1/55
Looks like no tags are added yet.
Name | Mastery | Learn | Test | Matching | Spaced | Call with Kai |
|---|
No analytics yet
Send a link to your students to track their progress
tyreotoksykoza

OBJAWY TYREOTOKSYKOZY

NIEDOCZYNNOŚĆ TARCZYCY

objawy niedoczynności tarczycy

WRODZONY ZESPÓŁ NIEDOBORU JODU

najważniejsze klinicznie thyroiditis

Stanowi najczęstszą przyczynę niedoczynności tarczycy w rejonach świata, gdzie jod jest dostępny na
wystarczającym poziomie
Przewlekłe limfocytowe zapalenie tarczycy (Hashimoto)

patogeneza hasmioto
Związana jest z IV typem nadwrażliwości

hashimoto morfologia
Makroskopowo
Tarczyca równomiernie i symetrycznie powiększona, w dotyku twarda i krucha
Powierzchnia przekroju gruczołu jest blada i szarobrązowa
Mikroskopowo
Równomierny rozrost tkanki śródmiąższowej tarczycy
Rozlany naciek miąższu przez komórki zapalne (limfocyty, komórki plazmatyczne) oraz grudki
chłonne z ogniskami rozmnażania
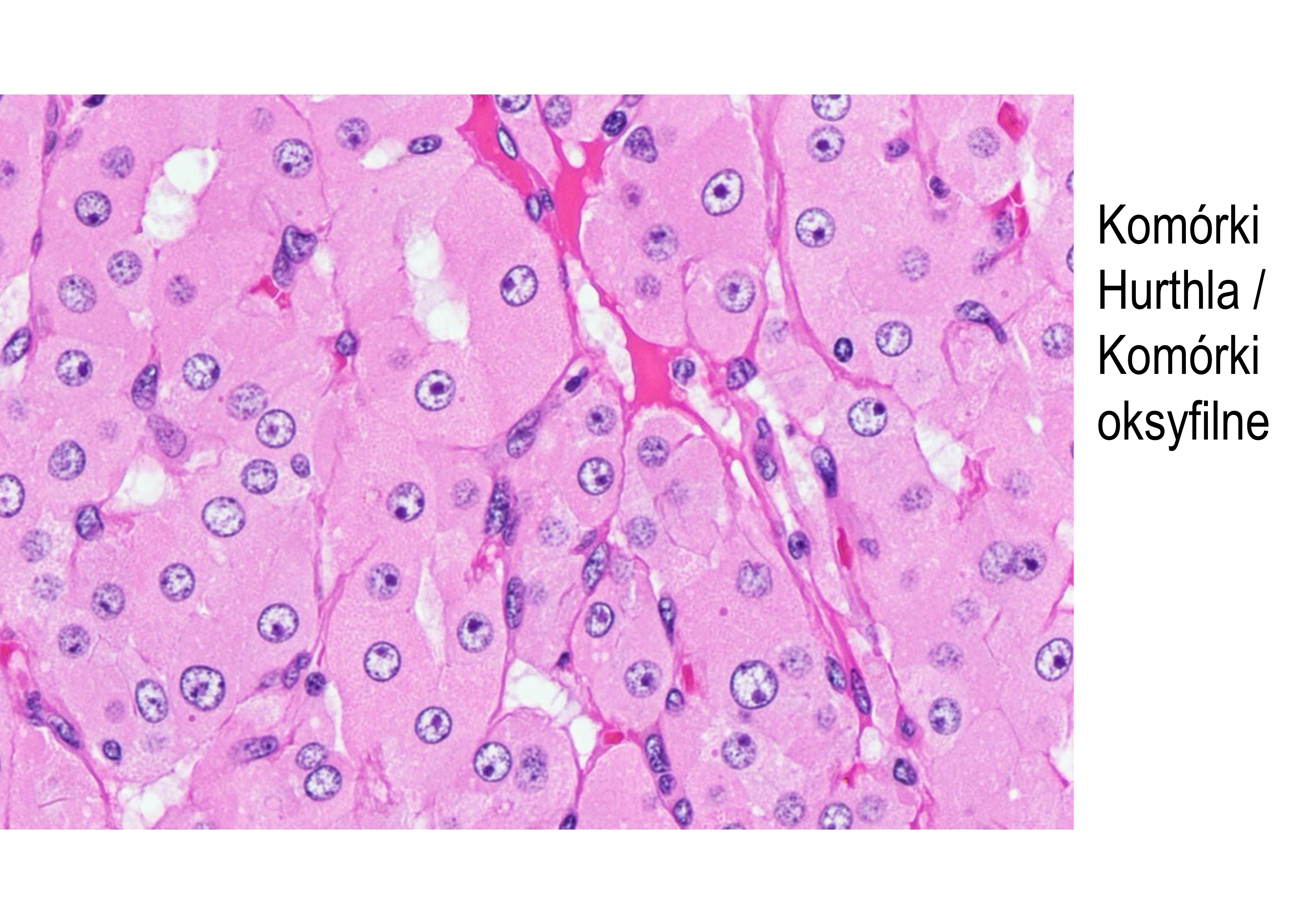
Pęcherzyki tarczycowe atroficzne i wyścielone przez komórki Hürthle’a (komórki oksyfilne).
Są to komórki nabłonkowe o obfitej, kwasochłonnej i ziarnistej cytoplazmie oraz wydatnych
mitochondriach. Stanowią metaplastyczną odpowiedź adaptacyjną na uszkodzenie
prawidłowego sześciennego nabłonka pęcherzyków.
Rzadko może dochodzić do pomniejszenia narządu w wyniku nasilonego włóknienia

hashimoto objawy kliniczne
Tarczyca powiększona, niebolesna i o zaburzonej czynności (niedoczynność). Choroba może być
poprzedzona przejściową tyreotoksykozą wskutek pękania pęcherzyków tarczycy i nadmiernego
uwalniania się z nich hormonów. Zwiększa się stężenie T3 i T4 oraz zmniejszenia ilości TSH. U pacjentów
z chorobą Hashimoto często współwystępują inne zaburzenia autoimmunologiczne oraz zwiększa się
ryzyko wystąpienia chłoniaka nieziarniczego z limfocytów B i raka brodawkowatego tarczycy

u pacjentów z Hashimoto jest większe ryzyko jakich nowotworów
chłoniak nieziarniczy z limfocytów B
rak brodawkowaty tarczycy

PODOSTRE ZIARNINIAKOWE ZAPALENIE
TARCZYCY (CHOROBA DE QUERVAINA) patogeneza

PODOSTRE ZIARNINIAKOWE ZAPALENIE
TARCZYCY (CHOROBA DE QUERVAINA) morfologia

CHOROBY TARCZYCY PRZEBIEGAJĄCE Z
OBECNOŚCIĄ KOMÓREK OLBRZYMICH

Choroba de Quervaina przebieg kliniczny

PODOSTRE LIMFOCYTOWE ZAPALENIE TARCZYCY

PODOSTRE LIMFOCYTOWE ZAPALENIE TARCZYCY morfologia

PODOSTRE LIMFOCYTOWE ZAPALENIE TARCZYCY przebieg kliniczny

INFEKCYJNE ZAPALENIE TARCZYCY

choroba Riedla zależna od jakich przeciwciał

INWAZYJNIE WŁÓKNIEJĄCE ZAPALENIE TARCZYCY,
WOLE DREWNOWATE, CHOROBA RIEDLA

najczęstszą przyczyną endogennej
nadczynności tarczycy jest

Graves triada objawów klinicznych

choroba Gravesa patogeneza

naciekowa oftalmopatia w chorobie gravesa

choroba Gravesa makroskopowo

choroba gravesa mikroskopowo

wole

wole podział

wole guzkowe

NOWOTWORY PIERWOTNE TARCZYCY

jakie guzki tarczycy będą bardziej podejrzane

GRUCZOLAK TARCZYCY
• pojedynczy
• sferyczny
• otorebkowany i dobrze odgraniczony
• po przekrojeniu uwypukla się
• uciska przyległy miąższ
• barwa szaro-biała do brązowo-czerwonej
• większość gruczolaków jest nieczynna hormonalnie
nieliczne –
”toxic adenoma” nie wrażliwe na TSH mogą
powodowac nadczynność
Rozpoznanie gruczolaka można postawić
tylko na podstawie dokładnego
badania histologicznego usuniętej zmiany (!)

RAKI TARCZYCY

RAKI TARCZYCY patogeneza

rak brodawkowaty tarczycy

rak brodawkowaty tarczycy cechy mikroskopijne
jądra przypominające ziarna kawy (groves)
puste jąda (oczy sieroty Ani)
inkluzje jądrowe
ciałka piaszczkowate
RAK PĘCHERZYKOWY tarczycy

rak rdzeniasty tarczycy

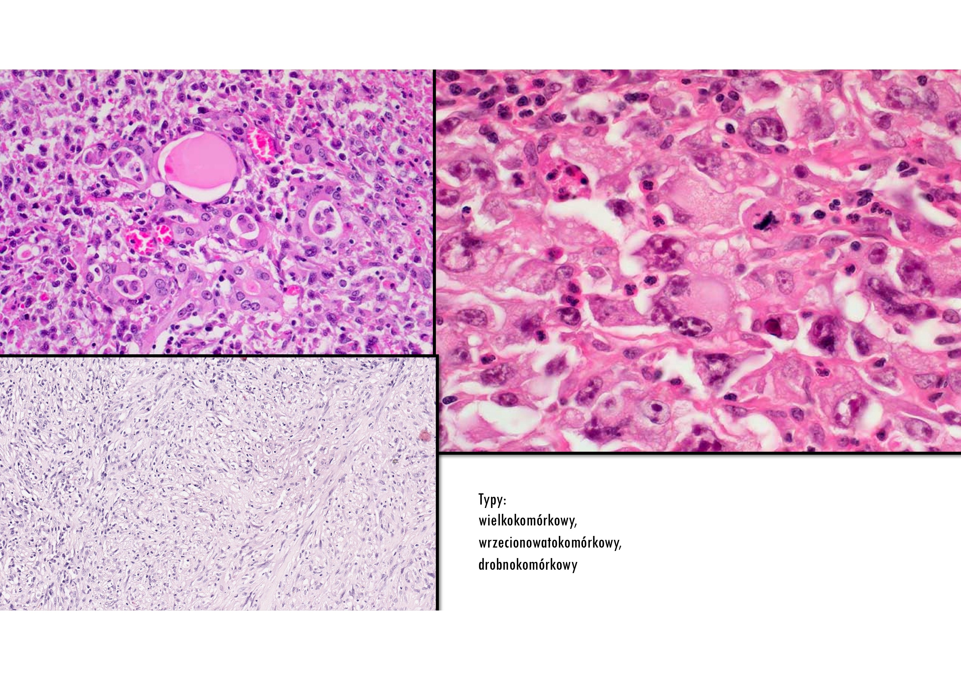
rak anaplastyczny tarczycy

rak anaplastyczny tarczycy typy

klasyfikacja bethesda 2023

NADCZYNNOŚĆ PRZYTARCZYC

NADCZYNNOŚĆ PIERWOTNA jakie przyczyny nadjczescie

OBJAWY NADCZYNNOŚCI przytarczyc - HIPERKALCEMI

GRUCZOLAK PRZYTARCZYCY

rak przytarczyc

NIEDOCZYNNOŚĆ PRZYTARCZYC

OBJAWY NIEDOCZYNNOŚCI przytarczyc

NADCZYNNOŚĆ KORY NADNERCZY

zespół cushinga vs choroba cushinga

przyczyny zespołu cushinga
Zespół spowodowany jest każdą przyczyną, która prowadzi do
podwyższonego poziomu glikokortykoidów.
v EGZOGENNA PRZYCZYNA
Najczęstszą przyczyną w praktyce klinicznej jest egzogenne podawanie glukokortykoidów
v ENDOGENNE PRZYCZYNY
Pierwotne choroby podwzgórza - przysadki związane z nadmiernym uwalnianiem ACTH (choroba Cushinga) (5 x częściej kobiety) (70%)
Nadprodukcja kortyzolu przez gruczolaka, raka, guzkową hiperplazję kory nadnerczy (rzadko) (20%)
Ektopowa produkcja ACTH/ CRH (drobnokomórkowy rak płuc, rakowiak, rak rdzeniasty tarczycy) (10%

OBJAWY ZESPOŁU CUSHINGA

GRUCZOLAK KORY
NADNERCZY (ADENOMA)

RAK NADNERCZY
