1/36
Looks like no tags are added yet.
Name | Mastery | Learn | Test | Matching | Spaced | Call with Kai |
|---|
No analytics yet
Send a link to your students to track their progress
Lobosea
Amoebae

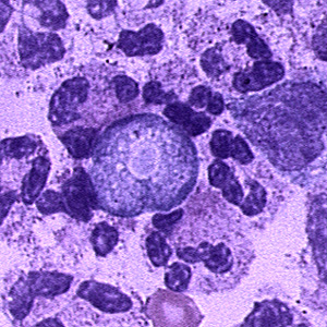
Entamoeba histolytica trophozoite
1 nuclei, small karysome w/chromatin, RBC cytoplasmic inclusion

Entamoeba histolytica cyst
1, 2, or 4 nuclei. Small karysome w/chromatin. Cigar shape body
Entamoeba histolytica disease names
amebiasis, amebic dysentery, amebichepatitis
Entamoeba histolytica transmission
ingest infective cysts
Entamoeba histolytica distribution
worldwide
Entamoeba histolytica sample/size
feces/10-20

Entamoeba dispar (commensal)
identical to E. histolytica except there are no RBC ingested
Entamoeba dispar disease name
nonpathogenic
Entamoeba dispar lab report
Entamoeba species unable to diff without presence of RBCs
Entamoeba dispar size
cysts <10; trophs <12

Entamoeba coli (E. coli, commensal)
large karyosome, irregular chromatin clumping
Entamoeba coli disease
nonpathogenic

Entamoeba coli trophs
granular cytoplasm, ingested bacteria

Entamoeba coli cyst
up to 8 nuclei, chromatid bars w/pointed ends

Entamoeba polecki (commensal)
1 nucleus in mature cysts, large glycogen, pointed chromatin
Entamoeba polecki disease
nonpathogenic

Entamoeba gingivalis (commensal)
no cyst stage, ingest WBC,

Blasotcystis hominis (Blastocystis, commensal)
oval, cyst-like, central body,pushed out nuclei
Blasotcystis hominis differences
strictly anaerobic intestinal protozoan
Blasotcystis hominis transmission
fecal oral, contaminated food/water
Blasotcystis hominis sample
fecal, only use saline

Endolimax nana (E. nana, commensal)
smallest (6-12), large irregular karyosome, 4 nuclei
Endolimax nana disease?
common nonpathogenic in intestinal tract

Iodamoeba butschlii (I.butschlii, commensal)
single nucleus, large karyosome, glycogen vacuole
Iodamoeba butschlii disease?
common nonpathogenic in intestinal tract

Acanthamoeba spp
trophs and cysts from brain/skin biopsy
Acanthamoeba spp disease?
opportunistic pathogen
Acanthamoeba spp transmission
troph enters broken skin, respiratory tract, mucous membranes
Acanthamoeba spp disease name
granulomatous amebic encephalitis (GAE)
Acanthamoeba spp common cause
poor contact lens care; swimming w/ contacts in contaminated water
Acanthamoeba spp onset
SLOW, weeks-years

Naegleria fowleri
active trophs in spinal fluid, or brain at autopsy
Naegleria fowleri disease?
opportunistic pathogen, most cases have no disease
Naegleria fowleri disease name
primary amebicmeninogoencephalitis (PAM)
PAM mortality
ends in death after 3-6 days
Naegleria fowleri transmission
troph enters nasal cavity while swimming