1/54
Looks like no tags are added yet.
Name | Mastery | Learn | Test | Matching | Spaced | Call with Kai |
|---|
No analytics yet
Send a link to your students to track their progress
Average HVID
11.8 mm
Average CL diameter
13-14 mm
Prolate
steeper in center, flatter in periphery
Oblate
flatter in center, steeper in periphery
What conditions are associated with a prolate corneal shape?
Normal, keratoconus
What conditions are associated with an oblate corneal shape?
Post LASIK or Post RK
What is the average power of the eye?
60D
What is the average power of the cornea?
45D
What is the average power of the lens?
20D
Which is not a function of the cornea?
Support for surrounding tissues
How thick is the cornea at the center?
530 μm
How thick is the cornea at the limbus?
710 μm
A thick cornea may present with a ______ IOP.
artificially high
A thin cornea may present with a ______ IOP.
artificially low
A larger radius will be ________.
less curved
If the vertical line is steeper, the astigmatism is….
with the rule
Regular vs Irregular Astigmatism
Principal meridians are 90 degrees apart
What is a fleischer ring?
iron deposits at the base of cone
What is ectasia?
thinning of the cornea

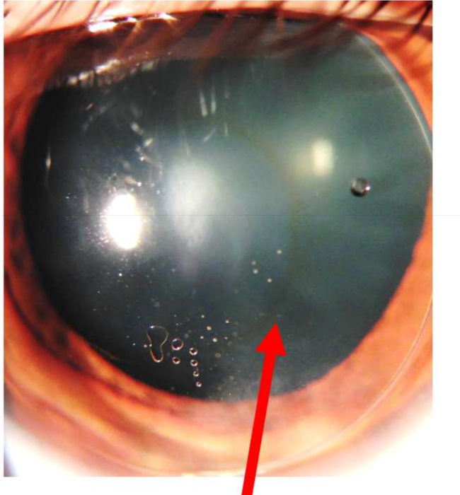
Name the finding.
Fleischer Ring

Name the finding.
Fleischer Ring

Name the finding.
Vogt’s Striae

Name the finding.
Corneal Scarring

Name the finding
Keratoconus

Name the finding.
Regular Astigmatism

Name the finding.
Irregular Astigmatism
Sometimes found following PKP (penetrating keratoplasty)
Irregular Astigmatism
What is the correct order of the corneal layers?
a) Endothelium
b) Epithelium
c) Stroma
d) Bowman’s Layer
e) Descemet’s Membrane
b, d, c, e, a
Which is not a layer of the Corneal Epithelium?
Medial Cells
How thick is the corneal epithelium?
50 microns
How many layers are the superficial cells of corneal epithelium typically?
2 cells
Superficial cells of the corneal epithelium are…
squamous
Superficial Cells of the corneal epithelium ________ keratinized.
are not usually
When might superficial cells of the corneal epithelium become keratinized?
Vit. A deficiency
Which cells have microvilli and microplicae to increase surface area and assist tear movement?
Superficial cells
Which cells secrete the corneal glycocalyx?
surface cells
Glycolcalyx confers ________ properties on the anterior surface of cells.
hydrophilic
What percent water is the cornea?
78%
What do superficial cells of the corneal epithelium use to protect the eye from invasion, regulate fluid, and prevent excess fluid uptake?
Tight Junctions
Surface cells of corneal epithelium are replaced by _______ after they slough off into the tear film.
wing cells
Wing cells are…
2-3 layers
Basal Cells are…
1 layer
Mitosis occurs in the…
basal cell layer
What adheres the basal cells to the basement membrane?
hemidesmosomes
The anchoring fibrils that make up the hemidesmosomes are what type of collagen?
VII
In the stroma, the anchoring fibrils form anchoring plaques with….
TI Collagen
Corneal Stem Cells for the basal epithelium are located…
in the 1mm band around the limbus
Turn over time for the entire corneal epithelium is about…
7 days
Bowman’s layer is about…
10 microns
Bowman’s layer is made of…
collagen fibrils and proteoglycans
Which layer accounts for 90% of the thickness of the cornea?
stroma
Where does the peripheral portion of the stroma connect?
anterior sclera at limbus
What does the stroma contain?
Collagen, keratocytes, ground substance
Lamellae
flat bundles of collagen fibrils