1/81
Looks like no tags are added yet.
Name | Mastery | Learn | Test | Matching | Spaced | Call with Kai |
|---|
No analytics yet
Send a link to your students to track their progress
What is the goal of the emergency room?
To stabilize the pt’s condition by treating the acute problem and discharging or transferring the pt
Provide timely, compassionate, & high-quality care
What is an acute illness/injury?
Abnormal body condition with sudden, rapid onset
What is the emergency team composed of?
MDs, PAs, NPs, Dos, PharmDs, anesthesiologist
orthro, neuro, general surgery, pediatrics
RNs, Respiratory Therapists, Radiographers
Social workers
In the trauma room, the patient is everyone’s ______.
priority
In the trauma room, ______ is essential.
communication
In the trauma room, always wear your ______.
lead
In the trauma room, _____ when you are going to expose.
announce
ER pts present with various symptoms and even more varied _____.
abilities
The pt’s experience includes ______ and ______ they interact with while in our care.
everyone, everything
Be mindful of pt privacy and always uphold ______.
HIPAA
It is our duty to provide the pt with ____, ______, and ____-_____ care.
timely, compassionate, high-quality
We should avoid _____ the pt too much.
moving
If the pt cannot move, we must manipulate our ___ and ___ to get the desired images.
CR, IR
We should ____ force a pt into position.
NEVER
Define a fracture.
A disruption of bone caused by mechanical forces either applied directly to the bone or transmitted along the shaft of the bone
For a fracture, we should always use ______.
caution
NEVER force a limb or body part into position
What is apposition?
How fragmented ends of the bone make contact with one an other
Anatomic apposition
Lack of apposition (distraction)
Bayonet apposition

What apposition is this?
Anatomic

What apposition is this?
Lack of apposition (distraction)

What apposition is this?
Bayonet apposition
What is angulation?
Extent to which fracture fragment aligned
Apex angulation
Varus deformity (inversion)
Valgus (eversion) deformity

What is apex angulation?
Describes the direction or angle of the apex, whether it points medially or laterally

What angulation is this?
Varus deformity (inversion)
distal fragment towards midline apex angles away (lateral)

What angulation is this?
Valgus (eversion) deformity
distal fragment away from midline/apex towards (medial)
Since the fx is NOT aligned… the apex angle will always be ______ the distal fragment angle
opposite
What are the main 2 types of fractures?
Simple And Compound open
What is a simple fracture?
Fx where bone does not break through the skin

What is a compound fracture?
Portion of the bone protrudes through the skin

What is an incomplete fracture?
Fracture does not transverse through the entire bone (bone is not broken into 2 pieces)
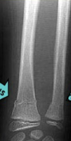
Torus
Greenstick


What type of fracture are these?
Torus, greenstick (incomplete)

What is a complete fracture?
Break is complete, bone is broken into 2 pieces
Transverse
Oblique
Spiral


What fracture is this?
Oblique - complete

What fracture is this?
Spiral - complete

What fracture is this?
Transverse - complete
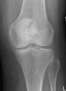
What is a comminuted fracture?
Bone is splintered or crushed at site of impact resulting in two or more fragments
Segmental
Butterfly
Splintered


What type of fracture is this?
Butterfly -comminuted

What type of fracture is this?
Segmental - comminuted
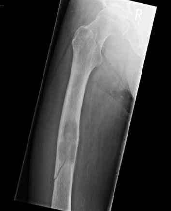
What is an impacted fracture?
One fragment is driven into the other, quite common with fall on outstretched hand (FOSH)


What type of fracture is this?
Avulsion
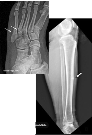
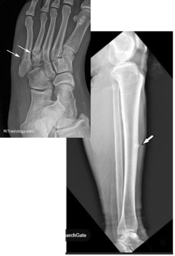
What is an avulsion fracture?
Fragment of bone is pulled away an attached tendon or ligament


What type of fracture is this?
Chip
What is a chip fracture?
Isolated bone fragment NOT caused by tendon or ligament


What type of fracture is this?
Compression
What is a compression fracture?
Vertebral fracture displays as decreased vertical dimension of anterior vertebral body
Lower t-spine usually


What fracture is this?
Depressed (Ping-pong)
Describe a depressed (ping-pong) fracture?
Skull fx where the fragment is depressed in like a ping pong ball


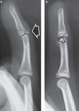
What fracture is this?
Epiphyseal
What is an epiphyseal fracture?
Fracture through the epiphyseal plate in children


What fracture is this?
Pathologic fracture
What is a pathologic fracture?
Fracture due to disease process

What type of fracture is this?
Stellate
What is a stellate fracture?
Fracture radiates in a star like pattern from central point of injury


What type of fracture is this?
Stress
What is a stress fracture?
Caused by a repeated stress on the bone (marchers or runners)


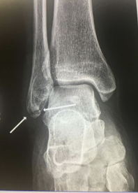
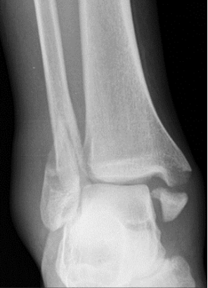
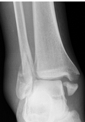
What type of fracture is this?
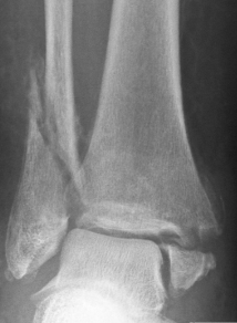
Trimalleolar
What is a trimalleolar fracture?
Fracture of ankle joint involving medial and lateral malleoli and posterior lip of distal tibia


What type of fracture is this?
Tuft/Burst
What is a tuft/burst fracture?
Caused by crushing blow to distal finger or thumb (slamming in a door/hammer)


What type of fracture is this?
Blowout/tripod fracture
What is a blowout/tripod fracture?
Direct blow to the orbit and maxilla or zygoma causing fractures to orbital floor and lateral orbital margin


What type of fracture is this?
Colles - special fracture
What is a colles fracture?
Special
Fracture of the wrist in which distal radius is fractures with distal fragment displaced posteriorly


What type of fracture is this?
Smith (reverse colles) - special
What is a smith (reverse colles) fracture?
Special
Fracture of the wrist with a distal fragment of the radius displaced anteriorly
Results from backward fall on outstretched hand (FOSH)


What type of fracture is this?
Barton fracture - special

What type of fracture is this?
Barton
What is a barton fracture?
Intra-articular fracture of the distal radius that often involves subluxation or dislocation of the radiocarpal joint anterior or posterior


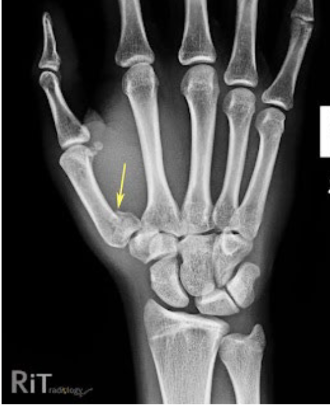
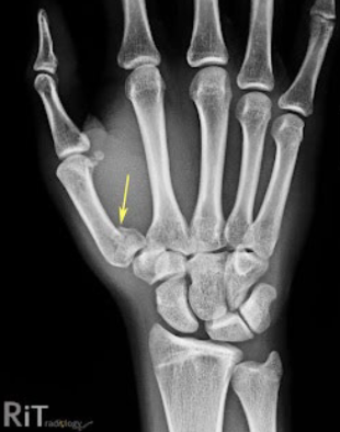
What fracture is this?
Bennett
What is a Bennett fracture?
Longitudinal fracture at base at first metacarpal with fracture line entering the CMP joint


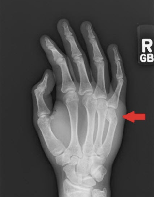
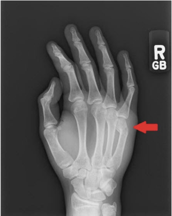
What is this fracture?
Boxer
What is boxer fracture?
Fracture of distal fifth metacarpal
Results from punching someone or something


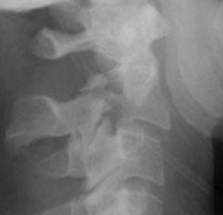
What type of fracture is this?
Hangman fracture
What is a hangman fracture?
Fracture through pedicles of axis (C2)


What fracture is this?
Hutchinson (Chauffeur)
What is a Hutchinson (Chauffer) fracture?
Special
Fx of radial styloid process (blow to lateral side of distal forearm)


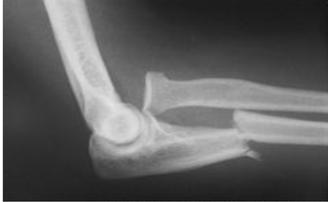
What type of fracture is this?
Monteggia
What is a monteggia fracture?
Fx of proximal half of ulna with dislocation of radial head
May happen if raise arms to block blows to the head


What type of fracture is this?
Pott
What is a pott fracture?
Complete fracture of distal fibula, may involve ligament damage and fracture of medial malleolus and distal tibia

What is a closed reduction?
Fracture fragments are realigned by manipulation and immobilized by cast or splint
This is a NON-SURGICAL procedure but may use fluoroscopy
What is an open reduction?
Surgery using screws, plates, or rods to maintain alignment of parts while bone regrowth takes place
Also called Open Reduction with Internal Fixation (ORIF)
Scenario review slides 27-40