1/32
Looks like no tags are added yet.
Name | Mastery | Learn | Test | Matching | Spaced |
|---|
No study sessions yet.
Define epithelium.
Epithelium forms continuous sheets of cells that line internal surfaces of the body. It is a selective barrier that protects tissues and is often involved in absorption or secretion
Define basement membrane.
Separates epithelium from underlying connective tissue
List the 3 criteria epithelia are based on.
Number of cell layers
Shape of surface cells
Specializations
What is the difference between an apical surface and a basal surface?
Apical faces the external environment and basal is attached to the basement membrane.
define simple cuboidal epithelium
Simple cuboidal epithelium consists of a single layer of cuboidal cells.
It's often associated with absorption, secretion or excretion of waste matter
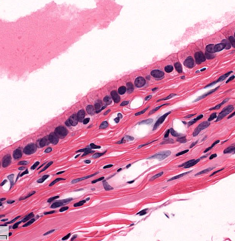
Describe Simple Columnar Epithelium.
Simple columnar epithelium consists of a single layer of cells that are taller than they are wide
associated with absorption or secretion
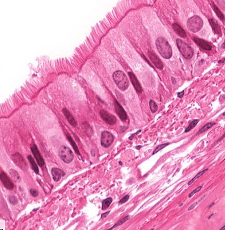
What makes pseudostratified columnar epithelium unique?
It appears to be stratified because the nuclei are in different parts of the cell.
What is the purpose of stratified squamous epithelium?
It provides protection from abrasion and is keratinized(when the cells flatten or die)
Compare and contrast simple cuboidal, simple columnar, and stratified cuboidal epithelium
A simple cuboidal is cubed with its nucleus in the middle of the cell.
A simple columnar is rectangular in shape with its nucleus at the bottom of the cell.
Stratified cuboidal is cubed shaped cells in multiple layers

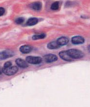
what type of cell is this?
stratified cuboidal

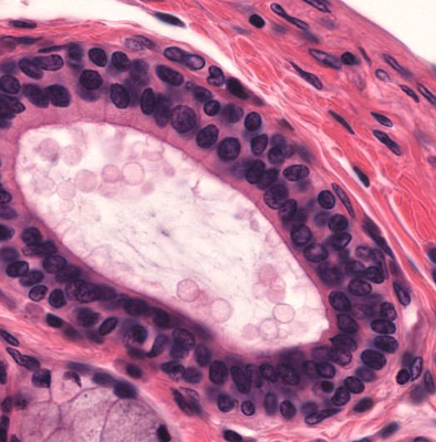
what type of cell is this?
stratified columnar

what type of cell is this?
stratified squamous

what type of cell is this?
pseudostratified
define elastic cartilage
provides elasticity
locations: ear
define fibrocartilage
-highly compressible
-location:makes cushion like discs between vertebrae
define dense connective tissue
-made of collagen fiber
-resists stretching
dense regular tissue
-fibers are parallel to each other
-contains elastic
-found in tendons and ligaments
-also found in folds between vertebrae
ligaments
attaches bone to bone
tendons
muscle to bone
dense irregular tissue
fiber direction is random
found in the dermis (lower layers of skin)
loose connective tissue
-softer
-have more cells
-fewer fibers than other connective tissues (other than blood)
areolar connective tissue
Most widely distributed connective tissue
Soft, pliable tissue like “cobwebs”
Functions as a universal packing tissue and “glue” to hold organs in place
Layer of areolar tissue called lamina propria underlies all membranes
All fiber types form a loose network
Can soak up excess fluid (causes edema)
adipose connective tissue
-insulates body
-protects some organs
-serves as fuel storage
-found in subcutaneous tissue beneath the skin
reticular connective tissue
-interwoven fibers
-forms stroma of organs
-locations:
-lymph nodes, spleen, bone marrow
blood (vascular tissue)
-surrounded by fluid matrix (blood plasma)
-soluble fibers visible only during clotting
-functions:transpot vehicle
-carries: nutrients wastes and respiratory glasses
lymph
liquid matrix and white blood cells
what type of cell is this?
simple cuboidal epithelium

what type of cell is this?

what type of cell is this?
simple squamous epithelium

where is reticular connective tissue located?
-lymph nodes
-spleen
-bone marrow
what does blood carry for the cardiovascular system?
-nutrients
-wastes
-respiratory gasses
adipose connective tissue functions
-insulates body
-protects organs
-fuel storage
adipose connective tissue locations
-subcutaneous tissue beneath the skin
-protects organs
-fat ‘depots’ include hips, breasts, and belly