1/92
2025 edit
Name | Mastery | Learn | Test | Matching | Spaced | Call with Kai |
|---|
No analytics yet
Send a link to your students to track their progress
Chloroplast
organelle found in cells of plants and some other organisms that captures the energy from sunlight and converts it into chemical energy

Photosynthesis
process by which plants and some other organisms use light energy to convert water and carbon dioxide into oxygen and high-energy carbohydrates such as sugars and starches

light-dependent reactions
part of photosynthesis that absorbs energy from sunlight and transfers energy to the light-independent reactions

Light Independent Reactions (Calvin Cycle)
set of reactions in photosynthesis that do not require light; energy from ATP and NADPH is used to build high-energy compounds such as sugar; also called the Calvin cycle

Glucose
A simple sugar that is an important source of energy.

Thylakoid
each of a number of flattened sacs inside a chloroplast, bounded by pigmented membranes on which the light reactions of photosynthesis take place, and arranged in stacks or grana.

grana (granum)
the stacks of thylakoids embedded in the stroma of a chloroplast.

Stroma
The fluid of the chloroplast surrounding the thylakoid membrane; involved in the synthesis of organic molecules from carbon dioxide and water.

Chemosynthesis
process in which chemical energy is used to produce carbohydrates

cellular respiration
Process that releases energy by breaking down glucose and other food molecules in the presence of oxygen

Mitochondria
An organelle found in large numbers in most cells, in which the biochemical processes of respiration and energy production occur.

ATP
(adenosine triphosphate) main energy source that cells use for most of their work

aerobic respiration
Respiration that requires oxygen
anaerobic respiration
Respiration that does not require oxygen
Glycolysis
A metabolic process that breaks down carbohydrates and sugars through a series of reactions to either pyruvic acid or lactic acid and release energy for the body in the form of ATP

lactic acid fermentation
the chemical breakdown of carbohydrates that produces lactic acid as the main end product

alcoholic fermentation
the anaerobic process by which yeasts and other microorganisms break down sugars to form carbon dioxide and ethanol

Photosynthesis equation
6CO2 + 6H2O + light energy --> C6H12O6 + 6O2
cellular respiration equation
C6H12O6 + 6O2 --> 6CO2 + 6H2O + ATP
Prokaryote
A unicellular organism that lacks a nucleus and membrane bound organelles

Eukaryote
A cell that contains a nucleus and membrane bound organelles

cell theory
idea that all living things are composed of cells, cells are the basic units of structure and function in living things, and new cells are produced from existing cells
Nucleus
A part of the cell containing DNA and RNA and responsible for growth and reproduction

Cell membrane (plasma membrane)
phospholipid bilayer that surrounds all cells and regulates what enters and leaves the cell

Ribosome
Makes proteins

Homeostasis
process by which organisms maintain a relatively stable internal environment
Diffusion
Movement of molecules from an area of higher concentration to an area of lower concentration.

facilitated diffusion
process of diffusion in which molecules pass across the membrane through cell membrane channels

Osmosis
Diffusion of water through a selectively permeable membrane

passive transport
the movement of substances across a cell membrane without the use of energy by the cell
active transport
the movement of ions or molecules across a cell membrane into a region of higher concentration requiring energy.

hypertonic solution
A solution in which the concentration of solutes is greater than that of the cell that resides in the solution that causes a cell to shrink

hypotonic solution
A solution in which the concentration of solutes is less than that of the cell that resides in the solution that causes a cell to swell

Isotonic
Describes a solution whose solute concentration is equal to the solute concentration inside a cell

Autotroph
An organism that makes its own food
Heterotroph
organism that obtains energy from the foods it consumes; also called a consumer
Macromolecules
A very large organic molecule composed of many smaller molecules
Monomer
small chemical unit that makes up a polymer

Polymer
A long molecule consisting of many similar or identical monomers linked together.

Carbohydrates
the starches and sugars present in foods

Protein
An organic compound that is made of one or more chains of amino acids and that is a principal component of all cells

amino acids
monomers of proteins
Lipids
Energy-rich organic compounds, such as fats, oils, and waxes, that are made of carbon, hydrogen, and oxygen.

nucleic acids
macromolecules containing hydrogen, oxygen, nitrogen, carbon, and phosphorus such as DNA and RNA

Nucleotide
monomer of nucleic acids made up of a 5-carbon sugar, a phosphate group, and a nitrogenous base

Enzymes
Proteins that speed up chemical reactions

catalyst
substance that speeds up the rate of a chemical reaction
activation energy
the minimum amount of energy required to start a chemical reaction

Denature
A change in the shape of a protein (such as an enzyme) that can be caused by changes in temperature or pH (among other things).

Biology
the scientific study of life
asexual reproduction
A reproductive process that involves only one parent and produces offspring that are identical to the parent.

sexual reproduction
A reproductive process that involves two parents that combine their genetic material to produce a new organism, which differs from both parents
cell cycle
series of events in which a cell grows, prepares for division, and divides to form two daughter cells

Interphase
Cell grows, performs its normal functions, and prepares for division; consists of G1, S, and G2 phases
Mitosis
cell division in which the nucleus divides into nuclei containing the same number of chromosomes

Chromosomes
threadlike structures made of DNA molecules that contain the genes

Prophase
first and longest phase of mitosis, during which the chromosomes become visible and the centrioles separate and take up positions on the opposite sides of the nucleus

Metaphase
second phase of mitosis, during which the chromosomes line up across the center of the cell

Anaphase
the third phase of mitosis, during which the chromosome pairs separate and move toward opposite poles

Telophase
the final phase of cell division, between anaphase and interphase, in which the chromatids or chromosomes move to opposite ends of the cell and two nuclei are formed.

Cytokinesis
division of the cytoplasm to form two separate daughter cells

somatic cells
body cells

food web
network of complex interactions formed by the feeding relationships among the various organisms in an ecosystem

food chain
A series of steps in which organisms transfer energy by eating and being eaten

energy pyramid
A diagram that shows the amount of energy that moves from one feeding level to another in a food web

Producer
An organism that can make its own food.

Consumer
An organism that obtains energy by feeding on other organisms

apex predator
the top predator in an ecosystem

Meiosis
A type of cell division that reduces the chromosome number by half, resulting in four genetically diverse gametes.

Gametes
Reproductive cells (sperm and eggs) that carry half the genetic information of an organism.

Diploid
A cell or organism that has two complete sets of chromosomes, one from each parent.

Haploid
A cell or organism that has only one set of chromosomes, typical of gametes.

Crossing Over
The exchange of genetic material between homologous chromosomes during prophase I of meiosis.

Independent Assortment
The random distribution of maternal and paternal chromosomes into gametes during meiosis.

Prophase I
The first stage of meiosis where homologous chromosomes pair up and crossing over occurs.

Metaphase I
The stage of meiosis where homologous chromosome pairs align at the cell's equatorial plane.

Anaphase I
The phase in meiosis where homologous chromosomes are pulled apart to opposite poles of the cell.

Telophase I
The stage of meiosis that follows anaphase I, where the cell divides into two haploid cells.

Meiosis II
The second division of meiosis that separates sister chromatids, resulting in four haploid cells.

Nondisjunction
An error in meiosis where chromosomes fail to separate properly, leading to gametes with abnormal chromosome numbers.

Genetic Variation
The diversity in gene frequencies, which is increased through processes like crossing over and independent assortment during meiosis.

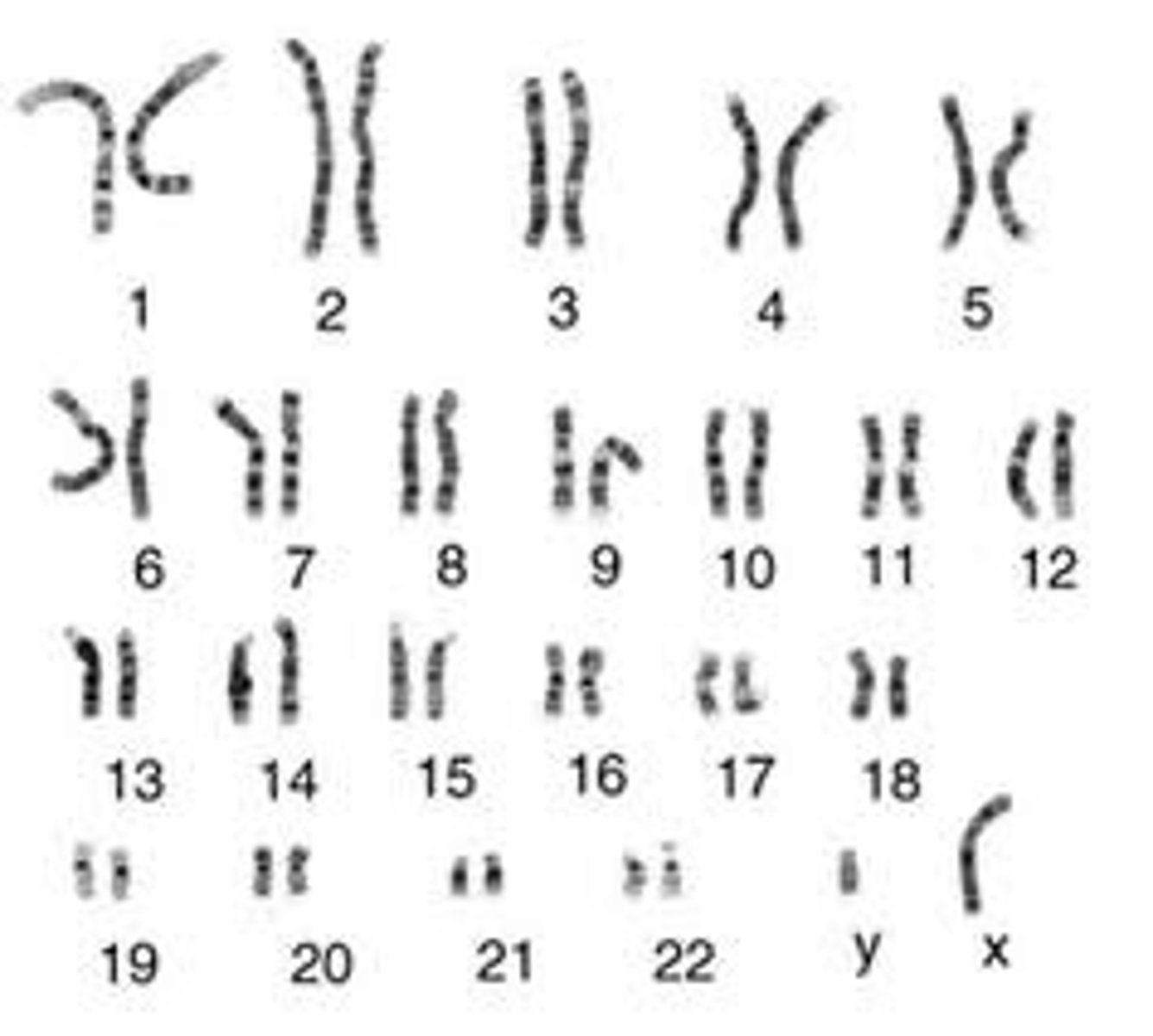
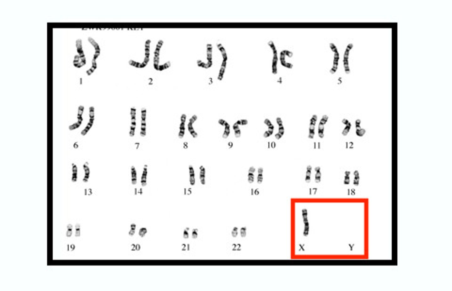
Karyotype
A visual representation of an individual's complete set of chromosomes, arranged in pairs according to size and shape.

Chromosome
A thread-like structure made of DNA and proteins, carrying genetic information.

Autosome
Any chromosome that is not a sex chromosome, typically present in pairs in both sexes.

sex chromosomes
Chromosomes that determine the sex of an individual, typically X and Y in humans. Pair 23 in a karyotype

Trisomy
A genetic condition where an individual has three copies of a particular chromosome instead of the usual two.

Monosomy
A genetic condition where an individual has only one copy of a particular chromosome instead of the usual two.

cell wall
A rigid outer layer found in plant cells, fungi, and some bacteria that provides structural support and protection.
Golgi Apparatus
A cellular structure responsible for modifying, sorting, and packaging proteins and lipids for secretion or delivery to other organelles.
Endoplasmic Reticulum
A network of membranes in the cytoplasm that synthesizes proteins and lipids, often divided into rough and smooth sections.
Ribosomes
Cellular structures that synthesize proteins by translating messenger RNA. They can be found free in the cytoplasm or attached to the endoplasmic reticulum.
Centrioles
Structures that assist in cell division by organizing the mitotic spindle and helping in the formation of cilia and flagella.
Vacuole
A membrane-bound organelle found in plant and fungal cells that stores nutrients, waste products, and helps maintain turgor pressure.