1/17
Looks like no tags are added yet.
Name | Mastery | Learn | Test | Matching | Spaced | Call with Kai |
|---|
No analytics yet
Send a link to your students to track their progress
how many stages of calculus scoring?
-four
calculus - 0
-no observable calculus
calculus - 1
-scattered calculus covering less than 1/3 of the buccal tooth surface
calculus - 2
-covering between 1/3 and 2/3 of the buccal tooth surface
-minimal subgingival deposi
calculus - 3
-covers more than 2/3 buccal tooth surface
-extends subgingivally

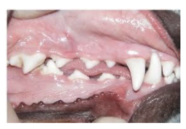
C0

C1

C2

C3
how many stages are in gingival scoring?
-four
gingival score - 0
-normal, healthy
-sharp non-inflammed margins
gingival score - 1
-marginal gingivitis
-min infla, edema @ free gingiva
gingival score - 2
-mod gingivitis
-wide band of infla
gingival score - 3
-advanced gingi
-inflammation, ulceration to mucogingival junction

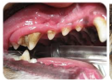
G0

G1

G2

G3