connective tissue

Where can this tissue type be found in the human body?
Achilles Tendon

Where can this tissue be found in the human body?
Heart

What type of tissue would be found in the intervertebral disk?
Fibrocartilage

This image shows three Villi that are formed by simple columnar epithelium cells on the perimeter. Where is this cell type found in the human body?
Small intestine

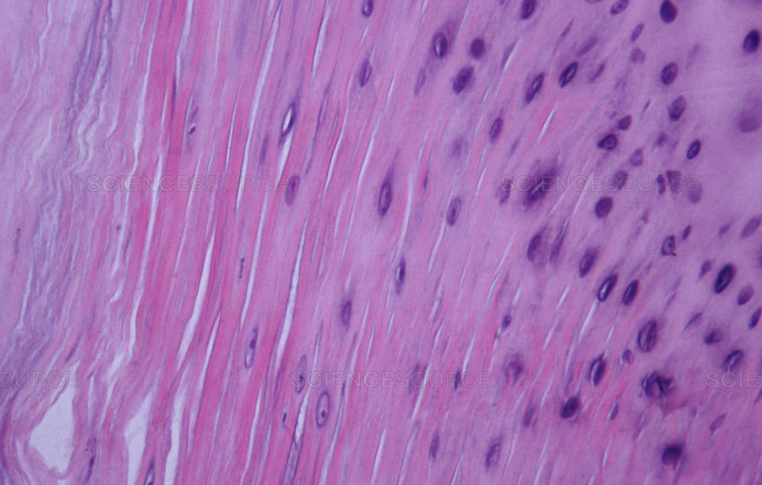
Smooth Muscle
Pseudostratified ciliated columnar epithelium is a mixture of columnar and cuboidal cells that appears layered. T/F?
True

What is not true about this tissue type?
This tissue is single nucleated

Were is this tissue type found in the human body?
Air sacs of the lungs

Where in the human body can you find this tissue?
Any voluntary muscle
Cartilage has a significant blood supply, and like bone will quickly heal when damaged. T/F?
False

What is not a characteristic of this tissue type?
Transports materials around the body

What is this tissue type?
Bone

Adipose Tissue
You will find simple cuboidal epithelium cells in areas where increased amounts of secretion and absorption occur. T/F?
True

Tendon/Ligament Tissue

What is ci pointing to on this tissue micrograph?
Cilia

Where can this tissue type be found in the human body?
External Ear
Cuboidal, columnar, and squamous are all types of connective tissues.T/F?
False

Fibrocartilage