1/28
Looks like no tags are added yet.
Name | Mastery | Learn | Test | Matching | Spaced | Call with Kai |
|---|
No analytics yet
Send a link to your students to track their progress

Whats this
Serous cystadenoma

Whats this
Serous cystadenoma

Whats this
Serous cystadenoma

Whats this
Borderline serous tumor

Whats this
Serous cystadenocarcinoma

Whats this
Serous cystadenocarcinoma

Whats this
Borderline serous cystadenoma

Whats this
Serous cystadenocarcinoma (see papillary structure invading the cyst)

Whats this
Mucinous cystadenoma

Whats this
Mucinous cystadenoma

whats this
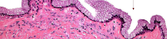
Mucinous cystadenoma (mucin secreting simple columnar epithelium with connective tissue stroma)

Whats this
Mucinous cystadenoma

Whats this
Endometrioid carcinoma of the ovary (see tubular glands like the endometrium)

Whats this
Endometrioid carcinoma of the ovary, see tubular glands like in endometrium

Whats this
Brennar tumor (benign)

Whats this
Brennar tumor (benign)

Whats this
Brennar tumor (benign) nests of transitional-like epithelium

whats this
immature teratoma

Whats this
Dysgerminoma

Whats this
Yolk sac tumor

Whats this
Granulosa cell tumor, Call-Exner bodies

Whats this
Granulosa cell tumor in sheets

Whats this
Thecoma-fibroma

whats this
Thecoma-fibroma

Whats this
Thecoma-fibroma

Whats this
Sertoli cell tumor of the ovary

Whats this?
Sertoli cell tumor of the ovary, pink are sertoli cells

Whats this
Metastatic ovary cancer (bilateral)

What’s this
Krukenburg/Signet ring cells from GIT tumor metastasis to ovary