1/79
Looks like no tags are added yet.
Name | Mastery | Learn | Test | Matching | Spaced | Call with Kai |
|---|
No analytics yet
Send a link to your students to track their progress
gonads
sex glands
spermatozoa
a mature sperm cell
ductus deferens
carries sperm from epididymis to urethra

urinary bladder
stores urine

prostate gland
adds a chemical fluid to the semen

corpus cavemosum

corpus spongiosum
surrounds the urethra

urethra
tube leading from the urinary bladder to the outside of the body

ureter
A duct leading from the kidney to the urinary bladder.
seminal vesicle
male organ that produces seminal fluid for sperm cells

ejaculatory duct
small duct that connects the vas deferens to the urethra

bulbourethral glands
the two glands below the prostate that secrete a sticky fluid that becomes a component of semen

Epididymis
stores sperm

Testies
the male reproductive organ that makes sperm and testosterone

Scrotum
a pouch of skin containing the testicles.

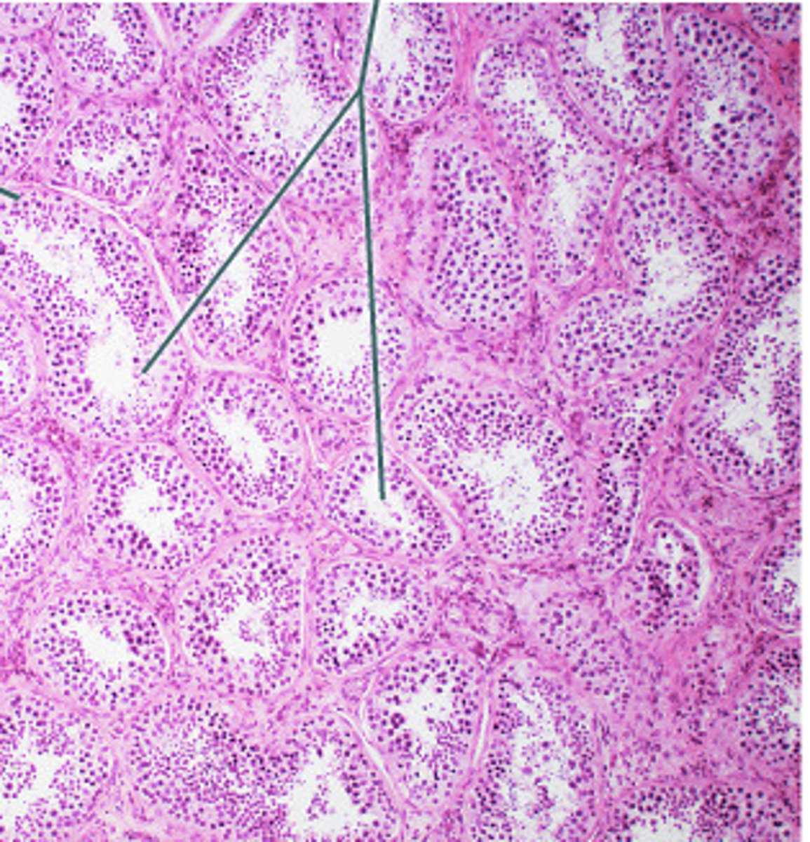
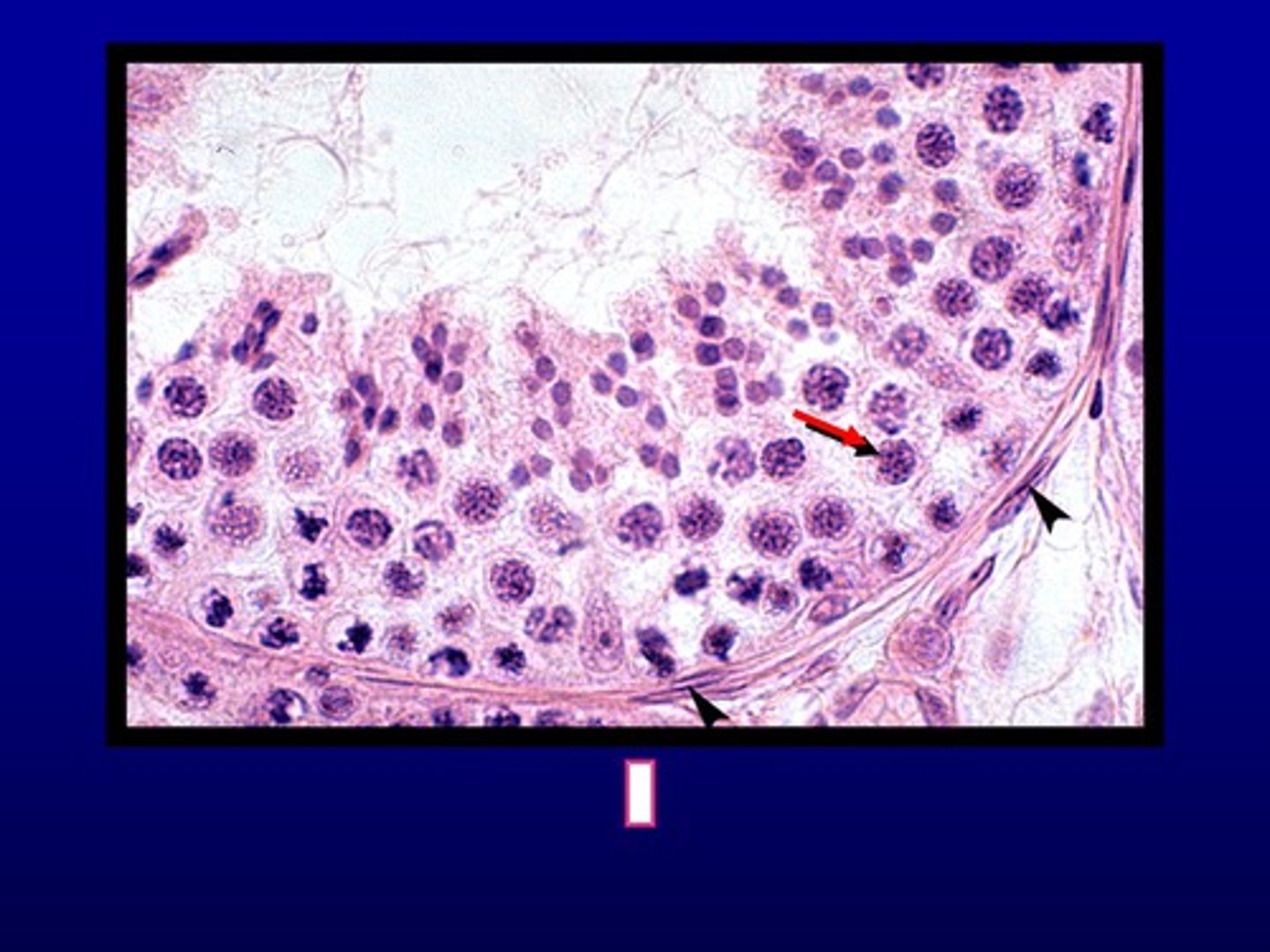
seminiferous tubules
Narrow, coiled tubules that produce sperm in the testes
Spermatogenesis
Formation of sperm
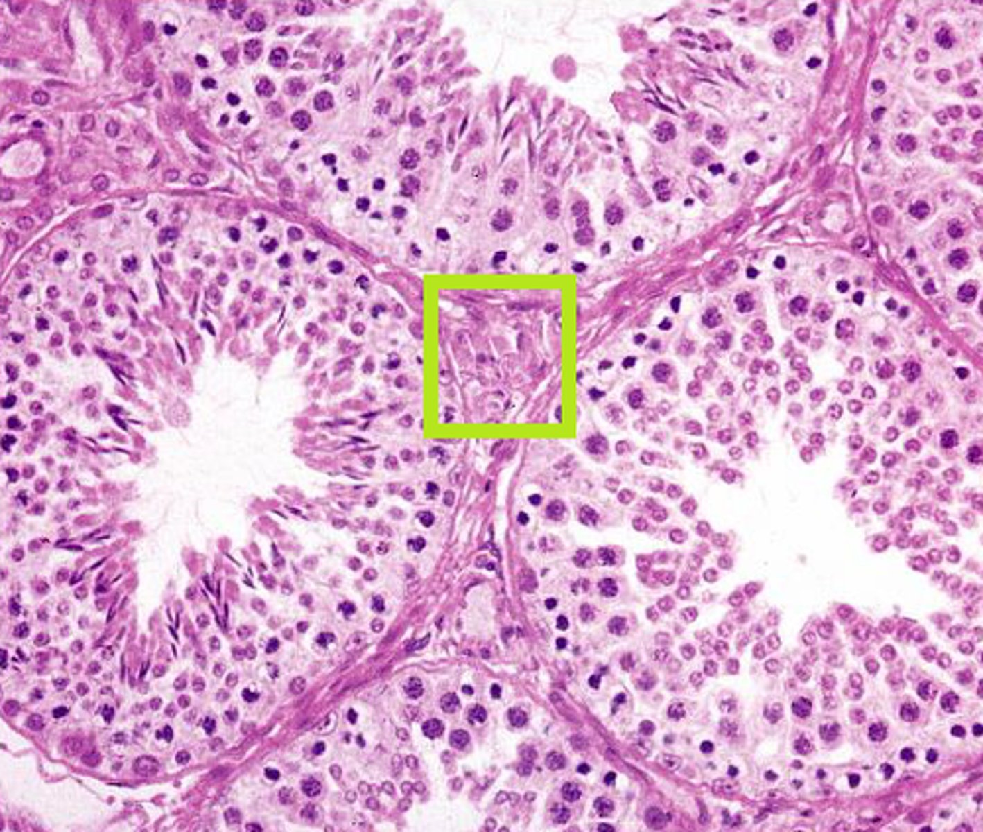
spermatogonia
most immature cells; located near the basement membrane
primary spermatocyte
a cell that divides to form two secondary spermatocytes
lumen of tubule

leydig cells

spermatogonium

primary spermatocytes

secondary spermatocytes

spermatids

spermatozoa

leydig cell
secrete testosterone
Ovary

Fibriae

uterine tube

ovarian ligament

body of the uterus

cervix

uterine tube

urethra

infundibulum

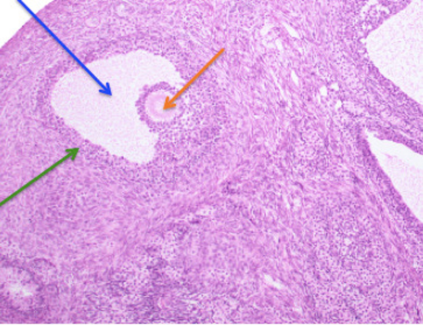
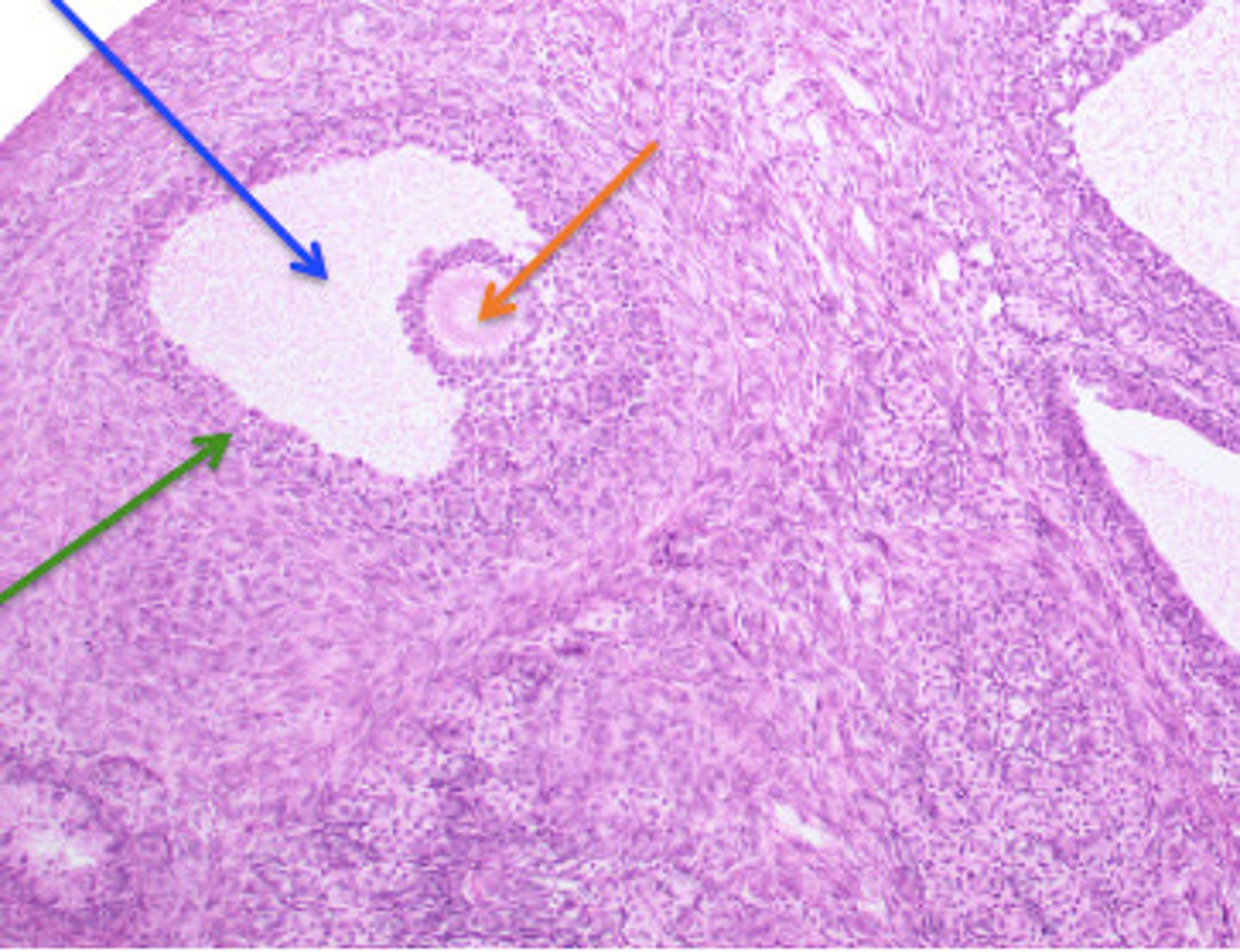
2 regions of ovary
cortex and medulla
cortex of ovary
follicles and corpora lutea are located in the
Oogenesis
Egg production
oogonia
During fetal development these cells give rise to primary oocytes
primary oocyte
a cell that divides to form the polar body and the secondary oocyte
primary follicle
contains an immature oocyte
atresia
before birth and during childhood, cells degenerate
corpus albicans

corpus luteum

ovulated oocyte

Graafian follicle

growing follicle

primary follicle

zona pellucida

oocyte nucleus

secondary oocyte
orange

theca interna
f

granulosa cells

antrum
blue

Progesterone
secreted by the corpus luteum; important for the development of the placenta and the suppression of follicle maturation
pronuclei
Sperm and egg nuclei swell and become
Zygote
fertilized egg (diploid)
Morula
solid ball of cells
Blastocyst
hollow ball of cells

inner cell mass
will become the embryo

trophoblast
outer layer of blastocyst (C)

cellular trophoblast
cells closest to interior of blastocyst
syncytial trophoblast
outer layer cells lose their cell boundaries and form a multinucleate mass
epiblast
primitive ectoderm
hypoblast
primitive endoderm
amniotic cavity
the fluid-filled space between the embryo and the amniotic sac
yolk sac
provides nourishment to the embryo while the placenta is being established
Chrorion
extraembryonic mesoderm and the trophoblast layers form this
chorionic villi
elaborate finger like extensions on the chrorion
gastrulation
cell layers transform into three layers of cells called the primary germ layer
ectoderm
outermost germ layer; produces sense organs, nerves, and outer layer of skin
mesoderm
the middle layer of an embryo in early development - muscles blood bones heart and kidneys
endoderm
the inner germ layer that develops into the lining of the digestive and respiratory systems
allantois
embryonic membrane which develops from the endoderm and mesoderm - forms part of the urinary bladder and contributes to the stalk
What is ectopic pregnancy?
A pregnancy in which the fertilized egg implants outside the uterus
What is placenta previa?
The placenta partially or completely covers the birth canal
dizygotic twins
twins who are produced from two separate ova
monozygotic twins
twins from one egg - genetically identical
What is breech presentation?
when the baby is the wrong way - feet first