1/35
VET 350 egg ID (common names)
Name | Mastery | Learn | Test | Matching | Spaced | Call with Kai |
|---|
No analytics yet
Send a link to your students to track their progress
lung fluke in dogs and cats

double-pored tapeworm

zipper tapeworm

roundworm

hookworm

whipworm

heartworm

Taenia spp.

Giardia spp. trophozoite

Giardia spp. cyst

Capillaria spp.

cystoisospora spp.

Toxoplasma gondii

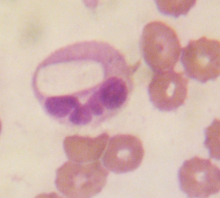
Hepatozoon spp.

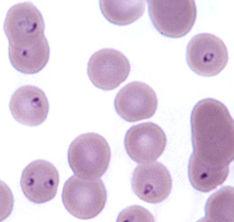
Babesia gibsoni

Babesia canis

Cytauxzoon felis

equine roundworm

equine pinworm

ruminant tapeworm

Equine Stomach Worm

Strongyle

Equine Tapeworm

Liver Fluke

Brown Stomach Worm

Sucking lice

Chewing Lice

Sarcoptes scabei

Demodex

Ear mite

Assassin bug

Flea

Phlebotomine Sand Fly
Phlebotomine Sand Fly

Warble fly

Screw worm fly

Sheep ked
