1/44
Looks like no tags are added yet.
Name | Mastery | Learn | Test | Matching | Spaced | Call with Kai |
|---|
No analytics yet
Send a link to your students to track their progress
Kwaadaardige gezwellen in
hoofd en hals
Mucosale carcinomen
Cavum-oristumorenOrofarynxtumoren
Hypofarynxtumoren
Larynxtumoren
Slokdarmtumoren
Klik om het opmaakprofiel van de modelondertitel te bewerken
Neus, sinussen
Nasofarynx
Carcinomen van
speekselklieren, schildklier
Sarcomen
Lymphomen
gezwellen in de hals
Mondholten grenzen
- weke verhemelte
- voorste tonsilpijler
- achterste 1/3 tong
behoren tot orofarynx
Subsites:
- lip
- harde palatum
- tong
- mondbodem
- wang
- gingiva
- trigonum retromolare

appapilla kunenn opzwellen wrdoor mensen sosm denken aah tumor maar is gwn een dikke pappilla

Algemene principes voor orale tumoren
Meestal plaveiselcelcarcinomen.
De diepte van de tumor is specifiek betrokken bij de
prognose
Primaire heelkunde wordt meestal verkozen
Primaire radio(chemo)therapie kent hogere toxiciteit dan elders (xerostomie, osteoradionecrose, trismus, dysfagie)
RT indien inoperabel of te grote morbiditeit na operatie
Grote tumoren: kunnen mandibula of maxilla invaderen
Reconstructie van het defect is meestal nodig voor tumoren die in het bot groeien. herstel van functie maar wordt gecompliceerd bij T4
Adjuvante behandeling op basis van het pathologisch onderzoek.
MEestal wegsnijden
(tabel per illustratie)

Reconstructie: weefseltransfer
Huident
Weefsels uit de buurt, met voedende bloedvaten (gesteelde flap) → met bloedvat
Weefsels op afstand, met voedende bloedvaten (vrije flap)
Lip
Weinig voorkomend.
Vooral onderlip, UV-blootstelling = risicofactor.
Vaak vroeg ontdekt → goede prognose
Kleine gezwellen: wigexcisie en primair sluiten zorgt voor een beperkte microstomie zonder functionele gevolgen.

Grotere liptumoren
Grotere gezwellen: de resulterende microstomie kan voeding en
tandprothese onmogelijk maken. -> reconstructie nodig
Functionele gevolgen voor lipmobiliteit: het gereconstrueerde deel bevat niet altijd functionele sfincter.
sensibiliteit. → kan deels/volledig weg zijn
Wicklosobie?
herstelling is vaak wel niet zeer functioneel want de spier is weg en w niet echt vervangen
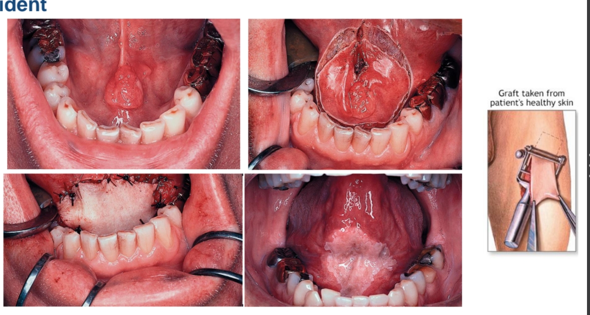
Tong, mondbodem, gingiva onderkaak
Zeer kleine tongtumoren:
Resectie (partiële glossectomie)
en ‘primair sluiten’
Of huident
Esthetisch
Functioneel: tongtip!l
Kleine → excisie + primaire sluiting (minimale functieverlies).
Grotere → reconstructie nodig (vrije radialisflap van voorarm).
Doel: bedekking defect + behoud tongmobiliteit.
Tot 50% van tong kan worden verwijderd zonder groot functieverlies.
Grote, totale tongresectie → inoperabel wegens verlies van spraak/voeding

Mondbodem- en grotere tongtumoren
Primair sluiten zorgt voor mobiliteitsbeperking
(oppervlakteverkleining)
Reconstructie van mucosaal oppervlak (niet spier) is nodig voor
herstel tongmobiliteit
Meestal vrije voorarmflap (radialisflap)
linker persoon is niet succesvolle reconstructie

Huident
wondcontractie → de flap gaat krimpen door litteken vorming

Vrije flap
sensibikiteit aangepast!

Radial forearm flap
Microvasculaire anastomose → conecteren bloedvaten
Donorsite morbiditeit → plek op arm kan ook sensibiliteit hebben!

Gesteelde flap (FAMM flap wang) vs voorarmflap

Beenderige resectie: partiële mandibulectomie
Mondbodem, trigonum retromolare, gingiva onderkaak (T4)-
→ reconstructie vr functie te verkrijgen

Beenderige reconstructie

Dentaat

Revalidatie na partiële glossectomie
Verlies aan mobiliteit (en volume)
N. lingualis
N. alveolaris inferior
N. hypoglossus→ spraak
Klik om het opmaakprofiel van de modelondertitel te bewerken
→ slikken: orale propulsie
Totale glossectomie?
geen spraak en slik functie
→ w niet vaak gedaan → want geen levenskwaliteit

Wang
Trismus
Mobiliteit en innervatie orale musculatuur

Bovenkaak en harde verhemelte
Minder snel regionale metastasering
Soms ook carcinoom van accessoire
speekselklier
Ingroei in maxilla
Partiële maxillectomie

Partiële maxillectomie
Oronasale fistel (gat naar)
Oro-antrale fistel
Trismus
→ prothese kan makkelijk worden aangemaakt→ hermetische afsluiting zodat spreken en eten mogelijk is

Orofarynx

Specifieke lokalisaties (2): orofarynx
Alcohol + nicotine
HPV-gerelateerde tumoren manifesteren zich thv orofarynx
Keelpijn, gerefereerde oorpijn (otalgie), dysfagie
Meestal bestraling als eerste keus
- Dysfagie!
- Vaak sondevoeding

Heelkundige behandeling
Partiële glossectomie of faryngectomie.
Door de diepe ligging moet de onderkaak vaak
gespleten worden
(mandibulotomie)
• Vaak radialisflap. Niet-sensibel!
• Tijdelijke tracheotomie (aspiratie
en dyspnee) → want slikreflex werkt niet goed meer

microsurgi
TLM (transoral laser microsurgery)
TORS (transoral robotic surgery)
Kleine tumoren (T1, T2, soms T3) met N0 (soms N1)

Meestal geen reconstructie nodig: genezing ‘per secundam’
Soms velofaryngeale insufficiëntie

Neus en paranasale sinussen, Nasofarynx
Neus en paranasale sinussen
Meestal adenocarcinoom.
Blootstelling aan houtstof
Uitbreiding naar orbita of hersenen
Behandeling: transnasale endoscopische of open resectie,
en / of bestraling
Nasofarynxcarcinoom
Frequenter bij Aziaten
Infectie met EBV (Epstein Barr Virus)
Nitrosamines (pekelen en drogen van vis en vlees)
Uitbreiding naar hersenen. Aantasting craniale zenuwen
Klik om het opmaakprofiel van de modelondertitel te bewerken
Inductie chemotherapie + radiochemotherapie
Symptomen?
Neusverstopping, bloedneus, hoofdpijn / gelaatspijn, otalgie, aantasting craniale zenuwen
Unilaterale otitis media met effusie!
Gevolgen bestraling
Tubaire dysfunctie.
Neurosensorieel gehoorverlies: tegenwoordig minder met IMRT

Hypofarynx
In continuïteit met orofarynx. Grens = niveau tip epiglottis.
Subsites:
Hypofarynxachterwand
Sinus piriformis
Retrocricoidale regio

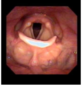
Intermezzo: directe laryngofaryngoscopie

symptomen
Slechte prognose - vaak is eerste symptoom pas laattijdig een halsklierzwelling!
Snelle metastasering
Kleine tumoren geven weinig symptomen
Grotere tumoren: dysfagie, globusgevoel, geref.otalgie
Invasie van de larynx: heesheid of stridor

Behandeling hypofarynx
Eerste keuze is radiotherapie of radiochemotherapie
Veel dysfagie tengevolge
Heelkunde:
Indien tumor de luchtweg bedreigt en radiotherapie onveilig is
Bij complete obstructie hypofarynx of slokdarm
Als ‘salvage’ bij falen van radiochemotherapie
Komt meestal neer op partiële faryngectomie gecombineerd met totale laryngectomie; of
totale faryngolaryngectomie.
Zie hoofdstuk larynx
larynx
Supraglottis (epiglottis, ary-epiglottische plooi, valse stemband
Glottis
Subglottis
Supraglottis
Supraglottis: snelle
metastasering, vaak
laattijdig symptomen.
Stridor bij grotere tumoren
Behandeling:
Meestal RT
Heelkunde: eerder bij falen
RT, bij obstruerende tumoren
of bij T4
Supraglottische partiële
laryngectomie bij T1-T3
Totale laryngectomie bij T4
Partiële laryngectomie
Laser of TORS (T1-T2)
Tijdelijke canule wegens aspiratie, intensieve revalidatie
Extern
Horizontale supraglottische
partiële laryngectomie
Met (cricohyoideopexie)
Aspiratie: intensieve revalidatie -
canule voor maanden
(oefenen om slik functie terug te krijgen)

Glottis
Meestal vroegtijdig symptomen: heesheid.
Stridor bij grotere tumoren
T1 ware stembanden
T2 uitbreiding naar supra/subglottis, vertraagde
mobiliteit
T3: gefixeerde stemband (ingroei in
spier/gewricht)
T4: doorgroei doorheen kraakbeen van larynx
T1/T2: radiotherapie of chordectomie of
Klik om het opmaakprofiel van de modelondertitel te bewerken
partiële laryngectomie
T3: radiochemotherapie of partiële/totale
laryngectomie
T4: totale laryngectomie
(bij T3 of T4 bestralin want is beter voor de stem)

T1/T2
Goede prognose
(T1>90% 5j)
Radiotherapie
Laser cordectomie. → via mond stukjes tumor wegnemen
Verticale partiële
laryngectomie
geen mucosale golf meer = tumor tot spier → met laser

T3 / T4
Radiochemotherapie
Grote obstruerende tumoren: risico op afunctionele larynx bij radiotherapie.
tracheotomie proberen vermijden tijdens radiotherapie. Soms voorkeur
laryngectomie.
T3: soms supracricoidale horizontale partiële laryngectomie

Partiële laryngectomieën
100% aspiratie postoperatief :
tracheotomie
Enkel bij jonge leeftijd; goede
algemene toestand; goede preoperatieve slikfunctie en goede
pulmonale toestand (dus geen mensne met slikfunctie problemen of ademhalingstelsel)
Verticale partiële laryngectomie
Klik om het opmaakprofiel van de modelondertitel te bewerken
(anterolateraal, frontaal)
Horizontale partiële laryngectomie
- supraglottisch
- supracricoidaal
- supratracheaal

Voeding na laryngectomie

Heelkundige behandeling – larynx &
hypopharynx, slokdarm
Totale laryngectomie met partiële faryngectomie
reconstructie met vrije of gesteelde flap
Totale laryngofaryngectomie +/- oesofagectomie

Behandeling van lymfekliermetastasen
Regio’s 1 tot 5 bilateraal
Verspreidingspatronen
Bij radiochemotherapie:
bestraling van de hals
Bij heelkunde:
halsklieruitruiming =
halsevidement = neck
dissection

Therapeutische halsklieruitruiming
In principe alle of bijna alle regio’s worden
weggenomen indien er
lymfekliermetastasering is aangetoond.
Wordt verwijderd: lymfekliermetastasen en
node bearing tissue = bindweefsel tussen de
organen (ook soms enkele zenuwen → bv accesorius, armmobiliteit boven de schouder, plexus cervicalis verdwijnt sowieso → sensibiliteit van hals en onerkant oor verdwijnt)
Verschillende types
Radicaal
Radicaal gemodifieerd
Selectief

Problemen
‘Opgeofferde’ organen naargelang de
uitgebreidheid van de metastase
M. Sternocleidomastoideus (meestal)
Vena jugularis interna
Nervus accessorius
Ansa hypoglossi
…
Paralyse R. marginalis n. facialis (veerstoorde depressie van onderlip)
Hals-schouderpijn, fibrose (zeker
indien ook RT)
Pectoralis-majorflap

Preventieve behandeling hals
Occulte metastasen: bij 1 op 4 patiënten
met N0 ziekte > Electieve (preventieve)
behandeling van de hals:
Electief supra-omohyoidaal halsevidement
Sentinelklierbiopsie