BIOL 2153 - Plant cell

0.0(0)
studied byStudied by 0 people
full-widthCall with Kai
GameKnowt Play
learnLearn
examPractice Test
spaced repetitionSpaced Repetition
heart puzzleMatch
flashcardsFlashcards
Card Sorting

1/46

encourage image

There's no tags or description

Looks like no tags are added yet.

Study Analytics
Name
Mastery
Learn
Test
Matching
Spaced

No study sessions yet.

47 Terms

1
New cards

Who contributed in the discovery of Cells

  • Robert Hook: he found structures on plants and called them cells in 1665

  • Matthias Schleiden: German botanist that said all plant tissues consist of cellular masses.

  • Theodor Schwann: German Zoologist, extended schleiden’s observation to animals

  • Rudolf Virchow: German Pathologist, generalized cells can arise noyl from pre-existing cells

2
New cards

What is the Cell theory?

  • All Organisms are composed of cells

  • The cell is the basic unit of life

  • All cells come from pre-existing cells

3
New cards

Difference between Prokaryotes and Eukaryotes?

  • Prokaryotes: Circular DNA located in nucleoid.

  • Eukaryotes: DNA bound to histones located inside a lipid bilayer.

<ul><li><p>Prokaryotes: Circular DNA located in nucleoid.</p></li><li><p>Eukaryotes: DNA bound to histones located inside a lipid bilayer.</p></li></ul><p></p>
4
New cards

what consists of a plant cell?

Consists of a rigid cell wall and protoplast (cytoplasm and nucleus).

5
New cards

Membranous system vs. Non-membranous entities.

  • Membranous: Golgi apparatus, and endoplasmic reticulum

  • Non-membranous: ribosomes, actin filaments, and microtubules.

6
New cards

what is the porous bilayer called that make up the Nucleus?

Nuclear Envelope

7
New cards

What is Chromatin?

thin threads and grains within the nucleoplasm. Made up of hereditary DNA bount to histones.

8
New cards

Difference between Haploid, Diploid, and Polypoid?

  • Haploid: (n) number of chromosomes in gamete cells

  • Dilpoid: (2n) number of chromosomes in the somatic cells

  • Polyploid (xn): more than two sets of chromosomes.

9
New cards

what is the Nucleolus?

A dense/high concentration of RNA, proteins, and DNA loops within the nucleus.

10
New cards

What is the DNA loops in the Nucleolus?

also known as Nuclear Organizer regions and form ribosomal subunits.

11
New cards

What are Ribosomes and their function?

Found in the cytosol and embedded to the Rough ER. They are small particles consisting of RNA and protein. They link amino acids together to form proteins.

12
New cards
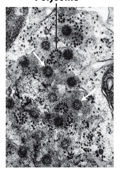
<p>the line indicates what in the cell?</p>

the line indicates what in the cell?

Polysomes

13
New cards

What are Polysomes?

they are aggregates (group of ribosomes) that are actively involved in protein synthesis (found on the ER and nuclear envelope.

14
New cards

What are Plastids in plant cells?

Characteristic components of plant cells involved in processes such as photosynthesis and storage. There are multiple types of plastids (based on pigment):

  • Chloroplasts

  • Chromoplasts

  • Leucoplasts

15
New cards

What are Chloroplasts and their function?

They are a type of plastids in plant cells that are responsible for photosynthesis. They contain chlorophylls and carotenoid pigments. (chlorophyll = green appearance, Carotenoid = yellow/orange pigment which is masked by chlorophyll)

16
New cards

What do thylakoids do?

they are the internal structures in chloroplast responsible for light-dependent reaction for photosynthesis.

17
New cards

What is a dense stack of thylakoids called?

Grana thylakoids.

18
New cards

What are grana thylakoids that are interconnected by thylakoids that traverse the stroma?

Stroma thylakoids

19
New cards
<p>Which is the Stroma, Cell wall, Grana Thylakoid, and Stroma thylakoid</p>

Which is the Stroma, Cell wall, Grana Thylakoid, and Stroma thylakoid

knowt flashcard image
20
New cards

Are Chloroplasts controlled by the nucleus or semi-autonomous?

They are semi-autonomous, they control over the necessary components for some of their own polypeptides.

21
New cards

What are Chromoplasts?

Pigmented like chloroplasts but lack chlorophyll, they use carotenoids instead, which are red/orange.yellow colour of flowers, leaves and fruits. They can develop from previously existing chloroplasts.

22
New cards

What are Leucoplasts?

Least differentiated plastids that lack pigment or elaborate internal structure. Amyloplasts are a type of leucoplasts that store and synthesize starch. It may also form other oils or proteins.

23
New cards

What are Proplastids?

They are the undifferentiated form of plastids. They need light for development and can turn to any form of plastids.

24
New cards

What are and the functions of Mitochondria?

Surrounded in a double bilayer membrane and is the site of respiration. It is more abundant in cell that contain a high ATP demand.

25
New cards

What are the invaginations inside the Mitochondria called and their function?

Called the Cristae, and its function is to greatly increase surface area.

26
New cards

What is Apoptosis?

Programmed cell death.

27
New cards

What are Peroxisomes and their function?

It is a single bilipid membrame that import all necessary components. It has a role in Photorespiration (consuming oxygen and release carbon dioxide)

28
New cards

What do Glyoxysomes do in Plant cells?

House enzymes to convert fats to sucrose during seed germination

29
New cards

What do Vacuoles do?

They are surrounded by a simple lipid bilayer called the Tonoplasts, formed by the ER and is a storage for many things where majority is filled with “cell sap” (water with inorganic ions, sugars, organic acids, and amino acids)

30
New cards

Are chloroplasts and mitochondria a form of endosymbiosis in plant cells?

Yes as they contain their own DNA with a double bilayer and contain their own genome.

31
New cards

Why is it important for chloroplast to be rearrange?

To optimize the greatest amount of absorption of light. But also because too much of chloroplast can disrupt the amount of light they absorb and the heat.

32
New cards

Which ER contain more in protein-rich cells and lipid-rich cells?

  • Protein-rich: contain a large proportion of rough ER

  • Lipid-rich: have extensive smooth ER

33
New cards

What is the Golgi Apparatus?

It is a collection of Golgi bodies that contain two poles: Forming Face (receives membrane bound substances from the ER) and Maturing Face (move materials from the Golgi to the plasma membrane).

Unlike mammalian cells, the sacs are separate and remain active even during mitosis and cytokinesis.

34
New cards

What does the Golgi Apparatus do?

Synthesizes and secretes hemicellulose and pectin for incorporation into the cell wall. It also recieves glycoproteins from the rough ER via transition vesicles → Moved to Maturing face through shuttle vesicles → Sorted in the trans-golgi network → transported to vacuole or plasma membrane.

35
New cards

What consists of the Endomembrane system?

  • Nucleus (nuclear envelope, nuclear pore, ribosomes)

  • Rough ER

  • Smooth ER

  • Golgi Apparatus

  • Secretory vesicles

  • Lysosomes

  • Plasma membrane

36
New cards

What is the Cytoskeleton and its role?

Network of protein filaments throughout the cytosol, roles in cell division, growth, differentiation, and organelle movement. There are Three protein filaments in plant cells:

  • Microtubules

  • Actin Filaments

  • Intermediate filaments (not well known)

37
New cards

What are microtubules and their role?

Cylindrical in shape, and is made up of tubulin subunits that are arranged in a helix to form a 13 row protofilament. They have roles in cell wall growth, expansion and direction of the cell, guide Golgi vesicles and chromosome movement

38
New cards

What are Actin filaments and their roles

Composed of actin molecules, that are in constant flux. Roles in cell wall deposition, tip growth of the pollen tube, movement of nucleus during cell division, vesicle secretion and cytoplasmic streaming.

39
New cards

What are the roles of the Cell wall?

Prevents the rupture of the plasma membrane from expansion, and an Active role in defence against pathogens.

40
New cards

What is the cell wall composed of?

Cellulose, which is bundled into microfibrils. Cellulose is also stronger than steal due to the coiling of microfibrils to form macrofibrils.

41
New cards

What is the hemicellulose?

differ depending on plant taxonomic group, form hydrogen bonds to cellulose microfibrils and act as tethers between microfibrils. They play a large role in regulating cell enlargement.

42
New cards

What is Pectin?

hydrophillic polysaccharides, allow the plant cell wall to be somehwat plastic in nature.

43
New cards

What is Callose?

form of Pectin, widely spread cell wall polysaccharide formed of wound chains of glucose. Most well known for roles in phloem tissues.

44
New cards

What are Glycoproteins?

Structural proteins and enzymes. Extensins are an example which are shown to strengthen and prevent extensions.

45
New cards

What does Lignin do?

add rigitity and compressive strength

46
New cards

What is the secondary cell wall?

a secondary cell wall may be laid down on the inner surface of the primary cell wall by the protoplast only once the cell has stopped increasing in size. It functions to strengthen the cell though many cells die after the secondary cell wall is deposited.

47
New cards

What does the Plasmodesmata do?

Connect the protoplast of adjacent cells.