1/25
Looks like no tags are added yet.
Name | Mastery | Learn | Test | Matching | Spaced | Call with Kai |
|---|
No analytics yet
Send a link to your students to track their progress
what are the functions of bone tissue
load bearing
protection of vital organs
movement
physical form/ shape and aesthetics
anchor for teeth via cementum and PDL
hearing
metabolic e.g. calcium storage, haematopoiesis for RBC
what is the composition of bone
living cells
osteoblasts
osteocytes
osteoclasts
extracellular matrix
organic (35% by volume)
mineral (40% by volume)
water (25% by volume)
outline the ECM of bone
organic (35% by volume)
collagen type I (95%)
collagen type V (5%)
plus other proteins e.g. osteocalcin
mineral (40% by volume)
hydroxyapatite
water (25% by volume)
—
ECM of mineralised collagen performs the mechanical work of load bearing and protection
outline the types of bone

outline the forms of bone

what is the periosteum
the periosteum lines the outer surface of cortical bone

woven bone


what does this histological image show
osteoclasts in resorption cavity

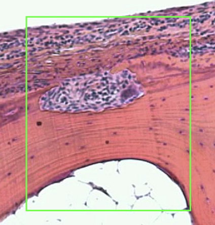
what does this histological image show
osteoclast lacunae

relevancy of bone physiology to dentistry

phases of bone remodelling

outline the mechanism of bone remodelling

what kind of cycle is bone remodelling
a continuous process
the adult skeleton is effectively replaced how often
every decade
systemic factors stimulating bone resorption (6)


systemic factors stimulating bone formation

local factors stimulating bone resorption (4)

local factors stimulating bone formation

what are the forms of bone healing (extension of remodelling)
primary
secondary
outline primary bone healing
primary bone healing
if the site of injury is mechanically stable with low mechanical strain and a good blood supply, direct contact
intramembranous bone healing will occur via remodelling
outline secondary bone healing
secondary bone healing
more commonly, healing occurs via endochondral ossification
fracture healing here begins in a relatively hypoxic environment
this leads to recruitment of stromal cells and formation of a cartilaginous callus
note about first stage of endochondral ossification

list some bone diseases
Paget’s disease
bone cancers
Medication-related osteonecrosis of the jaw (MRONJ)
outline Paget’s disease
enlarged or deformed bones
causes not fully understood
may be managed with drug therapies
outline bone cancers
occurs with solid e.g. breast, prostate and haematopoietic malignancies e.g. myeloma
primary bone cancers are relatively rare, the majority have metastasised from other cancers (2° cancer)
outline MRONJ
complex pathology
initiated by accumulation of anti-osteoporotic drugs e.g. bisphosphonates in bone tissue, trauma and microbial colonisation