1/123
Prelims to midterm (SOURCE: CDC) | jcc
Name | Mastery | Learn | Test | Matching | Spaced | Call with Kai |
|---|
No analytics yet
Send a link to your students to track their progress

Entamoeba histolytica/ Entamoeba dispar
CYST
chromatoid bodies with blunt, rounded ends (arrow)

Entamoeba histolytica/ Entamoeba dispar
CYST
chromatoid body with blunt, rounded ends (arrow).

Entamoeba histolytica/ Entamoeba dispar
CYST
3 nuclei visible, chromatoid body present

Entamoeba histolytica/ Entamoeba dispar
IMMATURE CYST
cyst has large vacuoles and the chromatin around the nucleus is clumpy.

Entamoeba histolytica/ Entamoeba dispar
TROPHOZOITE
DFS, Iodine

Entamoeba histolytica/ Entamoeba dispar
TROPHOZOITE
DFS, Iodine

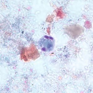
Entamoeba histolytica
TROPHOZOITE
with ingested erythrocytes (dark inclusions)

Entamoeba histolytica
TROPHOZOITE
with ingested erythrocytes (arrow), DIC microscopy

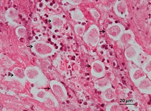
Entamoeba histolytica
TROPHOZOITE
rectal biopsy

Endolimax nana
CYST
Iodine stained, nuclei visible

Endolimax nana
CYST
unstained, nuclei not visible

Endolimax nana
CYST
trichrome stained

Endolimax nana
CYST
trichrome stained

Endolimax nana
TROPHOZOITE
trichrome

Endolimax nana
TROPHOZOITE
trichrome

Endolimax nana
TROPHOZOITE
trichrome

Entamoeba coli
CYST
unstained. six nuclei visible

Entamoeba coli
CYST
iodine stained, seven nuclei visible

Entamoeba coli
CYST
iodine stained, five nuclei visible

Entamoeba coli
CYST
chromatoidal body visible


Entamoeba coli
IMMATURE CYST
two nuclei visible, large glycogen vacuole

Entamoeba coli
TROPHOZOITE
trichrome

Entamoeba coli
TROPHOZOITE
trichrome

Entamoeba coli
TROPHOZOITE
trichrome

Entamoeba coli
TROPHOZOITE
trichrome

Entamoeba hartmanni
CYST
Iodine

Entamoeba hartmanni
CYST
trichrome

Entamoeba hartmanni
CYST
trichrome

Entamoeba hartmanni
TROPHOZOITE
trichrome

Entamoeba hartmanni
TROPHOZOITE
trichrome

Entamoeba hartmanni
TROPHOZOITE
trichrome

Entamoeba polecki
CYST
Iodine, numerous chromatoid bodies (arrows)

Entamoeba polecki
CYST
trichrome, large nucleus with a pleomorphic karyosome
numerous chromatoid bodies

Entamoeba polecki
TROPHOZOITE
trichrome

Entamoeba polecki
TROPHOZOITE
trichrome

Iodamoeba butschlii
CYST
unstained, glycogen vacuole seen

Iodamoeba butschlii
CYST
Iodine stained, glycogen vacuole seen as a dark-staining mass

Iodamoeba butschlii
CYST
trichrome stained, nucleus and large vacuole seen

Iodamoeba butschlii
TROPHOZOITE
trichrome,

Entamoeba gingivalis
TROPHOZOITE

Entamoeba gingivalis
TROPHOZOITE

Naegleria fowleri
CYST

Naegleria fowleri
AMEBOFLAGELLATE TROPHOZOITE

Naegleria fowleri
TROPHOZOITE

Acanthamoeba spp.
CYST

Acanthamoeba spp.
CYST
brain tissue

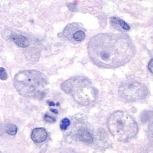
Acanthamoeba spp.
TROPHOZOITE

Acanthamoeba spp.
TROPHOZOITE

Acanthamoeba spp.
TROPHOZOITE
corneal scraping

Balantidium coli
CYST

Balantidium coli
TROPHOZOITE
visible cilia

Balantidium coli
TROPHOZOITE
cytostome (black arrow)

Balantidium coli
TROPHOZOITE
cytostome (arrow), cilia (darts)

Giardia duodenalis
CYST
iodine

Giardia duodenalis
CYST
iodine

Giardia duodenalis
CYST
trichrome

Giardia duodenalis
TROPHOZOITE
Iodine, wet mount

Giardia duodenalis
TROPHOZOITE
geimsa

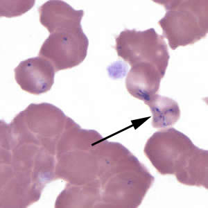
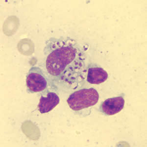
Babesia spp.
TETRAD

Babesia spp.
TETRAD, AMEBOID TROPHOZOITE

Babesia spp.
TETRAD
PAIRS ALIGNED

Babesia spp.
EXTRACELLULAR FORM
indicative of Babesia

Babesia spp.
RING, TETRAD
vacuole

Leishmania spp.
AMASTIGOTES

Leishmania spp.
AMASTIGOTES

Leishmania spp.
PROMASTIGOTES

Trypanosoma cruzi
AMASTIGOTES
heart tissue

Trypanosoma cruzi
TRYPOMASTIGOTE
CSF sample

Trypanosoma cruzi
EPIMASTIGOTE
kinetoplast anterior to the nucleus

Trypanosoma cruzi
TRYPOMASTIGOTE

Trypanosoma cruzi
TRYPOMASTIGOTE
typical C-shape of the trypomastigote that characterizes T. cruzi in fixed blood smears

Trypanosoma brucei subsp.
TRYPOMASTIGOTE

Trypanosoma brucei subsp.
TRYPOMASTIGOTE

Trypanosoma brucei subsp.
TRYPOMASTIGOTE

Trypanosoma brucei subsp.
TRYPOMASTIGOTE
beginning to divide
dividing forms are seen in African trypanosomes, but not in American trypanosomes

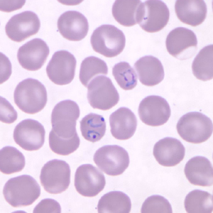
Plasmodium falciparum
RINGS

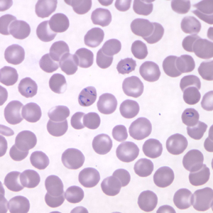
Plasmodium falciparum
RINGS
exhibiting Maurer's clefts

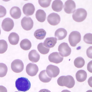
Plasmodium falciparum
TROPHOZOITES

Plasmodium falciparum
TROPHOZOITES

Plasmodium falciparum
GAMETOCYTES

Plasmodium falciparum
GAMETOCYTES

Plasmodium falciparum
GAMETOCYTES
The gametocyte in the upper right is undergoing exflagellation, a process that normally occurs in the mid-gut of the mosquito host.

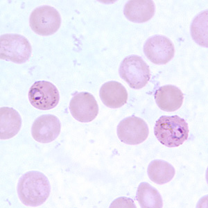
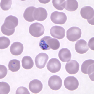
Plasmodium falciparum
SCHIZONTS
Trophozoites are also seen

Plasmodium falciparum
SCHIZONTS

Plasmodium knowlesi
RINGS
RBC multiply-infected

Plasmodium knowlesi
RINGS
RBC multiply-infected

Plasmodium knowlesi
TROPHOZOITES

Plasmodium knowlesi
TROPHOZOITES, RING

Plasmodium knowlesi
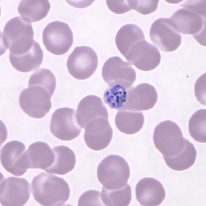
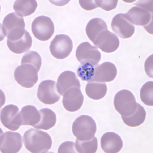
GAMETOCYTES

Plasmodium knowlesi
GAMETOCYTES

Plasmodium knowlesi
SCHIZONTS

Plasmodium knowlesi
SCHIZONTS

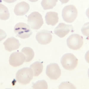
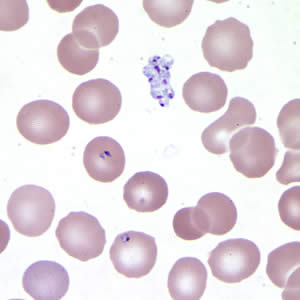
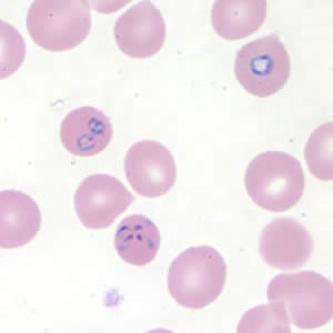
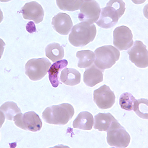
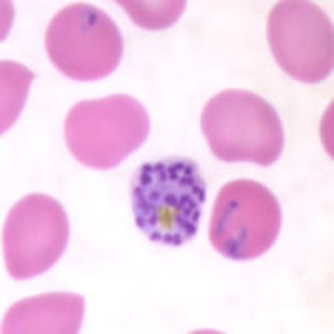
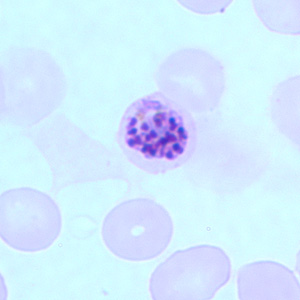
Plasmodium malariae
RING FORM TROPHOZOITE
Birds-eye

Plasmodium malariae
RING FORM TROPHOZOITE

Plasmodium malariae
DEVELOPING TROPHOZOITE

Plasmodium malariae
MATURE TROPHOZOITE/ BAND FORM

Plasmodium malariae
MATURE TROPHOZOITE/ BASKET FORM

Plasmodium malariae
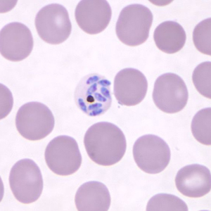
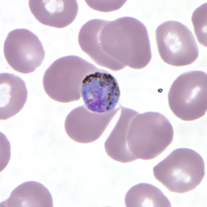
GAMETOCYTES

Plasmodium malariae
GAMETOCYTES

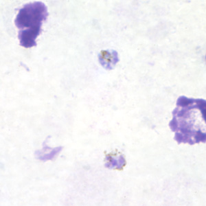
Plasmodium malariae
SCHIZONTS
rosette cluster