1/60
Looks like no tags are added yet.
Name | Mastery | Learn | Test | Matching | Spaced | Call with Kai |
|---|
No analytics yet
Send a link to your students to track their progress

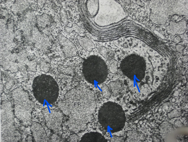
Golgi Apparatus

Secretary Vesicles

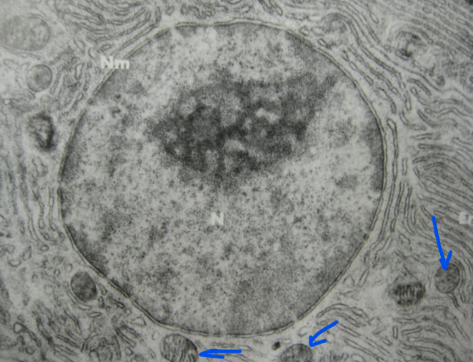
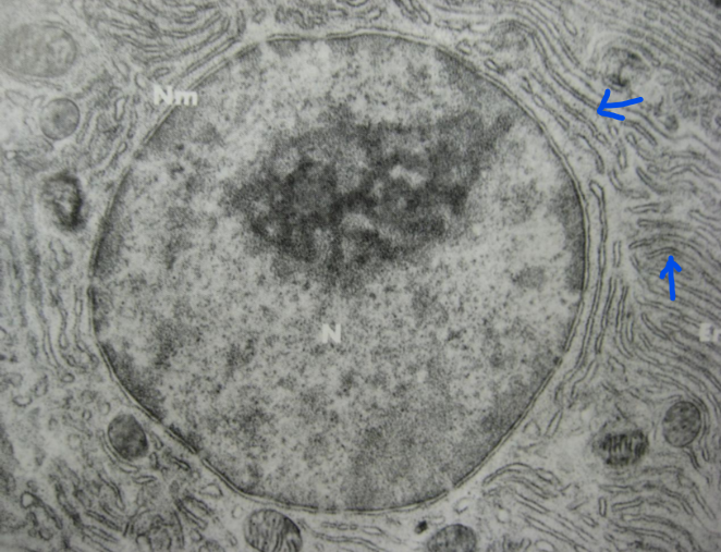
Nucleus

Lipid Inclusion

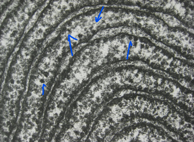
Rough Endoplasmic Reticulum

Centrioles

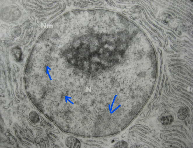
Chromatin

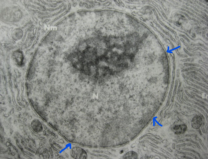
Nuclear Pore

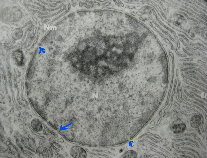
Nuclear Envelope

Nucleolus

Mitochondria

Smooth Endoplasmic Reticulum

Ribosomes

Lysosome

Nucleus

Mitochondria

Nuclear Pore

Chromatin

Nucleolus

Nuclear Envelope

Rough Endoplasmic Reticulum

Mitochondria

Rough Endoplasmic Reticulum

Smooth Endoplasmic Reticulum

Mitochondrion

Crista

Rough Endoplasmic Reticulum

Ribosomes

Rough Endoplasmic Reticulum

Ribosomes

Golgi Apparatus

Trans Face

Cis Face

Mitochondria

Crista

Free Ribosomes

Free Ribosomes

Lysosome

Mitochondria

Golgi Apparatus

Trans Face

Cis Face

Secretory Vesicles

Golgi Apparatus

Trans Face

Cis Face

Glycogen Inclusion

Smooth Endoplasmic Reticulum

Centriole

Centriole

Microtubule

Microtubule

Microvilli
Plasma membrane folding creates what?
Microvilli

Desmosome

Plasma Membrane of Cell #1, #2, and #3

Intermediate Filaments

Extracellular Space

Desmosome

Plasma Membrane of Cell #1 and #2

Peroxisome