Dental Hygiene Principles (elderly client LO1)

0.0(0)
studied byStudied by 0 people
0.0(0)
full-widthCall with Kai
GameKnowt Play
New
learnLearn
examPractice Test
spaced repetitionSpaced Repetition
heart puzzleMatch
flashcardsFlashcards
Card Sorting

1/39

encourage image

There's no tags or description

Looks like no tags are added yet.

Study Analytics
Name
Mastery
Learn
Test
Matching
Spaced

No study sessions yet.

40 Terms

1
New cards

Comfort, acceptance, responsiveness, empathy

What are the 4 principles of the CARE principle?

2
New cards

early adulthood, middle age, late maturity

What are the 3 developmental stages of the adult according to Havighurst?

3
New cards

Stage 1: early adulthood

What stage of adult development?

Establishing independence, learning to live with a marriage partner, starting a family, bringing up young children, managing a home, getting started in an occupation, taking on civic responsibilities, finding a congenial social group.

4
New cards

Stage 2: middle age

What stage of adult development?

Achieving adulthood and social responsibilities, establishing and maintaining an economic standard of living. Assisting one's children to become adults, developing durable leisure-time activities, relating to one's partner, accepting and adjusting to physical change. Adjusting to one's aging parent.

5
New cards

Stage 3: late maturity

What stage of adult development?

Adjusting to: decreasing physical strength and to death, retirement and reduced income, death of one's partner, explicit affiliation with one's age group. Meeting social and civic obligations, establishing satisfactory physical living, arrangements in light of physical infirmities.

6
New cards

Adult learners

The 5 assumptions related to ————— ———————: motivated to learn as they experience needs and interests that learning will satisfy, life-centered— organize adult learning in life situations not subjects. Experience is the richest source of learning, deep need to be self-directing, individual differences increase with age.

7
New cards

Life span

A maximal length of life potentially possible in a species (human: 110-120 years).

8
New cards

Life expectancy

The average number of years lived by any group of individuals born in the same period.

9
New cards

Geriatrics

The branch of medicine concerned with the illness of old age and their treatment.

10
New cards

Gerontology

The scientific study of the factors affecting the normal aging process and the effects of aging.

11
New cards

Chronological age

Age as measured by calendar time since birth.

12
New cards

Functional age

This is the term to measure a persons performance capacities.

13
New cards

Gait/balance

In the DH POC with older clients, assessment and observation begins in the reception area. You observe your patients ————/———————: does the client need your assistance to the treatment area? Position the dental chair at know level or higher, may be in a wheelchair and need to be transferred.

14
New cards

Vision and hearing impairments

Clients with ————— and ——————— impairments may need assistance to complete written forms, address using low pitch (not shouting). Address with face masks removed, miniature background noise. Ask client to reduce volume on hearing aide ONLY when rotary hand piece and ultrasonic scaler is being used. Address client directly, not the caregiver/family member.

15
New cards

Lubrication of the oral cavity and source of minerals for the enamel

What are the 2 roles of saliva?

16
New cards

Clinpro 5000, Colgate prevident

For chronic xerostomia, a 1.1% NaF gel is recommended. These are 2 examples of that:

17
New cards

Gel-Kam

Another recommendation for chronic Xerostomia is 0.4% stannous fluoride gel (can cause stain). An example of 0.4% stannous fluoride is:

18
New cards

Cholinergic agents

For xerostomia, if you were to give a medication, you would prescribe ———————— agents.

19
New cards

Longer

You should allow ————— time to assess results of soft tissue debridement for older clients as there is slower and decreased potential for healing.

20
New cards

Age-related oral changes

Alterations of the structures of the body that are not a result of the disease process (enamel, cementum, dentin, pulp).

21
New cards

Disease induced oral changes

These often manifest changes and pathology that is independent of the aging process.

22
New cards

Some evidence of thinning of the epithelium, diminished keratinization, and increased cellular density, increased alveolar bone porosity

4 age-related periodontal changes:

23
New cards

Age related

Are these changes age related or disease induced? Alterations in periodontal ligament cellular function, increase in fibrous intercellular substances in the gingival connective tissue, increases in calcification and arteriosclerosis of gingival vessels, reduced number of nerves in the gingiva, increase in gingival width.

24
New cards

Stain producing food and drink, secondary dentin

Enamel can get darker with aging due to these 2 things:

25
New cards

Cementum

This tooth structure increases in magnesium and fluoride content as you age:

26
New cards

Dentin sclerosis

Obturation of the tubules by gradual growth of the peritubular dentin. This is also known as this condition that is related to aging.

27
New cards

Candidiasis ("thrush")

Clinical appearance of the oral mucosa: dry, smooth, thin. This can be caused from broad-spectrum antibiotics. Resulting from Xerostomia causing medications.

<p>Clinical appearance of the oral mucosa: dry, smooth, thin. This can be caused from broad-spectrum antibiotics. Resulting from Xerostomia causing medications.</p>
28
New cards

Angular cheilitis

Caused by moistness from drooling, deficiency of vitamin B2 (riboflavin), infection from Candida albicans. Common in elderly clients.

<p>Caused by moistness from drooling, deficiency of vitamin B2 (riboflavin), infection from Candida albicans. Common in elderly clients.</p>
29
New cards

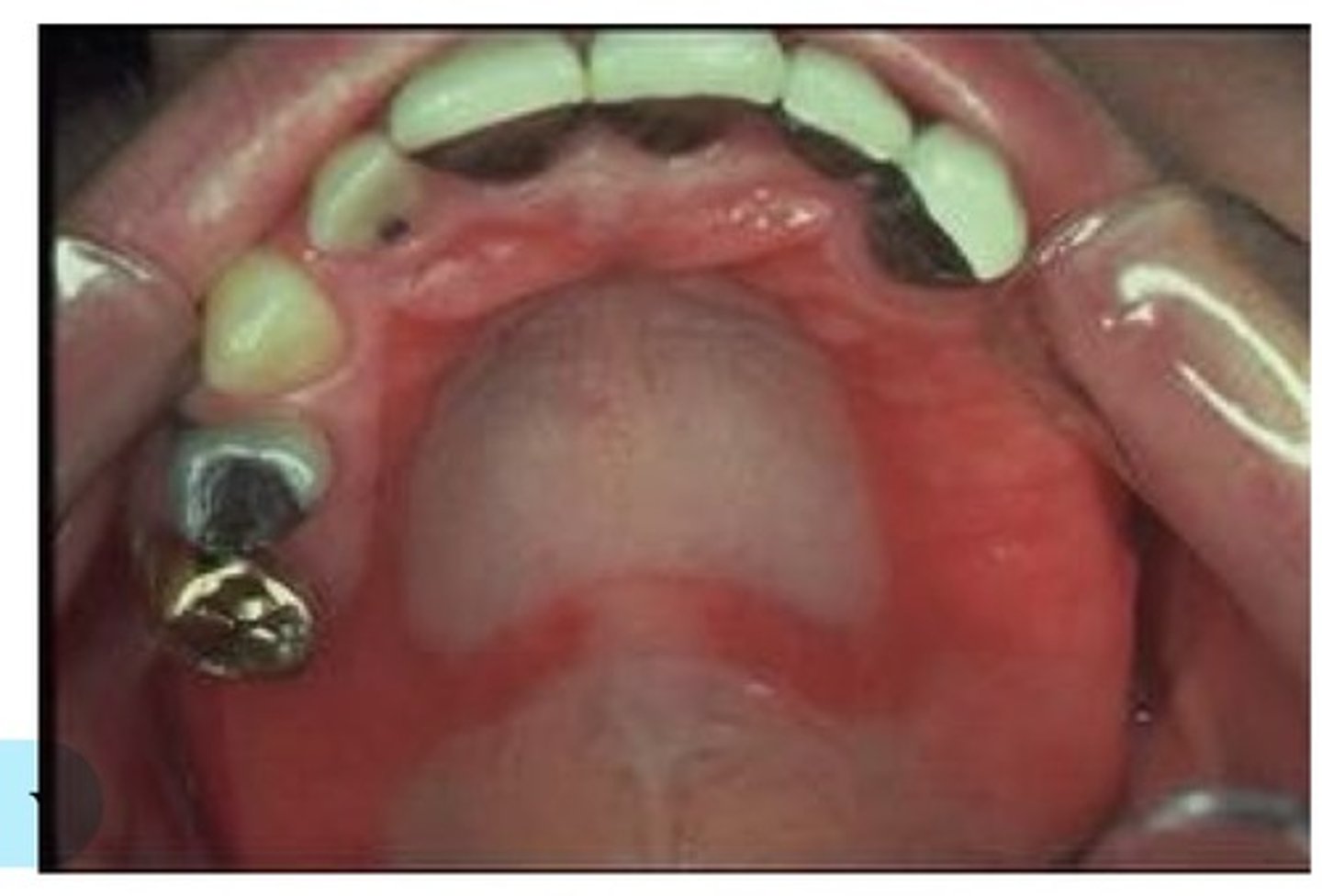
Chronic atrophic candidiasis

This is due to ill-fitting or poor denture hygiene. May result in mucosal irritation, denture stomatitis, candidiasis, denture induced fibrous hyperplasia. This is present in as many as 65% of older individuals. Associated with poor prosthesis fit, associated with retention of denture during sleeping.

<p>This is due to ill-fitting or poor denture hygiene. May result in mucosal irritation, denture stomatitis, candidiasis, denture induced fibrous hyperplasia. This is present in as many as 65% of older individuals. Associated with poor prosthesis fit, associated with retention of denture during sleeping.</p>
30
New cards

2.5%

Oral cancer represents about —.—% of total cancer diagnoses each year.

31
New cards

Oral cancer

Average age of diagnosis is 60 years of age. More common in men than women.

<p>Average age of diagnosis is 60 years of age. More common in men than women.</p>
32
New cards

Aging

Sublingual variscolsities are changes in the tongue that are induced by:

33
New cards

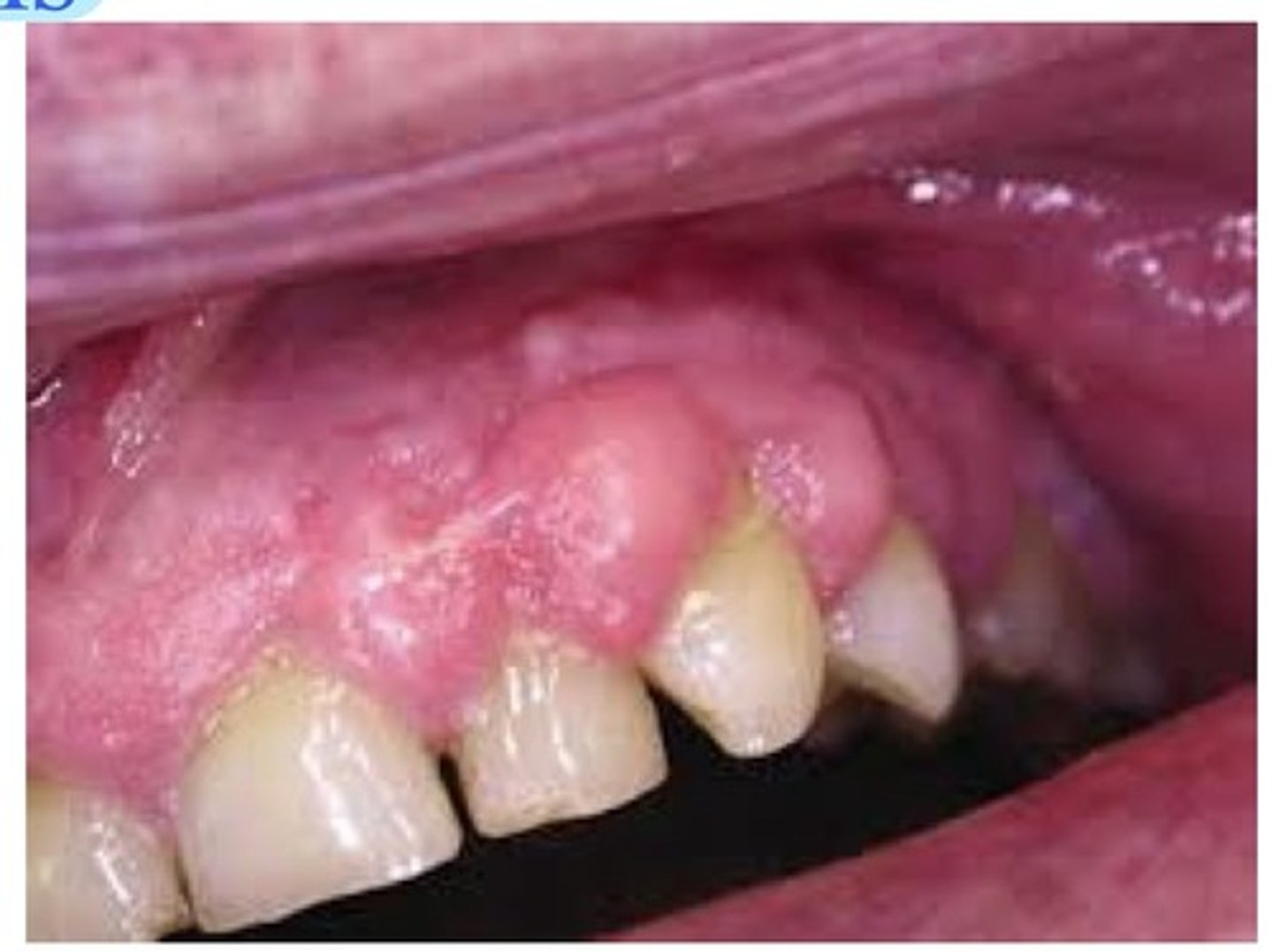
Drug induced gingival enlargement

This can be caused by anti convulsants (Phenytoin), cardiovascular drugs (Nifedipine), and immunosuppressants (Cyclospirin). Adequate plaque control, reduction of magnitude of ————— ————————, starting a regime before the meds are all important when the patient has this.

<p>This can be caused by anti convulsants (Phenytoin), cardiovascular drugs (Nifedipine), and immunosuppressants (Cyclospirin). Adequate plaque control, reduction of magnitude of ————— ————————, starting a regime before the meds are all important when the patient has this.</p>
34
New cards

Sjögren's syndrome

This is an autoimmune disease of the salivary and lacrimal glands.

35
New cards

Local factors

Exposed roots and tooth longevity are ————— factors that contribute to root caries.

36
New cards

Aging

Changes in salivary composition and inability to complete thorough oral hygiene due to disability and/or chronic conditions. These are factors related to ————— that contribute to root caries.

37
New cards

7%

—% of the elderly population is institutionalized.

38
New cards

13%

——% of the elderly population is home bound.

39
New cards

11%-67%

Denture stomatitis has prevalence in ——% to ——% of denture wearers.

40
New cards

Drug induced Xerostomia

This condition is most common with tricyclic antidepressants, antipsychotics, atropines, beta-blockers, and antihistamines.