1/65
Looks like no tags are added yet.
Name | Mastery | Learn | Test | Matching | Spaced | Call with Kai |
|---|
No analytics yet
Send a link to your students to track their progress

Identify number 6
Pineal Gland

Identify number 1
Pituitary Gland

Identify letter F
Hypothalamus

Identify number 2
Thyroid Gland

Identify number 7
Parathyroid gland

Identify number 8
Thymus

Identify number 9
Adrenal Glands

Identify number 3
Pancreas

Identify number 10
Ovaries

Identify number
Identify the hormones produced by the hypothalamus
Corticotropin-releasing hormone
Thyrotropin-releasing hormone
Growth hormone-releasing hormone
Growth hormone-inhibiting hormone
Gonadotropin-releasing hormone
Prolactin-inhibiting hormone
Antidiuretic Hormone
Oxytocin
What 2 hormones does each nucleus in the hypothalamus produce?
Supraoptic nucleus=Antidiuretic Hormone
Paraventricular nucleus=Oxytocin
What hormones does the anterior pituitary produce?
Thyroid-stimulating hormone
Prolactin
Follicle-stimulating hormone
Luteinizing Hormone
Adrenocorticotropic Hormone
Growth Hormone
What hormone does the pineal gland produce?
Melatonin
What hormone does the Thyroid gland produce?
Triiodothyronine and Thyroxine
What hormone does the thyroid gland-parafollicular cells produce?
Calcitonin
What hormone does the parathyroid gland produce?
Parathyroid hormone
What hormone does the thymus produce?
Thymosin
Thymopoietin
What hormone does the zona glomerulosa of the adrenal cortex produce?
Aldosterone
What hormone does the zona fasciculata of the adrenal cortex produce?
Cortisol
What hormone does the zona reticularis of the adrenal cortex produce?
Androgens
What hormone does the adrenal medulla produce?
Epinephrine and norepinephrine
What hormones are produced by each type of pancreatic cells?
alpha=Glucagon
Beta=Insulin
Delta=Somatostatin
What hormones are produced by the ovaries?
Estrogen and progesterone
What hormones are produced by the testis
Testosterone
What structure connects the pituitary gland to the hypothalamus?
Infundibulum

Identify endocrine organ, tissue type and type of cells
Posterior pituitary
Nervous tissue
Pituicytes and glial cells

Identify endocrine organ, tissue type and type of cells
Anterior pituitary
Glandular epithelial tissue
Glandular epithelial cells

Identify structure B
Hypothalamic-hypophyseal tract

Identify structure A
Primary capillary plexus

Identify structure B
Hypophyseal portal veins

Identify structure C
Secondary capillary plexus
What is the hypophyseal portal system?
Blood vessel network that connects the hypothalamus to the anterior pituitary gland

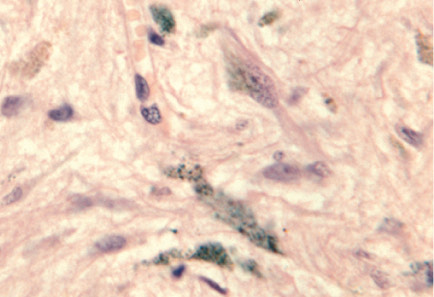
Identify the endocrine organ
Pineal Gland

What cells are these and what do they produce?
Pinealocytes, melatonin

What are the black structures
Calcified material

Identify structure A
Right lateral lobe

Identify Structure B
Isthmus

Identify C
Left lateral lobe

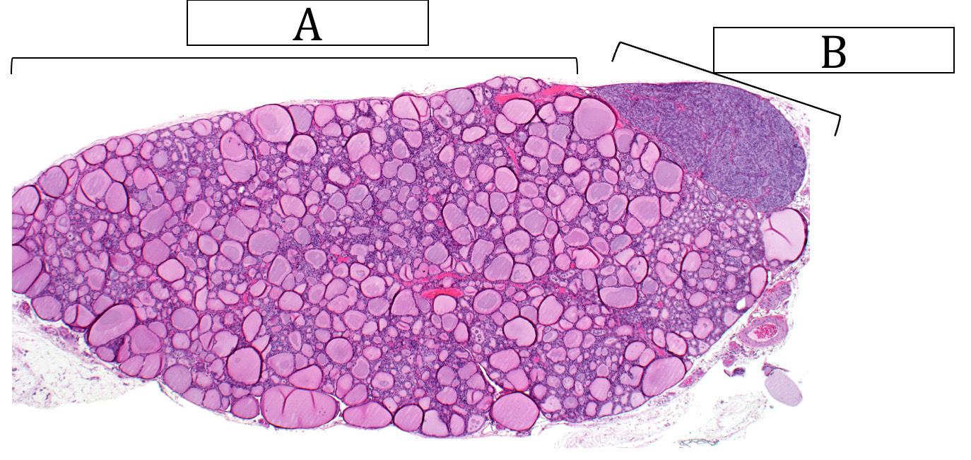
Identify endocrine organ
Thyroid gland

Identify cell A and hormones it produces
Parafollicular cells=calcitonin

Identify cell B and hormones it produces
Follicular cells=triiodothyronine and thyroxine

Identify structure C and fluid
Colloid-filled follicles

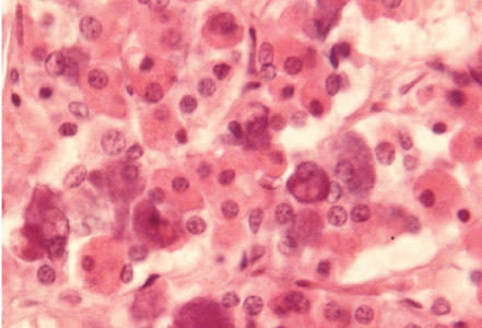
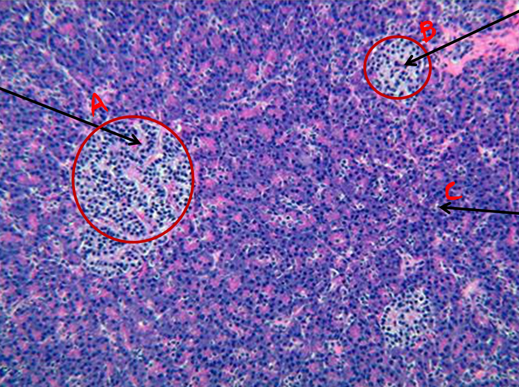
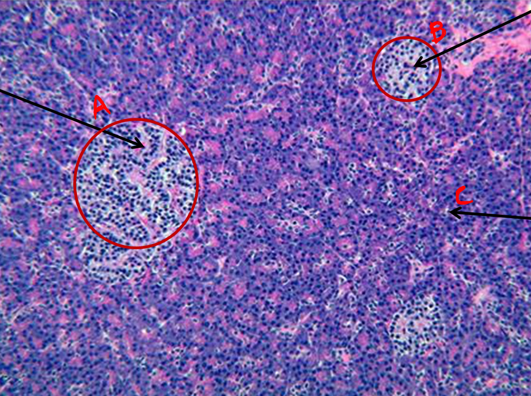
Identify gland, cell and hormone it produces
Parathyroid Gland
Chief cells=parathyroid hormone

Identify A
Thyroid gland

Identify B
Parathyroid gland

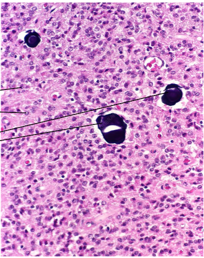
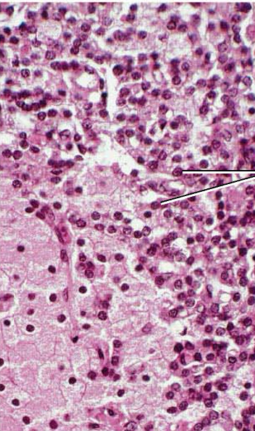
Identify this organ and what happens after puberty?
Thymus, it atrophies with age

Identify structures A,B,C
A=Cortex
B=Medulla
C=Thymic corpuscles

Identify organ
Pancreas

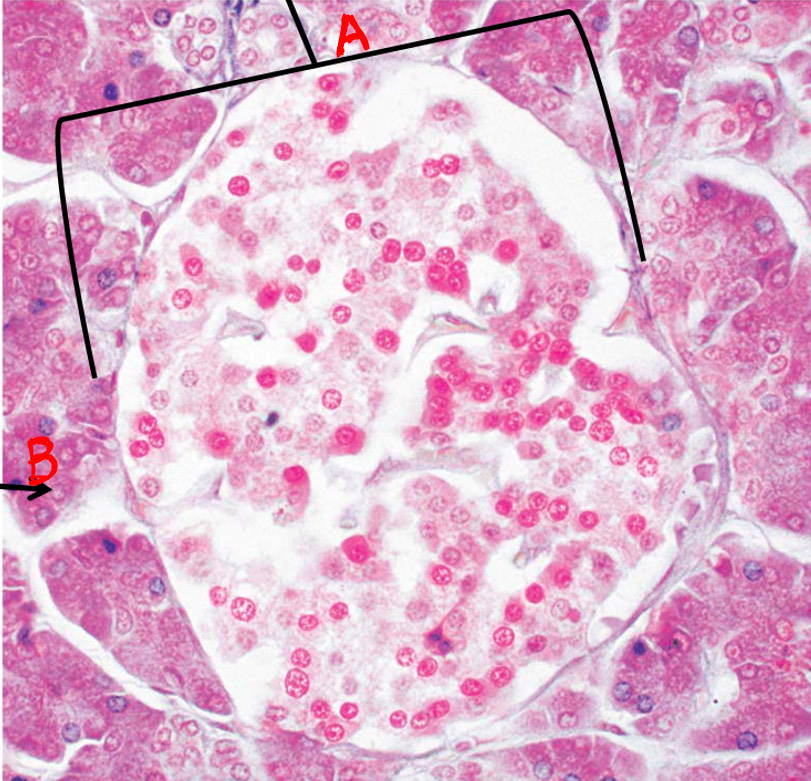
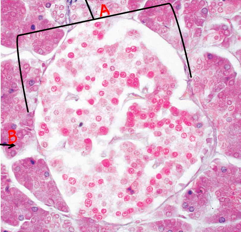
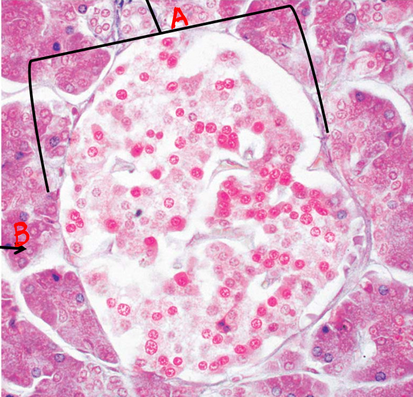
Identify structure A,B,C
A=Pancreatic islet
B=aplha,beta,delta cells
C=Acinar cells

Identify organ
Pancreas

Identify structure A
Pancreatic islet

Identify B and what do they produce?
Acinar cells, produce digestive enzymes

What gland is this?
Adrenal Gland

Label 1, 2, and 3
1=Capsule
2=Adrenal cortex
3=Adrenal medulla

Label 2a,2b,2c
2a=zona glomerulosa
2b=zona fasciculata
2c=zona reticularis

Identify organ, region A and B
Adrenal Gland
A=cortex
B=medulla
Which glands produce lipid soluble hormones
Thyroid follicular cells
Adrenal cortex
Ovary
Testis
Hyperthyroidism
Common cause=Grave’s Disease
Symptoms=Weight loss, heat intolerance, rapid heart rate, anxiety
Hypothyroidism
Common cause=Hashimoto’s Disease
Symptoms=Weight gain, cold intolerance, depression, fatigue
What is the autoimmune disease where antibodies target the thyroid stimulating hormone receptors on the thyroid gland?
Grave’s Disease
What is the autoimmune disease where abnormal antibodies target the thyroid’s glandular epithelial tissue?
Hashimoto’s Disease
What cell is found in the adrenal cortex?
Glandular Epithelial cell
What cell is found in the adrenal medulla?
Chromaffin cells
Which glands secrete hormones that are amines?
Thyroid follicular cells
Adrenal medulla
Pineal gland
Which glands secrete hormones that are steroids?
Adrenal cortex
Ovary
Testis