1/25
Looks like no tags are added yet.
Name | Mastery | Learn | Test | Matching | Spaced | Call with Kai |
|---|
No analytics yet
Send a link to your students to track their progress
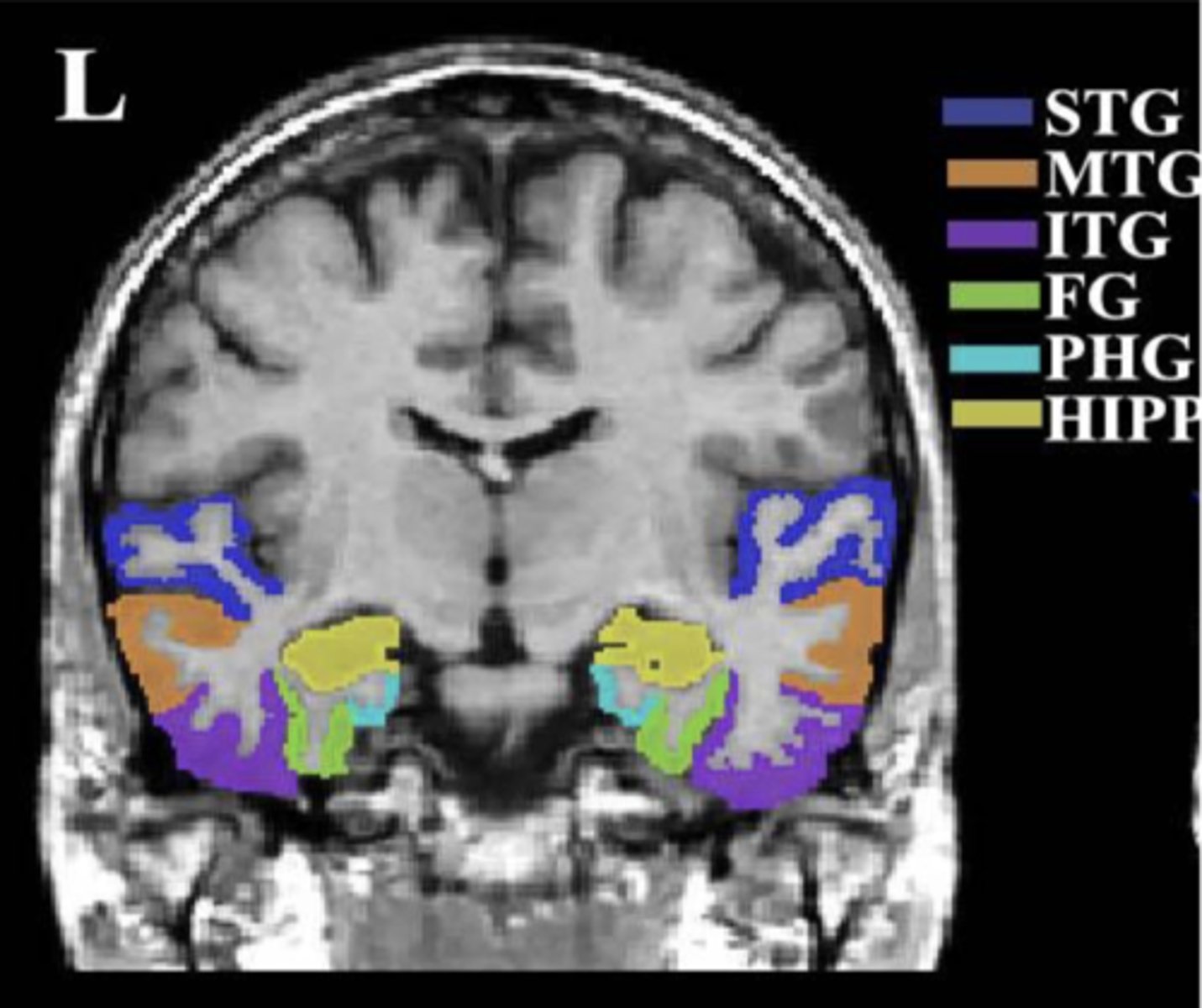
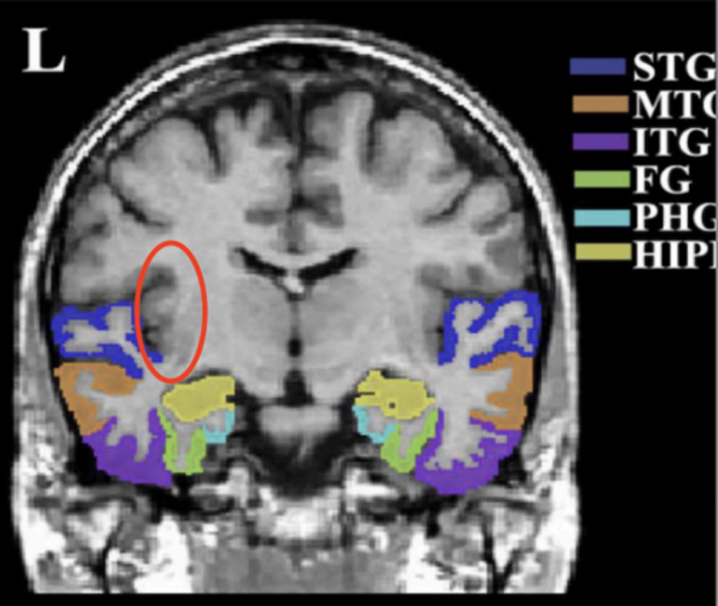
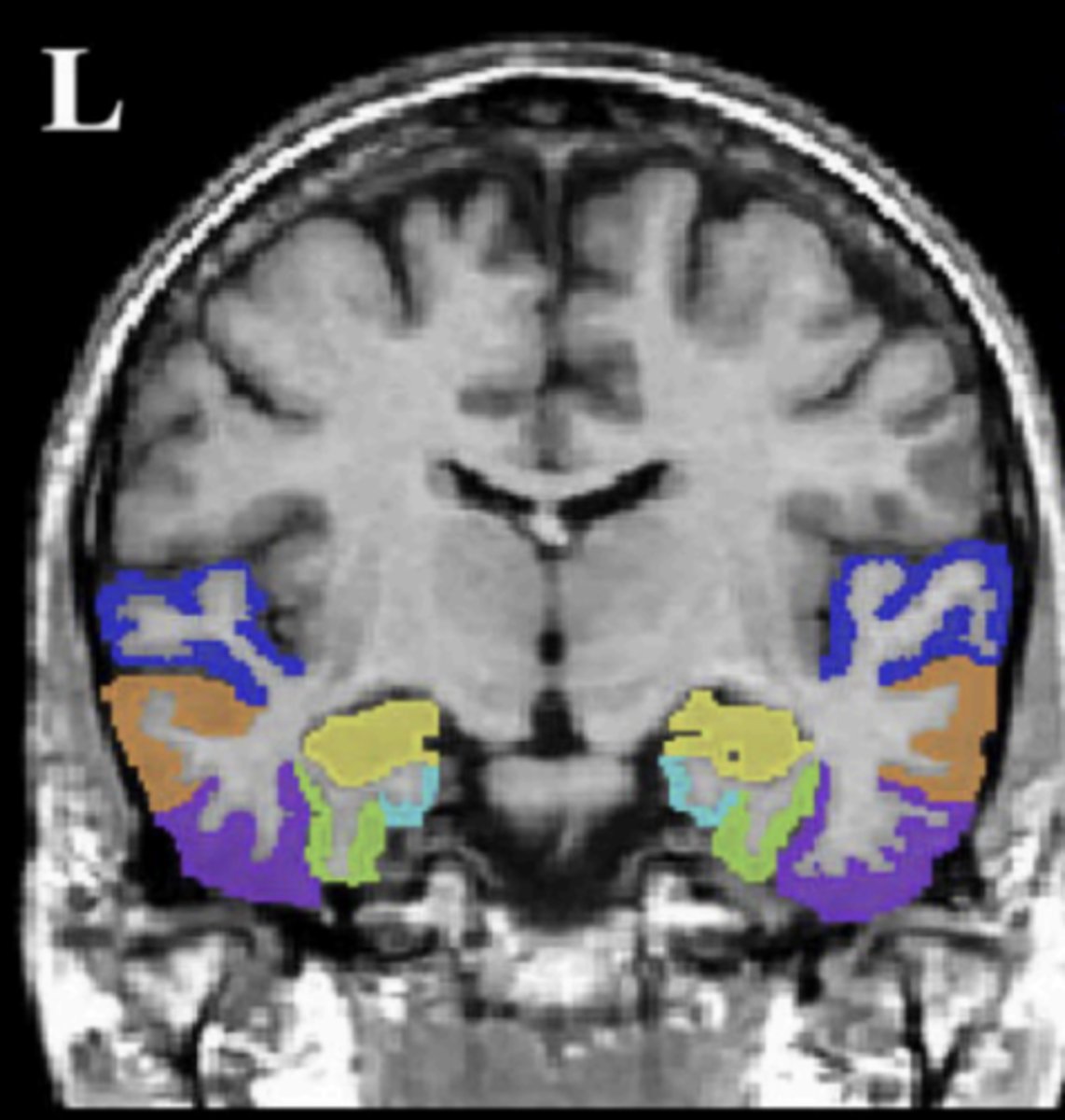
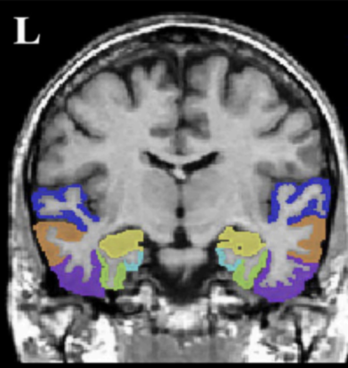
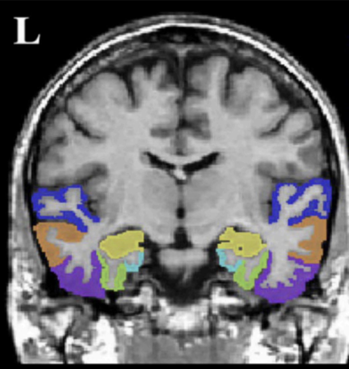
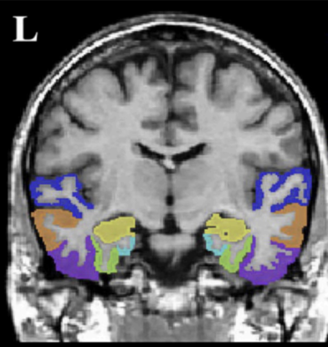
temporal lobe (coronal view)

insula
circled in red, next to STG

superior temporal gyrus (STG)
dark blue area

middle temporal gyrus (MTG)
orange area

inferior temporal gyrus (ITG)
purple area

fusiform gyrus (FG)
green area

parahippocampal gyrus (PHG)
light blue area

hippocampus (HIPP)
yellow area

ventral ("what") auditory pathway
starts in A1 -> ends in superior temporal gyrus (STG)

ventral ("what") visual pathway
starts in V1 -> ends in inferior temporal gyrus (ITG)

dorsal ("where") pathway
starts in A1 -> ends in posterior temporal cortex and parietal cortex

A1 vs. V1
A1 = primary auditory cortex
V1 = primary visual auditory cortex

somatosensory cortex

primary motor cortex (M1 - anterior-central gyrus in the picture)

anterior cingulate cortex

orbitofrontal cortex (OFC)
- one of the functional parts of the prefrontal cortex, sometimes called ventromedial

dorsolateral prefrontal cortex (DLPFC)
- one of the functional parts of the prefrontal cortex (scribbled out area)

hypothalamus
- part of the diencephalon

thalamus
- part of the diencephalon

Mesocortical Pathway
VTA ←> PFC

Mesolimbic Pathway
VTA ←> NAc

Nigrostriatal Pathway
SN ←> Bg-S

Substantia Nigra

Nucleus Accumbens

Fusiform Gyrus

Inferior Temporal Gyrus
