1/99
Looks like no tags are added yet.
Name | Mastery | Learn | Test | Matching | Spaced | Call with Kai |
|---|
No analytics yet
Send a link to your students to track their progress
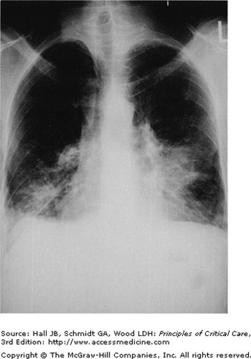
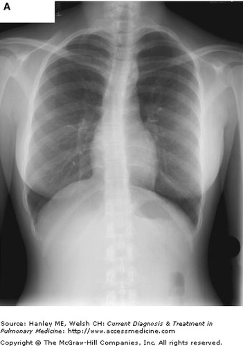
A 24-year-old female HIV-positive patient, who is not currently on medication, presents to the emergency department with acute dyspnea, tachycardia, fever, nonproductive cough, and a room air oxygen saturation of 92%. She admits feeling poorly for the past five days. A physical exam reveals bilateral basilar crackles. An x-ray reveals the image shown. What is the most likely causative organism of this clinical picture?
A
Chlamydia psittaci
B
Histoplasmosis
C
Klebsiella pneumoniae
D
Pneumocystis jiroveci
E
Streptoccocus pneumoniae
The correct answer is (D).
Pneumocystis is an opportunistic fungal infection of immunocompromised patients, most frequently seen in patients with untreated HIV/AIDS. Patients often present with fever, dyspnea, a nonproductive cough, decreased arterial oxygen pressure, and tachycardia. Lung auscultation may reveal adventitious sounds, but may also be without abnormality. Chest x-ray results classically include bilateral diffuse infiltrates with perihilar involvement. Although the other etiologies are associated with pneumonia, and may be seen in immunocompromised patients, pneumocystis pneumonia occurs in up to 80% of untreated HIV patients and is a leading cause of death.

A 61-year-old male presents with acute onset dyspnea, cough with thick, blood tinged sputum, and fever. He is a known, longstanding alcoholic and has Type II Diabetes, for which he takes no medication. A chest x-ray reveals a right upper lobe infiltrate with early fibrotic changes. Which of the following is an appropriate first-line medication(s) for the most likely etiologic organism?
A
Macrolide
B
Doxycycline
C
Second generation cephalosporin
D
Beta-lactam plus fluoroquinolone
E
Fluoroquinolone
The Correct Answer is: E
Klebsiella pneumoniae, a gram negative bacteria, is associated with pneumonia in immunocompromised patients, especially alcoholics. Community-acquired pneumonia due to Klebsiellae is associated with a broad range of presentations. This may range from mild acute bronchitis or bronchopneumonia to acute onset of high fevers, chills, and cough with blood tinged, thick sputum (often referred to as "currant jelly sputum"), and aggressive chest x-ray findings, such as cavitation and empyema. Community-acquired pneumonia empiric treatment is based upon the likely causative organisms within patient subsets. This includes appropriate selections for individuals able to be handled as outpatients, but with significant past medical history and risk factors for drug-resistant bacteria, such as alcoholism. The guidelines currently indicate that these patients should be treated with a beta-lactam plus a macrolide or doxycycline, or a fluoroquinolone, or amoxillin-clavulanate.
Which of the following is a major contraindication for surgical resection of a lung carcinoma?
A
Chest wall invasion
B
Non-malignant pleural effusion
C
Superior vena cava syndrome
D
Unilateral endobronchial tumor
E
Vagus nerve involvement
The Correct Answer is: C
Surgical resection of lung carcinoma is contraindicated in cases of superior vena cava syndrome, extrathoracic metastases, heart, pericardial or great vessel involvement, recurrent laryngeal or phrenic nerve involvement, esophageal or carina involvement, malignant effusion, or contralateral mediastinal lymph nodes. Other contraindications are patient and staging dependent.
A 36 year-old woman with no significant past medical history presents with gradual onset of dyspnea and fatigue leading to an episode of "fainting" this morning. Physical exam reveals increased jugular venous pressure, weak carotid pulses, clear lungs, and a loud S2. What is the most likely diagnosis?
A
Aortic stenosis
B
Cardiac tamponade
C
Mitral Regurgitation
D
Pulmonary fibrosis
E
Pulmonary hypertension
The Correct Answer is: E
The patients symptoms are due to decreased cardiac output resulting from decreased preload associated with pulmonary hypertension (E). Aortic stenosis (A) presents more commonly in geriatric patients who present with a murmur. Cardiac tamponade (B) can decrease cardiac output, but would lead to decreased heart sounds. Mitral regurgitation (C) would cause pulmonary edema and rales in conjunction with increased jugular venous pressure. Pulmonary fibrosis (E) is unlikely in this patient with normal lung sounds.
A 17 year-old male is training for an Ironman triathlon and notes excessive coughing, chest tightness and wheezing when running. Which of the following is the most appropriate treatments for this patient?
A
Albuterol
B
Cromolyn
C
Fluticasone
D
Ipratropium bromide
E
Salmeterol
The Correct Answer is: E
The mainstay of treatment for exercise-induced asthma are beta-2 agonists. Due to the duration of physical activity this patient should be treated with a long-acting beta-2 agonist, salmeterol (E) instead of albuterol (A). If his symptoms are persistent then addition of a daily inhaled corticosteroid (C) is required, and daily ICS should be added if his use of salmeterol is frequent to avoid asthma-related death associated with the lone use of long-acting beta-agonists. Cromolyn (B) is an additional treatment options for exercise-induced bronchospasm, but is less commonly used compared to beta-2 agonists.
A 43 year-old woman undergoes pulmonary function tests (PFTS) to evaluate progressive dyspnea and cough. The diffusion capacity is noted to be significant reduced. What is the most likely type of lung disease this patient is experiencing?
A
Congenital
B
Interstitial
C
Obstructive
D
Restrictive
E
Fixed extra-thoracic obstruction
The Correct Answer is: B
Diffusion capacity is reduced in conditions that effect alveolar gas exchange such as, interstitial lung disease (B), atelectasis, pneumonia pulmonary vasculature disease, and late stage emphysema (due to destruction of alveoli, not obstructive lung disease).
A 2-year-old male presents with a 10-day history of fever, cough, and decreased appetite and fluid intake. He is normally healthy. On examination, the child appears ill, has a temperature of 102.2 0 F, a pulse rate of 122, and a respiratory rate of 36. On auscultation of the lungs there are rhonchi heard on the right lung fields, as well as a small amount of wheeze. A chest x-ray is ordered, which reveals the presence of pneumatoceles. Based on these findings, what is the most likely pathogen causing this patient's infection?
A
Streptococcus pneumoniae
B
Hemophilus influenza
C
Staphylococcal aureus
D
Pseudomonas aeurginosa
E
Chlamydia pneumoniae
The Correct Answer is: C
Pneumatoceles, pyopneumothorax, and empyemas are frequently encountered in pediatric Staphylococcal aureus pneumonias.
A 48-year-old male presents with an 8-day history of productive cough, subjective fevers, and malaise. He is otherwise healthy without any active medical problems. He is a social drinker of alcohol, and denies any tobacco or drug use. On physical examination, the patient is alert and oriented. His temperature is 100.4 0 F, pulse rate is 56, respiratory rate is 18, and blood pressure is 133/64. HEENT is within normal limits and a chest exam has diffuse expiratory wheeze with decreased sounds to the right lower lung fields. Blood labs reveal WBC 14.4, Hgb 11.3, Plt 233, ALT 65, AST 102, and PO 4 2.1. A chest x-ray reveals a dense consolidation with bulging fissures. Based on these findings, what is the most likely pathogen affecting this patient?
A
Klebsiella pneumoniae
B
Legionella pneumophila
C
Pseudomonas aeurginosa
D
Mycoplasma pneumoniae
E
Streptococcus pneumoniae
The Correct Answer is: B
Dense consolidation with bulging fissures is pneumonia consistent with Legionella pneumophila. Pleural effusions may also occur, as well as nodular irregularities in the immunocompromised host.
A 3 year-old boy is brought to the emergency department due to acute onset of cough and wheezing. Physical exam reveals focal wheezing in the right lower lobe. Which of the following should be ordered to confirm the suspected diagnosis?
A
Arterial blood gas
B
Inspiratory and forced expiratory chest x-rays
C
PA and lateral chest x-ray
D
Peak expiratory flow rate
E
Spirometry
The Correct Answer is: B
The patient most likely has aspirated a foreign body. This is best evaluated through the demonstration of inspiratory localized hyperinflation and expiratory mediastinal shift (B) on chest x-ray. ABG (A) results will vary depending on the severity of airway obstruction. PA and lateral chest x-rays (C) are typically normal. PEFR (D) and Spirometry (E) are not typically able to accurately assess this localized airway obstruction.
What is the most serious complication of the influenza B virus?
A
Multi-lobar pneumonia
B
Encephalitis
C
Reye's syndrome
D
Renal failure
E
Hepatitis
The Correct Answer is: C
Reye's syndrome, while rare, is a very serious complication related to influenza B virus infections. There is a 30% mortality rate, which primarily affects the pediatric population. Hepatic failure and encephalopathy are events that occur in this fatal disease.
A patient with HIV positive status, a CD4 count of 277/mcL, and is on chronic HIV medication therapy is diagnosed with pneumonia. What is the most common pathogen that would result in pneumonia for this patient?
A
Pneumocystosis jiroveci
B
Streptococcus pneumoniae
C
Pseudomonas aeurginosa
D
Klebsiella pneumoniae
E
Hemophilus influenzae
The Correct Answer is: B
Due to the tight control of most of the HIV population, the most common pathogen is actually the most common community-acquired pathogen in the United States, Streptococcus pneumoniae. When the patient has lower CD4 counts and higher viral loads they are more susceptible to pathogens such as pneumocystosis jiroveci.
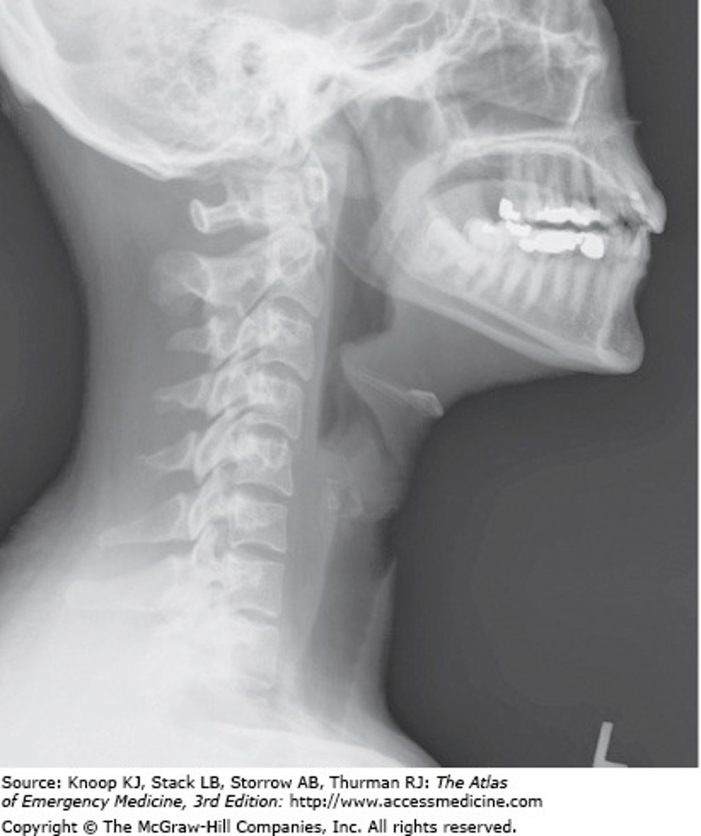
A soft tissue neck x-ray of a patient who complains of a progressively worsening sore throat reveals this lateral film (see image). Based on these findings, what is the initial treatment of choice for this patient?
A
Endotracheal intubation
B
Intravenous steroids
C
Ribovirin injection
D
Incision and drainage
E
Cricoidotomy
The Correct Answer is: B
This case of acute epiglottitis is treated with immediate intravenous steroids. Provided that the patient is able to maintain the airway and also keep oxygen saturation rates above 92%, the patient can improve with steroids and supportive care. Antiviral medications have little effect on the overall illness.

A 17 year-old male notes acute onset of dyspnea, excessive non-productive coughing, "wheezing" and upper chest tightness when running. Symptoms usually resolve in a few minutes and he is able to resume running. He is prescribed albuterol with no improvement. Which of the following is the most likely diagnosis in the patient?
A
Angioedema
B
Bronchiectasis
C
Cystic fibrosis
D
GERD
E
Vocal Cord Dysfunction
The Correct Answer is: E
Vocal cord dysfunction (E) is commonly misdiagnosed as asthma or is a comorbidity in patients with asthma. The history of acute onset and rapid disappearance of symptoms is consistent with vocal cord dysfunction, and not typical of cystic fibrosis (C), or GERD (D). The presence of urticarial or swelling of the face or lips would support the life-threatening diagnosis of angioedema (A). Bronchiectasis (B) typically presents with a chronic productive cough and additional pulmonary symptoms based on the underlying cause and severity.
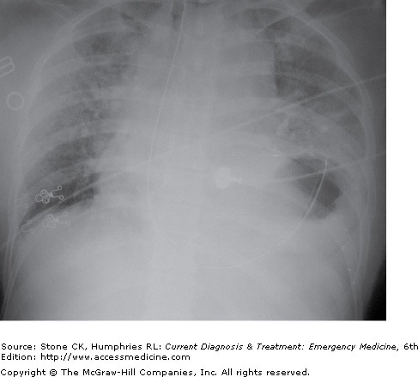
A 44-year-old female is involved in a motor vehicle accident, during which she suffered blunt trauma to the left chest and abdomen from the car door. She presents via rescue with marked dyspnea, tachypnea, and an oxygen saturation of 87% on room air. You obtain the chest x-ray shown. Based on the following x-ray, what is the diagnosis?
A
Cor pulmonale
B
Diaphragmatic rupture
C
Hemothorax
D
Pericarditis
E
Pneumothorax
The Correct Answer is: B
Diaphragmatic rupture is often the result of direct injury to the diaphragm or increased intra-abdominal or intrathoracic pressure. Patient symptoms are often the result of impaired lung expansion and decreased oxygenation. Additional symptoms may include bowel obstruction or other nonspecific bowel complaints. The chest x-ray shows elevation and irregularity of the left diaphragmatic border, with decreased left lung volume. Also of note is a widened mediastinum, which may suggest additional injury, including to the aorta. Lung markings extend through the lung space, which is not consistent with a hemothorax or pneumothorax. Evaluation for a pericardial effusion and/or pericarditis should be performed on this patient, based on the history, with evaluation including echocardiography and EKG. The typical x-ray result for pericardial effusion is termed a "water bottle" heart. However, this would be difficult to assess in the setting of a diaphragmatic rupture. Cor pulmonale is not associated with trauma, and is due to lung disease or pulmonary vascular disease.

A 58 year-old male presents with a history of dyspnea on exertion and chronic cough worse with arising in the mornings. He has a 60-pack year history of cigarette use. On examination there is increased AP diameter and decreased breath sounds with a prolonged expiratory phase. Pulse oximetry reveals an oxygen saturation of 93% on room air. Current medications include varenicline and ipratropium. Which of the following is the most appropriate intervention at this time?
A
Influenza and pneumococcal vaccine
B
Montelukast
C
Oxygen therapy
D
Prednisone
E
Prophylactic antibiotic therapy
The Correct Answer is: A
The patient has chronic obstructive pulmonary disease being treated with bronchodilators (ipratropium) and he is undergoing tobacco cessation therapy (varenicline). Additional health maintenance requirements include administration of influenza and pneumococcal vaccine (A). Antibiotics (E) are beneficial during acute COPD exacerbations. Oxygen therapy (C) is not required as evidenced by his pulse oximetry of 93%. Prednisone (D) is used in later stage disease that fails to respond to additional inhaled medications (long-acting beta agonists, corticosteroids). Montelukast (B) is used in the management of asthma.
A 76 year-old man with long-standing asthma presents to the clinic complaining of increased use of his albuterol and 2-3 nighttime awakenings over the last month. Which of the following is the most appropriate therapy?
A
Beclomethasone via a pressurized meter dose inhaler
B
Fluticasone dry powder inhaler
C
Montelukast orally
D
Prednisone orally
E
Salmeterol dry powder inhaler
The Correct Answer is: B
The patient requires inhaled corticosteroid therapy for moderate-persistent asthma. Fluticasone (B) dry powder inhaler is a preferred agent in this geriatric patient who is at increased risk of having poor inhaler technique. Beclomethasone (A) via a pMDI is prone to deposition in the oropharynx, decreased efficacy, and increased side effects. These concerns can be mitigated through the use of a spacer. Montelukast (C) and salmeterol (E) are not preferred agents for this stage of asthma.
A 63 year-old woman presents to the clinic seeking counseling and medication to help quit smoking. Which of the following tobacco cessation agents binds with high affinity and selectivity at a4β2 neuronal nicotinic acetylcholine receptors?
A
buproprion
B
clonidine
C
nicotine replacement
D
nortriptyline
E
varenicline
The Correct Answer is: E
Varenicline (E) is a selective partial agonist of the a4β2 neuronal nicotinic acetylcholine receptors and relieves withdrawal symptoms while also blocking the binding of nicotine (from continued tobacco use) to the receptor. Clonidine (B) is a centrally acting alpha-adrenergic agonist. Bupropion (A) and nortriptyline (D) are antidepressants that have shown efficacy in supporting smoking cessation efforts. Bupropion is FDA approved for smoking cessation, while clonidine and nortriptyline are not FDA approved for this indication.
A 38 year-old woman with severe-persistent asthma presents to the clinic complaining of nightly nighttime awakens and frequent use of her inhaled albuterol. Which of the following is an antibody that prevents IgE from binding to its receptor on mast cells and basophils and may be considered as a treatment for this patient?
A
adlimumab
B
daclizumab
C
etanercept
D
infliximab
E
omalizumab
The Correct Answer is: E
Omalizumab (Xolair)(E), is an antibody that prevents IgE from binding to its receptor on mast cells and is used in the treatment of allergic disease. Daclizumab (B) is anti-IL-2 antibody used to prevent acute rejection of organ transplants. Adlimumab (A), etanercept (C), and infliximab (D) bind TNF, thus inhibiting the action of TNF and are used in the treatment of disorders such as psoriasis and rheumatoid arthritis.
What range of time does it take for a PPD test to become positive as an immune response?
A
2 to 10 weeks
B
12 to 20 weeks
C
21 to 40 weeks
D
>40 weeks
E
Immediately after exposure
The Correct Answer is: A
The typical timeframe is shortly after the immune system can register the new strain into the system. False positives can occur in individuals who have had prior infections.
An 18 month infant with congenital heart disease is diagnosed with acute bronchiolitis secondary to respiratory syncytial virus. Which of the following therapies should be initiated?
A
Albuterol
B
Amoxicillin
C
Azithromycin
D
Prednisone
E
Ribavirin
The Correct Answer is: E
High-risk infants (i.e., congenital heart disease) who develop RSV are eligible for treatment with ribavirin. Antibiotics (B, C) are indicated if secondary bacterial infections develop. Albuterol (A) and prednisone (D) haven't been shown to improve RSV-related bronchiolitis.
A patient exhibits air hunger and labored, deep respirations due to increased stimulation of the respiratory center in the brain. Which of the following is the most likely cause?
A
Congestive heart failure
B
Metabolic acidosis
C
Obstructive sleep apnea
D
Respiratory acidosis
E
Traumatic brain injury
The Correct Answer is: B
Kussmaul's respiration is a form of respiratory compensation, and is most commonly associated with metabolic acidosis. During early acidosis, breathing may be rapid, but when advanced the breaths become deep, slow and labored with an urge to breathe described as "air hunger." The other etiologies suggest other causes of breathing variation, such as tachypnea, apnea, and Cheyne-Stokes respiration.
A 15-year-old male presents complaining of a sore throat, headache, and mild cough that started 8 days ago and has progressed to include a worsening cough and increasing fatigue. His chest x-ray reveals bilateral hilar infiltrates and a CBC is normal. Which of the following diagnostic tests will most likely confirm the suspected diagnosis?
A
Acid-fast bacilli smear and culture
B
Blood culture
C
PCR testing of sputum
D
Sputum culture
E
Sputum gram stain
The Correct Answer is: C
The patient most likely has atypical pneumonia secondary to mycoplasma pneumoniae which is best confirmed by PCR testing of sputum (C), oropharyngeal or nasal secretions and isn't detected through standard cultures (B, D) or staining techniques (A, E).
A 29-year-old female who is only taking oral contraceptives presents to the emergency department with a 1-day history of worsening shortness of breath. On examination, the patient is afebrile, her pulse rate is 105, respiratory rate is 24, and blood pressure is 122/78. She has wheezing to all lung fields and appears to be in mild to moderate distress. There is no swelling or edema to the lower extremities. Based on these findings, what is the best test to order to determine the diagnosis in this patient?
A
CT chest
B
Chest x-ray
C
Ventilation to perfusion scan
D
Pulmonary arteriography
E
MRI chest
The Correct Answer is: D
This patient presents with a history and physical exam that is consistent with an acute pulmonary embolus (PE). The prognosis for this type of illness can be serious, and in some cases death can result. The test that is still the gold standard for determination of a PE is the pulmonary arteriogram. CT of the chest with contrast tends to be the more utilized testing modality, but the arteriogram remains the test of choice.
A 1 day-old boy develops progressing abdominal distension, bilious vomiting and failure to pass a meconium stool. Abdominal radiographs show dilated loops of small bowel. Which of the following is the most likely diagnosis in this patient?
A
Cystic Fibrosis
B
Hypothyroidism
C
Imperforate anus
D
Intussusception
E
Pyloric Stenosis
The Correct Answer is: A
The patient presents with a meconium ileus consistent with a diagnosis of cystic fibrosis (A). Pyloric stenosis (E) typically presents between 3 and 6 months of age, while intussusception (D) presents later (6 to 24 months). Imperforate anus (C) presents at birth, but infants typically lack acute abdominal distention and bilious vomit. Other common causes of intestinal obstruction in a newborn include meconium plug syndrome, Hirschsprung Disease, Intestinal Atresia, and Midgut Volvulus.
A 25-year-old female presents to your office complaining of intermittent episodes of shortness of breath, especially at night and when she gets a cold. She has smoked one pack per day for 11 years and is asymptomatic on physical examination, with clear breath sounds and stable vital signs. She had "a touch of asthma" as a child, having been to the emergency department on numerous occasions. What would be the first step in your diagnosis and treatment plan for this patient?
A
Provide smoking-cessation counseling, prescribe a short-acting beta2-agonist inhaler, and give the patient education in utilizing the medication with a follow-up appointment in one month.
B
Provide smoking cessation counseling, prescribe an anti-cholinergic inhaler, and give the patient education in the use of the medication with a follow-up appointment in one month.
C
Perform a peak flow and compare it to the patient's predicted peak flow; if normal (or nearly so) reassure the patient and ask her to return if she develops the symptoms again.
D
Perform spirometry, administer a nebulizer treatment, and after waiting 20 minutes repeat the spirometry; after interpretation to differentiate between asthma and chronic obstructive pulmonary disease, treat accordingly.
E
Refer the patient to pulmonary medicine.
The Correct Answer is: D
Clinical, imaging, and laboratory findings should enable the clinician to distinguish chronic obstructive pulmonary disease (COPD) from other obstructive pulmonary disorders such as bronchial asthma, bronchiectasis, cystic fibrosis, bronchopulmonary mycosis, and central airflow obstruction. Simple asthma is characterized by complete or near-complete reversibility of airflow obstruction. Bronchiectasis is distinguished from COPD by features such as recurrent pneumonia and hemoptysis, digital clubbing, and characteristic imaging abnormalities. Patients with severe α 1 -antiprotease (α 1 -antitrypsin) deficiency are recognized by family history and the appearance of panacinar bibasilar emphysema early in life, usually in the third or fourth decade; hepatic cirrhosis and hepatocellular carcinoma may occur. Cystic fibrosis occurs in children and younger adults. Rarely, mechanical obstruction of the central airways simulates COPD. Flow-volume loops may help separate patients with central airway obstruction from those with diffuse intrathoracic airway obstruction characteristic of COPD.
Spirometry provides objective information about pulmonary function and assesses the results of therapy. Pulmonary function tests early in the course of COPD reveal only evidence of abnormal closing volume and reduced midexpiratory flow rate. Reductions in FEV 1 and in the ratio of forced expiratory volume to vital capacity (FEV 1 % or FEV 1 /FVC ratio) occur later. In severe disease, the FVC is markedly reduced. Lung volume measurements reveal a marked increase in residual volume (RV), an increase in total lung capacity (TLC), and an elevation of the RV/TLC ratio, indicative of air trapping, particularly in emphysema.
Arterial blood gas measurements characteristically show no abnormalities early in COPD other than an increased A-a-Do 2 . Indeed, they are unnecessary unless (1) hypoxemia or hypercapnia is suspected, (2) the FEV 1 is < 40% of predicted, or (3) there are clinical signs of right heart failure. Hypoxemia occurs in advanced disease, particularly when chronic bronchitis predominates.
A 2 year-old girl presents to the clinic due to fever, and right ear pain. Physical exam reveals a temperature of 103.1 F and an erythematous and immobile right tympanic membrane. The patient is subsequently prescribed amoxicllin. What is the mechanism of amoxicillin?
A
Binds to the 30S ribosomal subunit to inhibit protein synthesis
B
Binds to the 50S ribosomal subunit to inhibit protein synthesis
C
Inhibits dihydropteroate synthase and folate production
D
Inhibits DNA replication by binding to DNA gyrase and topoisomerase IV
E
Inhibits the transpeptidation reaction
The Correct Answer is: E
Beta lactam antibiotics inhibit the transpeptidation reaction leading to cell wall destruction (E). Tetracycline binds to the 30S ribosomal subunit to inhibit protein synthesis (A). Macrolide antibiotics bind to the 50S ribosomal subunit to inhibit protein synthesis (B). Sulfamethoxazole inhibits dihydropteroate synthase and folate production (C). Ciprofloxacin inhibits DNA replication by binding to DNA gyrase and topoisomerase IV (D).
A patient who is suspected of having pneumonia produces a sputum sample that grows gram-positive diplococci in chains (see image). What is the best choice of antibiotics for this type of patient?
A
Penicillins
B
Cephalosporins
C
Fluroquinolones
D
Aminoglycosides
E
Macrolides
The Correct Answer is: A
This patient is having an infection that is consistent with the bacterium Streptococcus pneumoniae. The best and most appropriate treatment for this pathogen is penicillins.

A 67-year-old female with a history of oxygen dependent emphysema presents with a 4-hour history of increasing shortness of breath and pleuritic chest pain on the right side. Her resting oxygen saturation rate is 90%, and she is having pain on inspiration. On examination, the patient has decreased lung sounds with wheeze on the left and absent sounds on the right. There is also tympany to percussion on the right. Based on these findings, what is the best therapy for this patient?
A
Needle insertion to right chest wall
B
Supportive care
C
Increased oxygen delivery
D
Chest tube insertion
E
Nebulized albuterol
The Correct Answer is: D
The treatment for this patient, who has a pneumothorax, is chest tube insertion and reinflation of the lung. Once the air leak has been eliminated and the lung appears reinflated on serial chest x-rays, the chest tube may be removed.
What is the most common cause of pneumothorax in a healthy patient?
A
Traumatic
B
Infectious
C
Ruptured bleb
D
Surfactant abnormality
E
Malignancy
The Correct Answer is: C
Rupture of a bleb is thought to be more relevant to young, thin men, and also patients who have a family history of them, and smoking.
What is the most common blood gas abnormality in patients with a pulmonary embolism?
A
Respiratory alkalosis
B
Metabolic acidosis
C
Metabolic alkalosis
D
Respiratory acidosis
E
Compensated respiratory acidosis
What is the most common blood gas abnormality in patients with a pulmonary embolism?
A
Respiratory alkalosis
B
Metabolic acidosis
C
Metabolic alkalosis
D
Respiratory acidosis
E
Compensated respiratory acidosis
A patient who resides in northern Arizona presents with signs and symptoms that are consistent with pneumonia. He is afebrile and appears non-toxic. His physical exam is unremarkable, and blood work is within normal limits. A chest x-ray is ordered and reveals bilateral upper lobe infiltrates. Based on this information, what is the best medication treatment for this patient?
A
Itraconazole
B
Erythromycin
C
Oseltamivir
D
Doxycycline
E
Amoxicillin
The Correct Answer is: A
Patient is presenting with clinical signs and symptoms of fungal pneumonia. The presentation of being afebrile, along with upper lobe infiltrates bilaterally in a region of the country that consistently has more fungal pneumonia's would lead the clinician with the reasoning that a fungal process is present. The azole's are the best treatment for fungal pathogens.
A 49-year-old male presents with night sweats, weight loss, coughing, and shortness of breath. A urinalysis demonstrates hematuria. The patient has had a positive PPD skin test six months ago, but did not receive treatment. Which of the following suggests reactivation tuberculosis on chest x-ray?
A
Fibrocavitary apical disease
B
Diffuse small nodular densities
C
Ghon complex
D
Kerley B lines
E
Pleural scarring
The Correct Answer is: A
Primary tuberculosis, caused by inhalation and infection with M tuberculosis, is often without marked systemic symptoms or lung changes. Radiologic findings may include atelectasis, small infiltrates, and lympadenopathy (greatest in the hilar region), but initial x-rays may be negative. The immune system often contains the infection, and it remains latent until reactivated or appropriately treated. In some cases of primary tuberculosis, but more often in reactivated latent infection, systemic symptoms and lung infection with x-ray findings will occur. X-ray findings may include infiltrates, cavitary lesions, and nodules, with the apices and upper lobes commonly being involved. A Ghon complex represents a calcified focus of previous infection, typically containing viable bacteria. A pleural effusion may be present with active infection, and may lead to pleural scarring. Kerley B lines are associated with congestive heart failure.
A 37-year-old female, who is two weeks post caesarean section, develops acute dyspnea and chest pain. A chest CT reveals a left segmental perfusion defect. Which of the following is the next step in the management of this patient?
A
Aspirin
B
Embolectomy
C
Heparin
D
Pulmonary angiography
E
Streptokinase
The Correct Answer is: C
Heparin is indicated as initial therapy for acute pulmonary thromboembolism, followed by oral anticoagulation with warfarin. Heparin promotes the effect of antithrombin, which inhibits factors Xa, IXa, Xia, and XIIa, and has been shown to decrease mortality and recurrent pulmonary embolism. Streptokinase, a thrombolytic agent, is recommended for hemodynamically unstable patients being treated with heparin, but with continued risk of death. Embolectomy, although associated with increased mortality, is another alternative for these patients. Pulmonary angiography, the gold standard for pulmonary embolus diagnosis, is being replaced with helical contrasted CT, due to angiography's invasiveness, time involvement, and cost. Aspirin, an antithrombotic agent, inhibits platelet aggregation and is effective for preventing platelet thrombosis. It also has a role in thrombosis prevention. However, anticoagulation with heparin remains the mainstay of therapy for pulmonary embolus.
What class of medications are the antibiotics of choice for adults with acute pertussis?
A
Cephalosporins
B
Penicillins
C
Fluroquinolones
D
Aminoglycosides
E
Macrolides
The Correct Answer is: E
Erythromycin, azithromycin, and clarythromycin are all acceptable choices for the acute treatment of pertussis. Trimethoprim-sulfamethoxazole is an acceptable alternative to the macrolides for allergy or macrolide intolerant patients.
A 56-year-old woman is currently being treated with daily warfarin for thrombophlebitis. She has contracted a serious lower respiratory tract infection and is admitted to the hospital. The patient is started on ciprofloxacin upon admission, and after 3 days of treatment, her INR increases from 2.7 to 7.4. She also reports a nosebleed on the third night in the hospital. Her lower respiratory function has improved slightly, but the infection has still not resolved. Which of the following is the most likely explanation for the increase in the patient's INR?
A
decreased warfarin absorption in the small intestine
B
decreased warfarin metabolism by the liver
C
increased plasma protein binding of warfarin
D
increased warfarin absorption in the small intestine
E
increased warfarin metabolism by the liver
The Correct Answer is: B
There are several clinically important warfarin drug interactions, with most of them causing an increase in the drug's anticoagulant effect (ie, increasing the INR). Warfarin metabolism occurs via hepatic cytochrome P450 enzymes that can be inhibited by a large number of drugs, including the fluoroquinolones. When this inhibition occurs, plasma levels of warfarin rise, thereby enhancing the anticoagulant effect.
A 1-year-old female is having a 2-day history of fever (102 0 F oral), rhinorrhea, and dry cough, with a decreased appetite. The mother states that her daughter has been less active, and her fluid intake has decreased for her age. On exam, the child is non-toxic appearing, has a rectal temperature of 100.2 0 F, and has nasal flaring and a respiratory rate of 45, rhinorrhea, moist mucous membranes, and a minimal wheeze heard bilaterally. Her chest x-ray has no specific findings. Based on these findings, what is the initial ancillary test to confirm the diagnosis?
A
Acid fast bath test
B
Viral nasal washings
C
Sputum culture and sensitivity
D
Blood cultures
E
Throat culture
The Correct Answer is: B
Viral nasal washings are the best choice for determining RSV infection that causes bronchiolitis. Sputum and blood cultures do not grow the agents that would typically cause the infection to occur, and you are obtaining a sample from a different part of the respiratory tract and blood.
A 1 day-old boy develops progressing abdominal distension, bilious vomiting and failure to pass a meconium stool. Abdominal radiographs show dilated loops of small bowel. Which of the following genetic mutations should the patient be evaluated for?
A
ΔF508
B
G551D
C
Q1412X
D
R117H
E
W1282X
The Correct Answer is: B
Mutations in CFTR protein function resulting from genotype G551D mutations are amenable to treatment with ivacaftor (B). Approximately 5% of CF patients have the G551D mutation and all patients should be assessed for potential ivacaftor therapy. ΔF 508 (A) is the most common genotype occurring in 60-66% of all CF patients and is not amenable to ivacaftor therapy.
A 77-year-old female has been treated for the last two weeks for a community-acquired pneumonia. While on oral azithromycin, the patient continues to develop fevers, some as high as 103 0 F. Her oral intake has decreased, and her effort to breathe continues to be labored. On examination, the patient continues to have rhonchi and some mild rales that are best appreciated in the anterior right lung region. A follow-up chest x-ray reveals a consolidated infiltrate of the right middle lobe. A CT of the chest reveals a loculated, fluid-filled area of the right middle lobe with no evidence of a foreign body. Based on these new findings, what is the most likely pathogen causing this ongoing infection?
A
Staphylococcal aureus
B
Pseudomonas aeurginosa
C
Hemophilus influenza
D
Klebsiella pneumoniae
E
Chlamydia pneumoniae
The Correct Answer is: A
This patient is having a history and physical exam that is consistent with an empyema. This loculated collection of fluid will harbor bacteria, the most common pathogen being Staphylococcus aureus. Intravenous antibiotics as well as surgical drainage are warranted.
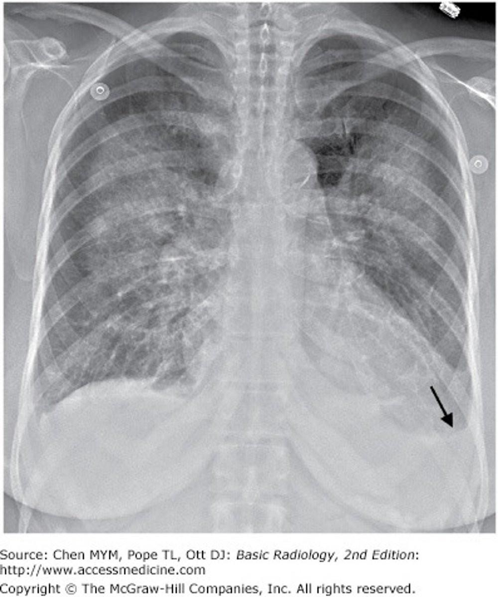
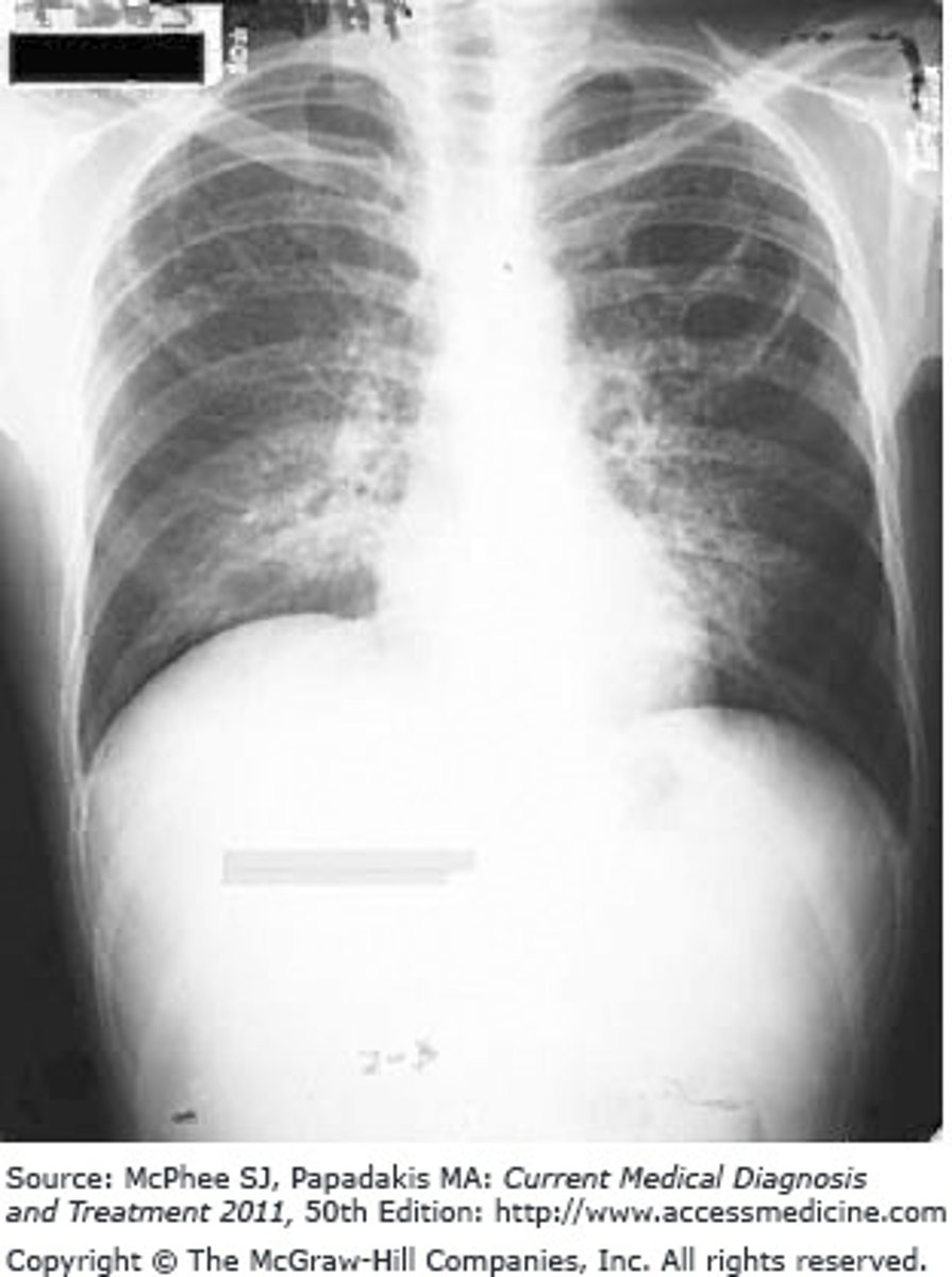
A 64 year-old woman with past medical history of hypertension presents to the clinic complaining of increasing cough and dyspnea over the past two weeks. Physical exam reveals dullness to percussion and decreased breath sounds at the bilateral bases. A chest x-ray is available below:
Which of the following is the most appropriate intervention for this patient?
A
Cardiac catheterization
B
Diuresis with a loop diuretic
C
Obtain a spiral CT of the chest
D
Perform thoracentesis
E
Treat with empiric antibiotics
The Correct Answer is: B
The patient has developed a pleural effusion most likely due to CHF based on the symptoms and presence of small bilateral pleural effusions. Initial interventions include diuresis and monitoring for resolution of symptoms and the effusion (B). If the effusion fails to improve or the patient develops dyspnea at rest then thoracentesis (E) is indicated. Additional therapy or intervention (A, C, E) should be considered if the patient's condition worsens and are informed by the results of thoracentesis.

A 22 year-old male is involved in a motor vehicle crash resulting in fracture of the left femur and left ribs 3 through 6. Approximately 24 to 36 hours after admission he becomes mildly confused and his RR increases to 40. Chest x-ray reveals diffuse pulmonary opacities. ABG shows pH 7.39, PCO 2 34, PO 2 55. What is the most likely diagnosis?
A
ARDS
B
Cardiac contusion
C
Pleural effusion
D
Pneumothorax
E
Pulmonary thromboembolism
The Correct Answer is: A
The acute onset of respiratory distress after trauma is consistent with ARDS (A). The chest x-ray findings are inconsistent with cardiac contusion (B), pleural effusion (C), pneumothorax (D) and pulmonary thromboembolism (E).
A 4-year-old male has been experiencing a significant cough for the last 12 to 14 days, and initial episodes of coughing are characterized as frequent outbursts of 5 to 10 spastic coughs in a row. The patient does not report any fever, but does note that the coughing is worse at night. On examination, the patient is alert, awake, and oriented. His temperature is 97.7 0 F, pulse rate is 89, respiratory rate is 25, and blood pressure is 110/56. The HEENT is unremarkable, and lung sounds are clear to auscultation. You suspect that the patient may have an acute case of pertussis. Based on the history and physical exam findings, which is the test of choice for confirming a diagnosis of pertussis?
A
Complete blood count (CBC)
B
Throat culture
C
Chest x-ray
D
Nasopharyngeal culture
E
Sputum gram stain and culture
The Correct Answer is: D
A special medium culture plate (such as a Bordet-Gengou agar) is required for the nasopharyngeal swab for the diagnosis of pertussis. Throat culture, chest x-rays, and complete blood counts are helpful in ruling out other disease patterns.
Which of the following is the most reliable clinical tool for confirming endotracheal intubation in an emergency situation?
A
Auscultation over the stomach
B
Endotracheal tube condensation
C
Pulse oximetry monitoring
D
Sellick maneuver
E
Visualizing the tube passing through the vocal cords
The Correct Answer is: E
Clinical assessments and practices used to assess tube placement, and help with placement, such as auscultating for breath sounds and noise within the stomach, have not had a confirmation rate comparable to directly visualizing the tube passing through the vocal cords. Tube condensation may occur with esophageal intubation as well. The Sellick maneuver may help with correct positioning, but is not a confirmatory test. Once placement is suspected, confirmation with an end-tidal CO 2 detector and chest x-ray is recommended. Pulse oximetry measurement should be performed throughout the intubation, with decreased saturations representing a worsening clinical condition and/or esophageal intubation.
A 43 year-old woman with a past medical history of HIV infection presents to the clinic due to a 3-month history of dry, non-productive cough and progressive dyspnea. The patient is subsequently prescribed trimethoprim-sulfamethazole. What is the mechanism of action of this sulfamethazole?
A
Binds to the 30S ribosomal subunit to inhibit protein synthesis
B
Binds to the 50S ribosomal subunit to inhibit protein synthesis
C
Inhibits dihydropteroate synthase and folate production
D
Inhibits DNA replication by binding to DNA gyrase and topoisomerase IV
E
Inhibits the transpeptidation reaction
The Correct Answer is: C
Sulfamethoxazole inhibits dihydropteroate synthase and folate production (C). Tetracycline binds to the 30S ribosomal subunit to inhibit protein synthesis (A). Macrolide antibiotics bind to the 50S ribosomal subunit to inhibit protein synthesis (B). Ciprofloxacin inhibits DNA replication by binding to DNA gyrase and topoisomerase IV (D). Beta lactam antibiotics inhibit the transpeptidation reaction leading to cell wall destruction (E).
What is the most common hematologic finding in a patient with pulmonary hypertension?
A
Anemia
B
Thrombocytopenia
C
Polycythemia
D
Leukocytosis
E
Elevated mean corpuscular volume (MCV)
The Correct Answer is: C
Polycythemia is the most common finding. Hematocrits that are >60% usually require phlebotomy, to reduce the numbers and prevent a hypercoagulable state.
What is the most common pulmonary complaint of a patient with tuberculosis?
A
Hemoptysis
B
Chronic cough
C
Wheezing
D
Dyspnea
E
Chest pain
The Correct Answer is: B
Chronic cough is the most common complaint. Hemoptysis can occur but is rare, and a productive cough becomes more prevalent after the chronic cough has been established for a while.
A patient presents with mild dyspnea, increased cough, and rhinorrhea. On physical exam, you auscultate low-pitched, sonorous, and adventitious sounds over the bilateral upper lung fields, which are suggestive of secretions. Which of the following terms is defined by these findings?
A
Crackles
B
Rales
C
Rhonchi
D
Vesicular breath sounds
E
Wheezes
The Correct Answer is: C
Rhonchi are defined as low-pitched, often harsh breath sounds, with increased secretions and inflammation. Rhonchi due to secretions may improve with coughing. Crackles, also known as rales, are due to an increase of fluid shifting from the intravascular space into the alveoli, and are often described as brief, nonmusical sounds with popping. Wheezes, which are high-pitched, musical sounds, are due to the narrowing of the airway related to mucosal edema, secretions, and bronchospasm. Vesicular breath sounds are normal lung sounds found over the periphery.
What is the laboratory test that has the best predictability for diagnosing pneumonia caused by adenovirus?
A
Nasal washings
B
Viral DNA test
C
Complete blood count with differential
D
Sputum gram stain
E
Polymerase chain reaction test (PCR)
The Correct Answer is: E
PCR testing is the best method for determining adenovirus pneumonia. It has a sensitivity of 90 to 100% and the specificity is >95%.
A 42-year-old male presents with a history of low grade fever, cough, and myalgias for five days. He states that these symptoms began after a cave exploration trip along the Ohio River two weeks ago, and have since worsened. An x-ray reveals focal consolidation, and you suspect Histoplasmosis pneumonia. Which of the following is the first line treatment of choice?
A
Azithromycin
B
Doxycycline
C
Itraconazole
D
Terbinafine
E
Trimethoprim-sulfamethoxazole
The Correct Answer is: C
Histoplasmosis is caused by a dimorphic fungus, most commonly Histoplasma capsulatum (although other species exist). Within the United States, endemic areas include the Ohio and Mississippi river valleys. Additional areas of risk include other parts of North, South, and Central America, Africa, Mexico, and Central Asia. Large amounts of bird and bat droppings within specific soils promote the growth of the fungus, and exposure typically occurs during activities that disrupt the soil and aerosolize the spores. Depending upon the length and intensity of exposure, and the patient's immune system and previous lung history, infections may range from asymptomatic to severe. Treatment is based upon the patient's clinical picture, with mild to moderate disease being treated with oral antifungal agents.
A 76 year-old woman with steroid dependent chronic obstructive pulmonary disease is hospitalized with fever, chills, and a productive cough. The sputum gram stain shows many WBCs and small, pleomorphic gram-negative rods. Which of the following is the most likely causative agent?
A
Chlamydia pneumoniae
B
Haemophilus influenzae
C
Mycoplasma pneumoniae
D
Staph aureus
E
Strep pneumoniae
The Correct Answer is: B
Haemophilus influenzae (B) is a gram-negative pleomorphic coccobacillus. Strep pneumonia (E) and Staph aureus (D) are gram positive organisms. Mycoplasma pneumonia (C) and Chlamydia pneumoniae (A) aren't visible on gram stain.
A 23 year-old male with cystic fibrosis inquires about the availability of treatments that can help improve his lung function. Which of the following treatments is most effective at reversing the pulmonary effects of cystic fibrosis?
A
Albuterol
B
Azithromycin
C
Inhaled hypertonic saline
D
Inhaled levofloxacin
E
Ivacaftor
The Correct Answer is: E
Ivacaftor (E) is the only treatment that restores function of the CFTR protein in cystic fibrosis patients with a G551D mutation thereby reversing the effects of the disease, approximately 5% of all cystic fibrosis patients have the G551D mutation. Albuterol (A) and hypertonic saline (C) are indicated to improve lung function and mucous clearance. Azithromycin (B) and inhaled levofloxacin (D) are used to treat chronic infection/colonization with pseudomonas.
A 28-year-old patient who is a fire department paramedic presents for a routine physical examination to your family practice office. They are asymptomatic, but their PPD is positive. Suddenly, they relay that they have tested positive on their PPD in the past, "about five years ago," and that they were treated at that time with nine months of INH. What should your next step be in treating them?
A
Begin treatment for resistant tuberculosis (TB).
B
Nothing, inasmuch as they have already received a full course of therapy.
C
Order a chest x-ray and if normal, follow the patient with chest x-rays every two to three years or sooner if they become symptomatic
D
Order a chest x-ray, and if normal, clear the patient cautioning them to immediately contact you should they develop any signs or symptoms consistent with TB.
E
Refer the patient to ID or Pulmonary for definitive treatment of resistant TB.
The Correct Answer is: D
Health care workers (HCWs) with positive PPD test results should have a chest radiograph as part of the initial evaluation of their PPD test; if negative, repeat chest radiographs are not needed unless symptoms develop that could be attributed to TB. However, more frequent monitoring for symptoms of TB may be considered for recent converters and other PPD-positive HCWs who are at increased risk for developing active TB (e.g., HIV-infected or otherwise severely immunocompromised HCWs). Regardless of whether the patient completes treatment for latent TB infection, serial or repeat chest radiographs are not indicated unless the patient develops signs or symptoms suggestive of TB disease.
Following emergent appendectomy, a 58-year-old obese male develops a temperature of 102.4˚F, 18 hours postoperatively. His respiratory rate is 26 and his pulse is 116bpm. A physical exam reveals scattered fine rales. What is the most likely diagnosis?
A
Atelectasis
B
Aspiration pneumonitis
C
Pleural effusion
D
Pneumonia
E
Pulmonary embolus
The Correct Answer is: A
Pulmonary alveoli collapse, also known as atelectasis, occurs during operative procedures for a variety of reasons, including decreased clearance of secretions and decreased intra-alveolar pressure. Postoperatively, often due to pain, patients may not mobilize secretions appropriately, also contributing to atelectasis. Atelectasis is the most common postoperative pulmonary complication, and is often associated with emergent and prolonged surgeries, especially those of the thorax and abdomen. Atelectasis is associated with fever, an increased respiratory rate, an increased pulse, and lung exam findings ranging from normal to rales and decreased breath sounds. Symptoms usually present within the first 48 hours postoperatively. Pulmonary aspiration pneumonitis, although possible, is less likely due to appropriate preoperative and intraoperative measures being utilized to decrease risk. Pneumonia is also a common postoperative complication, due to the same contributing factors as atelectasis. Physical exam findings may also be similar. However, postoperative pneumonia is likely to become evident between 24 and 96 hours postoperatively.
A postoperative pleural effusion may form, due to free peritoneal fluid as well as a complication of atelectasis, but has a lower incidence of occurrence than atelectasis alone. Patient symptoms will be based upon the size of the effusion, associated inflammation, and whether or not the effusion is infectious. Consideration must be given to pulmonary emboli for any post-surgical patient with tachypnea, tachycardia, and dyspnea. Pulmonary emboli may occur at any point postoperatively, but atelectasis remains a more common cause of postoperative fever and respiratory changes.
A 67-year-old female presents for a follow-up visit for chronic obstruction pulmonary disease (COPD). Her most recent FEV1 is <80% predicted. Her room air oxygen saturation is 94%. She is currently managed on a short acting beta-agonist as needed, and has recently been on a taper-dosed corticosteroid for an exacerbation. Which of the following is the most appropriate next step of management for this patient?
A
Increase the dosage of the short acting beta-agonist
B
Add an anticholinergic, such as tiotropium
C
Begin oral theophylline
D
Begin chronic oxygen therapy
E
Begin daily oral corticosteroids
The Correct Answer is: B
Management of COPD patients focuses on improving symptoms and decreasing the severity of exacerbations. The initial management should focus on smoking cessation in all patients that smoke. Medications may be utilized to allow bronchodilation, but must be used appropriately, to avoid side effects and potential harm. Anticholinergic agents have been shown to improve symptoms, FEV1, and reduce exacerbations, with less side effects than high dose beta-agonists. Long-acting beta-agonists have been shown to have similar benefits, with caution being needed when using these agents in certain populations. Corticosteroids, both inhaled and systemic, have been shown to have a vital role in COPD exacerbations, but benefits regarding mortality or limiting lung function decline have not been shown, with these agents not being considered a vital part of long-term COPD management. Oral theophylline, which provides bronchodilation and anti-inflammatory properties, is a fourth-line COPD agent, based upon its narrow therapeutic index and potential for adverse side effects. Oxygen therapy has been shown to improve the progression of COPD in patients with resting hypoxemia, defined by most as a resting O 2 saturation <88% or <90% with other comorbid findings.
What is the radiographic pattern of a pneumonia that is caused by Pneumocystosis jiroveci in an HIV patient?
A
Lobar consolidation
B
Consolidation with effusion
C
Cavitary lesion with infiltrate
D
Diffuse interstitial infiltration
E
Lingular infiltrate
The Correct Answer is: D
The presentation of diffuse interstitial infiltrates is what differentiates the patient from a typical pneumonia patient, including the presentation of the history, followed by the chest x-ray results.
A 63-year-old woman presents with shortness of breath, cough, and proximal muscle weakness of 1-month duration. On clinical exam, she is noted to have a blood pressure of 156/102 mm Hg, facial flushing, mild hirsutism, truncal obesity, marked proximal muscle weakness of both the upper and lower extremity, and hyperpigmentation over the palms and back of the neck. Laboratory exam reveals hypercortisolism and increased ACTH. Which of the following would be the most likely primary diagnosis in this patient?
A
lymphoma
B
ovarian cancer
C
renal cell carcinoma
D
small cell lung carcinoma
The Correct Answer is: D
Tumor cells may secrete hormones that have the same biologic actions as the normal hormone. This patient's symptoms are consistent with adrenocorticoid hyperfunction. The most common cause of ectopic ACTH syndrome is small cell lung carcinoma. This should be suspected in any patient with risk factors for lung cancer.
Assuming no contraindications, which of the following class of medications is considered the preferred long-term control therapy for asthma?
A
inhaled corticosteroids
B
leukotriene antagonists
C
long-acting B2 agonists
D
methylxanthines
E
muscarinic antagonists
The Correct Answer is: A
Inhaled corticosteroids (eg, beclomethasone, fluticasone, triamcinolone, etc) are the preferred long-term control therapy for persistent asthma in all patients because of their potency and consistent effectiveness. Low- to medium-dose inhaled corticosteroids offer several advantages over other medications, including the ability to reduce bronchial hyper-responsiveness, improve overall lung function, and reduce severe exacerbations that often lead to emergency department visits and hospitalizations.
A 43 year-old woman is brought to the emergency department in critical care secondary to a traumatic brain injury. Which of the following best describes her Cheyne-Stokes respiratory pattern?
A
Alternating periods of shallow and deep breathing
B
Difficult or labored breathing
C
Difficult of labored breathing while supine
D
Periods of absent breathing
E
Sudden awakening due to shortness of breath
The Correct Answer is: A
Cheyne-Stokes respirations are characterized by shallow breaths that increase in rate and depth followed by periods of apnea (A). Dyspnea is difficult or labored breathing (B) and if it occurs while supine (C) is termed orthopnea. Apnea is noted periods of absent breathing (D). Sudden awakening due to shortness of breath (E) is paroxysmal nocturnal dyspnea.
Your 25-year-old female patient is a smoker, takes oral contraceptives, and complains of shortness of breath and wheezing, which forced her to stop smoking less than a week ago. She has no cough and her lungs are clear on your examination. Her vital signs are as follows: Pulse 72, respirations 14, blood pressure 115/70 mm Hg, and her pulse oximetry is 94%, and her height is 64 inches. In an effort to distinguish between various pathologies, you order spirometry followed by a beta2-agonist nebulizer treatment, and then after 10 minutes a repeat spirometry. Her repeat spirometry FEV 1 improves by 225 ml which is approximately 16% and from this you tell her that you are diagnosing her with which of the following?
A
acute exacerbation of chronic bronchitis
B
asthma
C
chronic obstructive pulmonary disease
D
hyperventillation syndrome
E
pulmonary embolism
The Correct Answer is: B
Clinicians are able to identify airflow obstruction on examination, but they have limited ability to assess it or to predict whether it is reversible. The evaluation for asthma should include spirometry (FEV 1 , FVC, FEV 1 /FVC) before and after the administration of a short-acting bronchodilator. These measurements help determine the presence and extent of airflow obstruction and whether it is immediately reversible. Airflow obstruction is indicated by a reduced FEV 1 /FVC ratio. Significant reversibility of airflow obstruction is defined by an increase of 12% and 200 mL in FEV 1 or 15% and 200 mL in FVC after inhaling a short-acting bronchodilator. A positive bronchodilator response strongly confirms the diagnosis of asthma but a lack of responsiveness in the pulmonary function laboratory does not preclude success in a clinical trial of bronchodilator therapy. Severe airflow obstruction results in significant air trapping, with an increase in residual volume and consequent reduction in FVC, resulting in a pattern that may mimic a restrictive ventilatory defect.
A 67 year-old man with chronic obstructive pulmonary disease is prescribed ipratropium bromide inhaler. Which of the following is a potential side effect associated with ipratropium?
A
Bradycardia
B
Diarrhea
C
Salivation
D
Sweating
E
Urinary retention
E
Urinary retention
A 42-year-old healthy male presents to the emergency department with the complaint of a progressively worsening sore throat, and difficulty swallowing over the past 48 hours. He also complains of a subjective fever, but denies any headaches, nausea, or vomiting. On exam, the patient is afebrile and in mild distress, with a presentation of leaning forward on the exam table. His TM examination is normal, there is no rhinorrhea, and the oropharynx is patent without signs of stridor. His lungs are clear, and he has a regular rhythm on cardiac exam. What diagnostic test is indicated for a definitive diagnosis?
A
Chest x-ray
B
Complete blood count (CBC)
C
Nasal bacterial culture
D
Soft tissue neck x-ray
E
CT scan of the neck
The Correct Answer is: D
This patient has a presentation that is consistent with acute epiglottitis. While ensuring that the airway is patent and the patient can maintain the airway, the first step in determining the diagnosis is a soft tissue neck x-ray, to determine inflammation to the epiglottis. While rare, epiglottitis can be from a bacterial infection, and can be quite serious and sometimes fatal.
A 63-year-old male with a longstanding history of chronic obstructive pulmonary disease and a recent exacerbation, is also found to have new onset rapid atrial fibrillation. Which of the following medications, used for atrial fibrillation, should be used cautiously as it is associated with bronchospasm and pulmonary function changes?
A
Amiodarone
B
Digoxin
C
Diltiazem
D
Ibutilide
E
Metoprolol
The Correct Answer is: E
Initial atrial fibrillation management will depend on the stability of the patient, and may involve emergent electrocardioversion if the patient is unstable. Several types of medications are used for medication cardioversion and subsequent rate management in atrial fibrillation patients, including each of the medications listed in the answer choices. Caution should be used when administering a beta-blocker, even a cardioselective choice, to a patient with longstanding lung disease and recent exacerbation, as this may promote bronchospasm and associated dyspnea.
At what stage of hospitalization can active tuberculosis patients be placed in a non-negative pressure room?
A
When patient is afebrile
B
When patient is on a minimum of three days of antibiotics
C
When there is a clear chest x-ray
D
When there is a clear sputum gram stain
E
When patient is absent of leukocytosis
The Correct Answer is: D
Once the patient has had a documented clear sputum gram stain that shows no evidence of the tuberculin bacteria, then the patient can be cleared. Chest x-rays can lag on clearing and would not be an effective measure of clearance. Leukocytosis does not rule in or rule out the infection and is not a reliable indicator.
A 4 year-old girl presents to the clinic due to severe allergic rhinitis and recurrent asthma exacerbations. Which of the following leukotriene pathway inhibitors is indicated for use in this child?
A
Beclomethasone
B
Montelukast
C
Salmeterol
D
Zafirlukast
E
Zileuton
The Correct Answer is: B
Montelukast (B) is indicated for use in children 1 year of age or older, zafirlukast (D) is indicated for children > 5 years of age, and zileuton (E) is indicated for children > 12 years of age. Beclomethasone (A) is an inhaled corticosteroid and salmeterol (C) is an inhaled long-acting beta-2 agonist.
First-time parents present to the clinic with their 2-week old infant for a well-child visit. Which of the following strategies should be recommended to parents to help prevent sudden infant death syndrome (SIDS)?
A
Avoid pacifier use
B
Encourage tummy time while awake
C
Increase room temperature
D
Place infant on side for sleep
E
Use home monitors
The Correct Answer is: B
Tummy time (B) helps infants develop strength to avoid situations that compromise breathing. Pacifiers (A) are recommended to help avoid bottle feedings as a sleep aid since they are associated with an increased risk of SIDS. Excess warmth (C) and prone or side (D) sleeping positions also increase the risk of SIDS. Home monitors (E) are not effective in the prevention of SIDS.
Which of the following is a tumor of bronchial origin that is known to grow rapidly and have diffuse metastases at the time of diagnosis?
A
Adenocarcinoma
B
Carcinoid
C
Large cell
D
Small cell
E
Squamous cell
The Correct Answer is: D
Small cell lung cancer is a fast-growing, rapidly spreading form of lung cancer. Although the cells are small, they grow very quickly, metastasize to many parts of the body, and form large tumors. At the time of diagnosis, tumor spread is presumed. The growth and spread is considered much faster than that of non-small cell lung cancers. Staging is also different, utilizing a two-stage system based on the extent of spread.
Which of the following represents a positive tuberculin skin test result?
A
A college student with 4mm of superficial erythema at site
B
An HIV-positive patient with 2mm induration
C
A low-risk individual with a pre-employment test result of 6mm induration
D
A nursing home resident with 12mm induration
E
A recent immigrant from Mexico with 8mm induration
The Correct Answer is: D
A tuberculin purified protein derivative (also known as a TB test or PPD), is utilized to screen for latent Mycobacterium tuberculosis infection. Guidelines for interpreting test results, based upon induration, patient risk, and patient medical status, are published by the Centers for Disease Control and Prevention (summarized in Table 9-10 below). False-negative reactions may occur in immunosuppresed patients and those with extensive infection. False-positive and false-negative reactions can occur for various reasons, including previous vaccination with bacillus Calmette-Guirein (BCG), which may cause a false-positive.
http://www.cdc.gov/TB/publications/factsheets/testing/skintesting.pdf
Classification of the Tuberculin Skin Test Reaction
An induration of 5 or more millimeters is considered positive in An induration of 10 or more millimeters is considered positive in An induration of 15 or more millimeters is considered positive in any person, including persons with no known risk factors for THowever, targeted skin testing programs should only be conducted among high-risk groups
• HIV-infected persons • Recent immigrants (< 5 years) from high-prevalence countries
• A recent contact of a person with TB disease • Injection drug users
• Persons with fibrotic changes on chest radiograph consistent with prior TB • Residents and employees of high-risk congregate settings
• Patients with organ transplants • Mycobacteriology laboratory personnel
• Persons who are immunosuppressed for other reasons (e.g., taking the equivalent of >15 mg/day of prednisone for 1 month or longer, taking TNF-alpha antagonists) • Persons with clinical conditions that place them at high risk
• Children < 4 years of age
• Infants, children, and adolescents exposed to adults in high-risk categories
Which of the following indicates EKG changes consistent with a suspected pulmonary embolus?
A
Increased QRS amplitude with tall R waves in limb leads and deep S waves in V1 and V2
B
Notched P wave in leads I and II with an increased duration
C
Prolonged PR interval with peaked T waves
D
Prolonged QRS duration with QS complex in V1, monophasic R wave in leads I and V6
E
Sinus tachycardia with a right ventricular strain pattern, prominent S in lead I, Q wave and inverted T in lead III
The Correct Answer is: E
Approximately 70% of patients with a pulmonary embolus will demonstrate EKG changes. The changes present may range from sinus tachycardia to findings consistent with marked right heart strain and dilatation. The correct answer also includes the classic "S1Q3T3" pattern of changes associated with pulmonary embolism. The findings in choice A are consistent with left ventricular hypertrophy. Choice B is indicative of left atrial enlargement. Choice C is consistent with hyperkalemia. Choice D indicates left bundle branch block. These changes are not commonly associated with pulmonary embolism.
A 25-year-old asymptomatic, non-smoking male presents with a 9mm solitary pulmonary nodule, with dense central calcification on routine chest x-ray. The nodule's appearance is smooth and calcified with a well-defined edge. This same lesion was present on a work physical x-ray two years ago. Which of the following is the most appropriate management step for this patient?
A
Positron emission tomograph to rule out malignancy
B
Resection of the pulmonary nodule
C
Thoracic magnetic resonance imaging (MRI)
D
Watchful waiting with serial imaging
E
Pulmonary function tests
The Correct Answer is: D
Solitary pulmonary nodules are categorized based upon the probability of malignancy. This patient is under the age of 30, with previous documentation of the lesion and without evidence of growth or change, which decreases the probability of malignancy. In this case, watchful waiting is indicated. Risk factors, such as advanced age, smoking, lesion growth or appearance change, and history of prior malignancy increase malignancy probability, and indicate a need for more defined evaluation.
Which lobe is most affected by infection of tuberculosis?
A
Left lower lobe
B
Left upper lobe
C
Right upper lobe
D
Right lower lobe
E
Right middle lobe
The Correct Answer is: C
The apical sections of the lung fields are the most typical areas where tuberculosis occurs. The right side is more prevalent than the left. Other findings on chest x-rays can include pleural effusions, Gohn lesions (calcified primary focus), and cavitation.
A 27-year-old man presents to the emergency department with a five-day complaint of substernal pleuritic chest pain, which worsens while lying supine. He is in no distress. A friction rub is noted over the precordium. The patient's vital signs are as follows: temperature is 100.4˚F, pulse rate is 94, respiratory rate is 20, and blood pressure is 136/84. An ECG reveals widespread diffuse ST elevations with PR interval depressions. He was recently treated for a viral respiratory infection. Which of the following is the most appropriate initial management for this patient?
A
Administer a broad spectrum antibiotic
B
Administer intravenous tissue plasminogen activator (T-PA)
C
Begin a nonsteroidal anti-inflammatory agent
D
Perform needle thoracentesis
E
Refer for immediate cardiac catheterization
The Correct Answer is: C
This patient's diagnosis is acute inflammatory pericarditis. Viral infections are the most common cause of acute pericarditis, and males are the most commonly affected. A pericardial friction rub and EKG changes are characteristic of this diagnosis. Treatment is focused on the underlying inflammation, with NSAIDS being first-line and short course corticosteroids also being appropriate. Antibiotics are not indicated unless a bacterial etiology is confirmed or there are significant risk factors. Choices B, D, and E are not appropriate for this condition and could be harmful.
A 14-year-old male presents for his asthma follow up. He states that he has symptoms three to four days per week and awakens from sleep three times a month, requiring the use of his inhaler. He occasionally has to sit out of gym class due to his symptoms, but overall he functions well. He currently uses a short-acting β2-agonist as needed. What is the preferred pharmacologic agent to add to this patient's regimen?
A
Inhaled long-acting β2-agonist
B
Leukotriene receptor antagonist
C
Long-acting mediator inhibitor
D
Low-dose inhaled corticosteroid
E
Low-dose systemic corticosteroid
The Correct Answer is: D
Asthma management follows a stepwise approach, which is based upon medication action, disease progression, and patient compliance. It also involves determining the asthma classification of the patient, as well as previous response to medications. This approach also incorporates patient education, environmental control, and comorbidity management

A neonate presents with meconium ileus that is successfully unobstructed. The infant returns at her 4-month appointment with signs of failure to thrive. Which of the following is the most likely diagnosis for this patient?
A
cystic fibrosis
B
Wilson disease
C
intussusception
D
volvulus
The Correct Answer is: A
Cystic fibrosis (CF) is a major cause of gastrointestinal and pulmonary morbidity in children due to mutations in the CF genes. The mutations lead to a deficiency in cystic fibrosis transmembrane conductance regulator protein that controls movement of salt and water into and out of epithelial cells and results in production of abnormally thick mucus. About 15% of patients with CF present with meconium ileus at birth. This is typically treated with enema for disimpaction and rarely surgery. Approximately half of the infants with CF will present with failure to thrive, which is diagnosed by lack of growth for 2 consecutive months in patients younger than 6 months of age. They may also present with respiratory compromise. However, not all patients present in childhood. Diagnosis of CF is confirmed by a sweat chloride level above 60 meq/L or with genetic testing. Treatment for patients with CF is mainly symptomatic therapy for obstructions of the digestive and respiratory tract. In addition, there is pancreatic enzyme supplementation to aid in digestion and vitamin and calorie supplementation for deficiencies in the diet. Gene therapy is now being looked at for future treatment. Intussusception (telescoping of the small intestine) typically presents in an infant with paroxysmal abdominal pain, vomiting, and diarrhea that may progress into bloody stools. Volvulus is normally the result of intestinal malrotation that causes occlusion of the superior mesenteric artery and eventual bowel necrosis. Infants typically present within 3 weeks of life with bile-stained vomiting and bowel obstruction. Wilson's disease is the defect in the ability to excrete copper in the bile that results in accumulation of copper in the liver.
A 78-year-old male presents to the office due to increasing exertional dyspnea and cough for the past week. Physical exam reveals an S3 gallop, mild JVD, and 2+ pitting edema of the bilateral lower extremities. The patient has had mild congestive heart failure in the past. A chest x-ray reveals prominent pulmonary vasculature without any additional complications. The patient's current medications are aspirin and simvastatin daily. He has no drug allergies. Which of the following is the most appropriate initial management for this patient?
A
Angiotensin II receptor blocker
B
β blocker
C
Calcium channel blocker
D
Nitrate
E
Thiazide diuretic plus ACE inhibitor
The Correct Answer is: E
ACE inhibitors are recommended, as first line treatment for symptomatic congestive heart failure, based upon clinical trials, reveal an approximately 20% reduction in CHF mortality in symptomatic heart failure patients. Diuretics provide CHF symptom improvement and promote water and sodium excretion to decrease intravascular volume. blockers and Angiotensin II receptor blockers are also beneficial for CHF patients. Nitrates are usually reserved for acute or decompensating patients. Calcium channel blockers may accelerate CHF progression and should be used with caution.
A 43 year-old man presents to the clinic seeking counseling and medication to help quit smoking. Which of the following factors would be a contraindication to prescribing him bupropion?
A
Allergy to sulfa
B
Depression
C
Decreased libido
D
Seizure disorder
E
Use of nicotine replacement therapy
The Correct Answer is: D
Bupropion is contraindicated in situations where patients are at risk of seizures (D). Bupropion is indicated for the treatment of depression (B) and doesn't typically cause libido concerns (C). Bupropion is commonly prescribed with nicotine replacement therapy (E) during tobacco cessation efforts.
A 34-year-old male has a one and one-half day history of fever, chills, a non-productive cough, and malaise. He is otherwise healthy with no long-standing medical history, and is taking no chronic medications. On examination, the patient has a temperature of 101.3 0 F, BP 123/63, P 78, R 18. His HEENT reveals mild rhinorrhea, moist mucous membranes, clear lung sounds, and a regular rate and rhythm. The rapid nasal viral test for influenza B is positive. Based on this information, what is the medication treatment for this patient?
A
Amantadine
B
Oseltamavir
C
Ramantadine
D
Famciclovir
E
Azithromycin
The Correct Answer is: B
Oseltamivir is the best antiviral medication for the treatment of acute influenza. This medication is ideally started within the first onset of illness, usually within the first 24 to 36 hours. Amantadine and Ramantidine have been shown to not be effective, and there is growing resistance to the medication.
A chest x-ray on an 81-year-old male with a four-day history of productive cough, dyspnea, fever, chills, and shortness of breath reveals a left sided pleural effusion. Pleural fluid analysis reveals a decreased glucose level, elevated lactate dehydrogenase, and 20,000 polymorphonuclear white blood cells/mcL. What is the most likely cause of this effusion?
A
Bacterial pneumonia
B
Congestive heart failure
C
Malignancy
D
Pulmonary embolus
E
Tuberculosis
The Correct Answer is: A
A pleural effusion is a collection of fluid within the pleural space, due to an increased rate of fluid formation with decreased absorption. Pleural effusions are classified as transudative versus exudative, based on the underlying cause. This patient exhibits pleural fluid analysis results that are consistent with a parapneumonic effusion. Malignancy and tuberculosis also cause exudative effusions, with different fluid analysis results and various patient presentations (see Table 9-23). Congestive heart failure and pulmonary embolism are associated with transudative effusions.
What is the most common cause of treatment failure in tuberculosis?
A
Drug resistance
B
Noncompliance to therapy
C
Inappropriate selection of medication
D
Sepsis
E
Death
The Correct Answer is: B
The usual reason for failure is simply due to the patient not continuning their treatment plan, regardless of the severity of the disease. Drug resistence, while present in some cases does not preclude the patient from treatment failure. Ongoing sepsis is not a reason to have treatment failure.
Which agent is most responsible for croup infections?
A
Parvovirus
B
Adenovirus
C
Parainfluenza
D
Bocavirus
E
Streptococcus
The Correct Answer is: C
Laryngotracheobronchitis, or croup, is mostly caused by the parainfluenza virus. Other agents that can cause this are respiratory syncytial virus (RSV), human metapneumovirus, influenza virus, rubeola virus, adenovirus, and Mycoplasma pneumoniae.
A couple presents to the office seeking genetic counseling advice regarding their child's potential risk of being born with Cystic Fibrosis. Both parents are identified as carriers for the cystic fibrosis gene mutation. Which of the following genetic inheritance patterns should be used to predict the probability of their child being affected by Cystic Fibrosis?
A
Autosomal dominant
B
Autosomal recessive
C
Mitochondrial inherited
D
X-linked dominant
E
X-linked recessive
The Correct Answer is: B
Cystic fibrosis has an autosomal recessive (B) genetic inheritance pattern. In this case their children have a 25% chance of being affected, 50% chance of being a carrier, and 25% chance of lacking inheritance of the genetic trait.
A 43-year-old male farmer from the Southwest United States has been working in a very contaminated barn with rodent feces for the last week. He presents to your office with complaints of fever, non-productive cough, malaise, and decreased appetite. His physical exam reveals a temperature of 102 0 F, pulse rate of 98, blood pressure of 98/62, and O 2 saturation of 93%. Lung sounds have diffuse crackles throughout, and the rest of the exam is unremarkable. Based on the history and exam findings, what is the most likely pathogen for this type of illness?
A
Influenza pneumonia
B
Varicella pneumonia
C
Hantavirus pneumonia
D
Streptococcal pneumoniae
E
Cytomegalovirus
The Correct Answer is: C
The history of the patient being exposed to the rodent feces is a typical presentation of a pneumonia caused by the hantavirus. There is no treatment for this type of pneumonia, only supportive care.
Which of the following findings would be evidence of a patient who has longstanding chronic obstructive pulmonary disease (COPD)?
A
a decreased FEV1 on spirometry that is not fully reversible with nebulizer treatment
B
chest radiograph with an elevated hemidiaphragm
C
FEV1/FVC ratio > 0.7
D
a decreased A-a-Do2 on arterial blood gas
E
an abnormal sweat test
The Correct Answer is: A
Spirometry provides objective information about pulmonary function and assesses the results of therapy. Pulmonary function tests early in the course of COPD reveal only evidence of abnormal closing volume and reduced midexpiratory flow rate. Reductions in FEV 1 and in the ratio of forced expiratory volume to vital capacity (FEV 1 % or FEV 1 /FVC ratio) occur later. In severe disease, the FVC is markedly reduced. Lung volume measurements reveal a marked increase in residual volume (RV), an increase in total lung capacity (TLC), and an elevation of the RV/TLC ratio, indicative of air trapping, particularly in emphysema.
Arterial blood gas measurements characteristically show no abnormalities early in COPD other than an increased A-a-DO2. Indeed, they are unnecessary unless (1) hypoxemia or hypercapnia is suspected, (2) the FEV 1 is < 40% of predicted, or (3) there are clinical signs of right heart failure.
Radiographs of patients with chronic bronchitis typically show only nonspecific peribronchial and perivascular markings. Plain radiographs are insensitive for the diagnosis of emphysema; they show hyperinflation with flattening of the diaphragm in less than half of cases.
During a spirometry test, a patient is asked to forcibly expel as much air from the lungs as possible. Which of the following represents the amount of air that remains in the patient's lungs following this maximal forced expiration?
A
expiratory reserve volume
B
functional residual capacity
C
residual volume
D
tidal volume
E
vital capacity
The Correct Answer is: C
By definition, residual volume is the volume of air remaining in the lungs after a maximal forced expiration. The residual volume is important physiologically, as it prevents total collapse of the alveoli and minimizes the pressure and energy required to inflate the lungs during inspiration.
A 28-week-premature infant is noted to have increasing tachypnea and difficulty breathing, with diffusely decreased breath sounds on exam shortly after delivery. A chest x-ray reveals diffuse, bilateral atelectasis and air bronchograms. Which of the following is the most likely diagnosis?
A
Acute asthma exacerbation
B
Hyaline membrane disease
C
Meconium aspiration
D
Pleural effusion
E
Spontaneous pneumothorax
The Correct Answer is: B Premature infants, due to a lack of surfactant, develop marked atelectasis and decreased lung compliance, with acute respiratory distress. This is termed hyaline membrane disease and is the most common cause of respiratory distress in preterm infants. Meconium aspiration is more likely in full-term or near-term infants who experience fetal distress, and the x-ray may demonstrate hyperexpansion and irregular infiltrates. Spontaneous pneumothorax can occur at birth. Exam findings will include decreased breath sounds on the affected side, and x-ray findings should indicate the pneumothorax or pneumomediastinum. Pleural effusion may be present in hydropic infants, or it may be due to an underlying disorder or chylothorax. The x-ray would reveal opacity of the affected side, with blunting of the costophrenic recess. Asthma exacerbation should involve airway hyperresponsiveness in relation to a trigger exposure, and would demonstrate bilateral hyperinflation with diaphragm flattening on x-ray.
During the physical exam of a patient with a suspected pleural effusion, you ask the patient to make the sound "eee." You note on auscultation that the transmission is auscultated as "ay," suggestive of resonance through fluid. What is the name of this exam technique?
A
Bronchophony
B
Diaphragmatic excursion
C
Egophony
D
Tactile fremitus
E
Whispered pectoriloquy
The Correct Answer is: C
Normal lungs transmit spoken sounds faintly and with indistinct syllables, except over main bronchi. An area of fluid, such as a pleural effusion, consolidation or atelectasis, and areas of fibrosis will increase sound transmission and alter the distinction of the sound. This occurs for both whispered and spoken sounds. The utilization of the spoken sound "eee," auscultating for a change to "ay" due to fluid within the lung fields, is termed egophony. The use of whispered sounds and generally spoken sounds to determine lung changes are termed whispered pectoriloquy and bronchophony respectively. Diaphragmatic excursion is performed to determine the thoracic diaphragmatic movement during respiration. Tactile fremitus assesses chest vibration during vocalization, with changes being noted in the presence of consolidation (increases fremitus) and pleural effusion (decreased or absent fremitus).
A 3 year-old boy is brought to the emergency department due to acute onset of cough and wheezing. Physical exam reveals focal wheezing in the right lower lobe. Which of the following is the most effective treatment option for the patient's suspected diagnosis?
A
Albuterol
B
Azithromycin
C
Bronchoscopy
D
Chest physiotherapy
E
Prednisone
The Correct Answer is: C
The patient has most likely aspirated a foreign body. The most effective treatment is removal of the foreign body through bronchoscopy (C). Supportive therapy includes bronchodilators for wheezing/airway obstruction (A), antibiotics for associated infections (B), and chest physiotherapy (D) to promote recovery after removal of the foreign body.
A 25 year-old HIV positive white male presents with dyspnea and a nonproductive cough. The patient's temperature is 103.5 degrees F, respirations 40, and pulse 140. Physical exam reveals a thin, dyspneic male, height 5'10" and weight 150 pounds, in moderate respiratory distress with minimal bibasilar crackles and peripheral cyanosis. CXR reveals a diffuse interstitial infiltrate and his LDH is elevated. Your most likely diagnosis is:
A
Streptococcal pneumoniae
B
Klebsiella pneumoniae
C
Mycoplasma pneumoniae
D
Pneumocystis jiroveci
E
Staphlococal aureus
D
Pneumocystis jiroveci
Which of the following is the most prevalent fatal cancer in the United States?
A
Cervical
B
Colon
C
Esophageal
D
Liver
E
Lung
The Correct Answer is: E
Lung cancer continues to lead as the major cause of cancer deaths in both men and women in the United States, with cigarette smoking causing greater than 90% of cases. Despite educational campaigns highlighting the risks of smoking, lung cancer continues to kill more individuals that colorectal, breast, and prostate cancers combined.
What is the most common pathogen that causes atypical pneumonia?
A
Chlamydia pneumoniae
B
Legionella pneumophila
C
Mycoplasma pneumoniae
D
Streptococcus pneumoniae
E
Hemophilus influenzae
The Correct Answer is: C
Mycoplasma is the third most common pathogen of all pneumonias, and the most common atypical. Streptococcus pneumoniae is considered a typical bacterium, while Legionella and Chlamydia are not as common when compared to Mycoplasma.
A 18 year-old man present to the clinic due to a recent positive tuberculosis screening test. Which of the following steps should be taken to avoid neurotoxicity associated with his prophylactic isoniazid (INH) treatment?
A
Perform an initial screening mental status exam
B
Supplement with folic acid
C
Supplement with pyridoxine (vitamin B6)
D
Take medication on a full stomach
E
Take the medication three times daily
The Correct Answer is: C
INH leads to the development of peripheral neuropathy in 2% of patients secondary to pyridoxine deficiency. This can be prevented through the coadministration of pyridoxine (vitamin B6) (C).
A 43 year-old woman presents to the clinic due to the presence of a bulls eye rash on her right upper back. She is prescribed tetracycline. What is the mechanism of tetracycline?
A
Binds to the 30S ribosomal subunit to inhibit protein synthesis
B
Binds to the 50S ribosomal subunit to inhibit protein synthesis
C
Inhibits dihydropteroate synthase and folate production
D
Inhibits DNA replication by binding to DNA gyrase and topoisomerase IV
E
Inhibits the transpeptidation reaction
The Correct Answer is: A
Tetracycline binds to the 30S ribosomal subunit to inhibit protein synthesis (A). Macrolide antibiotics bind to the 50S ribosomal subunit to inhibit protein synthesis (B). Sulfamethoxazole inhibits dihydropteroate synthase and folate production (C). Ciprofloxacin inhibits DNA replication by binding to DNA gyrase and topoisomerase IV (D). Beta lactam antibiotics inhibit the transpeptidation reaction leading to cell wall destruction (E).
A 42 year-old woman presents complaining of shortness of breath, three days of fever as high as 103F, and has a cough productive of green sputum. On physical examination, you hear crackles in her lungs. A chest radiograph reveals a consolidation in the left lower lobe. What do you expect to hear when you percuss this patient's left lower thorax?
A
Dull
B
Flat
C
Hyperresonant
D
Resonant
E
Tympanic
The Correct Answer is: A
Consolidation leads to dullness (A) to percussion. Flat sounds (B) are noted with organ percussion (i.e., hepatic flatness), hyperresonant (C) sounds are noted in pneumothorax, normal lung parenchyma results in resonance (D), and percussion of the gastric air bubble leads to tympanic sounds.
What is the most appropriate age to administer the pneumococcal vaccine in healthy individuals with no other comorbid diseases?
A
Under age 16
B
After age 16-34
C
> Age 35
D
> Age 50
E
> Age 65
The Correct Answer is: E
The Advisory Committee on Immunization Practices of the Centers for Disease Control and Prevention recommend that the most appropriate age to administer the pneumococcal vaccine in healthy individuals with no other comorbid diseases is over the age of 65.
A 28-year-old male presents with hypotension, marked tachypnea, and severe dyspnea following a fistfight. A physical exam reveals ecchymoses over the lateral left rib cage, hyperresonance on the left, and tracheal shift to the right. Which of the following is the most appropriate next step for management of this patient?
A
Anesthesia consultation
B
Chest CT scan
C
Chest x-ray
D
Needle thoracostomy to the second intercostal space, midclavicular line
E
Tube thoracostomy to the fifth intercostal space, midclavicular line
The Correct Answer is: D
The diagnosis for this patient is a traumatic tension pneumothorax, a true medical emergency. Diagnosis can be made based on physical exam findings. Although definitive treatment with a properly placed tube thoracostomy is preferred, choice E has the position incorrect. Needle decompression in the second intercostal space, midclavicular line is the correct choice, with this remaining in place until a chest tube is properly in place.
A 44-year-old female complains of nonproductive cough for the past 6 months. She denies rhinorrhea, wheezing, dyspnea, chest pain, or hemoptysis. Her medical problems include hypertension. Medications include benazepril 10 QD, Amlodipine 5 mg QD, and HCTZ 25 mg QD. She is a nonsmoker and denies any foreign travel. The following CXR PA/LAT is taken. What is the most likely cause of her cough?
The correct answer is (D). ACE inhibitors such as benazepril have a potential adverse reaction of a chronic cough. Discontinuing the ACE inhibitor is appropriate in this case while substituting this for another antihypertensive. The CXR is normal and there are no findings suggestive of pneumonia, bronchiectasis, or asthmatic bronchitis. A chronic cough is not a significant side effect of amlodipine.

What is the treatment of choice for a patient who is HIV positive and has a confirmed pneumonia caused by Pneumocystosis jiroveci (as shown above)?
A
trimethoprim-sulfamethoxazole
B
Azithromycin
C
Aztreonam
D
Cephalexin
E
Erythromycin
The Correct Answer is: A
For a confirmed bacteria or suspected case of pneumonia caused by Pneumocystosis jiroveci, TMP-SMX is the antibiotic of choice for this patient.

A 22 year-old male presents with a 2-week history of an upper respiratory infection that hasn't improved after taking amoxicillin for 6 days. He notes persistent sore throat, intermittent fever, and a worsening nonproductive cough. Physical examination reveals bilateral diffuse crackles. What is the most likely causative agent of this patient's symptoms?
A
Streptococcal pneumoniae
B
Klebsiella pneumoniae
C
Mycoplasma pneumoniae
D
Pneumocystis jiroveci
E
Staphlococcal aureus
The Correct Answer is: C
The patient presentation is consistent with atypical pneumonia most commonly caused by viruses, mycoplasma pneumonia (C), chlamydia pneumonia, or legionella. The presentation of streptococcal pneumoniae (A) is more acute with productive cough and fever being early symptoms. Klebsiella pneumoniae (B) also presents with fever and a cough classically noted to be productive of "currant jelly" sputum. Pneumocystis jiroveci (D) causes pneumonia of insidious onset in immunocompromised patients. Staphlococcal (E) pneumonia also presents more acutely with productive cough.
What is the most common ECG abnormality in patients with a pulmonary embolism (PE)?
A
Atrial fibrillation
B
Sinus tachycardia
C
Ventricular ectopy
D
Sinus bradycardia
E
High grade AV block
The Correct Answer is: B
In most cases, sinus tachycardia is the only abnormality in patients with a PE. You may also find some ECGs that will have non-specific ST-T wave changes. Sinus bradycardia and AV blocks are not common findings that are associated with PE.
What is the most common pathogen that causes an acute bronchitis?
A
Viral
B
Bacterial
C
Fungal
D
Unknown
E
Spirochetal
The Correct Answer is: A
Respiratory viruses are the most common cause of acute bronchitis. In clinical medicine, it is rare to obtain cultures for patients who present with bronchitis symptoms.
A 48-year-old male presents with an 8-day history of a productive cough, subjective fevers, and malaise. He is otherwise healthy without any active medical problems. He is a social drinker of alcohol, and denies any tobacco or drug use. On physical examination, the patient is alert and oriented. His temperature is 100.4 0 F, pulse rate is 56, respiratory rate is 18, and blood pressure is 133/64. HEENT is within normal limits and a chest exam has diffuse expiratory wheeze with decreased sounds to the right lower lung fields. Blood labs reveal WBC 14.4, Hgb 11.3, Plt 233, ALT 65, AST 102, and PO 4 2.1. A chest x-ray reveals a dense consolidation with bulging fissures. Based on these findings, what is the best medication to treat this patient?
A
Ceftazidime
B
Vancomycin
C
Azithromycin
D
Penicillin
E
Gentamicin
The Correct Answer is: C
This patient has a history and physical examination that is consistent with Legionella infection, as noted by the chest x-ray findings. The treatment of choice for the Legionella infection is the use of macrolides. In this case, azithromycin would be the best choice for this case.
What is the most common radiologic finding in a patient with a tension pneumothorax?
A
Pleural effusion
B
Infiltrate
C
Enlarged cardiac silhouette
D
Elevated diaphragm
E
Mediastinal shift
The Correct Answer is: E
Collapse of the lung, followed by an increase in intrapleural pressure, will lead to a tension pneumothorax. In most cases, the air leaks through the subcutaneous spaces. But in a tension pneumothorax, the air is locked in and creates a life-threatening emergency.