1/29
Looks like no tags are added yet.
Name | Mastery | Learn | Test | Matching | Spaced | Call with Kai |
|---|
No analytics yet
Send a link to your students to track their progress

pyogenic abscess

ameobic abscess

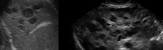
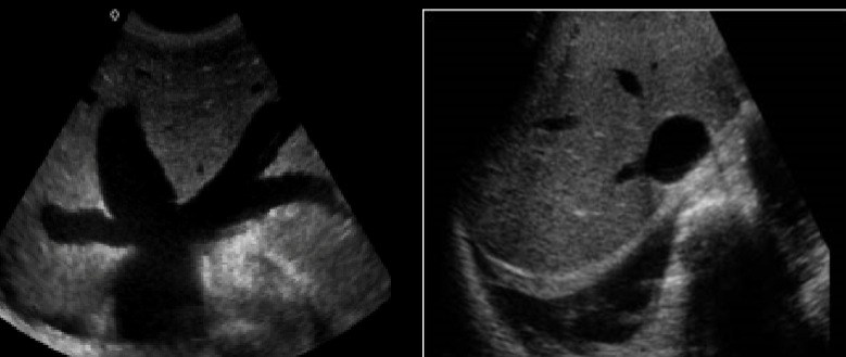
echinococcal cyst

echinococcal cyst (squiggle lines is the water lily sign)

echinococcal cyst

echinococcal cyst

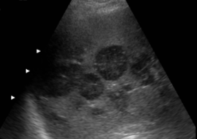
hepatic candidiasis

(most commonly) pneumocystis carinii (associated with hepatic granuloma)

hepatic granulomas (associated with pneumocystis carinii)

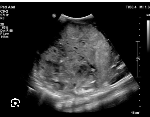
hepatocellular carcinoma (HCC)

hepatocellular carcinoma (HCC)

hepatocellular carcinoma (HCC)

hepatoblastoma

kaposi sarcoma (KS)

metastasis

metastasis

metastasis

lymphoma

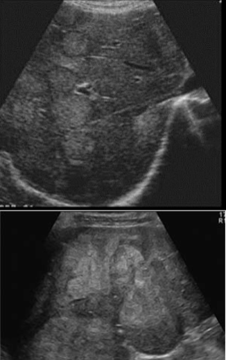
trauma

subcapsular hematoma

intraparenchymal hematoma

liver transplant

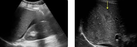
pleural effusion

post-op fluid collection (ascites and pleural effusion)

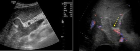
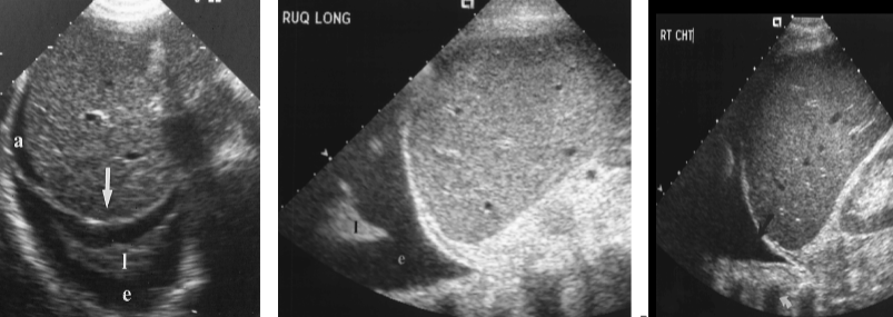
portal hypertension

collaterals/varices/cavernous transformation

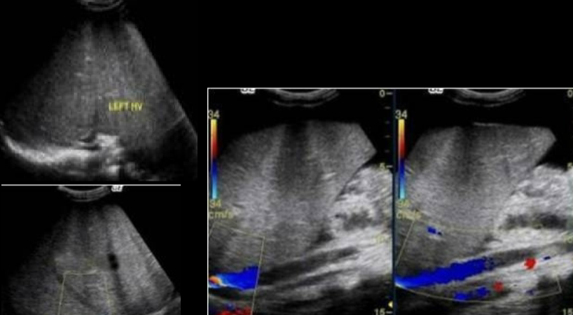
budd-chiari syndrome

TIPS

budd-chiari syndrome

PV thrombosis